Abstract
Nocardia bacteremia is a rare but life-threatening opportunistic infection associated with high mortality rates. Early diagnosis and prompt initiation of appropriate treatment are crucial for improving patient outcomes. In our study, we report a patient with diffuse large B-cell lymhoma who unfortunately had a bloodstream infection with Nocardia cyriacigeorgica. The patient presented with characteristic clinical manifestations of septic shock, including persistent high-grade fever, hypotension, and acute renal insufficiency. Despite receiving empirical treatment with imipenem for 6 days following admission, the patient remained febrile with temperatures reaching 39°C. Subsequent blood cultures identified N. cyriacigeorgica, prompting a modification of the antimicrobial regimen to a triple-drug combination of imipenem, linezolid, and trimethoprim-sulfamethoxazole (TMP-SMX). Following the initiation of therapy, the patient demonstrated significant clinical improvement and was subsequently discharged. Based on this clinical experience and the severity of nocardial infections, we recommend combination therapy with two to three antimicrobial agents for the management of Nocardia infections.
1 Introduction
Nocardia are aerobic Gram-positive bacteria and are widely distributed in soil, dust, decaying vegetation, and aquatic environments (1). Nocardia infection typically occurs in immunocompromised hosts, such as solid-organ or hematopoietic stem cell transplant patients, malignancies, human immunodeficiency virus infection, primary immune deficiencies and those receiving long-term treatment with steroids or immunosuppressants (2). Nocardia are usually transmitted to humans through inhalation or inoculation into the skin (3, 4). Thus, nocardial infections mainly manifest as pulmonary, or have skin involvement (5, 6). However, the bacteria can disseminate hematogenously to distant organs or spread to adjacent tissues by contiguous invasion (6). Nocardia bacteremia is rare, accounting for approximately 1.3%–7.7% of patients with Nocardia infections (7, 8). It is reported that the mortality rate among patients with Nocardia bacteremia is as high as 40% (9).
Cases of Nocardia bacteremia have been documented in patients with advanced T-cell lymphoma, pediatric acute lymphoblastic leukemia, and malignant lymphoma (10–12). To date, no literature reports have described Nocardia bacteremia in diffuse large B-cell lymphoma patients. In this study, we report a case of a patient with diffuse large B-cell lymphoma, who survived Nocardia bacteremia, providing valuable experience for clinical reference.
2 Case presentation
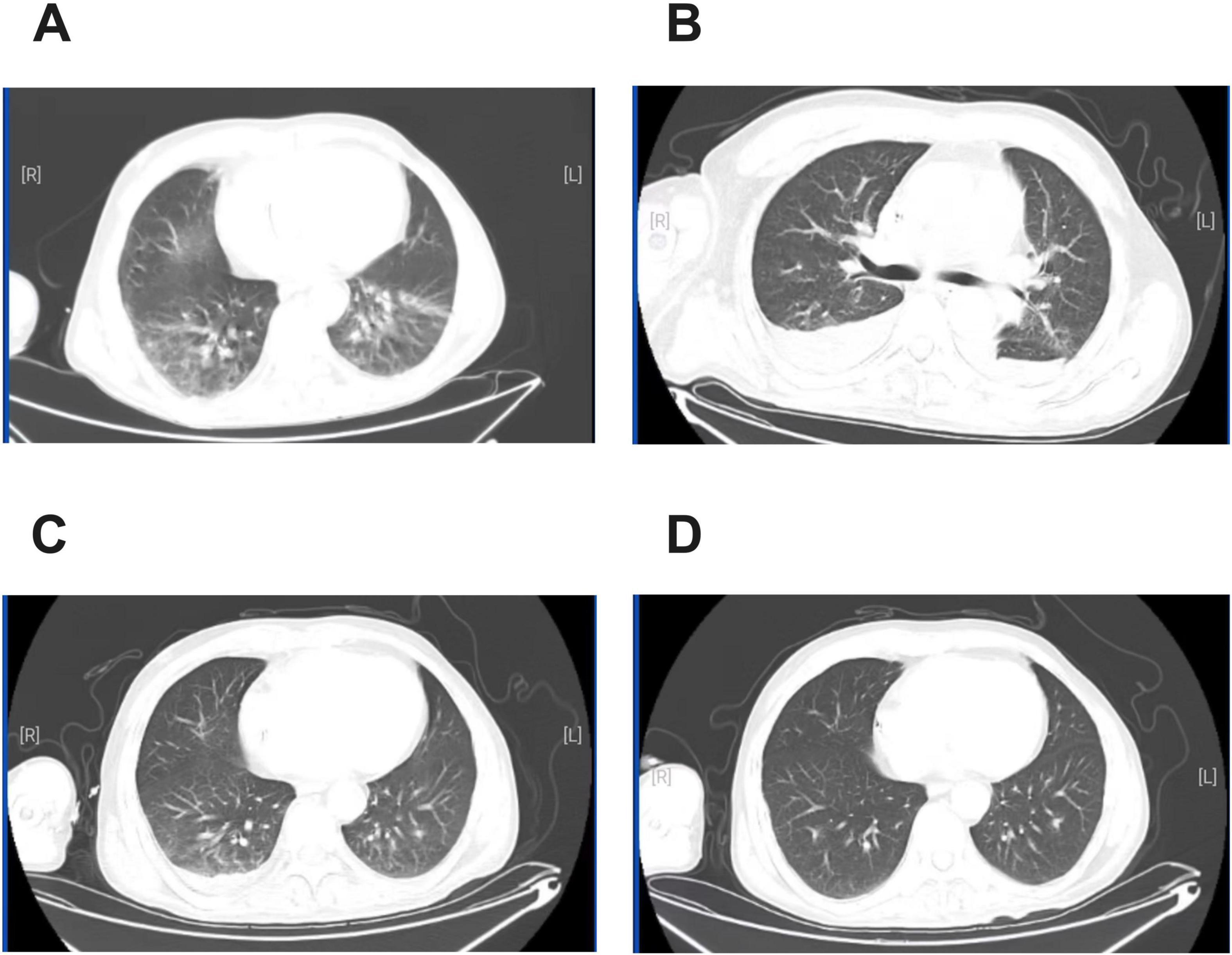
