Abstract
Background:
Secondary organizing pneumonia (SOP) may develop following infections. Psittacosis, caused by Chlamydia psittaci (C. psittaci), is a zoonotic disease transmitted from birds to humans. It can present with a wide spectrum of symptoms, ranging from mild flu-like illness to life-threatening severe pneumonia. Cases of C. psittaci infection complicated by organizing pneumonia (OP) are rarely reported, and delayed treatment may pose a life-threatening risk.
Methods:
We report a case of C. psittaci pneumonia complicated by OP. To identify additional cases and clarify the clinical features of this condition, a literature search was conducted using the PubMed and Embase databases for the period from January 1995 to May 2025. The search included the following keywords: “psittacosis,” “Chlamydia psittaci,” “chlamydia,” “organizing pneumonia,” and “bronchiolitis obliterans with organizing pneumonia.”
Results:
A 66-year-old male with a history of poultry farming presented with fever, cough, sputum production, and hemoptysis. Empirical antimicrobial therapy with ceftizoxime was ineffective. To identify the etiology of the pulmonary lesions, bronchoscopy was performed, and C. psittaci infection was confirmed by metagenomic next-generation sequencing (mNGS) of bronchoalveolar lavage fluid (BALF). Although the lesions partially resolved after moxifloxacin therapy, the patient experienced recurrent episodes. Chest CT revealed migratory lesions, which are uncommon in C. psittaci pneumonia. Further pathological examination of the specimen confirmed the diagnosis of OP. The patient's condition improved following corticosteroid therapy. A review of the literature indicated that none of the three previously reported cases were definitively diagnosed at initial admission; all presented primarily with fever and cough. One case progressed to severe pneumonia and resulted in death.
Conclusion:
OP caused by C. psittaci pneumonia presents with non-specific symptoms and signs, making early diagnosis challenging. During treatment of C. psittaci pneumonia, if empirical anti-infective therapy shows no response after three days, or if imaging reveals features such as consolidation, migratory lesions, or a reverse halo sign, the possibility of concurrent OP should be considered. Pathological examination is recommended in such cases to avoid missed diagnosis and to ensure timely intervention.
Introduction
Organizing pneumonia (OP), previously termed bronchiolitis obliterans with organizing pneumonia (BOOP) (1), In 2002, the American Thoracic Society and the European Respiratory Society adopted the term OP to replace BOOP (2). Pathologically, OP is characterized by patchy intraluminal loose connective tissue plugs within alveolar ducts, alveoli, and bronchioles. Etiologically, it is categorized into cryptogenic organizing pneumonia (COP) and Secondary organizing pneumonia (SOP) (1, 3). SOP occurs in association with various underlying conditions, including infections (bacterial, fungal, viral, parasitic, or mycobacterial), chronic inflammatory diseases, drug toxicity, radiation therapy, or inhalation of harmful substances (1, 3, 4). Several risk factors for developing OP have been reported. In patients with COVID-19 pneumonia, being aged 50 or above, having diabetes, and hypoxemia (SpO2 < 88%) at admission are associated with an increased risk of OP or acute fibrinous organizing pneumonia (AFOP) (5). The presence of OP/AFOP in these patients correlates with higher rates of complications such as respiratory failure, acute kidney injury, secondary infection, pneumothorax, mediastinal emphysema, and pulmonary embolism, as well as significantly elevated 90-day mortality (5). Among immunocompromised individuals, high-risk profiles for SOP include those with hematologic malignancies, corticosteroid therapy, solid tumors (e.g., colon or hepatic carcinoma), cachexia, or arterial hypertension (6).
Chlamydia psittaci (C. psittaci) is responsible for ~1.03% of community-acquired pneumonia (CAP) cases (7), The relatively high prevalence of C. psittaci infections in China can be attributed to a combination of factors, including geographical and climatic conditions, occupational and lifestyle exposures, advancements in diagnostic technology, and heightened susceptibility in certain populations. The primary route of transmission is direct contact with or inhalation of contaminated avian droplets. Additional risk factors include overcrowding, age ≥65 years, poor sanitation, immunocompromised status, intensive poultry farming, and close contact with pet birds (8).
Clinical symptoms typically begin abruptly with nonspecific, flu-like manifestations such as high fever, headache, chills, malaise, and myalgia (9). Beyond the respiratory system, C. psittaci can also affect multiple organs—including the heart, liver, spleen, joints, meninges, and central nervous system (9), leading to complications such as respiratory failure, pericarditis, endocarditis, myocarditis, hepatosplenomegaly, anemia, acute myocardial injury, heart failure, rhabdomyolysis, disseminated intravascular coagulation, and gastrointestinal bleeding (10). In severe cases, the disease may progress rapidly to life-threatening conditions including severe pneumonia, acute respiratory distress syndrome (ARDS), sepsis, respiratory failure, and multiple organ failure (10).
