CASE REPORT article
Front. Med.
Sec. Obstetrics and Gynecology
Case Report: Management of a Pregnancy Complicated by a Symptomatic Macroprolactinoma
Provisionally accepted- 1Third Department of Obstetrics and Gynecology, National and Kapodistrian University of Athens, Athens, Greece
- 2Second Department of Anesthesiology, University General Hospital “ATTIKON”, Medical School, National and Kapodistrian University of Athens, Athens, Greece
Select one of your emails
You have multiple emails registered with Frontiers:
Notify me on publication
Please enter your email address:
If you already have an account, please login
You don't have a Frontiers account ? You can register here
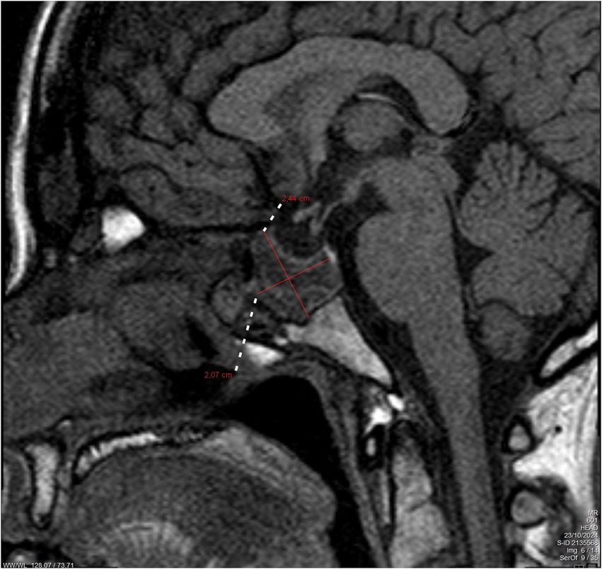
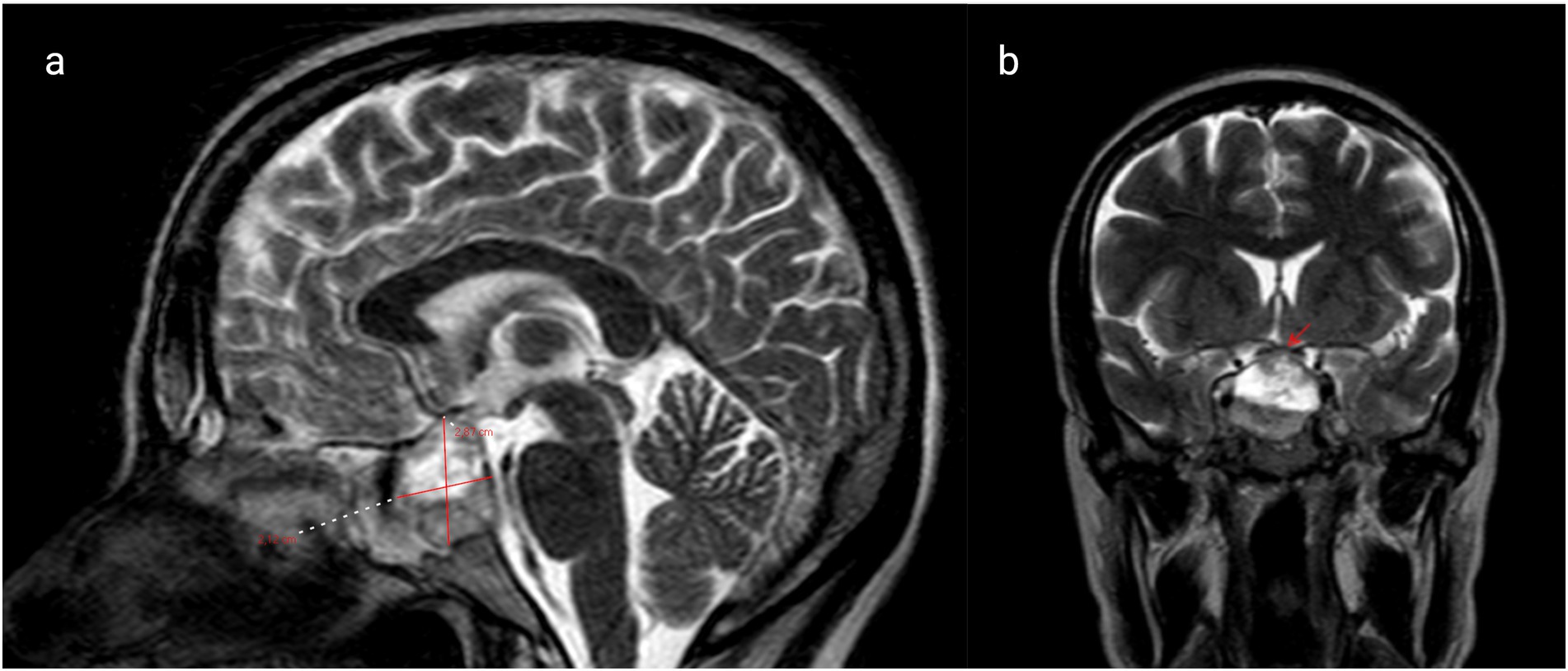
Background: Prolactinomas are the most common functional pituitary adenomas and may lead to infertility, visual field defects, and neurological impairment. Pregnancy poses unique challenges in women with macroprolactinomas due to the potential for tumor enlargement under the influence of gestational hormonal changes. Case: We present the case of a 40-year-old woman who conceived through in vitro fertilization (IVF) and presented at 38 + 3 weeks of gestation with new-onset diplopia. Magnetic Resonance Imaging (MRI) revealed a 29 mm hemorrhagic macroprolactinoma causing compression of the optic chiasm. The tumor had been previously asymptomatic and untreated. Management was undertaken by a multidisciplinary team including obstetricians, endocrinologists, neurosurgeons, and anesthesiologists. An elective caesarean section was performed under general anesthesia with careful attention to intracranial pressure control and hemodynamic stability. Outcome: Delivery was uneventful, with no perioperative neurological or anesthetic complications. The patient was discharged in good general condition and commenced on long-term dopamine agonist therapy, with planned close endocrinological and neurosurgical follow-up. Conclusion: This case highlights the importance of early diagnosis, individualized management, and multidisciplinary coordination in pregnant women with macroprolactinomas. Dopamine agonists remain the cornerstone of therapy and are generally safe during early pregnancy. Meticulous anesthetic planning is essential to optimize maternal and fetal outcomes.
Keywords: Prolactinoma, macroprolactinoma, Dopamine Agonists, cabergoline, Diplopia, pituitary adenoma, Pregnancy
Received: 26 Jun 2025; Accepted: 24 Oct 2025.
Copyright: © 2025 Topis, Christodoulaki, Riga, Arkoulis, Karampitsakos, Sidiropoulou, Drakakis, Potiris and Stavros. This is an open-access article distributed under the terms of the Creative Commons Attribution License (CC BY). The use, distribution or reproduction in other forums is permitted, provided the original author(s) or licensor are credited and that the original publication in this journal is cited, in accordance with accepted academic practice. No use, distribution or reproduction is permitted which does not comply with these terms.
* Correspondence: Anastasios Potiris, apotiris@med.uoa.gr
Disclaimer: All claims expressed in this article are solely those of the authors and do not necessarily represent those of their affiliated organizations, or those of the publisher, the editors and the reviewers. Any product that may be evaluated in this article or claim that may be made by its manufacturer is not guaranteed or endorsed by the publisher.