The patient was a 55-year-old man weighing 56.5 kg. BMI was 18.66 kg/m2. He was diagnosed with diffuse large B-cell lymphoma five months previously and was undergoing regular chemotherapy. He was admitted to our hospital with fever for 3 days. His vital signs were as follows: temperature 39°C, blood pressure 87/50 mmHg, pulse 108 beats/min, and respiratory rate 26 breaths/min with an oxygen saturation of 95% on room air. Laboratory examination showed white blood cell count (WBC): 3.9 × 109/L, the proportion of neutrophils was 76.9%, C-reactive protein (CRP): 189.3 mg/L, Procalcitonin (PCT): 4.46 ng/mL, creatinine: 366.5 μmol/L, eGFR: 16.12 mL/min (Table 1). Chest Computed Tomography (CT) was obtained, showing streaks, nodules and patchy abnormal shadows in both lungs (Figure 1A). The patient was diagnosed with septic shock. Blood and sputum cultures were obtained and the patient was initially empirically treated with imipenem (0.5 g q8h iv) for 5 days. On day 6 of treatment (D6), the temperature was 39°C, WBC count was 6.88 × 109/L, the proportion of neutrophils was 92.6%, the CRP level was 63.17 mg/L, PCT decreased to 2.098 ng/mL, the creatinine was 156.7 μmol/L (Table 1). The follow-up CT scan revealed reticular shadows, nodules, patchy infiltrates, and areas of consolidation in both lungs with ill-defined margins; atelectasis in the lower lobes of both lungs, and bilateral pleural effusion (Figure 1B). Blood aerobic culture was positive on the automatic blood culture system. The identification was performed by MALDI-TOF MS (Autof MS 1000), confirming the isolate as Nocardia cyriacigeorgica. The confidence score was 99.9%. Due to challenges associated with antimicrobial stability and the fastidious growth characteristics of Nocardia spp., most clinical laboratories in China do not routinely perform susceptibility testing. The antibiotic regimen was changed to imipenem (0.5 g q6h iv), linezolid (0.6 g q12h iv) and trimethoprim-sulfamethoxazole (TMP-SMX) (160 mg/800 mg bid) for 23 days (13). After counseling on risks of undiagnosed intracranial pathology, the patient declined brain imaging studies due to absence of symptoms suggestive of intracranial infection (13, 14). After 3 days of treatment (D9), the patient’s temperature was around 38°C. Neutrophil%, CRP, PCT and creatinine decreased (Table 1). On D14, the patient’s clinical condition improved. A repeat blood culture was negative. On D22, chest CT showed significant reduction in the lesion area (Figure 1C). The patient’s temperature was normal. On D29, the result of chest CT was bilateral pulmonary nodules (Figure 1D). The patient was afebrile. The patient was discharged from the hospital on the 30th day after the admission. There were no adverse drug reactions observed during treatment. After discharge, the patient was asked to continue oral TMP-SMX and repeat chest CT imaging regularly (clinical course summarized in Figure 2).
