ORIGINAL RESEARCH article
Front. Virol.
Sec. Antivirals and Vaccines
This article is part of the Research TopicBridging Gaps in Antiviral Therapy: Innovative Approaches in Drug Discovery and Vaccine DevelopmentView all articles
Oral administration of Korean perilla frutescens leaf extract shows potential therapeutic effects against COVID-19 in a SH101 hamster model
Provisionally accepted- 1corestem chemon institution, Suweon, Republic of Korea
- 2Chonnam National University, Buk-gu, Republic of Korea
- 3Chemon Inc, Yongin-si, Republic of Korea
- 4Jeonbuk National University Medical School, Jeonju-si, Republic of Korea
Select one of your emails
You have multiple emails registered with Frontiers:
Notify me on publication
Please enter your email address:
If you already have an account, please login
You don't have a Frontiers account ? You can register here
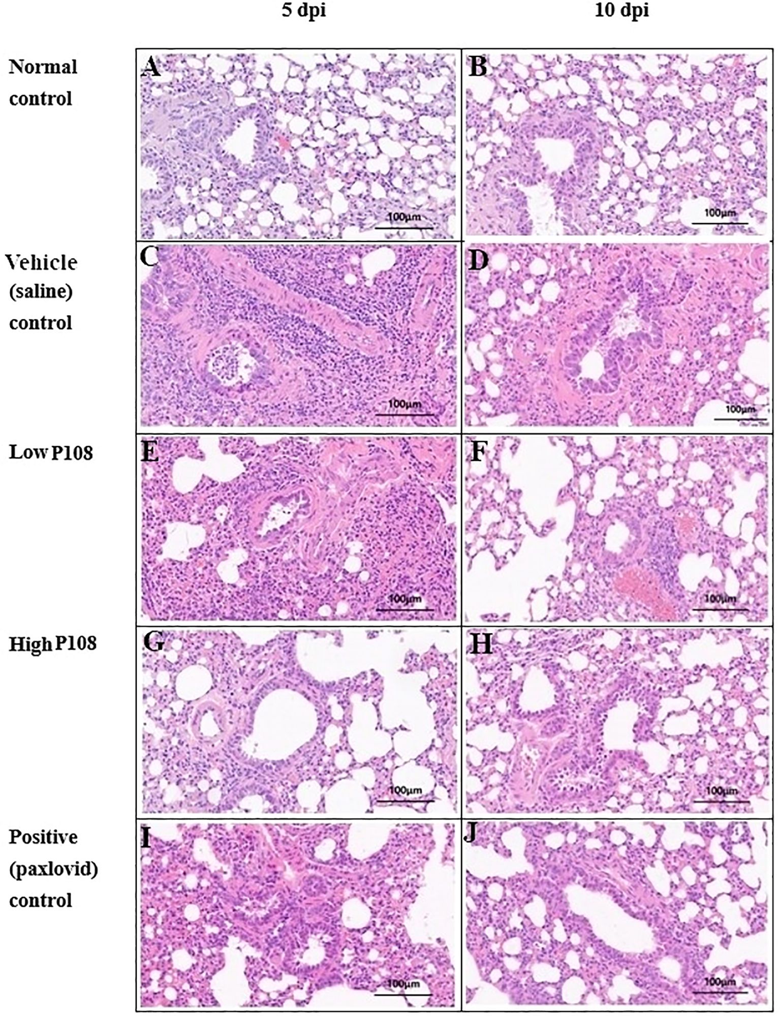
Background and Objectives: The outbreak of the COVID-19 pandemic has made the development of effective treatments a critical global issue. This study investigated whether Korean perilla (Perilla frutescens var. frutescens) leaf ethanol extract (P108) showed therapeutic potential against COVID-19 using the SH101 Roborovski hamster model. Materials and Methods: The COVID-19 infection model was established by intranasal administration of SARS-CoV-2 suspension into SH101 Roborovski hamsters. Experimental groups received P108 at dosages of 1,000 and 3,000 mg/kg/day, with additional groups for normal control (no treatment), vehicle control (0 mg/kg/day with vehicle only), and positive control (Paxlovid at 20 mg/kg/day). All substances were administered orally via gavage using a sonde. Treatment effects were assessed by monitoring changes in body temperature, clinical signs, body weight, levels of D-dimer and fibrin degradation products, interleukin concentrations, viral titers, immune cell counts, and lung pathology. Statistical significance was determined for differences with a p-value ≤ 0.05. Results: Hamsters infected with SARS-CoV-2 exhibited typical COVID-19 disease progression, including marked hypoactivity by 4 days post-inoculation (dpi). Both P108-and Paxlovid-treated groups initially developed fever but subsequently recovered, with body weight restoration comparable to the normal control group. At 5 dpi, high-dose P108 and Paxlovid treatment resulted in reduced viral loads in lung tissues. Notably, high-dose P108 demonstrated cytokine modulation and viral load reduction trends similar to those observed with Paxlovid, as detailed in the Results and Figure Legends. P108 treatment significantly lowered fibrin degradation product levels, IL-6, and TNF-α while increasing IL-10. Histological analysis showed reduced pulmonary inflammation in the P108-treated groups. Conclusion: The results of this study suggest that P108 may inhibit SARS-CoV-2 replication and reduce systemic inflammatory responses. These findings support the continued development of P108 as a candidate for preventive or early-intervention strategies against COVID-19. However, its efficacy following delayed treatment initiation (e.g., after symptom onset) has not yet been demonstrated and warrants further investigation.
Keywords: COVID-19, protection, Korean perilla ethanol extracts (P108), cytokine, Roborovski hamster
Received: 13 Aug 2025; Accepted: 28 Oct 2025.
Copyright: © 2025 Ahn, KIM, Hong, Kim, Kwon, Lee, Kim, Song, Kim and Lee. This is an open-access article distributed under the terms of the Creative Commons Attribution License (CC BY). The use, distribution or reproduction in other forums is permitted, provided the original author(s) or licensor are credited and that the original publication in this journal is cited, in accordance with accepted academic practice. No use, distribution or reproduction is permitted which does not comply with these terms.
* Correspondence:
Si-Whan Song, swansong@csco.co.kr
Jong-Choon Kim, toxkim@chonnam.ac.kr
Disclaimer: All claims expressed in this article are solely those of the authors and do not necessarily represent those of their affiliated organizations, or those of the publisher, the editors and the reviewers. Any product that may be evaluated in this article or claim that may be made by its manufacturer is not guaranteed or endorsed by the publisher.
