ORIGINAL RESEARCH article
Front. Physiol.
Sec. Integrative Physiology
This article is part of the Research TopicMechanical Forces in Health and Disease: A Mechanobiological PerspectiveView all 17 articles
Finite Element-Based Prioritization of Pelvic Floor Muscles for Rehabilitation to Maintain Urinary and Fecal Control in Elderly Women
Provisionally accepted- 1Capital Medical University, Beijing, China
- 2North China University of Science and Technology, Tangshan, China
- 3Beijing Erlonglu Hospital, Beijing, China, Beijing, China
Select one of your emails
You have multiple emails registered with Frontiers:
Notify me on publication
Please enter your email address:
If you already have an account, please login
You don't have a Frontiers account ? You can register here
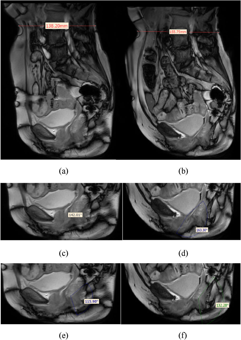
Objective: This study aims to utilize finite element analysis (FEA) to explore the effects of different rehabilitation training methods on the ability of elderly women to maintain urinary and fecal control. It also seeks to determine the muscle prioritization during pelvic rehabilitation training, providing a scientific basis for personalized rehabilitation nursing. Methods: A 3D pelvic-thigh modeling was constructed based on CT and MRI images from a 70-year-old Chinese elderly female volunteer. Model validity was verified by assessing relative changes in waist circumference, RVA, and ARA against imaging measurements, with geometric deviations controlled within 10%. The material properties of the muscles were altered to simulate the effects of five different physical rehabilitation methods. By comparing changes in the retrovesical angle (RVA) and anorectal angulation (ARA) under different muscle material properties settings, the relationship between rehabilitation training methods and urinary and fecal control was quantified. Results: The constructed model demonstrated high geometric consistency with pelvic floor anatomy, showing less than 8.28% deviation from imaging-based measurements. As muscle material properties improved, the RVA gradually decreased, and the ARA gradually increased, approaching normal ranges. The results highlight the critical roles of the levator ani, pelvic floor, rectus abdominis, erector spinae, and hip muscles. Conclusions: The findings from this simulation indicate the potential efficacy of rehabilitation training in supporting urinary and fecal control. The study emphasizes the importance of personalized pelvic floor rehabilitation programs based on gender differences, muscle status, and dysfunction types, offering new perspectives and possibilities for using FEA in elderly populations. Nevertheless, the findings are derived from a single-subject model and computational simulations without direct clinical validation, which may limit generalizability.
Keywords: Elderly women, Finite Element Analysis, Muscles, Rehabilitation training, urinary and defecation dysfunction
Received: 29 Aug 2025; Accepted: 31 Oct 2025.
Copyright: © 2025 Wang, Liu, Jing, Zhao and Qian. This is an open-access article distributed under the terms of the Creative Commons Attribution License (CC BY). The use, distribution or reproduction in other forums is permitted, provided the original author(s) or licensor are credited and that the original publication in this journal is cited, in accordance with accepted academic practice. No use, distribution or reproduction is permitted which does not comply with these terms.
* Correspondence: 
Liwei  Jing, lwjing2004@ccmu.edu.cn
Tuanjie  Zhao, 18810855509@163.com
Disclaimer: All claims expressed in this article are solely those of the authors and do not necessarily represent those of their affiliated organizations, or those of the publisher, the editors and the reviewers. Any product that may be evaluated in this article or claim that may be made by its manufacturer is not guaranteed or endorsed by the publisher.
