CASE REPORT article
Front. Med.
Sec. Hepatobiliary Diseases
Hepatic Encephalopathy Due to Non-cirrhotic Portal Hypertension Associated with Non-Alcoholic Steatohepatitis and Chronic Hepatitis B: A Case Report
Provisionally accepted- 1970th Hospital of PLA Joint Logistic Support Force, Shandong Province, China, China
- 2960th Hospital of the PLA, Jinan, Shandong Province, China
Select one of your emails
You have multiple emails registered with Frontiers:
Notify me on publication
Please enter your email address:
If you already have an account, please login
You don't have a Frontiers account ? You can register here
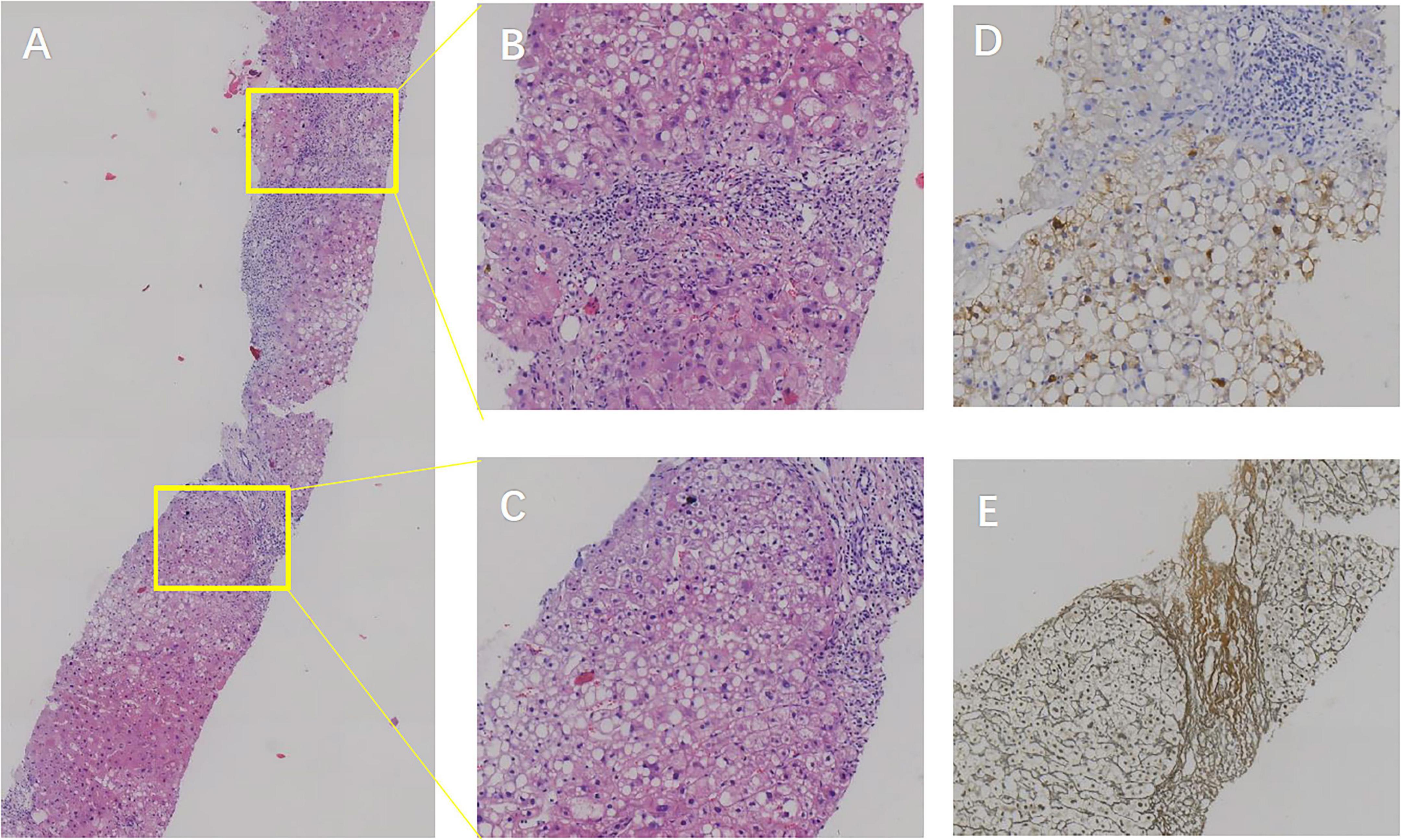
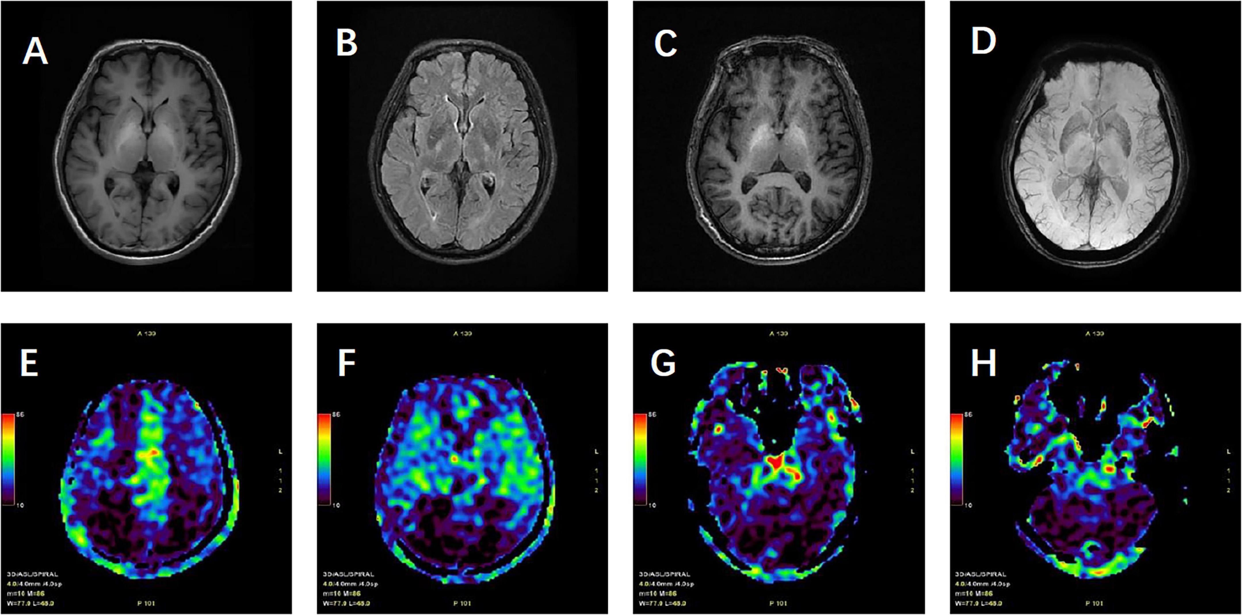
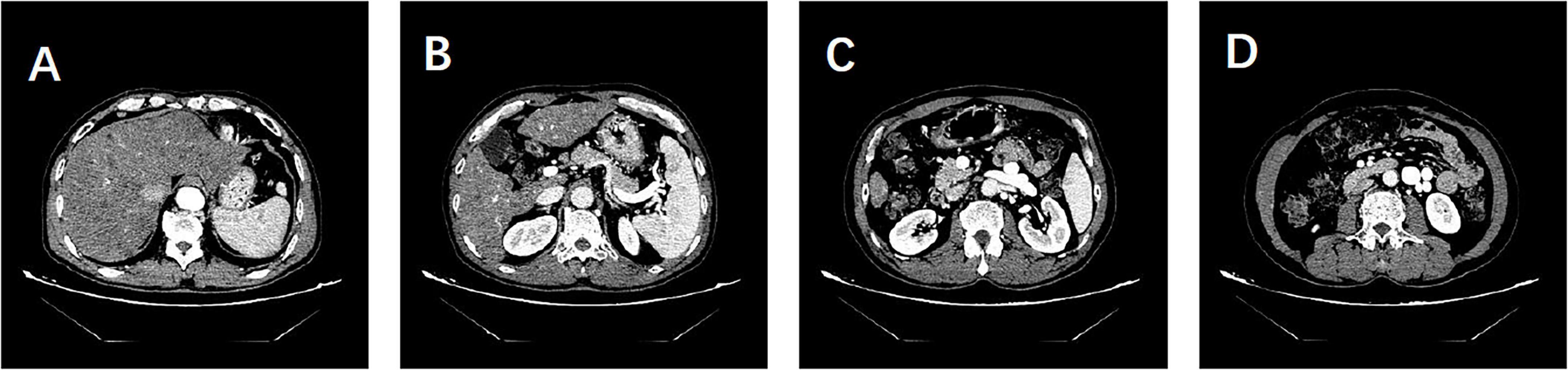
[Abstract] This case report examines the diagnostic and therapeutic complexities presented by a patient with hepatic encephalopathy resulting from overlapping pathologies of non-alcoholic steatohepatitis (NASH), hepatitis B virus (HBV) infection, and non-cirrhotic portal hypertension (NCPH). Highlighting the intricate relationship among these conditions, this study delineates the distinct and overlapping clinical features, diagnostic challenges, and therapeutic approaches. The patient exhibited atypical symptoms typical of NASH but lacked clear signs of cirrhosis, complicating both the diagnostic process and the therapeutic management. The diagnostic journey involved a nuanced assessment using multimodal imaging techniques, which were crucial in distinguishing between hepatic encephalopathy caused by cirrhosis and that due to NCPH. Treatment strategies had to be carefully tailored to address