CASE REPORT article
Front. Med.
Sec. Pulmonary Medicine
This article is part of the Research TopicCase Reports in Pulmonary Medicine 2025View all 17 articles
Fatal Massive Hemoptysis Secondary to Pulmonary Actinomycosis: A Diagnostic and Therapeutic Challenge in a Multidisciplinary Approach
Provisionally accepted- Department of Respiratory Medicine,Affiliated Dongyang Hospital of Wenzhou Medical University, Dongyang, China
Select one of your emails
You have multiple emails registered with Frontiers:
Notify me on publication
Please enter your email address:
If you already have an account, please login
You don't have a Frontiers account ? You can register here
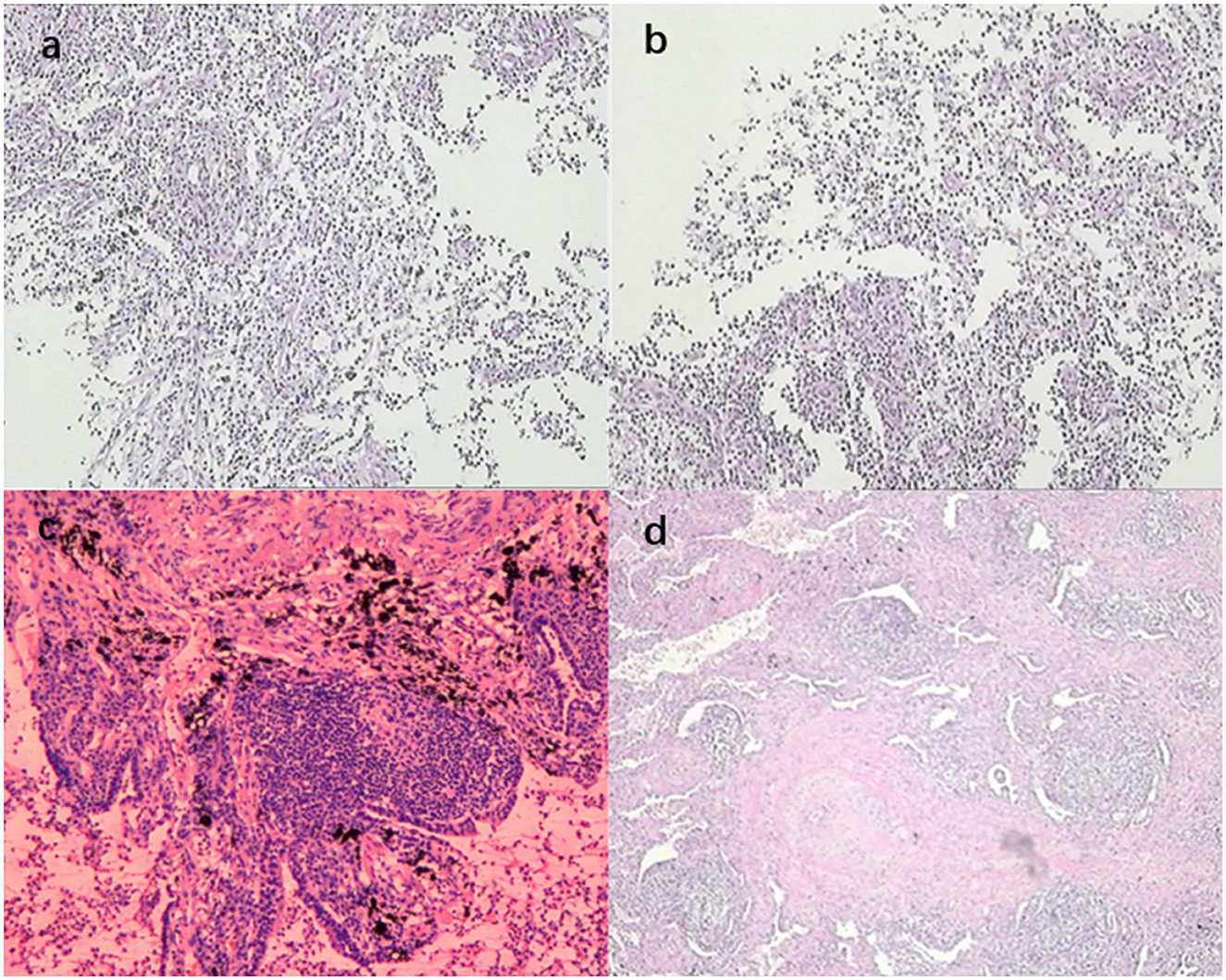
Abstract Background: Actinomyces infections tend to involve the head and neck, while lung infections are rare, and fatal hemoptysis due to pulmonary actinomycosis is even rarer. Case presentation: A 74-year-old male patient who presented with a cough with intermittent hemoptysis for 17 months was admitted to the hospital for the fourth time on June 24, 2024. At the first visit , a computed tomography scan of the chest revealed a high-density shadow in the right middle bronchus and an infected lesion in the lower lobe of the right lung. Hemoptysis was temporarily relieved after bronchoscopic removal of the foreign body and anti-infective treatment. Four months later, the patient was readmitted to the hospital due to a recurrence of hemoptysis. CT showed a lesion in the right lower lobe of the lung with cavitation, and bronchoscopy showed no abnormality. The pathology of percutaneous lung puncture biopsy suggested acute and chronic inflammation, and the patient was discharged under oral treatment with moxifloxacin. Four months later, the patient was admitted to the hospital for the third time because the hemoptysis volume had increased to 50 mL/day. Digital subtraction angiography-guided bronchial artery embolization was performed, and hemoptysis was controlled after the operation. Six months later, the patient was re-admitted to the hospital because of sudden hemoptysis as an emergency. Various medications were ineffective in stopping the hemoptysis, and the hemoptysis recurred,with a sudden drop in blood oxygen saturation level to 82%. Emergency bronchoscopic balloon occlusion was performed to stop bleeding, and right lower lobectomy was performed after multidisciplinary consultation. Postoperative pathology showed that the lung tissue was accompanied by tracheal dilatation, pus accumulation, and inflammatory granulomatous changes, with positive periodic acid Schiff staining, supporting actinomycetes infection. The patient continued anti-actinomycosis treatment for 1 month after surgery, and his condition stabilized after eight months of follow-up. Conclusions: Imaging of pulmonary actinomycosis is easily confused with tuberculosis and tumors and is difficult to diagnose. Pulmonary actinomycosis should be considered in patients with a lung mass shadow and recurrent hemoptysis. When life-threatening hemoptysis complicates pulmonary actinomycosis, surgical resection may effectively control the condition and improve the prognosis.
Keywords: Fatal massive hemoptysis, secondary, Pulmonary actinomycosis, surgical resection, case report
Received: 06 Aug 2025; Accepted: 24 Oct 2025.
Copyright: © 2025 Yang and Shu. This is an open-access article distributed under the terms of the Creative Commons Attribution License (CC BY). The use, distribution or reproduction in other forums is permitted, provided the original author(s) or licensor are credited and that the original publication in this journal is cited, in accordance with accepted academic practice. No use, distribution or reproduction is permitted which does not comply with these terms.
* Correspondence: Qiongfang Yang, qfy195581@163.com
Disclaimer: All claims expressed in this article are solely those of the authors and do not necessarily represent those of their affiliated organizations, or those of the publisher, the editors and the reviewers. Any product that may be evaluated in this article or claim that may be made by its manufacturer is not guaranteed or endorsed by the publisher.
