Abstract
The cancer risk in autoimmune gastritis (AIG) remains controversial. Malignant transformation of gastric hyperplastic polyps (GHPs) in an AIG patient is rare. The esophagogastroduodenoscopy (EGD) of a 75-year-old male patient showed a 0.8 cm GHP. Endoscopic resection was conducted, and the pathological findings showed high-grade dysplasia and intramucosal moderately differentiated adenocarcinoma. Follow-up at 1 year confirmed no sign of recurrence. 18 months post-operatively, another EGD confirmed advanced-stage AIG, evidenced by characteristic endoscopic/histologic findings, positive anti-parietal cell antibody, low pepsinogen I/II ratio, significantly elevated gastrin-17, low vitamin B12, and negative Helicobacter pylori (Hp) serology. Concurrent Hashimoto's thyroiditis and vitiligo were also noted. We here report a rare case of early malignant transformation of a small GHP arising in a context of AIG. Elevated gastrin levels may be a potential risk factor for cancer development in Hp-negative AIG. Endoscopic resection can be considered for early-stage cancerous transformation of GHPs.
Background
Gastric Hyperplastic Polyps (GHPs) represent the second most common type of gastric polyp, with an endoscopic detection rate of ~1.79% (1). While their relative incidence exhibits a declining trend in Western countries, it remains elevated in regions with a high prevalence of Helicobacter pylori (Hp) infection. GHPs commonly occur in individuals aged 65–75 years, without a significant gender predilection (2). GHPs arise from hyperproliferation and accelerated exfoliation of foveolar epithelial cells, accompanied by chronic mucosal injury (2). Although traditionally considered non-neoplastic lesions, accumulating evidence indicates that GHPs harbor the potential for dysplasia and malignant transformation, especially in autoimmune gastritis (AIG) or chronic atrophic gastritis patients (3).
Whether AIG increases the risk of gastric adenocarcinoma is controversial. According to established theories, AIG promotes carcinogenesis through mechanisms including chronic inflammatory mucosal damage, progressive atrophy/intestinal metaplasia, hypergastrinemia-induced abnormal cellular proliferation, and impaired immune surveillance. Studies also demonstrated an increased risk of gastric adenocarcinoma in AIG patients compared to the general population. Recent research, however, suggested that this risk may be overestimated in Hp-negative AIG