ORIGINAL RESEARCH article
Front. Aging Neurosci.
Sec. Neuroinflammation and Neuropathy
Association of White Matter Hyperintensity with Systemic Inflammation Markers and Cognitive Assessments:A Cross-sectional Study via SHAPAnalysis
Provisionally accepted- 1First Affiliated Hospital of Baotou Medical College, Inner Mongolia University of Science and Technology, Baotou, China
- 2Baogang Hospital of Inner Mongolia, Baotou, China
Select one of your emails
You have multiple emails registered with Frontiers:
Notify me on publication
Please enter your email address:
If you already have an account, please login
You don't have a Frontiers account ? You can register here
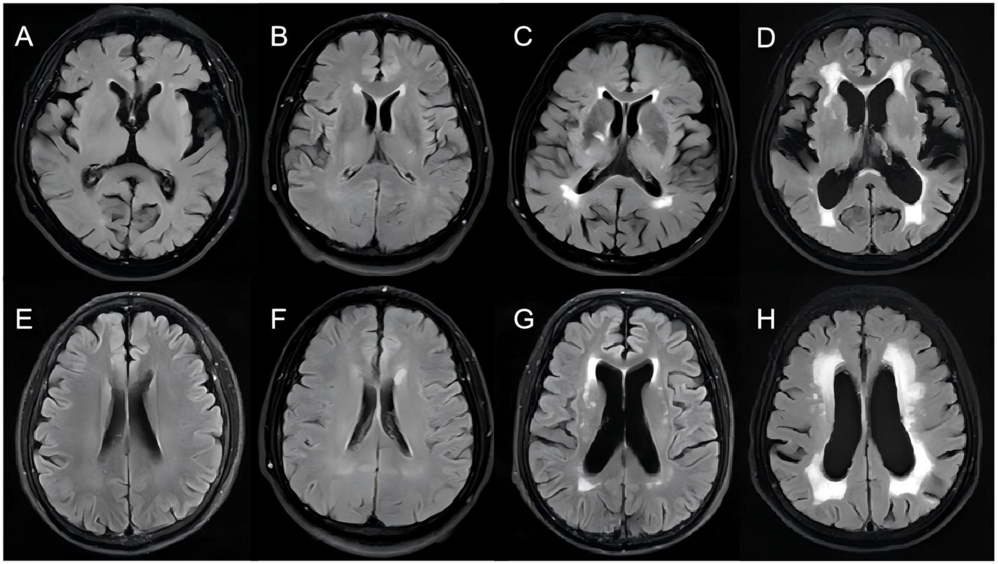
Background: White matter hyperintensity (WMH), a common neuroimaging feature in the older adults, has not been systematically elucidated regarding its association with cognitive function and systemic inflammation. Aim: To develop and validate a clinical model for higher WMH burden integrating MoCA and CBC-derived inflammatory markers, and to quantify their independent and joint associations with WMH severity.Methods: This study retrospectively collected data from patients with WMH at the First Affiliated Hospital of Baotou Medical College (December 2023 - December 2024).We used univariate and multivariate logistic regression analyses to identify WMH-related variables. Then, we constructed an artificial neural network model and performed Ten-fold cross-validation for internal validation and model performance comparison.The Shapley Additive Explanations (SHAP) method was employed to evaluate both models.Results: Correlation analysis revealed a significant association between the systemic inflammation response index (SIRI) and WMH burden (P < 0.01). Multivariate logistic regression analysis identified age, hypertension, high-density lipoprotein (HDL), previous cerebrovascular disease, the systemic inflammation response index (SIRI), and the Montreal Cognitive Assessment (MoCA) score as independent predictors of WMH burden.Ten-fold cross-validation showed that the set neural network model performed as well as the logistic regression model (AUC=0.824). SHAP-based visual analysis identified age, MoCA score, and hypertension as key driving factors.Conclusion: Age, hypertension, previous cerebrovascular disease, HDL, SIRI and MoCA score are independent risk factors for moderate to severe WMH occurred.The model integrating MoCA and inflammatory markers accurately predicts moderate to Severe WMH. This study offers a multidimensional assessment framework for WMH risk stratification and early intervention.
Keywords: White matter hyperintensity (WMH), Montreal Cognitive Assessment (MoCA), Systemicinflammation response index (SIRI) ((neutrophil count × monocyte count)/lymphocyte count), Neural Network Model & Deviation Forecasting, Cerebral small vessel disease (CSVD)
Received: 16 Jul 2025; Accepted: 06 Nov 2025.
Copyright: © 2025 Gao, LV, Wu, Guo, Li, Yu, Wang, Ma, Li, Zhang, Guo, Yan, Ju and Liu. This is an open-access article distributed under the terms of the Creative Commons Attribution License (CC BY). The use, distribution or reproduction in other forums is permitted, provided the original author(s) or licensor are credited and that the original publication in this journal is cited, in accordance with accepted academic practice. No use, distribution or reproduction is permitted which does not comply with these terms.
* Correspondence:
Li-E Wu, dx6917@163.com
Xia Guo, guoxia0424@163.com
Disclaimer: All claims expressed in this article are solely those of the authors and do not necessarily represent those of their affiliated organizations, or those of the publisher, the editors and the reviewers. Any product that may be evaluated in this article or claim that may be made by its manufacturer is not guaranteed or endorsed by the publisher.
