REVIEW article
Front. Radiol.
Sec. Interventional Radiology
This article is part of the Research TopicAdvances in Emergency Interventional Radiology: Techniques, Outcomes, and Future DirectionsView all 3 articles
Complications of Tunneled Central Venous Catheter Placement: A Narrative Review of Risks, Prevention, and Management Strategies
Provisionally accepted- 1Hospital Antonio Cardarelli, Naples, Italy
- 2Azienda Ospedaliera di Rilievo Nazionale Antonio Cardarelli, Naples, Italy
- 3Universita degli Studi di Napoli Parthenope Dipartimento di Scienze Motorie e del Benessere, Naples, Italy
- 4Universita degli Studi di Palermo, Palermo, Italy
Select one of your emails
You have multiple emails registered with Frontiers:
Notify me on publication
Please enter your email address:
If you already have an account, please login
You don't have a Frontiers account ? You can register here
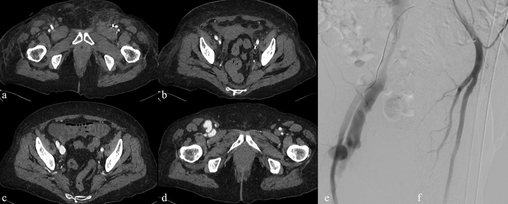
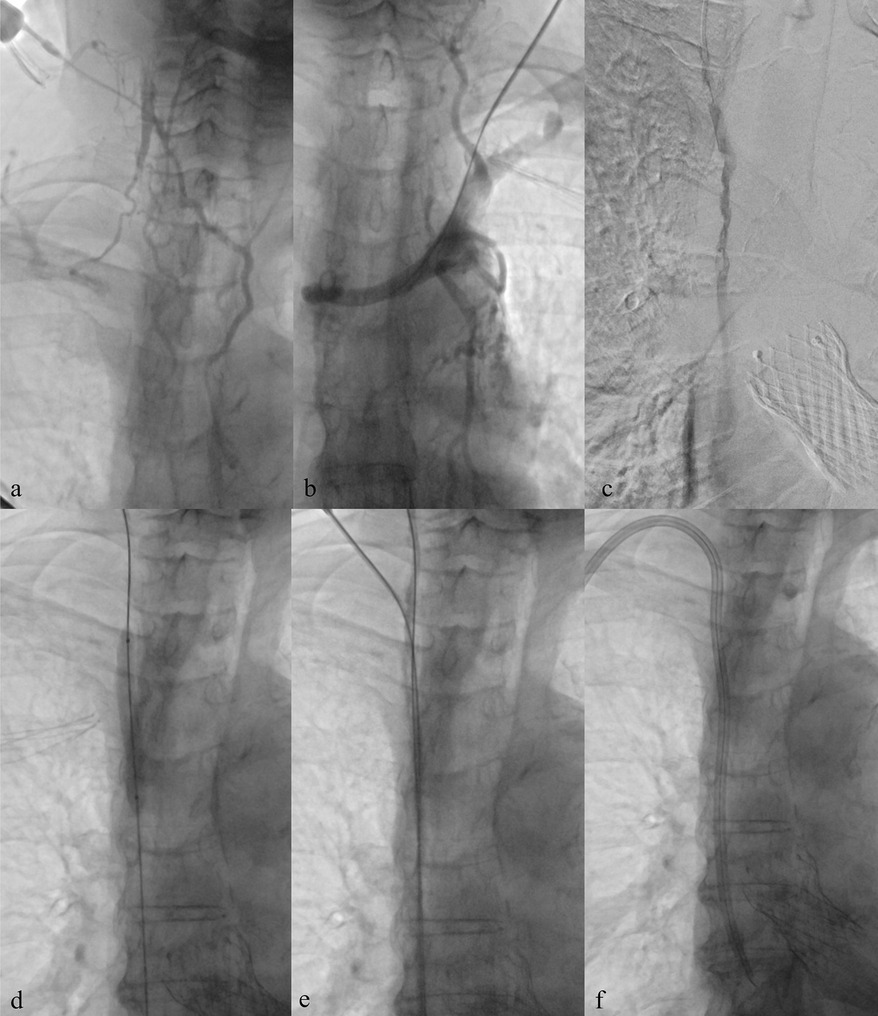
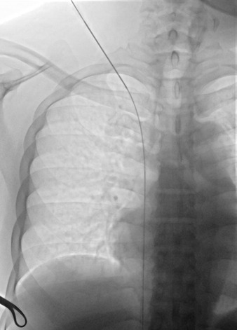
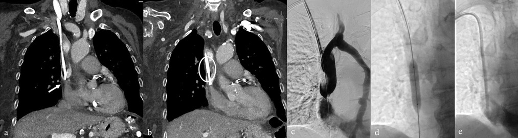
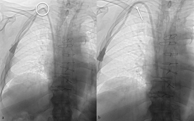
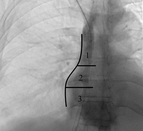
Background: Tunneled cuffed catheter (TCC) remains a crucial vascular access option for patients undergoing hemodialysis, particularly in those who are not candidates for arteriovenous fistulas or grafts. However, placement carries immediate and delayed complications. Objective: This narrative review aims to provide a comprehensive overview of the complications encountered during and after the placement of a TCC for hemodialysis, highlighting current evidence, risk factors, prevention strategies, and management approaches. Methods: A critical selection of relevant literature was performed through PubMed and Scopus databases, focusing on articles published in the last two decades. Particular attention was given to studies reporting on mechanical, infectious, thrombotic, and late-onset complications, as well as technical factors influencing outcomes. Results: Complications of TCCs can be classified as immediate (e.g., arterial puncture, pneumothorax, bleeding), early (e.g., catheter malposition, exit-site infections), and late (e.g., central venous stenosis, catheter-related bloodstream infections, thrombosis). Patient-and procedure-related factors increase risk. Ultrasound and fluoroscopy, strict sterility, and timely management reduce complications rates. Conclusion: TCCs are indispensable in selected patients, but understanding their complications is key to patient safety and outcomes. Optimal outcomes depend on accurate patient selection, operator expertise, and standardized post-placement care.
Keywords: hemodialysis, Tunneled cuffed catheter, Tunneled central venous catheter, vascular access complications, Infection, Thrombosis, Central venous stenosis, catheter dysfunction
Received: 12 Aug 2025; Accepted: 27 Oct 2025.
Copyright: © 2025 Corvino, D'antuono, Giurazza, Carrubba, Punzi, Corvino, GALIA and Niola. This is an open-access article distributed under the terms of the Creative Commons Attribution License (CC BY). The use, distribution or reproduction in other forums is permitted, provided the original author(s) or licensor are credited and that the original publication in this journal is cited, in accordance with accepted academic practice. No use, distribution or reproduction is permitted which does not comply with these terms.
* Correspondence: Fabio Corvino, effecorvino@gmail.com
Disclaimer: All claims expressed in this article are solely those of the authors and do not necessarily represent those of their affiliated organizations, or those of the publisher, the editors and the reviewers. Any product that may be evaluated in this article or claim that may be made by its manufacturer is not guaranteed or endorsed by the publisher.
