CASE REPORT article
Front. Nephrol.
Sec. Pediatric Nephrology
Case Report: Focal Xanthogranulomatous Pyelonephritis in Children: Diagnostic Pitfalls and the Role of Conservative Management
Provisionally accepted- 1Children's Hospital of Tunis, Tunis, Tunisia
- 2Universite de Tunis El Manar Faculte de Medecine de Tunis, Tunis, Tunisia
Select one of your emails
You have multiple emails registered with Frontiers:
Notify me on publication
Please enter your email address:
If you already have an account, please login
You don't have a Frontiers account ? You can register here
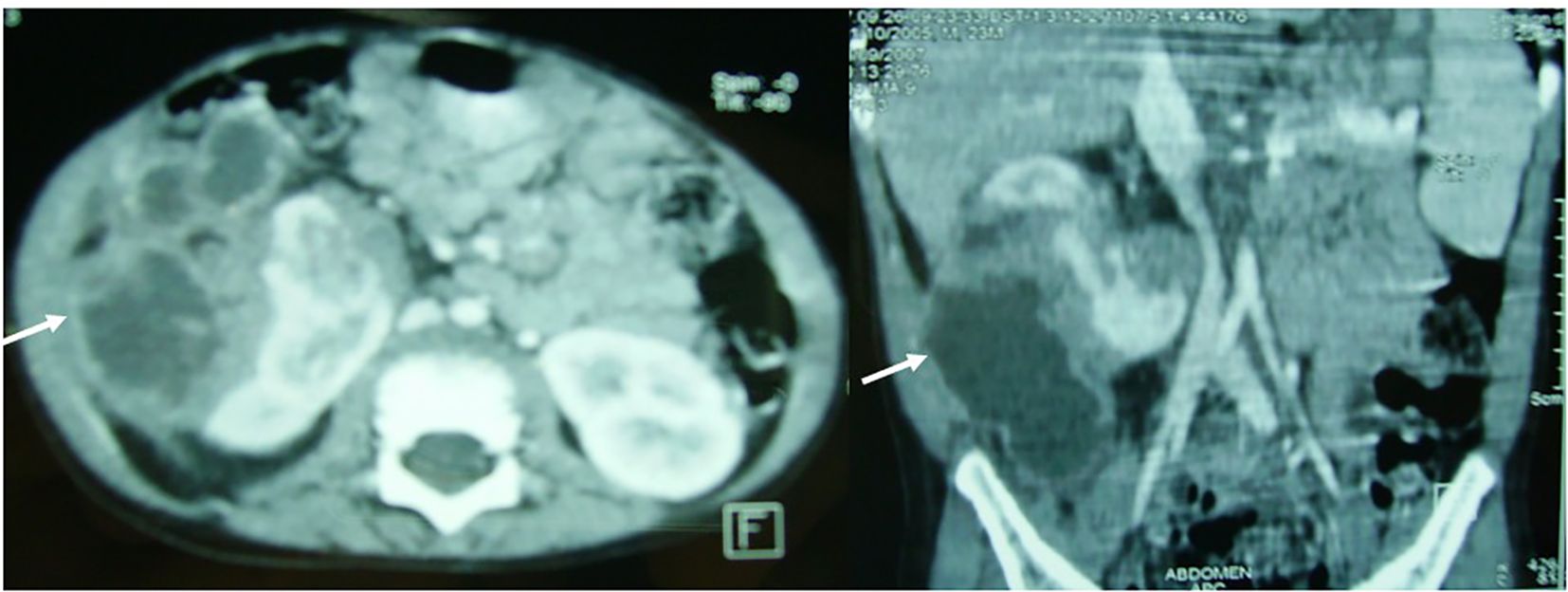
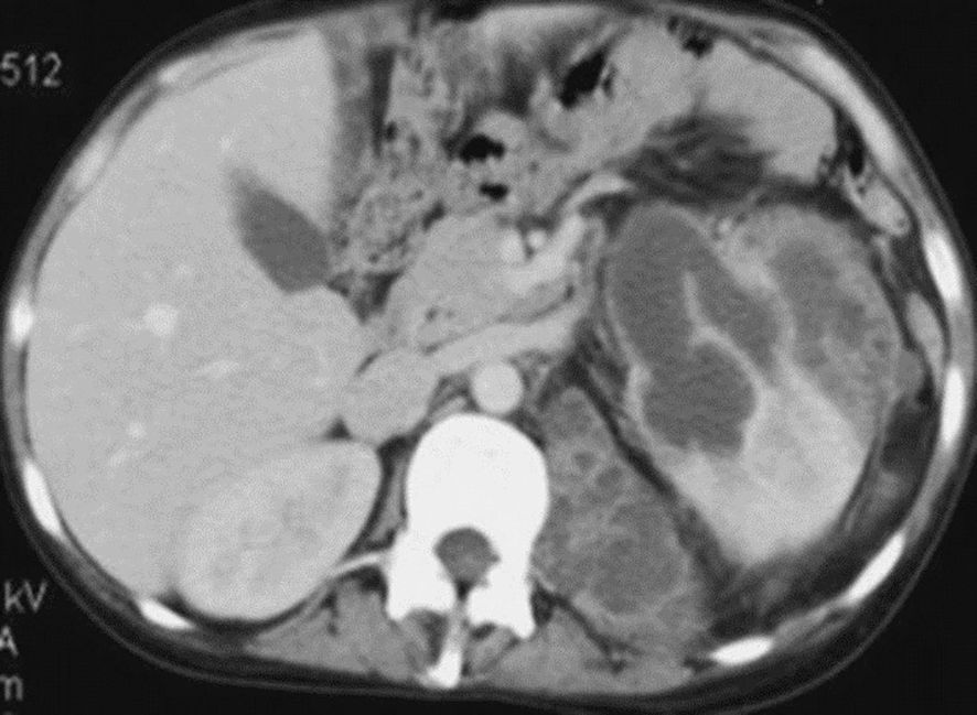
Background: Focal xanthogranulomatous pyelonephritis (XGP) is a rare chronic renal inflammatory disorder in children that often mimics renal neoplasms, complicating diagnosis and management. Methods: We describe two pediatric cases of focal XGP managed at our institution and provide a descriptive review of the literature (1975–2024), analyzing clinical presentation, imaging features, management strategies, and outcomes of this disease. Results: Case 1: A 2-year-old boy presented with a febrile right flank mass and systemic inflammation. CT Scan revealed an 80 mm multilocular renal mass. Surgical drainage and biopsy confirmed focal XGP, and targeted antibiotics led to complete resolution with preserved renal function at two-year follow-up. Case 2: A 10-year-old girl presented with a 40 mm left renal mass and systemic inflammatory signs. CT-guided aspiration and histopathology confirmed focal XGP. She was managed conservatively with intravenous and oral antibiotics, achieving complete resolution and normal