ORIGINAL RESEARCH article
Front. Physiol.
Sec. Skeletal Physiology
Non-neuronal cholinergic stimulation favors bone mass accrual
Provisionally accepted- 1Qatar University, Doha, Qatar
- 2McGill University, Montreal, Canada
- 3University of Sharjah, Sharjah, United Arab Emirates
Select one of your emails
You have multiple emails registered with Frontiers:
Notify me on publication
Please enter your email address:
If you already have an account, please login
You don't have a Frontiers account ? You can register here
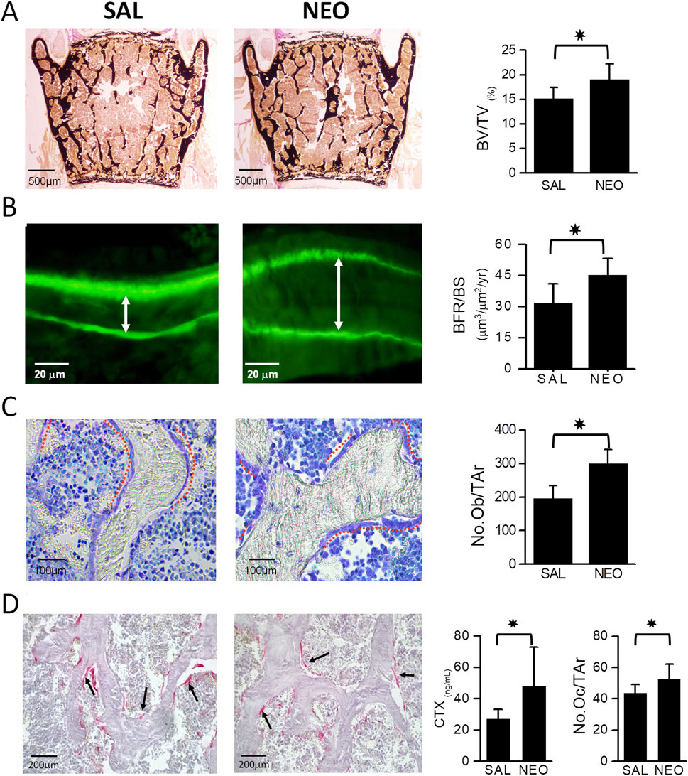
Non-neuronal cholinergic receptors are expressed in immune cells and their stimulation has been shown to regulate the secretion of several cytokines. Some of these cytokines, such as interleukin-17 (IL-17), IL-23, interferon-γ (IFN-γ) and tumor necrosis factor-α (TNF-α), are known to regulate bone mass. Accordingly, we hypothesize that stimulating cholinergic receptors in non-neuronal cells, such as immune cells, promotes bone mass accrual. To test this hypothesis, we used neostigmine, a drug that increases acetylcholine levels by inhibiting acetylcholinesterases in the peripheral tissues. Here, we show that 6 weeks of neostigmine treatment promotes bone mass accrual in endochondral bones of both the axial and appendicular skeleton in mice. Moreover, the administration of neostigmine for 2 weeks accelerated the healing process of the surgically induced bone defects in rats. The body mass index, body weight, visceral fat pad weight and epinephrine levels in the neostigmine-treated mice were similar to those of saline-treated mice, indicating that neostigmine favored bone mass accrual by acting peripherally rather than centrally.
Keywords: Bone, Cholinergic Neurons, muscarinic receptors, Immune System, IL-17, Bone Remodeling
Received: 12 Aug 2025; Accepted: 13 Oct 2025.
Copyright: © 2025 Tamimi, Eimar, Alebrahim, Manickam, Al Subaie, Abu-Nada, Tamimi and Murshed. This is an open-access article distributed under the terms of the Creative Commons Attribution License (CC BY). The use, distribution or reproduction in other forums is permitted, provided the original author(s) or licensor are credited and that the original publication in this journal is cited, in accordance with accepted academic practice. No use, distribution or reproduction is permitted which does not comply with these terms.
* Correspondence:
Faleh Tamimi, fmarino@qu.edu.qa
Lina Abu-Nada, lnada@sharjah.ac.ae
Monzur Murshed, monzur.murshed@mcgill.ca
Disclaimer: All claims expressed in this article are solely those of the authors and do not necessarily represent those of their affiliated organizations, or those of the publisher, the editors and the reviewers. Any product that may be evaluated in this article or claim that may be made by its manufacturer is not guaranteed or endorsed by the publisher.