Laboratory diagnosis of C. psittaci infection can be achieved through culture-based methods and various serological assays. However, the limited specificity and sensitivity of these conventional tests may lead to false-negative results, particularly in the early acute phase of the disease. In contrast, PCR-based detection offers a more rapid, practical, and reliable alternative (9, 10). In recent years, the introduction of metagenomic next-generation sequencing (mNGS) has further improved diagnostic accuracy and reduced underdiagnosis of psittacosis (9). As a high-throughput method, mNGS allows for the simultaneous detection of a wide range of pathogens (10). With a typical turnaround time of 24–72 h, mNGS facilitates rapid diagnosis of C. psittaci, helps reduce unnecessary antibiotic use, and shortens the clinical course (11). Studies have shown that early pathogen identification via mNGS enables timely treatment adjustments and is associated with improved patient prognosis (10–12).
Recent data from China suggest that C. psittaci infection is relatively common in the country (8). When complicated by OP, diagnosis is often delayed due to non-specific clinical manifestations, which may in turn postpone appropriate treatment. This case report describes a patient with C. psittaci pneumonia complicated by OP, highlighting the diagnostic and therapeutic challenges involved.
Case presentation
A 66-year-old man was admitted to the First Affiliated Hospital of Soochow University (Suzhou, China). He had a long-term history of raising ducks at home but no other significant past illnesses. The patient denied smoking, alcohol consumption, and any family history of infectious or genetic diseases.
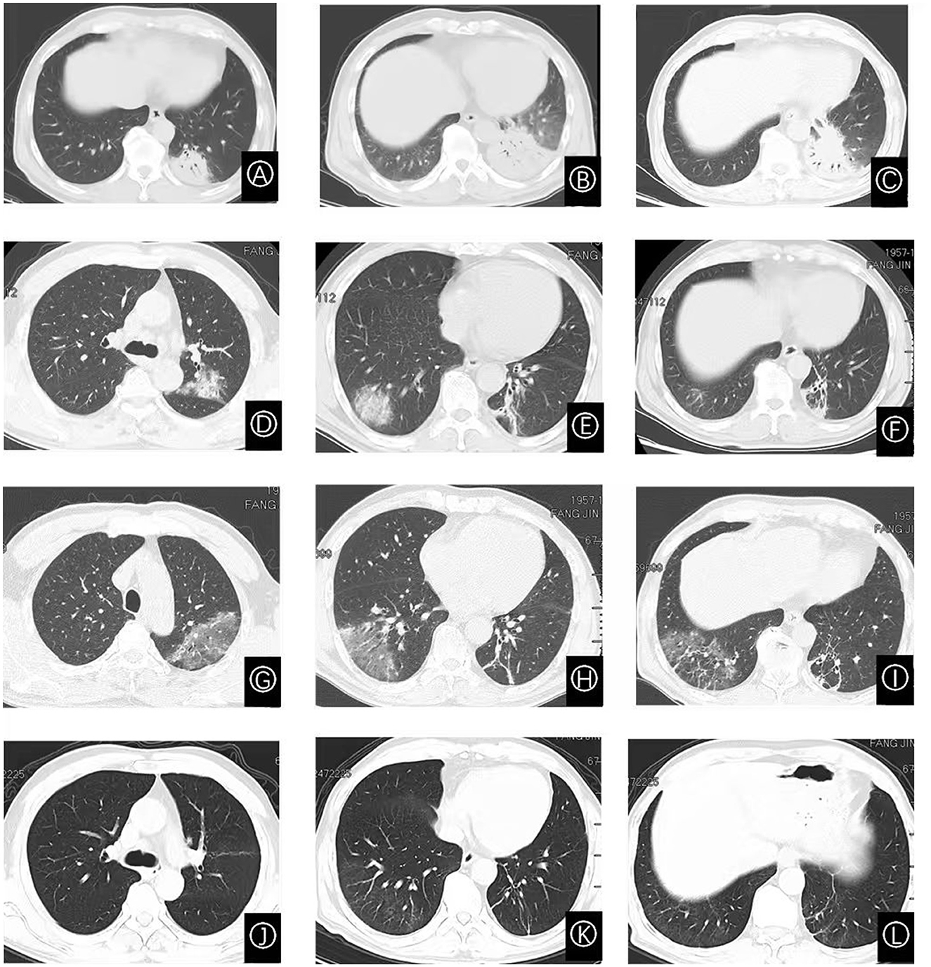
Nine days prior to admission, he developed a fever of unknown origin, accompanied by chills, rigors, headache, and dizziness during febrile episodes. On the fifth day of illness, a chest CT scan showed patchy dense opacities in the left lower lobe basal segment, featuring mixed ground-glass and consolidation shadows (Figure 1A). Treatment with intravenous ceftizoxime (2 g every 12 h) was initiated. However, his fever persisted and was followed by the onset of cough, sputum production, and blood-streaked sputum. A repeat chest CT revealed progression of consolidation in the same lung region (Figure 1B), prompting hospital admission.
