Event Abstract

The influence of intensive HF-rTMS treatment on functional connectivity in treatment-resistant unipolar depression

  • 1 Ghent University, Department of Data Analysis, Belgium
  • 2 University of Electronic Science and Technology of China, School of Life Science and Technology, China
  • 3 Ghent University, Department of Experimental Clinical and Health Psychology, Belgium
  • 4 Ghent, Department of Psychiatry and Medical Psychology, Belgium
  • 5 University Hospital (UZBrussel), Department of Psychiatry, Belgium

Background: Major depression is a worldwide severe mental health problem where unfortunately not all depressed patients respond to the classical treatment algorithms. Some recent research suggests that intensive HF-rTMS treatment, applied to the left dorsolateral prefrontal cortex (DLPFC), might have the potential to result in fast clinical responses when confronted with a severe treatment resistant depressed (TRD) patient. However, as to how this intensive stimulation protocol might affect the deregulated neurocircuitries present in major depression remains largely unclear. Besides hypo-activities in the prefrontal cortices, the subgenual anterior cingulate cortex (sACC: Brodmann area 25) is frequently reported to be implicated in TRD.

Objective: In this randomized sham-controlled crossover study, we wanted to evaluate the acute impact of intensive HF-rTMS treatment on functional connectivity in well selected regions of interest known to be affected in major depression.

Methods: In total 20 unipolar TRD patients (at least stage III) received 20 sham-controlled left DLPFC high-frequency (HF)-rTMS sessions spread over four successive days in five daily sessions. After randomization they received one week real/or sham treatment, followed by the reverse in the second week of treatment. To evaluate the effects on functional connectivity (FC), fMRI scans were collected at baseline, after sham and real HF-rTMS treatment. Because concomitant antidepressant treatment can confound outcome results, all patients went through a medication washout before entering the study. All TRD patients were free from any antidepressant (AD), neuroleptic and mood stabilizer for at least two weeks before entering the HF-rTMS treatment protocol. Only habitual benzodiazepine agents were allowed. We defined clinical response as a 50% reduction of the baseline 17-item Hamilton Depression Rating Scale (HDRS) score. For the FC analyses we used the sACC as seed to further examine the effect of HF-rTMS treatment on the whole brain.

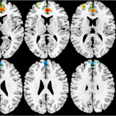
Results: Overall, 35 % (7/20) showed a 50% reduction of their initial HDRS at the end of the two-week procedure. All those patients showed clinical response after real HF-rTMS treatment, and not after sham. Although clinical responders and non-responders did not show differences in FC at baseline with sACC as seed, the full factorial SPM analyses showed significant interaction effects in the ventromedial prefrontal cortex. Post hoc analyses revealed as compared to non-responders, beneficial clinical outcome was related to stronger FC with the ventral parts of the anterior cingulate cortex (ACC; BA 32) and a weaker association with the rostral parts of the superior frontal gyrus (BA 10).

Conclusion(s): Albeit somewhat speculative at this point, our current findings indicate that the FC with the subgenual cingulate gyrus as seed does not differ in TRD patients responding differently after intensive HF-rTMS applied to the left DLPFC. However, clinical responders display higher ventral ACC connectivity presumably in an effort to reduce sACC hyperactivity. Further, the weaker FC with the BA 10 area could imply reduced rumination processes in clinical responders.

Figure 1
Figure 2
Figure 3

Keywords: treatment resistant depressed, HF-rTMS, functional connectivity, subgenual anterior cingulate cortex, dorsolateral prefrontal cortex (DLPFC)

Conference: Belgian Brain Council, Liège, Belgium, 27 Oct - 27 Oct, 2012.

Presentation Type: Poster Presentation

Topic: Higher Brain Functions in health and disease: cognition and memory

Citation: Wu G, Marinazzo D, De Raedt R and Baeken C (2012). The influence of intensive HF-rTMS treatment on functional connectivity in treatment-resistant unipolar depression. Conference Abstract: Belgian Brain Council. doi: 10.3389/conf.fnhum.2012.210.00058

Copyright: The abstracts in this collection have not been subject to any Frontiers peer review or checks, and are not endorsed by Frontiers. They are made available through the Frontiers publishing platform as a service to conference organizers and presenters.

The copyright in the individual abstracts is owned by the author of each abstract or his/her employer unless otherwise stated.

Each abstract, as well as the collection of abstracts, are published under a Creative Commons CC-BY 4.0 (attribution) licence (https://creativecommons.org/licenses/by/4.0/) and may thus be reproduced, translated, adapted and be the subject of derivative works provided the authors and Frontiers are attributed.

For Frontiers’ terms and conditions please see https://www.frontiersin.org/legal/terms-and-conditions.

Received: 30 Aug 2012; Published Online: 12 Sep 2012.

* Correspondence: Dr. Chris Baeken, Ghent, Department of Psychiatry and Medical Psychology, Ghent, 9000, Belgium, chris.baeken@UGent.be