Case Report
Published on 19 Oct 2020
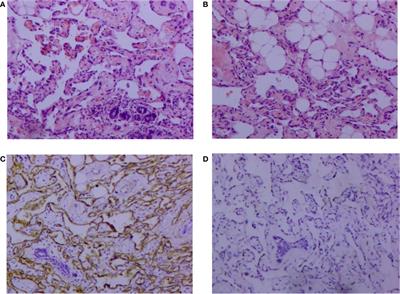
Sintilimab, a PD-1 Inhibitor, Completely Reversed Rarely Refractory Hypofibrinogenemia in a Gastric Cancer Patient: A Case Report and Review of the Literature
in Cancer Immunity and Immunotherapy
- 3,562 views
Case Report
Published on 19 Oct 2020
in Cancer Immunity and Immunotherapy
Original Research
Published on 22 Sep 2020
in Neonatology
Case Report
Published on 08 Jan 2024
in Thrombosis and Haemostasis
Review
Published on 21 Apr 2021
in Pediatric Critical Care
Case Report
Published on 05 Oct 2022
in Pediatric Gastroenterology, Hepatology and Nutrition
Original Research
Published on 11 Oct 2022
in Drugs Outcomes Research and Policies
Case Report
Published on 02 Nov 2022
in Breast Cancer
Review
Published on 11 Nov 2020
in Pediatric Critical Care
Original Research
Published on 21 Feb 2022
in Translational Pharmacology
Case Report
Published on 24 Jun 2021
in Pediatric Immunology
Review
Published on 21 Apr 2021
in Pediatric Critical Care
Original Research
Published on 05 Oct 2022
in Nephrology
Systematic Review
Accepted on 22 Sep 2025
in Thrombosis and Haemostasis
Case Report
Published on 09 Aug 2021
in Intensive Care Medicine and Anesthesiology
Case Report
Published on 11 Apr 2025
in Pediatric Infectious Diseases
Original Research
Published on 17 Jun 2021
in Pediatric Critical Care