Figure 1

Serial chest CT images demonstrating the dynamic evolution of pulmonary lesions. (A) CT scan obtained on day 5 of illness shows an exudative shadow in the left lower lobe. (B) Scan on day 8 reveals interval enlargement of the lesion in the left lower lobe. (C) By day 14, the exudative shadow shows signs of absorption compared to (B). (D–F) CT images on day 26 demonstrate new, multifocal bilateral pulmonary involvement, featuring exudative shadows, ground-glass opacities, consolidations, and migratory lesions. (G–I) Follow-up on day 37 shows persistent pulmonary lesions with no significant improvement. (J–L) Scan on day 48, following glucocorticoid therapy, shows near-complete resolution of the pulmonary abnormalities.
On physical examination at admission, his body temperature was 38.5 °C (101.3°F), pulse 102 beats/min, respiratory rate 18 breaths/min, and blood pressure 139/61 mm Hg. Auscultation of the lungs demonstrated clear breath sounds bilaterally, with no audible rales or rhonchi. Initial laboratory tests included routine blood work and sputum samples for microbiological studies; detailed results are provided in Supplementary Table 1.
Upon admission, the patient presented with a temperature of 38.5 °C, pulse rate of 102 beats/min, respiratory rate of 18 breaths/min, and blood pressure of 139/61 mm Hg. Auscultation revealed clear breath sounds in both lungs without adventitious sounds. Initial laboratory investigations included routine blood tests and sputum cultures; detailed results are provided in Table 1.
Table 1
| Laboratory analysis | Level of the first admission | Level of the second admission | Normal range |
|---|---|---|---|
| CRP | 192.43 | 12.76 | 0–4 mg/L |
| WBC | 6.34 | 7.47 | 3.50–9.50E+9/L |
| RBC | 5.11 | 4.96 | 4.30–5.80E+12/L |
| HGB | 153 | 147 | 130–175g/L |
| PLT | 360 | 251 | 125–350E+9/L |
| NEU% | 57.2 | 84.5 | 40.0–75.0% |
| LYM% | 28.1 | 11.2 | 20.0–50.0% |
| CHOL | 5.85 | 6.07 | 2.6–5.2 mmol/L |
| TG | 2.71 | 0.86 | 0.34–1.70 mmol/L |
| HDL-C | 0.62 | 1.09 | >1.04 mmol/L |
| LDL-C | 4.18 | 4.2 | < =3.37 mmol/L |
| ALT | 167 | 119 | < =41 U/L |
| AST | 55 | 29 | < =40 U/L |
| ALB | 36.2 | 35.5 | 40–55 g/L |
| A/G | 1 | 1 | 1.2–2.4 |
| Glu | 5.66 | 7.8 | 3.9–6.1 mmol/L |
| UREA | 5.59 | 6.42 | 3.6–9.5 mmol/L |
| CREA | 66 | 57 | 57–111 ummol/L |
| UA | 207 | 210 | 208–428 ummol/L |
| K | 4.59 | 4.79 | 3.5–5.3 mmol/L |
| Na | 142 | 136 | 137–147 mmol/L |
| Ca | 2.21 | 2.26 | 2.11–2.52 mmol/L |
| Sputum Culture | Negative | – | Negative |
| Blood Culture | Negative | – | Negative |
Major test results at the time of the patient's admission.
Due to the lack of clinical and radiographic improvement after 5 days of prior treatment, bronchoscopy was indicated and performed on the second hospital day. The procedure revealed mild narrowing of the orifices of the left lower lobe posterior basal segment and the medial subsegment of the right upper lobe. Transbronchial lung biopsy (TBLB) was performed under ultrasound guidance in the left lower lobe posterior basal segment. Pathological examination showed inflammatory cell infiltration. The mNGS of BALF detected C. psittaci with 5 sequence reads. BALF galactomannan testing, BALF culture, and sputum culture were all negative. Intravenous moxifloxacin (0.4 g every 24 h) was initiated. A follow-up chest CT on day 7 showed improvement in pulmonary exudates (Figure 1C). The patient was discharged with a one-week course of oral moxifloxacin.
During outpatient follow-up 9 days after discharge (illness day 26), repeat chest CT demonstrated partial resolution of left lower lobe inflammation but revealed new infiltrates in the left upper and right lower lobes (Figures 1D–F). Thirteen days post-discharge, the patient experienced recurrent fever (peak 39 °C) accompanied by rhinorrhea, though without cough or sputum. He was readmitted for further evaluation; laboratory results are shown in Table 1.