cohorts. Long-term follow-up studies found no significant increase in carcinogenesis rates among Hp-negative AIG patients, indicating AIG's natural history in the absence of Hp co-infection may be more benign than previously perceived (4). We present here a malignant transformation of a small GHP in an AIG patient, which indicates that malignant transformation of GHPs may be a potential mechanism underlying carcinogenesis in AIG.
Case presentation
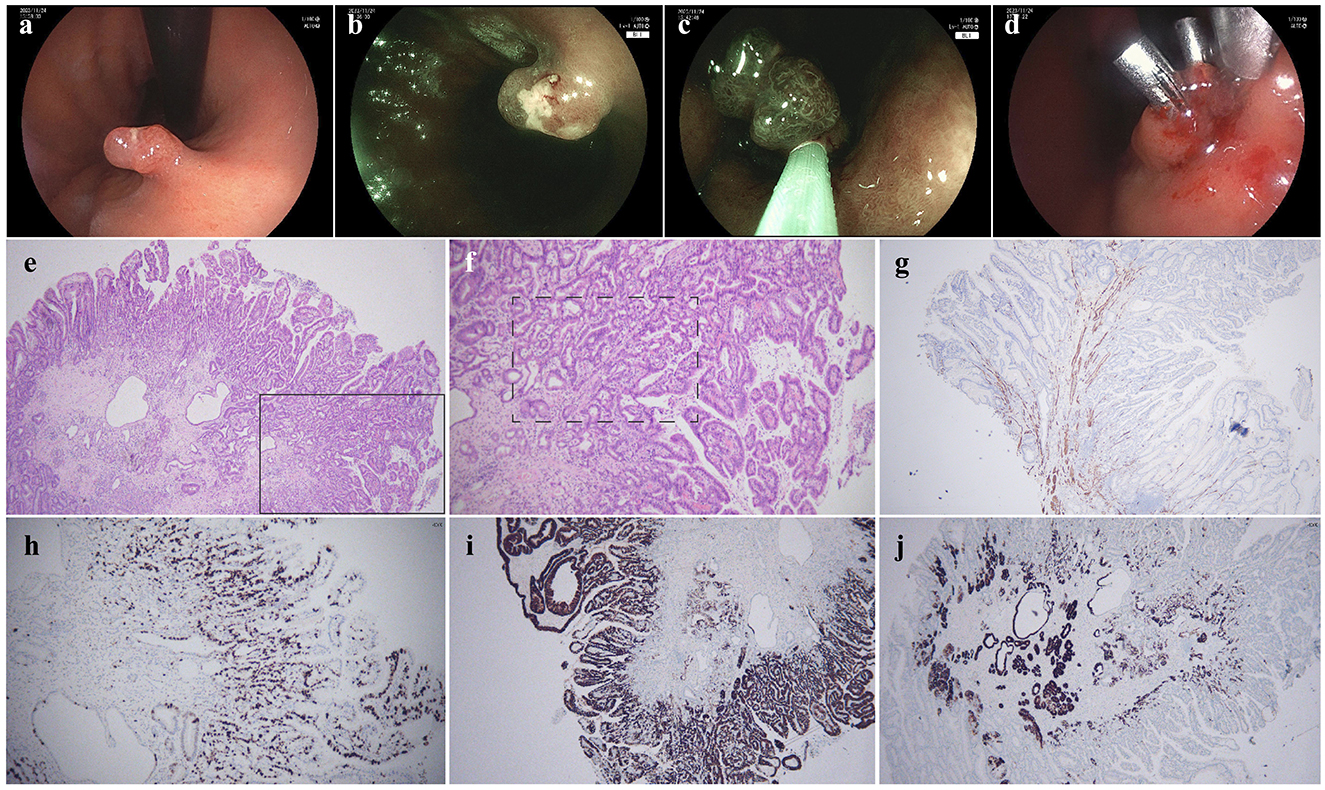
A 75-year-old male patient underwent gastrointestinal endoscopy for physical examination in November 2023. The esophagogastroduodenoscopy (EGD) revealed a 0.8 × 0.8 cm Isp lesion (Paris classification) in the lesser curvature of the mid-gastric body. There was mild erosion on the surface of the lesion. Blue laser imaging (BLI) revealed that the microsurface of the lesion was generally regular, with a mildly elongated marginal crypt epithelium (MCE). The diagnosis of GHP was suspected, and endoscopic mucosal resection (EMR) was subsequently performed (Figures 1a–d). Histopathological examination identified a GHP with areas of high-grade glandular dysplasia and focally invasive, moderately differentiated adenocarcinoma penetrating the muscularis mucosae. Immunohistochemical and special staining results showed CK20 (partial +), CDX-2 (+), Muc-5AC (+), Muc-6 (partial +), P53 (+), Desmin (smooth muscle +), Ki-67 (hot spot area 70% +) and AB/PAS (AB+). No lymphovascular or perineural invasion was observed, and all margins were negative for tumor (Figures 1e–j). Contrast-enhanced CT also confirmed no evidence of tumor metastasis.
Figure 1

Endoscopic findings and pathological examinations in November 2023. (a) Isp-type lesion in the middle part of the lesser curvature of the gastric body, (b) blue laser imaging (BLI) observation revealed mild elongation of the ducts and erosion on the surface, (c) endoscopic mucosal resection (EMR) of the lesion, (d) clips were used for wound closure, (e) HE staining of 4Ă— magnification, (f) HE staining of 10Ă— magnification showed the hyperplastic polyp exhibiting atypia in arrangement and morphology, (g) Desmin immunohistochemical staining indicated the adenocarcinoma penetrated the muscularis mucosae, (h) Ki-67 immunohistochemical staining suggested active hyperplasia, proving malignancy, (i) Muc-5AC immunohistochemical staining proved the gastric pits' epithelial origin, (j) Muc-6 immunohistochemical staining excluded pyloric adenoma.