TABLE 1
| Laboratory tests | D1 | D6 | D9 | D14 | D22 |
| WBC (×109/L) | 3.9 | 6.88 | 6.97 | 7.01 | 6.89 |
| Proportion of neutrophils (%) | 76.9 | 92.6 | 83.6 | 79.6 | 70.7 |
| PCT (ng/ml) | 4.46 | 2.098 | 1.005 | 0.296 | 0.16 |
| CRP (mg/ml) | 189.3 | 63.17 | 52.85 | 36.14 | 18.51 |
| Creatinine (umol/L) | 366.5 | 156.7 | 138.2 | 163 | 166 |
| eGFR (mL/min/1.73 m2) | 16.12 | 44.45 | 51.74 | 42 | 41 |
Blood test results.
WBC, white blood cell count; PCT, procalcitonin; CRP, C-reactive protein.
FIGURE 1
![Four panels labeled A, B, C, and D show axial chest CT scans. Each scan depicts the lungs with varying degrees of clarity and contrast, highlighting pulmonary structures such as bronchi and blood vessels. Labels [R] and [L] indicate the right and left sides.](https://www.frontiersin.org/files/Articles/1595190/xml-images/fmed-12-1595190-g001.webp)
CT of the chest. (A) Admission. (B) After 6 days of treatment with imipenem. (C) After 16 days of treatment with imipenem, linezolid and TMP-SMX (D). After 23 days of treatment with imipenem, linezolid and TMP-SMX.
FIGURE 2

Clinical course timeline.
3 Discussion
According to the List of Prokaryotic Names with Standing in Nomenclature, 120 Nocardia species have been described currently, and up to 54 Nocardia species have been shown to cause disease in humans (15–17). The most commonly identified species in humans include N. nova, N. brasiliensis, N. farcinica, N. cyriacigeorgica, N. brevicatena and N. abscessus (18). In China, N. farcinica is the most common species (19). Nocardiosis is confirmed by identifying the organism through culture, which usually takes several days to several weeks (20). Furthermore, it can also be diagnosed by molecular testing of samples obtained from a suspected site of infection (20, 21). Whole genome sequencing (WGS) is a high-throughput method (22). It has become an invaluable tool for doctors. WGS can provide an unprecedented amount of information and significantly streamlining diagnostics, particularly for slow-growing pathogens (23). WGS enables the sequencing of Mycobacterium tuberculosis and the identification of drug-resistant tuberculosis (DR-TB) profiles by detecting known mutations (24, 25). Detection of Nocardia species in human samples has been achieved through WGS (22, 26, 27). WGS can also be used to reveal the genomic diversity, taxonomic classification, and evolutionary relationships of the genus Nocardia (28).
Nocardia bacteremia is a rare occurrence with a high mortality rate of 40%, and is a severe form of disseminated nocardiosis (9). Most patients with bacteremia have pulmonary infection and are immunocompromised, which is consistent with this patient (9). Early diagnosis and treatment of Nocardia bacteremia are critically important to prognosis. At present, the choice of antimicrobials is based on cumulative retrospective experience (29). For severe infection with Nocardia, initial empirical treatment is recommended with a combination of two or three antimicrobials (13, 14). Although TMP-SMX has been used as part of first-line therapy for nocardiosis, not all Nocardia species are susceptible; thus, antibiotic sensitivity testing is still recommended when feasible (30, 31). Amikacin, imipenem, moxifloxacin, minocycline, linezolid, tigecycline and dapsone also have activity against Nocardia in vitro (32). Different Nocardia species have varying susceptibility patterns. N. cyriacigeorgica is usually susceptible to TMP-SMX, imipenem, ceftriaxone, and amikacin but resistant to amoxicillin-clavulanic acid (7, 33). However, the susceptibility to carbapenems varies between geographical regions and among different Nocardia species (7, 18, 33). The optimal duration of antimicrobial treatment for severe disease has not been determined and usually depends on the patient’s immune status.