renal function at seven-year follow-up. Literature review of 34 pediatric XGP cases (median age 11.1 years) showed that 53% were focal lesions. Conservative management with antibiotics, with or without drainage, succeeded in 64% of cases, and overall outcomes were favorable, with stable renal function and no reported mortality. Conclusion: This combined case series and descriptive literature review highlights that conservative, kidney-sparing management is a feasible and effective approach in selected pediatric focal XGP cases. Multicenter collaborations are needed to define standardized diagnostic and therapeutic protocols.
Keywords: Pyelonephritis, Xanthogranulomatous, pediatric, Surgery, conservative treatment
Received: 20 Sep 2025; Accepted: 03 Nov 2025.
Copyright: © 2025 Aziza, Sghairoun, GHADDAB, HOUAS and JLIDI. This is an open-access article distributed under the terms of the Creative Commons Attribution License (CC BY). The use, distribution or reproduction in other forums is permitted, provided the original author(s) or licensor are credited and that the original publication in this journal is cited, in accordance with accepted academic practice. No use, distribution or reproduction is permitted which does not comply with these terms.
* Correspondence: Bochra Aziza, bochra.aziza@gmail.com
Disclaimer: All claims expressed in this article are solely those of the authors and do not necessarily represent those of their affiliated organizations, or those of the publisher, the editors and the reviewers. Any product that may be evaluated in this article or claim that may be made by its manufacturer is not guaranteed or endorsed by the publisher.
