ORIGINAL RESEARCH article
Front. Aging Neurosci.
Sec. Neurocognitive Aging and Behavior
This article is part of the Research TopicCognitive Decline in Older Adults with Epilepsy: Mechanisms, Risk Stratification, and Therapeutic Implications.View all articles
Excitatory-Inhibitory Imbalance in Temporal Lobe Epilepsy: 1 A 5T Multimodal MRI Biomarker for Focus Localization and 2 Drug Resistance Stratification 3
Provisionally accepted- 1Mengchao Hepatobiliary Hospital of Fujian Medical University, Fuzhou, China
- 2Qilu Hospital of Shandong University Qingdao, Qingdao, China
- 3Qilu Hospital of Shandong University, Jinan, China
- 4Shanghai United Imaging Healthcare Co Ltd, Shanghai, China
- 5United Imaging Intelligence Co Ltd, Shanghai, China
- 6Xiangshui Meng, Qingdao, China
Select one of your emails
You have multiple emails registered with Frontiers:
Notify me on publication
Please enter your email address:
If you already have an account, please login
You don't have a Frontiers account ? You can register here
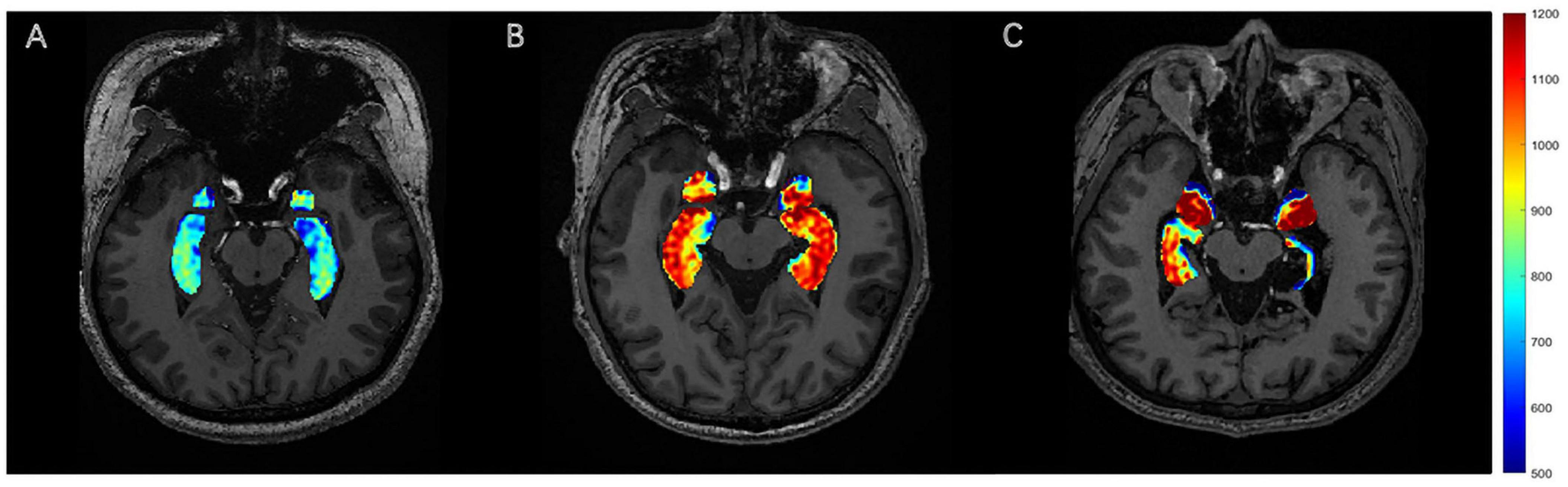
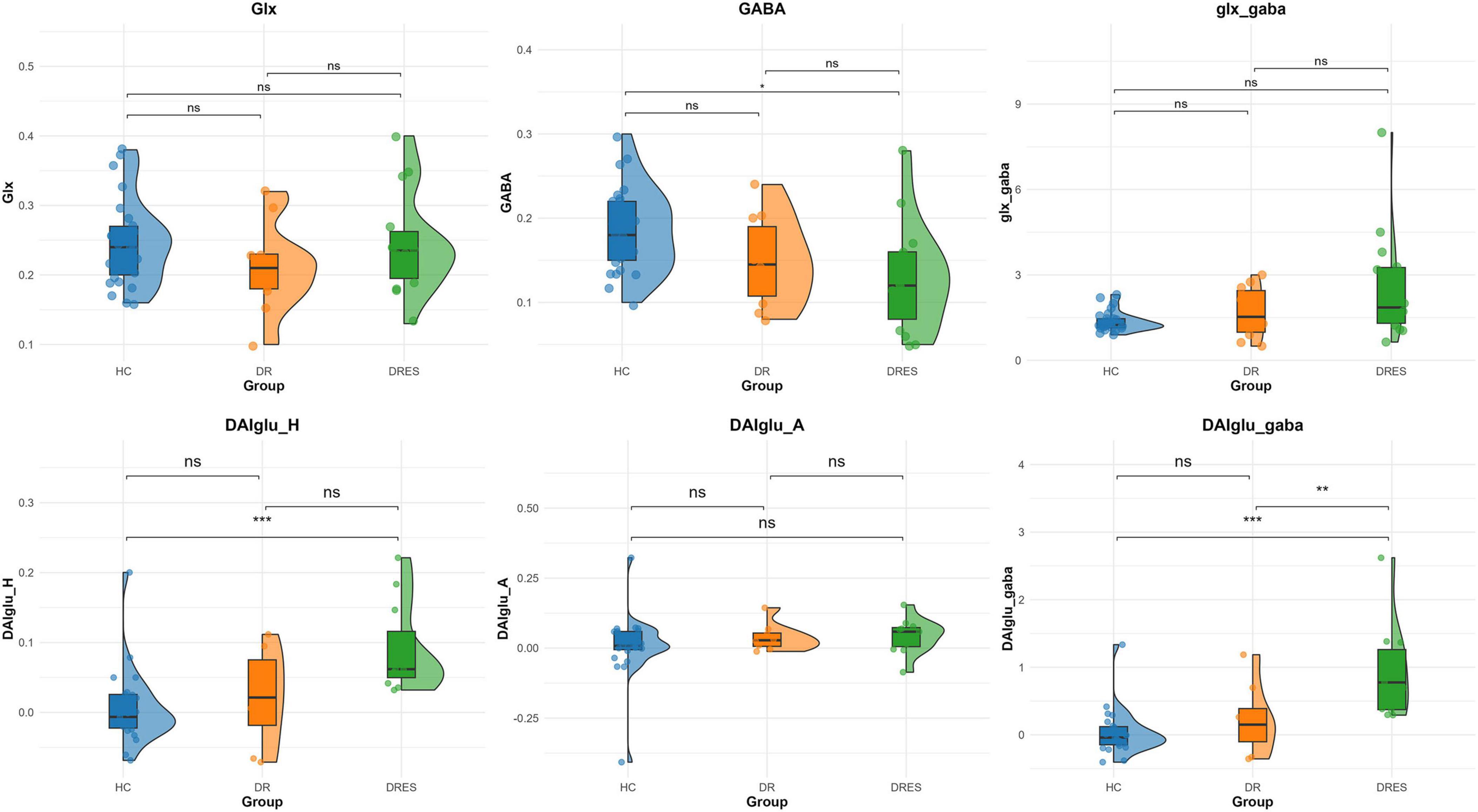
ABSTRACT Objectives: This study aimed to investigate the diagnostic value of combined glutamate chemical exchange saturation transfer (GluCEST) imaging and γ-aminobutyric acid (GABA)-edited proton magnetic resonance spectroscopy (1H-MRS) in localizing epileptogenic foci and differentiating drug-resistant epilepsy (DR) from drug-responsive epilepsy (DRES) in temporal lobe epilepsy (TLE) using 5T MRI. Methods: Twenty-four TLE patients (13 left, 11 right) and 25 age-/gender-matched healthy controls (HCs) underwent GluCEST and MEGA-PRESS MRS at 5T MRI. Directional asymmetry indices (DAIglu_H for hippocampus, DAIglu_A for amygdala) and a novel composite biomarker (DAIglu_GABA) integrating GluCEST asymmetry and GABA/Cr ratios were analyzed. Another asymmetry metric was employed to discriminate the left and right TLE groups (DAIglu_H(epi) for hippocampus, DAIglu_A(epi) for amygdala). Subgroup