Case Report
Published on 23 Jul 2025
Placental chorioangiomatosis: a case report and literature review
in Neonatology
- 880 views
Case Report
Published on 23 Jul 2025
in Neonatology
Original Research
Published on 18 Jan 2012
in Bone Research
Mini Review
Published on 03 Jul 2019
in Craniofacial Biology and Dental Research
Review
Published on 01 Jun 2022
in Pediatric Nephrology
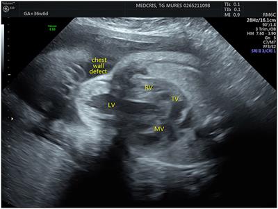
Case Report
Published on 17 Jul 2018
in Pediatric Cardiology
Review
Published on 18 Oct 2022
in Obesity
Review
Published on 16 Jul 2020
in Developmental Physiology
Original Research
Published on 29 Jun 2017
in Behavioral Endocrinology
Original Research
Published on 10 Aug 2021
in Developmental Physiology
Original Research
Published on 26 Sep 2019
in Multiple Sclerosis and Neuroimmunology
Original Research
Published on 07 Feb 2023
in Neonatology
Original Research
Published on 20 Dec 2018
in Children and Health