Follow-up EGD was conducted 1 year post-operatively. No signs of local recurrence were observed, though background mucosa abnormalities might be missed owing to limited evaluation (Figure 2). A more meticulous second endoscopic follow-up was performed 18 months post-operatively. At this time, the mucosal swelling with pallor was observed on the greater curvature of the gastric body, and exposed blood vessels were visible in some areas. The antrum mucosa displayed a patchy red-and-white appearance with scattered raised erosions. The narrow band imaging (NBI) + Nearfocus showed no evidence of recurrence of the resection site, suggesting complete lesion removal by EMR (Figures 3a–d). AIG was suspected and confirmed by biopsy. Pathological examination found atrophy of the intrinsic glands and mild intestinal metaplasia in the greater curvature of the gastric body, accompanied by moderate numbers of pseudo-pyloric metaplasia, mucous metaplasia of the cervical glands, and nodular hyperplasia of neuroendocrine cells. No obvious atrophy was found in the gastric antrum. The stage was classified as advanced florid stage based on the Diagnostic Criteria and Endoscopic and Histological Findings of Autoimmune Gastritis in Japan (Figures 3e–g) (5). The laboratory tests proved positive for anti-parietal cell antibody. Pepsinogen I (PG I) was decreased to 4.67 ng/mL, the PG I/PG II ratio was decreased to 1.16, and gastrin-17 (G-17) was elevated to 25.28 pmol/L. Anti-Hp IgM and IgG serological tests were negative, and the patient denied a history of Hp eradication. Vitamin B12 was decreased to 86.00 pg/ml (Table 1). All these findings above were in accordance with the AIG diagnosis. Interestingly, the patient's thyroid ultrasound demonstrated diffuse thyroid changes, with an anti-thyroid peroxidase antibody (TPO-Ab) at 151.80 IU/ml, indicating concurrent Hashimoto's thyroiditis. What's more, the patient had vitiligo, which was also a common disease that AIG often occurred with.
Figure 2

Endoscopic findings in December 2024. (a) Gastric antrum, (b) gastric body, (c) gastric fundus, (d) the site of lesion resection appeared red.
Figure 3

Endoscopic findings and pathological examinations in June 2025. (a) scattered elevated erosions of the gastric antrum, (b) the folds in the gastric body disappeared, changing into a salmon-skin-like pattern with thick white mucus adherence, (c) the gastric fundus showed salmon-skin-like change, (d) the re-examination by NBI + Nearfocus of the lesion on the lesser curvature revealed no obvious abnormalities, (e) HE staining of 10Ă— magnification showed atrophy of the intrinsic glands and intestinal metaplasia in the greater curvature of the gastric body, (f) stage was classified as advanced florid stage based on the Japanese guideline, proved by atrophy in the greater curvature of the gastric body, accompanied by pseudo-pyloric metaplasia and mucous metaplasia of the cervical glands, (g) CgA immunohistochemical staining showed nodular hyperplasia of neuroendocrine cells, in accordance with the advanced florid stage.
Table 1
| Characteristics | Value | Unit | Reference range |
|---|---|---|---|
| Hb | 150 | g/L | 120–160 |
| MCV | 95.8 | fL | 82–95 |
| MCH | 32.8 | pg | 27–31 |
| Plt | 160 | 109/L | 100–300 |
| MPV | 9.2 | fL | 9.4–12.5 |
| Vitamin B12 | 86.00 | pg/mL | 180–914 |
| Ferritin | 27.30 | ng/ml | 23.9–336.2 |
| Folate | 10.73 | ng/ml | 3.1–19.9 |
| Albumin | 46.90 | g/L | 35–55 |
| Glucose | 4.75 | mmol/L | 3.9–6.1 |
| Triglyceride | 0.80 | mmol/L | 0.45–2.25 |
| TBil | 8.90 | umol/L | 3.42–23.34 |
| DBil | 3.50 | umol/L | 0–8.24 |
| ALT | 11 | IU/L | 5–40 |
| AST | 16 | IU/L | 8–40 |
| Gastrin-17 | 25.28 | pmol/L | 0–5.7 |
| PG I | 4.67 | ng/ml | >70 |
| PG II | 4.01 | ng/ml | 0–11 |
| PG I/PG II | 1.16 | >7 | |
| ANA | Nucleolar Pattern 1:100 | Negative | |
| APCA | Positive (+) | Negative | |
| TPO-Ab | 151.80 | IU/mL | 0–9 |
| H. pylori IgM | Negative (–) | Negative | |
| H. pylori IgG | Negative (–) | Negative | |
| AFP | 1.92 | ng/ml | 0.01–7 |
| TAA 72-4 | 3.50 | U/ml | 0–6.9 |
| TAA 19-9 | 11.10 | U/ml | 0.01–37 |
| CEA | 1.66 | ng/ml | 0.01–5 |
Laboratory data.
