Case Report
Published on 23 May 2025
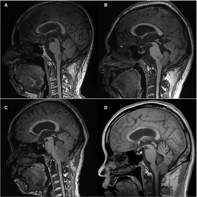
Individualized retrograde endoscopic transoccipital-fourth ventricular-midbrain aqueduct to third and lateral ventriculoperitoneal shunt for complex multilocular hydrocephalus with isolated fourth ventricle: a case report
in Precision Medicine
- 1,123 views












