ORIGINAL RESEARCH article
Front. Physiol.
Sec. Exercise Physiology
This article is part of the Research TopicExercise-induced protein modifications: Regulatory networks and therapeutic implicationsView all 3 articles
Adjunctive Effects of Intermittent Fasting and Exercise with Gliben on Diabetic Nephropathy in Rats: A Potential Role of the Polyol Pathway
Provisionally accepted- 1Mansoura University Faculty of Medicine, Mansoura, Egypt
- 2Human Anatomy and Embryolgy Department,, Mansoura, Egypt
- 3Taibah University College of Medicine, Medina, Saudi Arabia
Select one of your emails
You have multiple emails registered with Frontiers:
Notify me on publication
Please enter your email address:
If you already have an account, please login
You don't have a Frontiers account ? You can register here
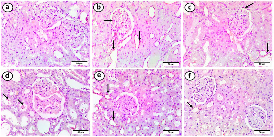
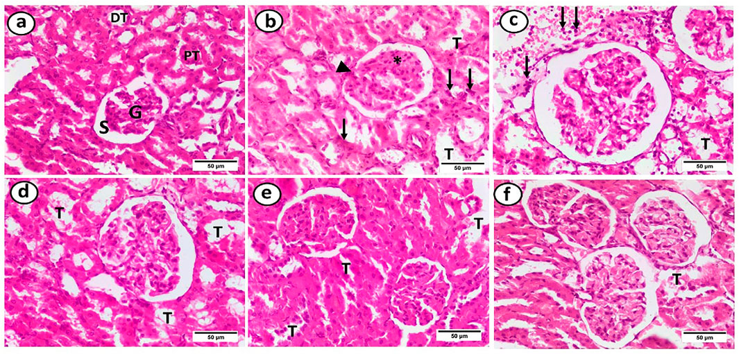
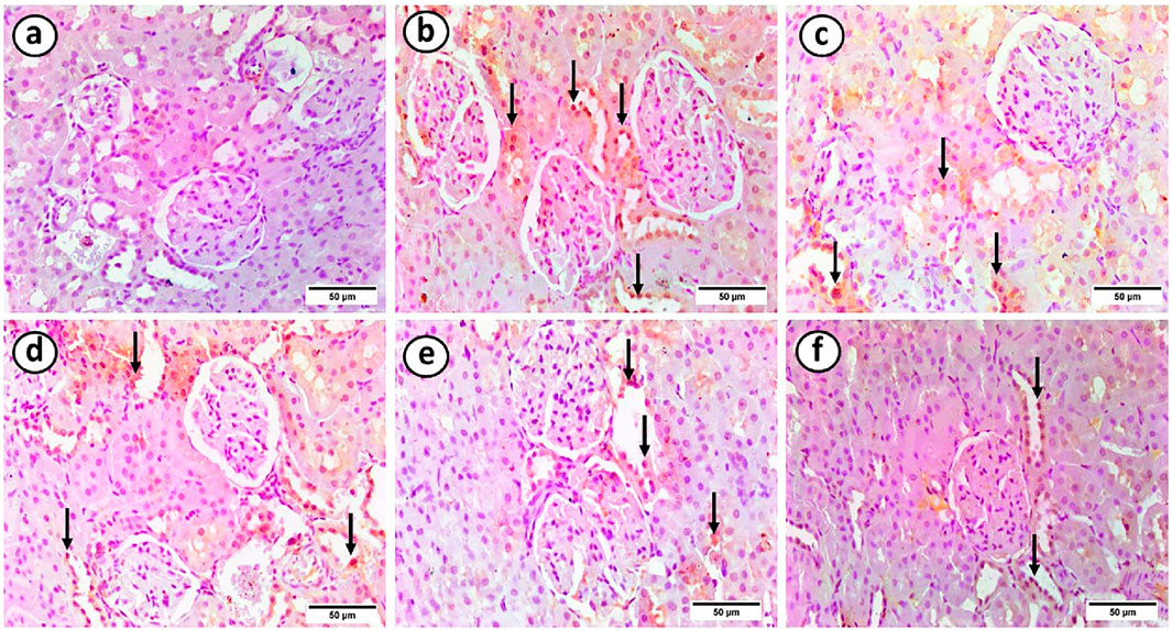
Background: Diabetic nephropathy is a major complication of type 2 diabetes, often driven by hyperglycemia-induced activation of the polyol pathway. Exercise and intermittent fasting (IF) are non-pharmacological strategies known to improve glucose homeostasis, yet their renal protective roles remain underexplored. Aim: To explore how exercise and IF with glibenclamide therapy can have a therapeutic potential in diabetic nephropathy as adjuncts or alternatives to conventional pharmacological treatment by focusing on the polyol pathway as a mechanistic target. Methods: Type 2 diabetes was induced in rats using an eight-week high-fat diet followed by a single low dose of streptozotocin. Animals were treated for four weeks with glibenclamide (1 mg/kg/day), exercise, IF, or combined triple therapy. Biochemical, molecular, and histopathological analyses were performed to evaluate renal function, oxidative stress, inflammatory mediators, polyol pathway activity, apoptotic markers, and tissue architecture. Results: Untreated diabetic rats developed hyperglycemia, renal impairment, oxidative stress, and inflammation with marked polyol pathway activation. Triple therapy significantly improved glycemic control, restored antioxidant defences, reduced pro-inflammatory and apoptotic markers, downregulated TGF-β expression, and preserved renal histology. Conclusion: The combination of glibenclamide, exercise, and IF provides synergistic protection against diabetes-induced nephropathy, primarily through modulation of the polyol pathway, antioxidant enhancement, and suppression of inflammation and fibrosis.
Keywords: Bax, Bcl-2, diabetes, gliben, iNOS, kidneys, TNF-α, TGF-β
Received: 10 Aug 2025; Accepted: 17 Oct 2025.
Copyright: © 2025 Samir, Hassan, Elmowafy, Ebrahim, Albadawi, Albadrani, Owaydhah and Elhadidy. This is an open-access article distributed under the terms of the Creative Commons Attribution License (CC BY). The use, distribution or reproduction in other forums is permitted, provided the original author(s) or licensor are credited and that the original publication in this journal is cited, in accordance with accepted academic practice. No use, distribution or reproduction is permitted which does not comply with these terms.
* Correspondence: Hend M. Hassan
Disclaimer: All claims expressed in this article are solely those of the authors and do not necessarily represent those of their affiliated organizations, or those of the publisher, the editors and the reviewers. Any product that may be evaluated in this article or claim that may be made by its manufacturer is not guaranteed or endorsed by the publisher.
