Skip to main content
6 articles related to "Tubular Basement Membrane"

Articles

Case Report

Published on 16 Sep 2022

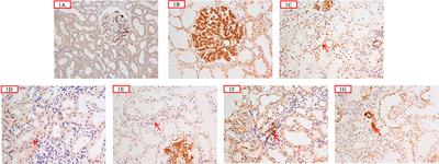
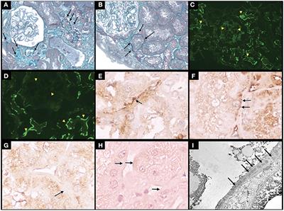
Case report: Isolated tubular basement membrane deposits in a patient with systemic lupus erythematosus - A diagnostic challenge

in Nephrology

  • Orlando Vieira Gomes
  • Leonardo Fernandes e Santana
  • Rita Marina Soares de Castro Duarte
  • Mateus de Sousa Rodrigues
  • Jandir Mendonça Nicacio
  • Dyego JosĂ© de AraĂşjo Brito
  • Monique Pereira RĂŞgo Muniz
  • Natalino Salgado-Filho
  • Precil Diego Miranda de Menezes Neves
  • Gyl Eanes Barros Silva
Frontiers in Medicine
doi 10.3389/fmed.2022.958615
  • 2,785 views
  • 1 citation