In our case, the patient was initially treated with imipenem monotherapy, but unfortunately, the treatment was unsuccessful. According to the results of blood culture, the patient was subsequently treated with TMP-SMX, imipenem, and linezolid for 23 days. Following discharge, the patient continued to receive oral TMP-SMX for 12 months.
The limitations of this study should be mentioned. Further prospective and well-designed clinical trials are required, especially with large samples, to further evaluate the therapeutic effects of the combination of TMP-SMX, imipenem, and linezolid.
4 Conclusion
Nocardia bacteremia has a high mortality rate, and early diagnosis and treatment directly affect the prognosis. Our report suggests that, for Nocardia bacteremia, severe pulmonary infection, or disseminated disease, a combination of two or three antimicrobials is essential.
Statements
Data availability statement
The original contributions presented in this study are included in this article/supplementary material, further inquiries can be directed to the corresponding authors.
Ethics statement
The studies involving humans were approved by the First Hospital of Qiqihar Institutional Review Board. The studies were conducted in accordance with the local legislation and institutional requirements. The participants provided their written informed consent to participate in this study. Written informed consent was obtained from the individual(s) for the publication of any potentially identifiable images or data included in this article.
Author contributions
ND: Writing – review & editing, Writing – original draft. BX: Data curation, Investigation, Writing – original draft. HW: Writing – review & editing, Data curation, Investigation. HT: Investigation, Writing – review & editing, Validation. JL: Writing – original draft, Investigation. JM: Project administration, Writing – review & editing, Funding acquisition, Supervision. DY: Conceptualization, Writing – review & editing, Project administration, Supervision.
Funding
The author(s) declare that financial support was received for the research and/or publication of this article. This work was supported by Shenzhen High-Level Hospital Construction Plan and Guangdong Hospital Association Pharmaceutical Research Special Fund (2022YXKY20).
Conflict of interest
The authors declare that the research was conducted in the absence of any commercial or financial relationships that could be construed as a potential conflict of interest.
Generative AI statement
The authors declare that no Generative AI was used in the creation of this manuscript.
Any alternative text (alt text) provided alongside figures in this article has been generated by Frontiers with the support of artificial intelligence and reasonable efforts have been made to ensure accuracy, including review by the authors wherever possible. If you identify any issues, please contact us.
Publisher’s note
All claims expressed in this article are solely those of the authors and do not necessarily represent those of their affiliated organizations, or those of the publisher, the editors and the reviewers. Any product that may be evaluated in this article, or claim that may be made by its manufacturer, is not guaranteed or endorsed by the publisher.
References
1.
Wilson J . Nocardiosis: updates and clinical overview.Mayo Clin Proc. (2012) 87:403–7. 10.1016/j.mayocp.2011.11.016
2.
Lebeaux D Freund R van Delden C Guillot H Marbus S Matignon M et al Outcome and treatment of nocardiosis after solid organ transplantation: new insights from a European study. Clin Infect Dis. (2017) 64:1396–405. 10.1093/cid/cix124
3.
Lederman E Crum NF . A case series and focused review of nocardiosis: clinical and microbiologic aspects.Medicine. (2004) 83:300–13. 10.1097/01.md.0000141100.30871.39
4.
Beaman B Beaman L . Nocardia species: host-parasite relationships.Clin Microbiol Rev. (1994) 7:213–64. 10.1128/CMR.7.2.213
5.
Palmieri J Santo A Johnson S . Soil-acquired cutaneous nocardiosis on the forearm of a healthy male contracted in a swamp in rural eastern Virginia.Int Med Case Rep J. (2014) 7:41–7. 10.2147/IMCRJ.S59315
6.
Steinbrink J Leavens J Kauffman C Miceli M . Manifestations and outcomes of nocardia infections: comparison of immunocompromised and nonimmunocompromised adult patients.Medicine. (2018) 97:e12436. 10.1097/MD.0000000000012436
7.
Valdezate S Garrido N Carrasco G Medina-Pascual M Villalón P Navarro A et al Epidemiology and susceptibility to antimicrobial agents of the main Nocardia species in Spain. J Antimicrob Chemother. (2017) 72:754–61. 10.1093/jac/dkw489
8.