After 11 days of minocycline (100 mg orally every 12 h), repeat CT showed no significant radiographic improvement (Figures 1G–I). Given the clinical picture of recurrent fever with migratory pulmonary lesions, the prior biopsy specimen was re-examined and pathologically diagnosed as OP (Figure 2). Methylprednisolone 40 mg daily was initiated. Doxycycline was continued throughout this period due to the concomitant C. psittaci infection. After 10 days of combined therapy (illness day 48), chest CT showed near-complete resolution of bilateral pulmonary infiltrates (Figures 1J–L). Corticosteroid tapering was initiated 2 weeks later at a rate of 5 mg per week until discontinuation.
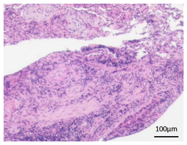
Figure 2

Transbronchial lung biopsy (hematoxylin and eosin staining; original magnification, 10×) showed loose, collagen-like connective tissue hyperplasia in the alveoli and alveolar ducts, with evident formation of Masson bodies.
The patient was advised to avoid re-exposure to potential infection sources such as ducks, chickens, parrots, and pigeons. Recommendations included regular quarantine of domestic birds, use of personal protective equipment when contact is unavoidable, maintaining good indoor ventilation, consistent hand hygiene, and respiratory etiquette. At the one-year outpatient follow-up, the patient remained asymptomatic and reported no psychological sequelae from the illness.
Literature review
Search strategy
To identify other cases of Psittacosis Chlamydia Pneumonia Complicated with Organizing Pneumonia, and to clarify the clinical features of this disease, we searched the PubMed, Embase, and Web of Science databases using the keywords (“psittacosis” OR “Chlamydia psittaci” OR “chlamydia”) AND (“organizing pneumonia” OR “bronchiolitis obliterans with organizing pneumonia”).
Inclusion and exclusion criteria
Studies included were English-language reports of Psittacosis Chlamydia Pneumonia Complicated with BOOP or OP.
Data extraction and analysis
To ensure comprehensive and non-redundant data collection, all identified articles were meticulously reviewed. Relevant information was extracted and compiled as descriptive statistics in an Excel spreadsheet.
Results
The initial literature search yielded five articles. After excluding two non-English publications, three studies met the inclusion criteria, collectively reporting three cases of C. psittaci infection complicated by OP.
As summarized in Table 2, all three reported patients were male and presented with symptoms including fever, cough, myalgia, sore throat, dyspnea, and lethargy. Initial microbiological cultures were negative in all cases. The diagnosis was ultimately confirmed by bronchoscopic lung biopsy, supported by serological and/or molecular testing. Notably, none of the patients were diagnosed during their initial medical presentation; a definitive diagnosis was achieved only after pathological examination following unsuccessful empirical antibiotic therapy.
Table 2
| Country | Sex/Age | Past health | Contact with poultry | Symptoms | Physicalexamination | Respiratory failure | Markers ofinflammation | Imaging | Bronchoscopyexamination | Pathogen detection | First visit for diagnosis/Diagnostic time | Glucocorticoid | Antibiotics after pathogen identification | Result |
|---|---|---|---|---|---|---|---|---|---|---|---|---|---|---|
| France (13) | M/70 | Prostate adenoma | N/A | Fever, cough, severe sore hroat, worsening dyspnea | Sparse crackles | Yes | WBC 7.8 cells × 109/L, with 71% NEU | Diffuse alveolar infiltrates in the right and middle lobes, thickening of the bronchial wall, and a small pleural effusion on the right side | Granulation tissue in the distal airways | Chlamydia group complement-fixation test and immunofluorescence test | NO/Day 53 of the illness course | Prednisone 1mg·kg-1·day-1, treatment course more than 1 year | Doxycycline for 21 days, and then, Erythromycin was added to doxycycline | Improvement |
| Australia (14) | M/63 | Chronic urinary tract infections and anxiety | N/A | Fevers, myalgia, lethargy, anorexia, dry cough | Decreased breath sounds | Yes | CRP 456 mg/dL, WBC 12.4 × 109/L | Consolidation of the left lung with moderate left-sided pleural effusion | Bronchoalveolar lavage fluid with a small amount of neutrophils and macrophages | PCR | NO/Day 33 of the illness course | Prednisone 50mg | doxycycline for 23 days, and then, Meropenem and vancomycin were added, piperacillin-tazobactam | Death |
| China (15) | M/56 | N/A | No | fever, chills | No rales in both lungs | No | WBC 7.39 × 109/L, 80% NEU, CRP 127.74 mg/L, ESR 101 mm/h | The left lower lobe has a plaque-like, high-density opacity with an air bronchogram | Chronic inflammation of the respiratory mucosa, submucosal fibrovascular hyperplasia, and tissue pneumonia changes in the surrounding lung tissue | BALF mNGS | NO/Day 28 of the illness course | Methylprednisolone 40mg, reduce the dosage by 4mg every two weeks until discontinuation | Moxifloxacin for about 1 months | Improvement |
Case reports of Psittacosis Chlamydia Pneumonia complicated with organizing pneumonia.
