ORIGINAL RESEARCH article
Front. Comput. Neurosci.
This article is part of the Research TopicAdvancements in Smart Diagnostics for Understanding Neurological Behaviors and Biosensing Applications - Volume IIView all 5 articles
GAME-Net: An Ensemble Deep Learning Framework Integrating Generative Autoencoders and Attention Mechanisms for Automated Brain Tumor Segmentation in MRI
Provisionally accepted- 1University of Engineering & Technology Peshawar, Peshawar, Pakistan
- 2Department of Computer Engineering, College of Computer Sciences and Information Technology, King Faisal University, Al-Ahsa 31982, Saudi Arabia, Al-Ahsa 31982, Saudi Arabia
- 3University of Gujrat, Gujrat, Pakistan
- 4CECOS University, Peshawar, Pakistan
- 5King Faisal University, Al Ahsa, Saudi Arabia
Select one of your emails
You have multiple emails registered with Frontiers:
Notify me on publication
Please enter your email address:
If you already have an account, please login
You don't have a Frontiers account ? You can register here
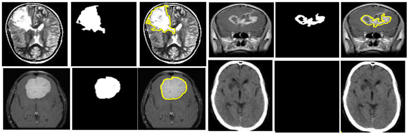
Computational approaches that unite Artificial Intelligence (AI), Machine Learning (ML), and biomedical imaging are transforming the landscape of life sciences research. Brain tumors require accurate and early detection for effective treatment planning. Manual segmentation of Magnetic Resonance Imaging (MRI) is time-consuming and prone to variability. This study proposes an advanced deep learning framework integrating Generative Autoencoders with Attention Mechanisms (GAME), Convolutional Neural Networks (CNNs), and U-Net-based architectures for automated brain tumor segmentation. The model enhances feature extraction, tumor localization, and classification accuracy. Using 5,880 MRI images, divided into training, validation, and test sets, preprocessing involved intensity normalization, data augmentation, and unsupervised feature extraction based on the BraTS 2023 benchmark dataset, accessed through the Kaggle distribution portal to ensure consistency with established brain tumor segmentation standards. Segmentation leverages U-Net with attention, while classification employs CNN and Transformer-based self-attention. The generative autoencoder improves feature representation by learning tumor-specific patterns. The framework outperformed traditional models, achieving a Dice Coefficient of 0.85, Jaccard Index of 0.78, Accuracy of 87.18%, Sensitivity of 88.3%, Specificity of 86.5%, and AUC-ROC of 0.91. By demonstrating how advanced computational modelling and unsupervised feature learning can address clinically relevant challenges, this work exemplifies the integration of AI and data science within the biomedical domain.
Keywords: Brain tumor segmentation, generative autoencoder, attention mechanism, Ensemble Deep Learning, magnetic resonance imaging (MRI)
Received: 10 Sep 2025; Accepted: 21 Nov 2025.
Copyright: © 2025 Haq, Iqbal, Anas, Masood, Alzahrani and Al-Naeem. This is an open-access article distributed under the terms of the Creative Commons Attribution License (CC BY). The use, distribution or reproduction in other forums is permitted, provided the original author(s) or licensor are credited and that the original publication in this journal is cited, in accordance with accepted academic practice. No use, distribution or reproduction is permitted which does not comply with these terms.
* Correspondence:
Ihtisham Ul Haq, ihtisham1022@gmail.com
Abid Iqbal, aaiqbal@kfu.edu.sa
Disclaimer: All claims expressed in this article are solely those of the authors and do not necessarily represent those of their affiliated organizations, or those of the publisher, the editors and the reviewers. Any product that may be evaluated in this article or claim that may be made by its manufacturer is not guaranteed or endorsed by the publisher.
