Methods
Published on 13 Aug 2021
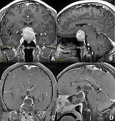
The Use of Micro Retractor in Endoscopic Endonasal Posterior Pseudocapsule Resection of Pituitary Macroadenoma. Technical Note
in Surgical Oncology
- 2,030 views
- 1 citation
Methods
Published on 13 Aug 2021
in Surgical Oncology
Original Research
Published on 19 Sep 2023
in Thyroid Endocrinology
Original Research
Published on 17 Apr 2024
in Movement Disorders
Original Research
Published on 14 Jan 2022
in Biomedical Robotics
Original Research
Published on 29 May 2020
in Paleontology
Original Research
Published on 13 May 2014
in Cellular and Molecular Mechanisms of Brain-aging
Original Research
Published on 05 Aug 2021
in Paleontology
Original Research
Published on 22 Feb 2021
in Obstetrics and Gynecological Surgery