Case Report
Published on 08 Dec 2022
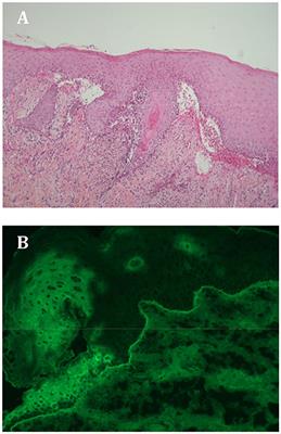
Case report: Bullous pemphigoid arising in a patient with scleroderma and multiple sclerosis
in Dermatology
- 2,937 views
- 2 citations
Case Report
Published on 08 Dec 2022
in Dermatology
Systematic Review
Published on 29 Jun 2023
in Autoimmune and Autoinflammatory Disorders : Autoimmune Disorders
Review
Published on 24 Aug 2021
in Autoimmune and Autoinflammatory Disorders
Original Research
Published on 20 Nov 2018
in Inflammation
Case Report
Published on 16 Sep 2022
in Cancer Immunity and Immunotherapy
Case Report
Published on 13 Jan 2022
in Autoimmune and Autoinflammatory Disorders
Original Research
Published on 27 Apr 2023
in Autoimmune and Autoinflammatory Disorders : Autoimmune Disorders
Original Research
Published on 29 Mar 2019
in Autoimmune and Autoinflammatory Disorders
Review
Published on 25 Apr 2023
in Autoimmune and Autoinflammatory Disorders : Autoimmune Disorders
Review
Published on 08 Dec 2017
in Immunological Tolerance and Regulation
Original Research
Published on 22 Jul 2022
in Autoimmune and Autoinflammatory Disorders
Case Report
Published on 25 Sep 2025
in Skin Cancer
Case Report
Published on 27 Sep 2018
in Dermatology
Review
Published on 09 Apr 2018
in Immunological Tolerance and Regulation
Case Report
Published on 10 Dec 2024
in Autoimmune and Autoinflammatory Disorders : Autoimmune Disorders
Brief Research Report
Published on 29 Aug 2025
in Experimental Pharmacology and Drug Discovery