Original Research
Published on 01 Oct 2021
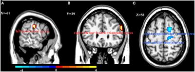
Changes in Regional Homogeneity of Medication-Free Major Depressive Disorder Patients With Different Onset Ages
in Mood Disorders
- 3,975 views
- 15 citations
Original Research
Published on 01 Oct 2021
in Mood Disorders
Original Research
Published on 13 Apr 2021
in Neurocognitive Aging and Behavior
Original Research
Published on 13 Aug 2010
in Individual and Social Behaviors
Original Research
Published on 13 Feb 2023
in Infectious Agents and Disease
Original Research
Published on 13 May 2021
in Aging Psychiatry
Original Research
Published on 10 Jan 2024
in Individual and Social Behaviors
Brief Research Report
Published on 05 Jul 2019
Original Research
Published on 09 Feb 2021
in Neurocognitive Aging and Behavior
Original Research
Published on 21 Jul 2023
in Bacteria and Host
Original Research
Published on 31 Jan 2020
in Neuroimaging
Original Research
Published on 02 Oct 2019
Original Research
Published on 13 Oct 2025
in Language, Culture and Diversity
Original Research
Published on 15 May 2025
in Mucosal Immunity
Original Research
Published on 11 Dec 2024
in Human-Robot Interaction
Original Research
Published on 31 Oct 2023
in Crop and Product Physiology
Original Research
Published on 10 Mar 2020
in Infectious Diseases: Epidemiology and Prevention