M, male; PCR, polymerase chain reaction; CRP, C-reactive protein; ESR, erythrocyte sedimentation rate; BALF, bronchoalveolar lavage fluid; mNGS, metagenomic next-generation sequencing.
All patients received a combination of antibiotic and glucocorticoid therapy. Although two cases progressed to respiratory failure, clinical improvement was observed in two patients following this combined regimen. One patient, however, died due to a concurrent Pseudomonas aeruginosa infection (13–15).
Discussion
Psittacosis is a systemic zoonotic illness caused by C. psittaci, primarily transmitted to humans through inhalation of infectious aerosols from birds, with avian contact being the principal risk factor (9, 16). The present case involved a patient with a history of duck farming who developed infection consistent with this exposure. Following admission, the failure of prior beta-lactam antibiotic therapy prompted further investigation. Bronchoscopy with BALF mNGS successfully identified C. psittaci as the causative pathogen. When managing patients with respiratory infections, if conventional diagnostic methods fail to identify a pathogen within 3 days, empirical antimicrobial therapy proves ineffective, or imaging shows deterioration or new lesions, we recommend obtaining respiratory specimens for mNGS testing. This approach not only aids in detecting atypical pathogens but can also provide information on the presence of antimicrobial resistance genes (17).
In this case, however, the patient's condition recurred after initial antimicrobial treatment. Imaging demonstrated migratory pulmonary infiltrates, and subsequent pathological examination confirmed OP. Clinical improvement was achieved only after initiating glucocorticoid therapy. Similar to the three other cases identified in our literature review, the non-specific clinical features of OP associated with C. psittaci infection often lead to diagnostic delays. Such delays can complicate management and increase mortality risk. Among the reviewed cases, two patients developed respiratory failure; one of them presented with pneumothorax, possibly secondary to a bronchopleural fistula, and ultimately died.
C. psittaci infection commonly presents with fever, severe headache, myalgia, fatigue, dyspnea, chills, and dry cough (9, 16). Some patients may also experience abdominal pain, diarrhea, hemoptysis, vomiting, anorexia, sore throat, nasal congestion, rhinorrhea, convulsions, or coma (18). OP often manifests with non-specific symptoms such as dry cough, flu-like illness, and exertional dyspnea. Additional signs may include fever, fatigue, weight loss, hemoptysis, arthralgia, and night sweats. Physical examination may reveal crackles, bronchial breath sounds, and hypoxemia (1, 3). Due to the overlapping and non-specific nature of symptoms between OP and infectious processes, diagnosis is frequently delayed. Based on the present case and literature review, fever and cough appear to be the most common symptoms in cases of C. psittaci-associated OP (13–15).
The severity of C. psittaci pneumonia is highly variable. Extrapulmonary involvement may affect the cardiovascular, digestive, and musculoskeletal systems (9), leading to complications such as respiratory failure, heart failure, myocardial injury, hepatosplenomegaly, anemia, rhabdomyolysis, disseminated intravascular coagulation, and gastrointestinal bleeding (10). Less commonly reported manifestations include skin purpura, cyanosis (19), and meningitis (20). In pregnant women, severe infection may result in stillbirth (21). There are also rare reports of acute gastroenteritis following ingestion of undercooked pigeon meat or offal (22). In severe cases, rapid clinical deterioration due to respiratory failure or multi-organ dysfunction can be fatal (10). To date, reported cases of C. psittaci pneumonia complicated by OP remain rare, with one documented fatality (14). These findings underscore the critical importance of early diagnosis and timely intervention in C. psittaci pneumonia.
Furthermore, there are currently no specific laboratory markers for OP. Approximately half of all cases present with leukocytosis, and systemic inflammatory markers—such as C-reactive protein (CRP) and erythrocyte sedimentation rate (ESR)—are commonly elevated. Pulmonary function tests often show mild to moderate restrictive ventilatory defects with impaired diffusion capacity (3). In cases of C. psittaci infection, patients may also exhibit elevated white blood cell and neutrophil counts, along with increased CRP and ESR. Some individuals show elevated liver enzymes (AST, ALT) and cardiac enzymes (creatine kinase), as well as reduced lymphocyte counts (23). The absence of specific laboratory indicators for both OP and C. psittaci infection complicates early diagnosis during the initial admission.
Radiologically, approximately three-quarters of OP patients present with multifocal consolidations, typically appearing as patchy opacities in the peripheral lower lung zones or along bronchovascular bundles. These may be associated with air bronchograms, scattered ground-glass opacities, or small nodules. A minority of cases present predominantly or exclusively with ground-glass opacities and a cobblestone appearance (3). In psittacosis pneumonia, the most common radiographic patterns are lobar or round-type pneumonias, often accompanied by interstitial changes (24, 25). Frequent findings include intralobular lines, air bronchogram signs, and reversed halo signs (24). Multilobar consolidation or ground-glass infiltrates are also common, and some patients may develop pleural or pericardial effusions (18).