Hb, hemoglobin; MCV, mean corpuscular volume; MCH, mean corpuscular hemoglobin; Plt, platelet; MPV, mean platelet volume; TBil, total bilirubin; DBil, direct bilirubin; ALT, alanine aminotransferase; AST, aspartate aminotransferase; PG, pepsinogen; ANA, antinuclear antibody; APCA, anti-parietal cell antibody; TPO-Ab, anti-thyroid peroxidase antibody; H. pylori, helicobacter pylori; AFP, alpha-fetoprotein; TAA, tumor-associated antigen; CEA, carcinoembryonic antigen.
Discussion
GHPs could be considered potential precancerous lesions in AIG. Studies showed that GHPs predominantly develop in an abnormal gastric mucosal environment, with a high-grade intraepithelial neoplasia rate of ~0.42% based on analysis of large-scale endoscopic data (3). Notably, the AIG background increases the risk of neoplastic transformation of GHPs by 2.67-fold, especially in size over 1 cm (3). In the two reported cases of GHP carcinogenesis in AIG patients, both demonstrated polyp sizes reaching 2 cm, along with a delayed diagnosis of AIG (6, 7). One of the cases also exhibited repeated recurrence of polyps at the same site after resections (6). Molecular mechanism studies reveal deeper characteristics of carcinogenesis in AIG-associated GHPs: abnormal accumulation of p53 protein and an elevated Ki-67 proliferation index indicate DNA repair dysregulation; overexpression of Claudin-3/4 tight junction proteins disrupts epithelial barrier function; BRAF gene mutations, driving abnormal activation of the MAPK signaling pathway, are detected in ~40% of malignant transformation cases (8, 9). Our case showed that GHPs < 1 cm in AIG patients should also be alerted for malignancy and removed if possible. From another perspective, patients with GHPs should also be alerted to the possible existence of AIG. In our case, the correct diagnosis of the background mucosa was postponed 18 months after the GHP EMR.
The association between AIG and gastric cancer risk remains controversial. A prospective study showed that patients with pernicious anemia (PA) have about five times the risk of developing gastric cancer than the general population (10). A Meta-analysis study showed that the annual incidence of gastric cancer in patients with PA ranged from 0.1% to 1.2%, which is much higher than that of the general population (11). However, other studies suggest that AIG without concurrent H. pylori infection does not increase gastric cancer risk (12), with the adenocarcinoma incidence in AIG patients strictly excluding Hp infection being only 0.9% (13). It is presumed that hypergastrinemia might be a critical driver of gastric carcinogenesis in Hp-negative AIG, where parietal cell destruction-induced hypochlorhydria elevates serum gastrin, significantly increasing risks for proximal (OR = 6.1) and intestinal-type (OR = 3.8) gastric cancers (14). Gastrin promotes the proliferation and inhibits the apoptosis of gastric adenocarcinoma cells primarily through binding to CCK2R. This signal amplification is maintained via an autocrine/paracrine loop involving the gastrin–CCK2R axis. Furthermore, gastrin induces apoptosis in gastric mucosal stem cells and recruits bone marrow-derived cells with enhanced malignant potential. Together, these mechanisms contribute to the initiation and progression of gastric adenocarcinoma (15). In our case, the patient's gastrin level elevated to 5 times the normal value, and it also presented with relatively severe gastric mucosal atrophy. Both of the factors could contribute to the development of the malignancy.
According to the Japanese Gastric Cancer Treatment Guidelines 2021 (6th edition), early gastric cancer (EGC) that is differentiated-type, T1a, non-ulcerated, and ≤ 2 cm conforms to the absolute indication for EMR or endoscopic submucosal dissection (ESD) (16). This case involves the transformation of a GHP into early-stage gastric cancer, which meets the criteria for endoscopic resection. After curative resection of very-low/low-risk EGC, endoscopic surveillance by high-quality EGD should be performed at 3–6 months, then annually thereafter, as recommended by the European Society of Gastrointestinal Endoscopy (ESGE), European Helicobacter and Microbiota Study Group (EHMSG), and European Society of Pathology (ESP) Guideline update 2025 (17). For our case, the EGD is supposed to beconducted regularly.
The present study has several limitations. Firstly, before performing EMR, we didn't use magnifying endoscopy for detailed examination, resulting in the early-stage cancer being unrecognized previously. Secondly, the lack of BRAF stain in our case led to a limitation on the possible explanation of the molecular mechanism.