comparisons (HC vs. DR vs. DRES) and receiver-operating characteristic (ROC) analyses were performed. Results: GluCEST-derived hippocampal asymmetry (DAIglu_H(epi)) effectively lateralized epileptogenic foci (AUC = 0.86). The DRES patients exhibited elevated DAIglu_H (adjusted p < 0.001) and reduced GABA/Cr (adjusted p = 0.015) compared to HCs. The DAIglu_GABA index increased in the DRES subgroup compared to HCs (adjusted p < 0.001). Moreover, DAIglu_GABA levels were found to be significantly lower in the DR subgroup in comparison to the DRES subgroup (adjusted p = 0.009). Conclusions: Multimodal 5T MRI integrating GluCEST and GABA-MRS provides a clinically feasible tool for lateralizing epileptogenic foci and stratifying drug resistance in TLE. The observed excitatory-inhibitory imbalance dynamics suggest distinct neurometabolic profiles underlying DR and DRES, advancing personalized therapeutic strategies.
Keywords: Excitatory-Inhibitory imbalance, Temporal Lobe Epilepsy, GABA, Glutamate, MRS, GluCEST
Received: 06 Jul 2025; Accepted: 29 Oct 2025.
Copyright: © 2025 Huang, Deng, Xu, Shi, Jiang, Xue, Li, Wei, Xia and Meng. This is an open-access article distributed under the terms of the Creative Commons Attribution License (CC BY). The use, distribution or reproduction in other forums is permitted, provided the original author(s) or licensor are credited and that the original publication in this journal is cited, in accordance with accepted academic practice. No use, distribution or reproduction is permitted which does not comply with these terms.
* Correspondence: Xiangshui Meng, xiangshuimeng2022@163.com
Disclaimer: All claims expressed in this article are solely those of the authors and do not necessarily represent those of their affiliated organizations, or those of the publisher, the editors and the reviewers. Any product that may be evaluated in this article or claim that may be made by its manufacturer is not guaranteed or endorsed by the publisher.
