Original Research
Published on 08 Feb 2019
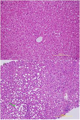
Histopathological Features and Composition of Gut Microbiota in Rhesus Monkey of Alcoholic Liver Disease
in Systems Microbiology
- 5,616 views
- 22 citations
Original Research
Published on 08 Feb 2019
in Systems Microbiology
Original Research
Published on 27 Nov 2024
in Microorganisms in Vertebrate Digestive Systems
Original Research
Published on 07 Dec 2021
in Gastroenterology
Original Research
Published on 17 Jun 2020
in Membrane Traffic and Organelle Dynamics
Original Research
Published on 06 Nov 2020
in Electrochemical Energy Storage
Review
Published on 05 Jul 2022
in Lipid and Fatty Acid Research
Original Research
Published on 04 Nov 2022
in Theoretical and Computational Chemistry
Review
Published on 15 Oct 2014
in Thin Solid Films
Original Research
Published on 26 Apr 2024
in Biomaterials
Original Research
Published on 29 Jul 2021
in Gastrointestinal and Hepatic Pharmacology
Review
Published on 10 Mar 2025
in Hepatobiliary Diseases
Review
Published on 28 Nov 2024
in Gastrointestinal and Hepatic Pharmacology
Review
Published on 22 May 2025
in Ethnopharmacology
Original Research
Published on 10 Mar 2021
in Gastrointestinal Sciences
Review
Published on 04 Aug 2023
in Gastrointestinal and Hepatic Pharmacology
Review
Published on 11 Oct 2012
in Gastrointestinal Sciences