In conclusion, neoplastic transformation of GHPs should be alerted in patients with AIG, especially in the advanced florid stage. Elevated gastrin levels may be a potential risk factor for cancer development in Hp-negative AIG. Endoscopic resection can be considered for early-stage cancerous transformation of GHPs. Regular follow-up is essential for postoperative patients.
Statements
Data availability statement
The original contributions presented in the study are included in the article/supplementary material, further inquiries can be directed to the corresponding author.
Ethics statement
Ethical approval was not required for the studies involving humans because this is a case report that requires no ethical approval. The studies were conducted in accordance with the local legislation and institutional requirements. The human samples used in this study were acquired from A patient from routine medical practice. Written informed consent to participate in this study was not required from the participants or the participants' legal guardians/next of kin in accordance with the national legislation and the institutional requirements. Written informed consent was obtained from the individual(s) for the publication of any potentially identifiable images or data included in this article.
Author contributions
YW: Writing – original draft, Data curation, Writing – review & editing. ZL: Writing – review & editing, Data curation, Writing – original draft. WG: Writing – review & editing, Data curation, Formal analysis, Resources. TJ: Writing – review & editing, Formal analysis. JH: Data curation, Writing – review & editing. LC: Data curation, Writing – review & editing. JS: Writing – review & editing, Data curation. HZ: Supervision, Writing – review & editing, Validation.
Funding
The author(s) declare that no financial support was received for the research and/or publication of this article.
Conflict of interest
The authors declare that the research was conducted in the absence of any commercial or financial relationships that could be construed as a potential conflict of interest.
Generative AI statement
The author(s) declare that no Gen AI was used in the creation of this manuscript.
Any alternative text (alt text) provided alongside figures in this article has been generated by Frontiers with the support of artificial intelligence and reasonable efforts have been made to ensure accuracy, including review by the authors wherever possible. If you identify any issues, please contact us.
Publisher’s note
All claims expressed in this article are solely those of the authors and do not necessarily represent those of their affiliated organizations, or those of the publisher, the editors and the reviewers. Any product that may be evaluated in this article, or claim that may be made by its manufacturer, is not guaranteed or endorsed by the publisher.
References
1.
Sonnenberg A Genta RM . Prevalence of benign gastric polyps in a large pathology database. Dig Liver Dis. (2015) 47:164–9. 10.1016/j.dld.2014.10.004
2.
Markowski AR Markowska A Guzinska-Ustymowicz K . Pathophysiological and clinical aspects of gastric hyperplastic polyps. World J Gastroenterol. (2016) 22:8883–91. 10.3748/wjg.v22.i40.8883
3.
Zhang D-X Niu Z-Y Wang Y Zu M Wu Y-H Shi Y-Y et al . Endoscopic and pathological features of neoplastic transformation of gastric hyperplastic polyps: retrospective study of 4010 cases. World J Gastrointest Oncol. (2024) 16:4424–35. 10.4251/wjgo.v16.i11.4424
4.
Yamamichi N Aoki R . Controversy regarding the risk of autoimmune gastritis on gastric adenocarcinoma. J Gastroenterol. (2025) 60:671–2. 10.1007/s00535-025-02245-9
5.
Kamada T Watanabe H Furuta T Terao S Maruyama Y Kawachi H et al . Diagnostic criteria and endoscopic and histological findings of autoimmune gastritis in Japan. J Gastroenterol. (2023) 58:185–95. 10.1007/s00535-022-01954-9
6.
Xing Y Han H Wang Y Sun Z Wang L Peng D et al . How to improve the diagnosis of neoplastic transformation of gastric hyperplastic polyps in the context of autoimmune gastritis? A case report and lierature review. Medicine. (2022) 101:e32204. 10.1097/MD.0000000000032204
7.
Yamanaka K Miyatani H Yoshida Y Ishii T Asabe S Takada O et al . Malignant transformation of a gastric hyperplastic polyp in a context of Helicobacter pylori-negative autoimmune gastritis: a case report. BMC Gastroenterol. (2016) 16:130. 10.1186/s12876-016-0537-x
8.
Imura J Hayashi S Ichikawa K Miwa S Nakajima T Nomoto K et al . Malignant transformation of hyperplastic gastric polyps: an immunohistochemical and pathological study of the changes of neoplastic phenotype. Oncology Lett. (2014) 7:1459–63. 10.3892/ol.2014.1932
9.
Fujiwara-Tani R Okamoto A Katsuragawa H Ohmori H Fujii K Mori S et al . BRAF mutation Is associated with hyperplastic polyp-associated gastric cancer. Int J Mol Sci. (2021) 22:12724. 10.3390/ijms222312724
10.