Coussement J Lebeaux D van Delden C Guillot H Freund R Marbus S et al Nocardia infection in solid organ transplant recipients: a multicenter European case-control study. Clin Infect Dis. (2016) 63:338–45. 10.1093/cid/ciw241
9.
Williams E Jenney A Spelman D . Nocardia bacteremia: a single-center retrospective review and a systematic review of the literature.Int J Infect Dis. (2020) 92:197–207. 10.1016/j.ijid.2020.01.011
10.
Lai C Chi C Chen H Lai C Fung C Liu C . Port-A catheter-associated Nocardia bacteremia detected by gallium inflammation scan: a case report and literature review.Scand J Infect Dis. (2004) 36:775–7. 10.1080/00365540410020929
11.
Watson M Estabrook M Burnham C . Catheter-associated Nocardia higoensis bacteremia in a child with acute lymphocytic leukemia.J Clin Microbiol. (2011) 49:469–71. 10.1128/JCM.01816-10
12.
Sinha M Shivaprakash M Chakrabarti A Shafiulla M Babu K Jayshree R . Bacteraemia caused by Sciscionella marina in a lymphoma patient: phenotypically mimicking Nocardia.J Med Microbiol. (2013) 62:929–31. 10.1099/jmm.0.053561-0
13.
Restrepo A Clark N . Nocardia infections in solid organ transplantation: guidelines from the infectious diseases community of practice of the American society of transplantation.Clin Transplant. (2019) 33:e13509. 10.1111/ctr.13509
14.
Margalit I Lebeaux D Tishler O Goldberg E Bishara J Yahav D et al How do I manage nocardiosis? Clin Microbiol Infect. (2021) 27:550–8. 10.1016/j.cmi.2020.12.019
15.
Brown-Elliott B Brown J Conville P Wallace R . Clinical and laboratory features of the Nocardia spp. based on current molecular taxonomy.Clin Microbiol Rev. (2006) 19:259–82. 10.1128/CMR.19.2.259-282.2006
16.
Hamdi A Fida M Deml S Abu Saleh O Wengenack N . Retrospective analysis of antimicrobial susceptibility profiles of nocardia species from a tertiary hospital and reference laboratory, 2011 to 2017.Antimicrob Agents Chemother. (2020) 64:e1868–1819. 10.1128/AAC.01868-19
17.
Xu S Wei M Li G Li Z Che Y Han L et al Comprehensive analysis of the nocardia cyriacigeorgica complex reveals five species-level clades with different evolutionary and pathogenicity characteristics. mSystems. (2022) 7:e0140621. 10.1128/msystems.01406-21
18.
Uhde K Pathak S McCullum I Jannat-Khah D Shadomy S Dykewicz C et al Antimicrobial-resistant nocardia isolates, United States, 1995-2004. Clin Infect Dis. (2010) 51:1445–8. 10.1086/657399
19.
Huang L Chen X Xu H Sun L Li C Guo W et al Clinical features, identification, antimicrobial resistance patterns of Nocardia species in China: 2009-2017. Diagn Microbiol Infect Dis. (2019) 94:165–72. 10.1016/j.diagmicrobio.2018.12.007
20.
Liang L Wang P Cui J Liang Z . Nocardia bloodstream infection: a retrospective clinical analysis of seven cases in a single centre.Cureus. (2020) 12:e8007. 10.7759/cureus.8007
21.
Kurahara Y Tachibana K Tsuyuguchi K Akira M Suzuki K Hayashi S . Pulmonary nocardiosis: a clinical analysis of 59 cases.Respir Investig. (2014) 52:160–6. 10.1016/j.resinv.2013.09.004
22.
Guo X Zhang Z Chen Q Wang L Xu X Wei Z et al Whole genome sequencing highlights the pathogenic profile in Nocardia Keratitis. Invest Ophthalmol Vis Sci. (2024) 65:26. 10.1167/iovs.65.3.26
23.
Brlek P Bulić L Bračić M Projić P Škaro V Shah N et al Implementing whole genome sequencing (WGS) in clinical practice: advantages, challenges, and future perspectives. Cells. (2024) 13:504. 10.3390/cells13060504
24.
