ORIGINAL RESEARCH article
Front. Physiol.
Sec. Craniofacial Biology and Dental Research
This article is part of the Research TopicRecent Advances in Dental, Oral, and Craniofacial Bone Biology and RegenerationView all 3 articles
Inositol-requiring enzyme 1 alpha is essential for dentinogenesis
Provisionally accepted- 1Texas A&M University College of Dentistry, Dallas, United States
- 2The University of Utah School of Biological Sciences, Salt Lake City, United States
- 3Kanazawa Medical University, Ishikawa, Japan
Select one of your emails
You have multiple emails registered with Frontiers:
Notify me on publication
Please enter your email address:
If you already have an account, please login
You don't have a Frontiers account ? You can register here
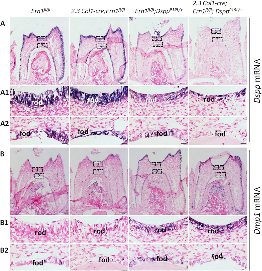
Inositol-requiring enzyme 1 alpha (IRE1α) is the most conserved sensor of endoplasmic reticulum (ER) stress. IRE1α-initiated signaling pathways contribute to the functional maturation of secretory cells and have been implicated in various human diseases. In this study, we have used a multi-pronged approach and examined the roles of IRE1α in odontoblast development and dentin formation in wild-type mice as well as in DsppP19L mutant mice, which express a pathogenic variant of dentin sialophosphoprotein (P19L-DSPP) and exhibit a dentinogenesis imperfecta (DGI)-like phenotype. We find that the immunostaining signals for phosphorylated IRE1α and total X-box binding protein 1 (XBP1) are dramatically increased in the odontoblasts and other dental pulp cells of DsppP19L/+ and DsppP19L/P19L mice, in comparison with Dspp+/+ control mice. Consistently, there is a small increase in spliced XBP1S protein and Xbp1s mRNA levels in the P19L-DSPP mutant mice. Moreover, loss of IRE1α function reduces dentin formation in wild-type mice and exacerbates the dental defects in the P19L-DSPP mutant mice. Notably, IRE1α deficiency does not restore the Dspp mRNA levels in the mutant mice but normalizes the increased thickness of the dental pulp chamber floor dentin. These findings underscore the essential role of IRE1α in odontoblast function and dentinogenesis. Moreover, they reveal a context-dependent pathogenic role of IRE1α, providing new insights into ER stress in dental tissue development and disease.
Keywords: inositol-requiring enzyme 1 alpha (IRE1α), dentin sialophosphoprotein (DSPP), odontoblast, Dentin formation, unfolded protein response (UPR), dentinogenesis imperfecta (DGI)
Received: 10 Oct 2025; Accepted: 21 Nov 2025.
Copyright: © 2025 XU, Liang, Li, Wang, Zhang, Hollien, Iwawaki, Qin and Lu. This is an open-access article distributed under the terms of the Creative Commons Attribution License (CC BY). The use, distribution or reproduction in other forums is permitted, provided the original author(s) or licensor are credited and that the original publication in this journal is cited, in accordance with accepted academic practice. No use, distribution or reproduction is permitted which does not comply with these terms.
* Correspondence: Yongbo Lu, ylu@tamu.edu
Disclaimer: All claims expressed in this article are solely those of the authors and do not necessarily represent those of their affiliated organizations, or those of the publisher, the editors and the reviewers. Any product that may be evaluated in this article or claim that may be made by its manufacturer is not guaranteed or endorsed by the publisher.