Kokkola A Sjoblom SM Haapiainen R Sipponen P Puolakkainen P Jarvinen H . The risk of gastric carcinoma and carcinoid tumours in patients with pernicious anaemia. A prospective follow-up study. Scand J Gastroenterol. (1998) 33:88–92. 10.1080/00365529850166266
11.
Vannella L . Risk for gastric neoplasias in patients with chronic atrophic gastritis: a critical reappraisal. World J Gastroenterol. (2012) 18:1279–85. 10.3748/wjg.v18.i12.1279
12.
Rugge M Bricca L Guzzinati S Sacchi D Pizzi M Savarino E et al . Autoimmune gastritis: long-term natural history in naĂ¯veHelicobacter pylori-negative patients. Gut. (2023) 72:30–8. 10.1136/gutjnl-2022-327827
13.
Lenti MV Miceli E Lahner E Natalello G Massironi S Schiepatti A et al . Distinguishing features of autoimmune gastritis depending on previous helicobacter pylori infection or positivity to anti-parietal cell antibodies: results from the Autoimmune gastRitis Italian netwOrk Study grOup (ARIOSO). Am J Gastroenterol. (2024) 119:2408–17. 10.14309/ajg.0000000000002948
14.
Kishikawa H Nishida J . Gastric cancer in patients with Helicobacter pylori-negative autoimmune gastritis. World J Gastrointest Oncol. (2025) 17:101661. 10.4251/wjgo.v17.i4.101661
15.
Zeng Q Ou L Wang W Guo D-Y . Gastrin, cholecystokinin, signaling, and biological activities in cellular processes. Front Endocrinol. (2020) 11:112. 10.3389/fendo.2020.00112
16.
Japanese Gastric Cancer A . Japanese gastric cancer treatment guidelines 2021 (6th edition). Gastric Cancer. (2023) 26:1–25. 10.1007/s10120-022-01331-8
17.
Dinis-Ribeiro M Libanio D Uchima H Spaander MCW Bornschein J Matysiak-Budnik T et al . Management of epithelial precancerous conditions and early neoplasia of the stomach (MAPS III): European Society of Gastrointestinal Endoscopy (ESGE), European Helicobacter and Microbiota Study Group (EHMSG) and European Society of Pathology (ESP) Guideline update 2025. Endoscopy. (2025) 57:504–54. 10.1055/a-2529-5025
Summary
Keywords
gastric hyperplastic polyps, gastric cancer, endoscopic mucosal resection, autoimmune gastritis, case report
Citation
Wang Y, Liu Z, Gao W, Jia T, Hong J, Cai L, She J and Zhai H (2025) Malignant transformation of gastric hyperplastic polyps in an autoimmune gastritis patient—a case report and literature review. Front. Med. 12:1693184. doi: 10.3389/fmed.2025.1693184
Received
26 August 2025
Accepted
30 September 2025
Published
23 October 2025
Volume
12 - 2025
Edited by
Xinxin Wang, People's Liberation Army General Hospital, China
Reviewed by
Chuanchuan Tan, The First Hospital of Hunan University of Chinese Medicine, China
Alexander Tertychnyy, Sechenov First Moscow State Medical University, Russia
Updates
Copyright
© 2025 Wang, Liu, Gao, Jia, Hong, Cai, She and Zhai.
This is an open-access article distributed under the terms of the Creative Commons Attribution License (CC BY). The use, distribution or reproduction in other forums is permitted, provided the original author(s) and the copyright owner(s) are credited and that the original publication in this journal is cited, in accordance with accepted academic practice. No use, distribution or reproduction is permitted which does not comply with these terms.
*Correspondence: Huihong Zhai nxykdx1009@163.com; zhaihuihong@ccmu.edu.cn
†These authors have contributed equally to this work
‡ORCID: Yingqi Wang orcid.org/0009-0004-7340-2868
Zijin Liu orcid.org/0000-0001-8550-3616
Jiayi Hong orcid.org/0009-0007-9062-9759
Huihong Zhai orcid.org/0000-0002-8452-6311
Disclaimer
All claims expressed in this article are solely those of the authors and do not necessarily represent those of their affiliated organizations, or those of the publisher, the editors and the reviewers. Any product that may be evaluated in this article or claim that may be made by its manufacturer is not guaranteed or endorsed by the publisher.