Perea-Jacobo R Paredes-Gutiérrez G Guerrero-Chevannier MÁ Flores DL Muñiz-Salazar R . Machine learning of the whole genome sequence of Mycobacterium tuberculosis: a scoping PRISMA-based review.Microorganisms. (2023) 11:1872. 10.3390/microorganisms11081872
25.
Purushothaman S Meola M Egli A . Combination of whole genome sequencing and metagenomics for microbiological diagnostics.Int J Mol Sci. (2022) 23:9834. 10.3390/ijms23179834
26.
Varda Brkić D Babel J Budimir A Butić I Gužvinec M Jurić D et al Disseminated infection caused by Nocardia cyriacigeorgica in immunocompromised patient confirmed by whole genome sequencing. Chemotherapy. (2025) 70:1–8. 10.1159/000539977
27.
Liu C Yang J Huang H Zhan S Xia X . Case report: nocardia gipuzkoensis infection in an immunocompetent patient diagnosed by metagenomic next-generation sequencing and whole genome sequencing.Front Immunol. (2022) 13:1053914. 10.3389/fimmu.2022.1053914
28.
Xu S Li Z Huang Y Han L Che Y Hou X et al Whole genome sequencing reveals the genomic diversity, taxonomic classification, and evolutionary relationships of the genus Nocardia. PLoS Negl Trop Dis. (2021) 15:e0009665. 10.1371/journal.pntd.0009665
29.
Anagnostou T Arvanitis M Kourkoumpetis T Desalermos A Carneiro H Mylonakis E . Nocardiosis of the central nervous system: experience from a general hospital and review of 84 cases from the literature.Medicine. (2014) 93:19–32. 10.1097/MD.0000000000000012
30.
Mehta H Weng J Prater A Elworth R Han X Shamoo Y . Pathogenic Nocardia cyriacigeorgica and Nocardia nova evolve to resist trimethoprim-Sulfamethoxazole by both expected and unexpected pathways.Antimicrob Agents Chemother. (2018) 62:e364–318. 10.1128/AAC.00364-18
31.
Yang J Ren H Wang J Dong A Chen Y Hu D et al Clinical characteristics, susceptibility profiles, and treatment of nocardiosis: a multicenter retrospective study in 2015-2021. Int J Infect Dis. (2023) 130:136–43. 10.1016/j.ijid.2023.02.023
32.
Fatahi-Bafghi M . Nocardiosis from 1888 to 2017.Microb Pathog. (2018) 114:369–84. 10.1016/j.micpath.2017.11.012
33.
McTaggart L Doucet J Witkowska M Richardson S . Antimicrobial susceptibility among clinical Nocardia species identified by multilocus sequence analysis.Antimicrob Agents Chemother. (2015) 59:269–75. 10.1128/AAC.02770-14
Summary
Keywords
Nocardia cyriacigeorgica , nocardiosis, bloodstream infection, septic shock, diffuse large B-cell lymphoma
Citation
Du N, Xu B, Wang H, Tang H, Li J, Meng J and You D (2025) Case Report: Bloodstream infection with Nocardia cyriacigeorgica in a patient with diffuse large B-cell lymphoma. Front. Med. 12:1595190. doi: 10.3389/fmed.2025.1595190
Received
17 March 2025
Accepted
27 August 2025
Published
11 September 2025
Volume
12 - 2025
Edited by
Shisan (Bob) Bao, The University of Sydney, Australia
Reviewed by
Michael John Calcutt, University of Missouri, United States
Lichao Han, Chinese Center for Disease Control and Prevention, China
Updates
Copyright
© 2025 Du, Xu, Wang, Tang, Li, Meng and You.
This is an open-access article distributed under the terms of the Creative Commons Attribution License (CC BY). The use, distribution or reproduction in other forums is permitted, provided the original author(s) and the copyright owner(s) are credited and that the original publication in this journal is cited, in accordance with accepted academic practice. No use, distribution or reproduction is permitted which does not comply with these terms.
*Correspondence: Jun Meng, duningwin@163.comDan You, 444142846@qq.com
†These authors have contributed equally to this work and share first authorship
Disclaimer
All claims expressed in this article are solely those of the authors and do not necessarily represent those of their affiliated organizations, or those of the publisher, the editors and the reviewers. Any product that may be evaluated in this article or claim that may be made by its manufacturer is not guaranteed or endorsed by the publisher.