the specific etiological factors and pathology of the conditions involved, with particular attention to managing metabolic disorders such as insulin resistance and abnormalities in lipid and glucose metabolism, frequently observed in both NASH and HBV. The case underscores the need for a comprehensive and individualized approach in managing complex hepatic conditions, especially when conventional diagnostic criteria and treatment protocols face limitations.
Keywords: non-alcoholic steatohepatitis, Hepatitis B virus, Non-cirrhotic portal hypertension, Hepatic Encephalopathy, case report, liver biopsy, Diagnostic challenges, Therapeutic management
Received: 18 Feb 2025; Accepted: 30 Oct 2025.
Copyright: © 2025 li, zhang, Liu, Liu, Yu and Sun. This is an open-access article distributed under the terms of the Creative Commons Attribution License (CC BY). The use, distribution or reproduction in other forums is permitted, provided the original author(s) or licensor are credited and that the original publication in this journal is cited, in accordance with accepted academic practice. No use, distribution or reproduction is permitted which does not comply with these terms.
* Correspondence:
Huan li, hcoutly@163.com
Xiangming Yu, xiangmingyu970@163.com
Shuyan Sun, hcoutly@126.com
Disclaimer: All claims expressed in this article are solely those of the authors and do not necessarily represent those of their affiliated organizations, or those of the publisher, the editors and the reviewers. Any product that may be evaluated in this article or claim that may be made by its manufacturer is not guaranteed or endorsed by the publisher.
