CASE REPORT article
Front. Med.
Sec. Nephrology
This article is part of the Research TopicAdvancements in Therapeutic Strategies for Pancreatic Cancer: Challenges and OpportunitiesView all 3 articles
Gemcitabine-Induced Membranoproliferative Glomerulonephritis with Immune Complexes in a Patient with Metastatic Pancreatic Cancer
Provisionally accepted- Mayo Clinic Florida, Jacksonville, United States
Select one of your emails
You have multiple emails registered with Frontiers:
Notify me on publication
Please enter your email address:
If you already have an account, please login
You don't have a Frontiers account ? You can register here
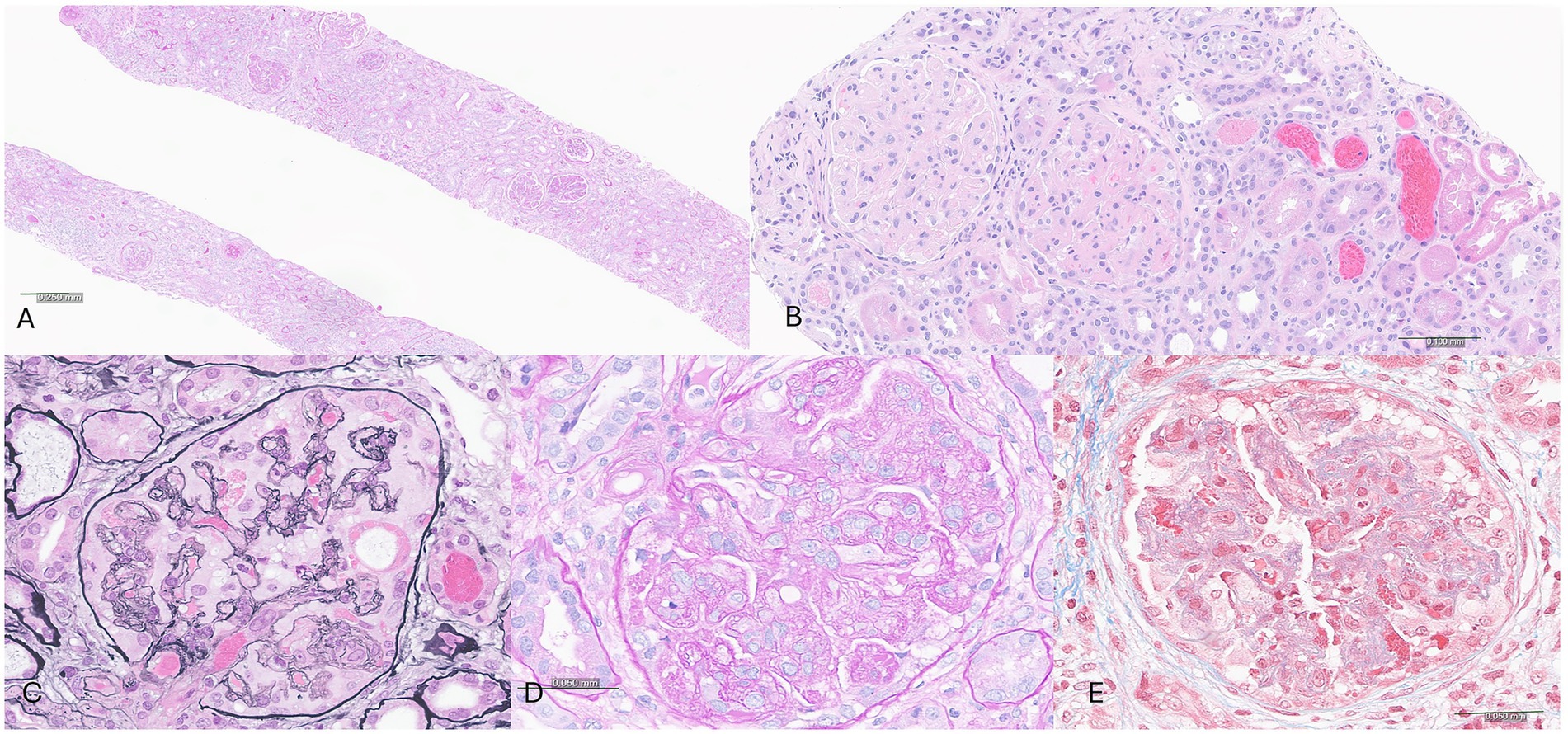
Gemcitabine is a widely used chemotherapeutic agent for pancreatic adenocarcinoma, that is associated with rare but serious renal complications including thrombotic microangiopathy (TMA). We report a unique case of biopsy-proven membranoproliferative glomerulonephritis (MPGN) with immune complex deposition in a woman receiving gemcitabine for metastatic pancreatic cancer. She developed new-onset hypertension, proteinuria, microscopic hematuria, and progressive renal dysfunction shortly following initiation of gemcitabine. Extensive autoimmune, complement, paraprotein, and viral serologies were unremarkable aside from a low haptoglobin. Kidney biopsy revealed an MPGN pattern with immune deposits. Gemcitabine was discontinued, and the patient was treated with corticosteroids and kidney-protective therapies targeting blood pressure and proteinuria reduction. Her proteinuria decreased significantly, and her renal function returned back to baseline. This case highlights a rare manifestation of gemcitabine-induced nephrotoxicity with immune complex MPGN, suggesting a possible novel mechanism of drug-associated glomerular injury.
Keywords: gemcitabine, Membranoproliferative glomerulonephritis, Pancreas, thrombotic microangiopathy, Proteinuria
Received: 22 Jul 2025; Accepted: 03 Nov 2025.
Copyright: © 2025 Abdelhakeem, Baker, Amin, Aslam, Babiker and Majeed. This is an open-access article distributed under the terms of the Creative Commons Attribution License (CC BY). The use, distribution or reproduction in other forums is permitted, provided the original author(s) or licensor are credited and that the original publication in this journal is cited, in accordance with accepted academic practice. No use, distribution or reproduction is permitted which does not comply with these terms.
* Correspondence: Umair Majeed, majeed.umair@mayo.edu
Disclaimer: All claims expressed in this article are solely those of the authors and do not necessarily represent those of their affiliated organizations, or those of the publisher, the editors and the reviewers. Any product that may be evaluated in this article or claim that may be made by its manufacturer is not guaranteed or endorsed by the publisher.
