CASE REPORT article
Front. Med.
Sec. Obstetrics and Gynecology
Case report: Rare Müllerian malformation Assisted by Digital 3D CT Reconstruction Technology for Diagnosis and Treatment
Provisionally accepted- Hainan General Hospital, Haikou, China
Select one of your emails
You have multiple emails registered with Frontiers:
Notify me on publication
Please enter your email address:
If you already have an account, please login
You don't have a Frontiers account ? You can register here
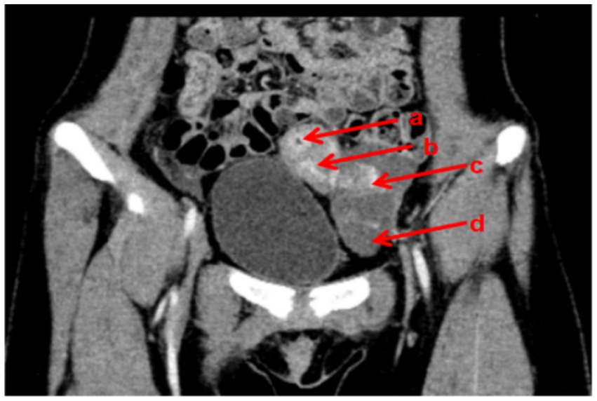
Abstract Introduction: Menstruation marks a significant developmental milestone, typically indicating healthy and normal pubertal changes in females. Primary amenorrhea can arise from various causes, including outflow tract abnormalities, resistant endometrium, primary ovarian insufficiency, and disorders of the hypothalamus, pituitary gland, or other endocrine organs. This report presents an exceptionally rare Müllerian malformation that does not conform perfectly to existing classification systems, necessitating an individualized management approach. Case presentation: We present the case of a 12-year-old girl with a rare Müllerian malformation, who presented with cyclic lower abdominal pain persisting for over nine months, with acute exacerbation in the preceding day. Comprehensive clinical evaluation and preoperative pelvic CT imaging revealed multiple anomalies: an unilateral rudimentary horn uterus with cavity and unilateral absence of the ovary and fallopian tube. Digital 3D CT reconstruction was utilized to confirm the diagnosis, revealing a left rudimentary horn uterus with cavity, hydrosalpinx of the left fallopian tube, and absence of the right ovary, fallopian tube and hemi-uterus. Surgical management included laparoscopic resection of the left rudimentary horn uterus and left fallopian tube. Postoperatively, the patient achieved complete resolution of cyclic lower abdominal pain. Conclusions: Digital 3D CT reconstruction technology is instrumental in diagnosing rare Müllerian malformations, providing crucial anatomical insights for surgical planning and patient counseling.
Keywords: Müllerian malformation, Digital 3D CT reconstruction, Rudimentary hornuterus, Unilateral adnexal absence, Primary amenorrhea
Received: 01 Jul 2025; Accepted: 30 Oct 2025.
Copyright: © 2025 Wang and Zhu. This is an open-access article distributed under the terms of the Creative Commons Attribution License (CC BY). The use, distribution or reproduction in other forums is permitted, provided the original author(s) or licensor are credited and that the original publication in this journal is cited, in accordance with accepted academic practice. No use, distribution or reproduction is permitted which does not comply with these terms.
* Correspondence: Genhai  Zhu, genhaizhu@163.com
Disclaimer: All claims expressed in this article are solely those of the authors and do not necessarily represent those of their affiliated organizations, or those of the publisher, the editors and the reviewers. Any product that may be evaluated in this article or claim that may be made by its manufacturer is not guaranteed or endorsed by the publisher.