Pathology remains the gold standard for diagnosing OP. Histopathologically, OP is characterized by the presence of fibroblastic and myofibroblastic plugs within alveolar spaces and distal bronchioles, often intermixed with inflammatory cells such as lymphocytes, plasma cells, and macrophages (3). Bronchoscopy with BALF is a valuable diagnostic procedure. BALF typically shows a mixed cellular pattern with elevated lymphocytes, neutrophils, and/or eosinophils, and helps exclude infection, malignancy, or other inflammatory conditions (1, 3). A definitive diagnosis should integrate clinical presentation, imaging features, BALF findings, and pathological results, while systematically ruling out alternative diagnoses. In cases where bronchoscopic biopsies yield insufficient tissue, a surgical lung biopsy may be necessary to establish the diagnosis.
During the treatment of C. psittaci pneumonia, if imaging studies fail to rule out concurrent OP or the diagnosis remains unclear, bronchoscopy, bronchoalveolar lavage fluid analysis, and transbronchial biopsy can aid in diagnosis and help differentiate from other diseases. However, pathological differentiation between COP and SOP remains challenging (3). The diagnosis of SOP requires integration of clinical history—such as recent respiratory infections, underlying systemic diseases, or known treatments associated with OP development—with chest imaging findings, significantly enhancing the likelihood of an accurate diagnosis. Regardless, continuous longitudinal follow-up of clinical and chest imaging characteristics remains essential.
The management of psittacosis requires targeted antimicrobial therapy guided by timely pathological and microbiological confirmation. Tetracyclines, macrolides, and fluoroquinolones have demonstrated efficacy against C. psittaci, with a typical treatment duration of 10–14 days (16). Tetracyclines are considered the first-line therapeutic option (16). For OP, glucocorticoids constitute the standard treatment. Although no universally established dosing regimen exists, prednisone is commonly initiated at 0.5–1.5 mg/kg per day, followed by a gradual taper—typically reduced by 10 mg every 4 weeks—and eventually discontinued over a total course of 6–12 months (26). In cases of secondary OP (SOP) complicating C. psittaci pneumonia, the optimal glucocorticoid dosage and treatment duration remain unclear. In the present case, methylprednisolone was administered at a dose equivalent to 1 mg/kg/day of prednisone, consistent with the regimen reported by Diehl et al. (13). While many studies do not detail glucocorticoid-related adverse events in OP treatment, some reports indicate adverse reaction rates as high as 53% (27). Commonly observed side effects include weight gain, myopathy, osteoporosis, hypertension, and systemic infections (28).
In summary, for patients who respond poorly to empirical antimicrobial therapy, mNGS may be considered to facilitate pathogen identification. Early diagnosis of SOP following C. psittaci pneumonia remains challenging. If patients show inadequate clinical improvement after appropriate antibiotic therapy or exhibit migratory pulmonary lesions on imaging, the possibility of concurrent OP should be actively considered to avoid missed diagnosis. Specifically, when empirical anti-infective treatment fails after 3 days, or when chest imaging demonstrates features such as consolidation, migratory opacities, or a reverse halo sign, the potential coexistence of OP should be evaluated. In cases where pathological confirmation is difficult to obtain due to disease severity or technical limitations, the judicious use of corticosteroids may be considered, provided that close monitoring for potential adverse effects is implemented.
Statements
Data availability statement
The original contributions presented in the study are included in the article/supplementary material, further inquiries can be directed to the corresponding author.
Ethics statement
Written informed consent was obtained from the individual(s) for the publication of any potentially identifiable images or data included in this article.
Author contributions
QL: Writing – original draft. XS: Data curation, Writing – original draft. WL: Software, Writing – review & editing. YZ: Investigation, Writing – review & editing. WD: Conceptualization, Writing – original draft. XJ: Formal analysis, Writing – original draft. NS: Data curation, Writing – review & editing.
Funding
The author(s) declare that financial support was received for the research and/or publication of this article. This work was supported by The National Natural Science Foundation of China (Grant No. 82202886).
Conflict of interest
The authors declare that the research was conducted in the absence of any commercial or financial relationships that could be construed as a potential conflict of interest.
Generative AI statement
The author(s) declare that no Gen AI was used in the creation of this manuscript.
Any alternative text (alt text) provided alongside figures in this article has been generated by Frontiers with the support of artificial intelligence and reasonable efforts have been made to ensure accuracy, including review by the authors wherever possible. If you identify any issues, please contact us.
