ORIGINAL RESEARCH article
Front. Med.
Sec. Precision Medicine
This article is part of the Research TopicNext-Generation Preclinical Imaging and Analytical Technologies for Personalized OncologyView all articles
CerevianNet: Parameter Efficient Multiclass Brain Tumor Classification Using Custom Lightweight CNN
Provisionally accepted- 1North South University, Dhaka, Bangladesh
- 2University of Colorado Boulder, Boulder, United States
Select one of your emails
You have multiple emails registered with Frontiers:
Notify me on publication
Please enter your email address:
If you already have an account, please login
You don't have a Frontiers account ? You can register here
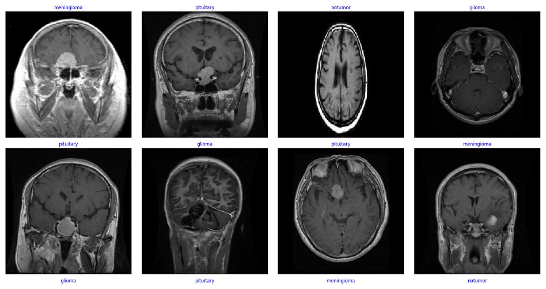
Brain tumors are a life-threatening condition, and their early detection is crucial for effective treatment and improved survival rates. Traditional manual evaluation techniques, such as expert radiologist assessments and visual inspections, are widely used for diagnosing brain tumors. While these methods can be highly reliable, they are often time-consuming, prone to human error, and challenging to scale for large datasets. Consequently, there is a growing demand for computer-aided diagnostic systems to overcome these limitations and deliver fast, accurate, and scalable solutions. Despite these promising advancements, the study highlights potential limitations, such as susceptibility to overfitting due to limited labeled data and the need for extensive hyperparameter tuning to generalize across diverse datasets. This paper proposes a scalable multi-class brain tumor classification framework optimized for small-form-factor devices. We introduced a novel lightweight custom convolutional neural network (CNN) that maintains high classification accuracy while significantly reducing computational complexity. We evaluated the capacity of the model by training and testing on five different datasets and the model performed well on all five. We saw great performance with the model on larger datasets, but it struggled when it came to smaller and imbalanced datasets. We achieved significant scores on the datasets, and we had the highest testing accuracy on Dataset-5 (99.67% training accuracy, 98.17% validation accuracy and 98.30% testing accuracy). What is important to note is that we had the lowest testing accuracy on Dataset-3 (99.99% training accuracy, 74.11% validation accuracy and 75.63% testing accuracy).. The proposed framework leverages state-of-the-art pre-trained deep learning models, including EfficientNetb3, ResNet-101, ResNet-50, Xception, AlexNet, DenseNet121, Swin Transformer, and our custom lightweight CNN model. Experimental evaluations demonstrate that EfficientNetb3 achieves the highest accuracy of 99.11%, while the custom lightweight CNN attains 98% accuracy with 4.1x fewer parameters and reduced training time. These results highlight the effectiveness of computer-aided approaches in achieving near-expert performance, making them suitable for integration into clinical workflows. This research paves the way for deploying efficient and scalable deep learning models in real-world medical applications to expand accessibility to accurate brain tumor diagnosis.
Keywords: brain tumor, custom lightweight CNN, MRI, medical imaging, Light weight
Received: 12 Jul 2025; Accepted: 31 Oct 2025.
Copyright: © 2025 Khurshid Jahan, Al Shafi, Maher Ali and Hussain. This is an open-access article distributed under the terms of the Creative Commons Attribution License (CC BY). The use, distribution or reproduction in other forums is permitted, provided the original author(s) or licensor are credited and that the original publication in this journal is cited, in accordance with accepted academic practice. No use, distribution or reproduction is permitted which does not comply with these terms.
* Correspondence: Rusho Maher Ali, maher.rusho@colorado.edu
Disclaimer: All claims expressed in this article are solely those of the authors and do not necessarily represent those of their affiliated organizations, or those of the publisher, the editors and the reviewers. Any product that may be evaluated in this article or claim that may be made by its manufacturer is not guaranteed or endorsed by the publisher.
