CASE REPORT article
Front. Med.
Sec. Obstetrics and Gynecology
This article is part of the Research TopicMaternal Metabolic Health: From Preconception to PostpartumView all 20 articles
Primary Rectal Ectopic Pregnancy: A Rare Case Report and Literature Review
Provisionally accepted- Jilin University, Changchun, China
Select one of your emails
You have multiple emails registered with Frontiers:
Notify me on publication
Please enter your email address:
If you already have an account, please login
You don't have a Frontiers account ? You can register here
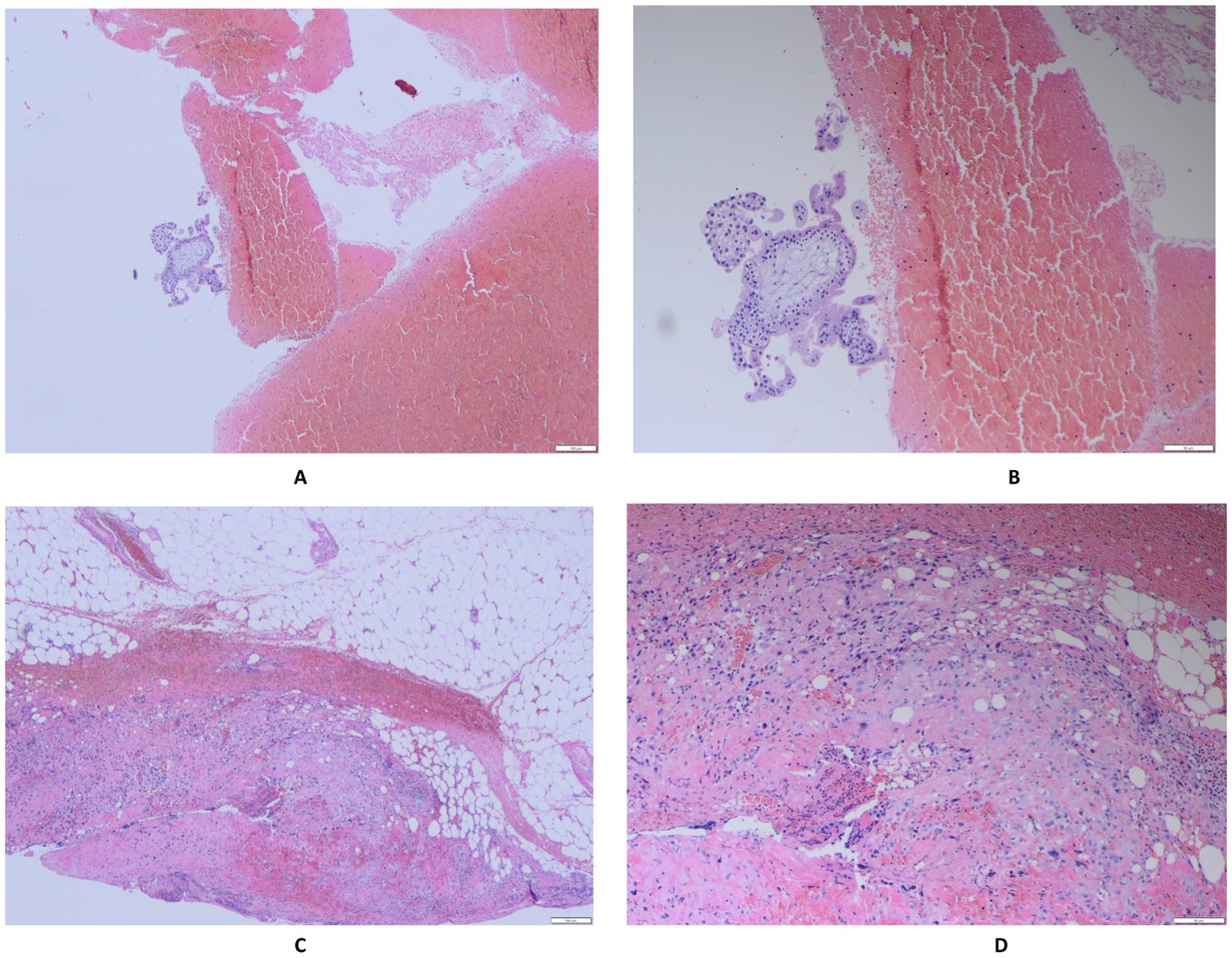
Background: Rectal ectopic pregnancy is classified into primary and secondary types, with primary REP being one of the rarest forms of extrauterine gestation. Currently, there are no standardized guidelines for its diagnosis and treatment. Case presentation: We present a case of primary REP in a 37-year-old woman with acute abdominal pain and massive intra-abdominal hemorrhage. Under the premise of gynecological ultrasound suggesting conventional tubal or ovarian ectopic pregnancy, we employed diagnostic single-port laparoscopy to exclude typical adnexal pregnancies. Through comprehensive exploration of both the upper and lower abdominal cavities, we ultimately confirmed the diagnosis of primary REP. And through coordinated efforts with gastrointestinal surgeons, we performed precise resection of the ectopic gestational tissue while preserving rectal integrity, with prompt control of intra-abdominal hemorrhage. This emergency intervention achieved dual success: lifesaving management coupled with minimally invasive advantages, Enhanced recovery after surgery and resulting in a nearly invisible umbilical incision with optimal cosmetic outcomes. Conclusion :Patients with REP often present with nonspecific early symptoms, leading to frequent misdiagnosis or delayed diagnosis. Definitive diagnosis is typically established only after the onset of severe complications. Through a multidisciplinary approach to this rare case and a systematic review of the literature, we have derived the following important clinical insights: 1.Early diagnosis strategy: early identification of REP requires a multimodal approach, including dynamic monitoring of serum β-hCG levels, pelvic ultrasound, and multimodal imaging assessment with CT/MRI. Diagnostic laparoscopy should be performed when necessary to confirm the location and extent of the lesion. 2. Broadening differential diagnosis considerations: in all women of childbearing age who are considered to be pregnant, especially when intrauterine, tubal, or ovarian pregnancy is not detected by ultrasound, REP should be included in the differential diagnosis. 3. Value of Minimally Invasive Surgery: Single-port laparoscopic surgery has demonstrated comprehensive advantages in such emergency surgeries, including minimal invasiveness, rapid recovery, and cosmetic benefits. However, this technique requires the surgeon to possess advanced skills, and the patient must meet the indications for single-port laparoscopic surgery. This article also provides important reference evidence for the development of standardized diagnostic and treatment protocols for rectal ectopic pregnancy.
Keywords: Rectal ectopic pregnancy, Extrauterine pregnancy, rare implantation, diagnosis, Treatment
Received: 04 Jul 2025; Accepted: 11 Nov 2025.
Copyright: © 2025 Zhang, Yang and Wang. This is an open-access article distributed under the terms of the Creative Commons Attribution License (CC BY). The use, distribution or reproduction in other forums is permitted, provided the original author(s) or licensor are credited and that the original publication in this journal is cited, in accordance with accepted academic practice. No use, distribution or reproduction is permitted which does not comply with these terms.
* Correspondence: Bowei Wang, wangbw@jlu.edu.cn
Disclaimer: All claims expressed in this article are solely those of the authors and do not necessarily represent those of their affiliated organizations, or those of the publisher, the editors and the reviewers. Any product that may be evaluated in this article or claim that may be made by its manufacturer is not guaranteed or endorsed by the publisher.