Publisher’s note
All claims expressed in this article are solely those of the authors and do not necessarily represent those of their affiliated organizations, or those of the publisher, the editors and the reviewers. Any product that may be evaluated in this article, or claim that may be made by its manufacturer, is not guaranteed or endorsed by the publisher.
Supplementary material
The Supplementary Material for this article can be found online at: https://www.frontiersin.org/articles/10.3389/fmed.2025.1670456/full#supplementary-material
References
1.
Ketchersid K . A review of organizing pneumonia. JAAPA. (2023) 3:16–9. doi: 10.1097/01.JAA.0000918776.59717.eb
2.
American Thoracic Society; European Respiratory Society . American Thoracic Society/European Respiratory Society International Multidisciplinary Consensus Classification of the Idiopathic Interstitial Pneumonias. This joint statement of the American Thoracic Society (ATS), and the European Respiratory Society (ERS) was adopted by the ATS board of directors, June 2001 and by the ERS Executive Committee, June 2001. Am J Respir Crit Care Med. (2002) 165:277–304. doi: 10.1164/ajrccm.165.2.ats01
3.
Cherian SV Patel D Machnicki S Naidich D Stover D Travis WD et al . Algorithmic approach to the diagnosis of organizing pneumonia: a correlation of clinical, radiologic, and pathologic features. Chest. (2022) 162:156–78. doi: 10.1016/j.chest.2021.12.659
4.
Limkul L Tovichien P . Secondary organizing pneumonia after infection. World J Clin Cases. (2024) 12:6877–82. doi: 10.12998/wjcc.v12.i36.6877
5.
Aikwanich A Eksombatchai D Petnak T Tassaneeyasin T Boonsarngsuk V . Risk factors for secondary organizing pneumonia and acute fibrinous and organizing pneumonia in patients with COVID-19 pneumonia. Infect Drug Resist. (2024) 17:5017–26. doi: 10.2147/IDR.S481540
6.
Terrabuio Junior AA Parra ER Farhat C Capelozzi VL . Autopsy-proven causes of death in lungs of patients immunocompromised by secondary interstitial pneumonia. Clinics. (2007) 62:69–76. doi: 10.1590/S1807-59322007000100011
7.
Hogerwerf L De Gier B Baan B Van Der Hoek W . Chlamydia psittaci (psittacosis) as a cause of community-acquired pneumonia: a systematic review and meta-analysis. Epidemiol Infect. (2017) 145:3096–105. doi: 10.1017/S0950268817002060
8.
Ghasemian A Pezeshki B Memariani M Mahmoodi S Kohansal M Rajabi-Vardanjani H . The emergence potential of Chlamydia psittaci and chlamydia felis as zoonotic agents causing ocular and respiratory infections in humans and animals. Arch Razi Inst. (2024) 79:685–94. doi: 10.32592/ARI.2024.79.4.685
9.
Wang J Wang B Xiao J Chen Y Wang C . Chlamydia psittaci: a zoonotic pathogen causing avian chlamydiosis and psittacosis. Virulence. (2024) 15:2428411. doi: 10.1080/21505594.2024.2428411
10.
Liu K Wu L Chen G Zeng D Zhong Q Luo L et al . Clinical characteristics of Chlamydia psittaci infection diagnosed by metagenomic next-generation sequencing: a retrospective multi-center study in Fujian, China. Infect Drug Resist. (2024) 17:697–708. doi: 10.2147/IDR.S443953
11.
Huang M Wang Y Lu Y Qu W Zou Q Zhang D et al . Clinical cracteristics and predicting disease severity in Chlamydia psittaci infection based on metagehanomic next-generation sequencing. Infect Drug Resist. (2025) 18:1171–81. doi: 10.2147/IDR.S509879
12.
Xiao Q Shen W Zou Y Dong S Tan Y Zhang X et al . Sixteen cases of severe pneumonia caused by Chlamydia psittaci in South China investigated via metagenomic next-generation sequencing. J Med Microbiol. (2021) 70:10. doi: 10.1099/jmm.0.001456
13.
Diehl JL Gisselbrecht M Meyer G Israel-Biet D Sors H . Bronchiolitis obliterans organizing pneumonia associated with chlamydial infection. Eur Respir J. (1996) 9:1320–2. doi: 10.1183/09031936.96.09061320
14.
Zuzek R Green M May S . Severe psittacosis progressing to suspected organizing pneumonia and the role of corticosteroids. Respir Med Case Rep. (2021) 34:101486. doi: 10.1016/j.rmcr.2021.101486
15.
Gao Y Zhang X Liu J Gong L Chen G Zhou X . Chlamydia psittaci pneumonia complicated with organizing pneumonia: a case report and literature review. IDCases. (2022) 30:e01584. doi: 10.1016/j.idcr.2022.e01584
16.
Stewardson AJ Grayson ML . Psittacosis. Infect Dis Clin North Am. (2010) 24:7–25. doi: 10.1016/j.idc.2009.10.003
17.
CMLC Association Society I.D.G.L . Chinese expert consensus on diagnosis and treatment of psittacosis. Chin J Clin Infect Dis. (2024) 17:191–204. doi: 10.3760/cma.j.issn.1674-2397.2024.03.002
18.
Li X Xiao T Hu P Yan K Wu J Tu X et al . Clinical, radiological and pathological characteristics of moderate to fulminant psittacosis pneumonia. J PLoS ONE. (2022) 17:e0270896. doi: 10.1371/journal.pone.0270896
19.
Meijer R van Biezen P Prins G Boiten HJ . Multi-organ failure with necrotic skin lesions due to infection with Chlamydia psittaci. Int J Infect Dis. (2021) 106:262–4. doi: 10.1016/j.ijid.2021.03.091
20.
Shi Y Chen J Shi X Hu J Li H Li X et al . A case of chlamydia psittaci caused severe pneumonia and meningitis diagnosed by metagenome next-generation sequencing and clinical analysis: a case report and literature review. BMC Infect Dis. (2021) 21:621. doi: 10.1186/s12879-021-06205-5
21.
Paul L Comstock J Edes K Schlaberg R . Gestational Psittacosis resulting in neonatal death identified by next-generation RNA sequencing of postmortem, formalin-fixed lung tissue. Open Forum Infect Dis. (2018) 5:ofy172. doi: 10.1093/ofid/ofy172
22.
Deng H Liang X Dang S Qiu J . Chlamydia psittaci enteric infection in an adult man: a case report. Int J Infect Dis. (2025) 158:107967. doi: 10.1016/j.ijid.2025.107967
23.
Li Y Lin F Li W Chen G Li S Liu B et al . Comparison of clinical, laboratory and radiological characteristics between Chlamydia psittaci and adenovirus pneumonias: a multicenter retrospective study. Int J Infect Dis. (2023) 126:114–24. doi: 10.1016/j.ijid.2022.11.029
24.
Yang N Ou Z Sun Q Pan J Wu J Xue C . Chlamydia psittaci pneumonia - evolutionary aspects on chest CT. BMC Infect Dis. (2025) 25:11. doi: 10.1186/s12879-024-10374-4
25.
Zhang S Fu Y Fang L Xu Q Gu S Zhou H et al . Psittacosis pneumonia with the reversed halo sign: a case report and literature review. BMC Infect Dis. (2025) 25:717. doi: 10.1186/s12879-025-11081-4
26.
Drakopanagiotakis F Polychronopoulos V Judson MA . Organizing pneumonia. Am J Med Sci. (2008) 335:34–9. doi: 10.1097/MAJ.0b013e31815d829d
27.
Barroso E Hernandez L Gil J Garcia R Aranda I Romero S . Idiopathic organizing pneumonia: a relapsing disease. 19 years of experience in a hospital setting. Respiration. (2007) 74:624–31. doi: 10.1159/000103240
28.
Cendon L Rafecas Codern A de la Rosa D Castellví I Spagnolo P Castillo D . Systematic review of systemic corticosteroids for treatment of organizing pneumonia. Open Respir Arch. (2022) 4:100211. doi: 10.1016/j.opresp.2022.100211
Summary
Keywords
organizing pneumonia, secondary organizing pneumonia, Psittacosis Chlamydia Pneumonia, case report, literature review
Citation
Li Q, Sun X, Lei W, Zhu Y, Du W, Jiang X and Su N (2025) Psittacosis chlamydia pneumonia complicated with organizing pneumonia: a case report and literature review. Front. Med. 12:1670456. doi: 10.3389/fmed.2025.1670456
Received
23 July 2025
Accepted
28 October 2025
Published
17 November 2025
Volume
12 - 2025
Edited by
Roshan Pais, CSI Lombard Memorial Hospital, Udupi, Rajiv Gandhi University of Health Sciences, India
Reviewed by
Zygmunt F. Dembek, Battelle, United States
Shiori Kitaya, Kanazawa University Hospital, Japan
Updates
Copyright
© 2025 Li, Sun, Lei, Zhu, Du, Jiang and Su.
This is an open-access article distributed under the terms of the Creative Commons Attribution License (CC BY). The use, distribution or reproduction in other forums is permitted, provided the original author(s) and the copyright owner(s) are credited and that the original publication in this journal is cited, in accordance with accepted academic practice. No use, distribution or reproduction is permitted which does not comply with these terms.
*Correspondence: Nan Su, 15850111090@139.com
†These authors have contributed equally to this work and share first authorship
Disclaimer
All claims expressed in this article are solely those of the authors and do not necessarily represent those of their affiliated organizations, or those of the publisher, the editors and the reviewers. Any product that may be evaluated in this article or claim that may be made by its manufacturer is not guaranteed or endorsed by the publisher.