CASE REPORT article
Front. Med.
Sec. Hepatobiliary Diseases
Case Report of a patient with Madelung's disease combined with alcoholic liver disease and liver cirrhosis
Provisionally accepted- 1Changchun University of Chinese Medicine, Changchun, China
- 2The First Clinical Hospital of Jilin Academy of Traditional Chinese Medicine, changchun, China
Select one of your emails
You have multiple emails registered with Frontiers:
Notify me on publication
Please enter your email address:
If you already have an account, please login
You don't have a Frontiers account ? You can register here
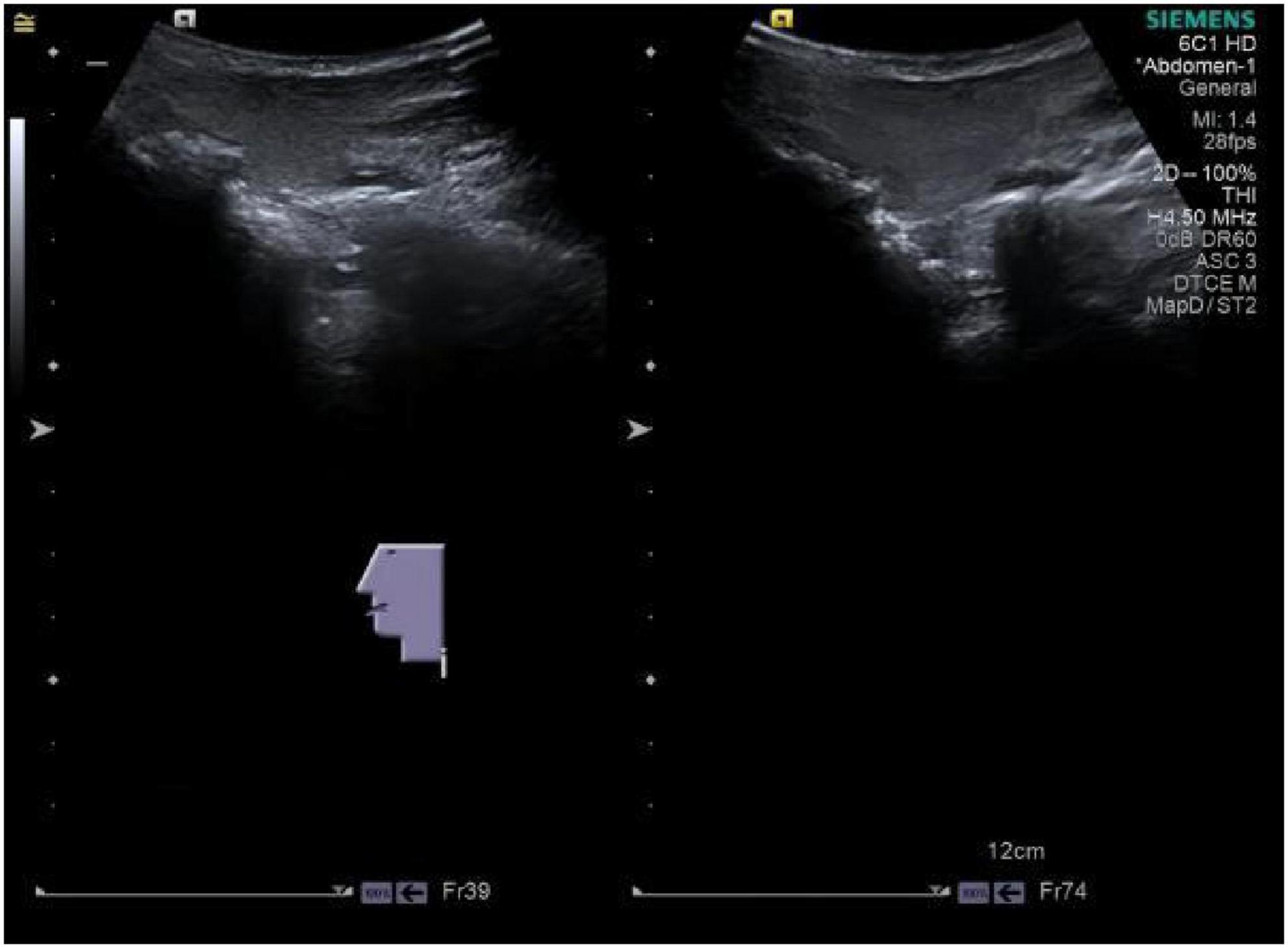
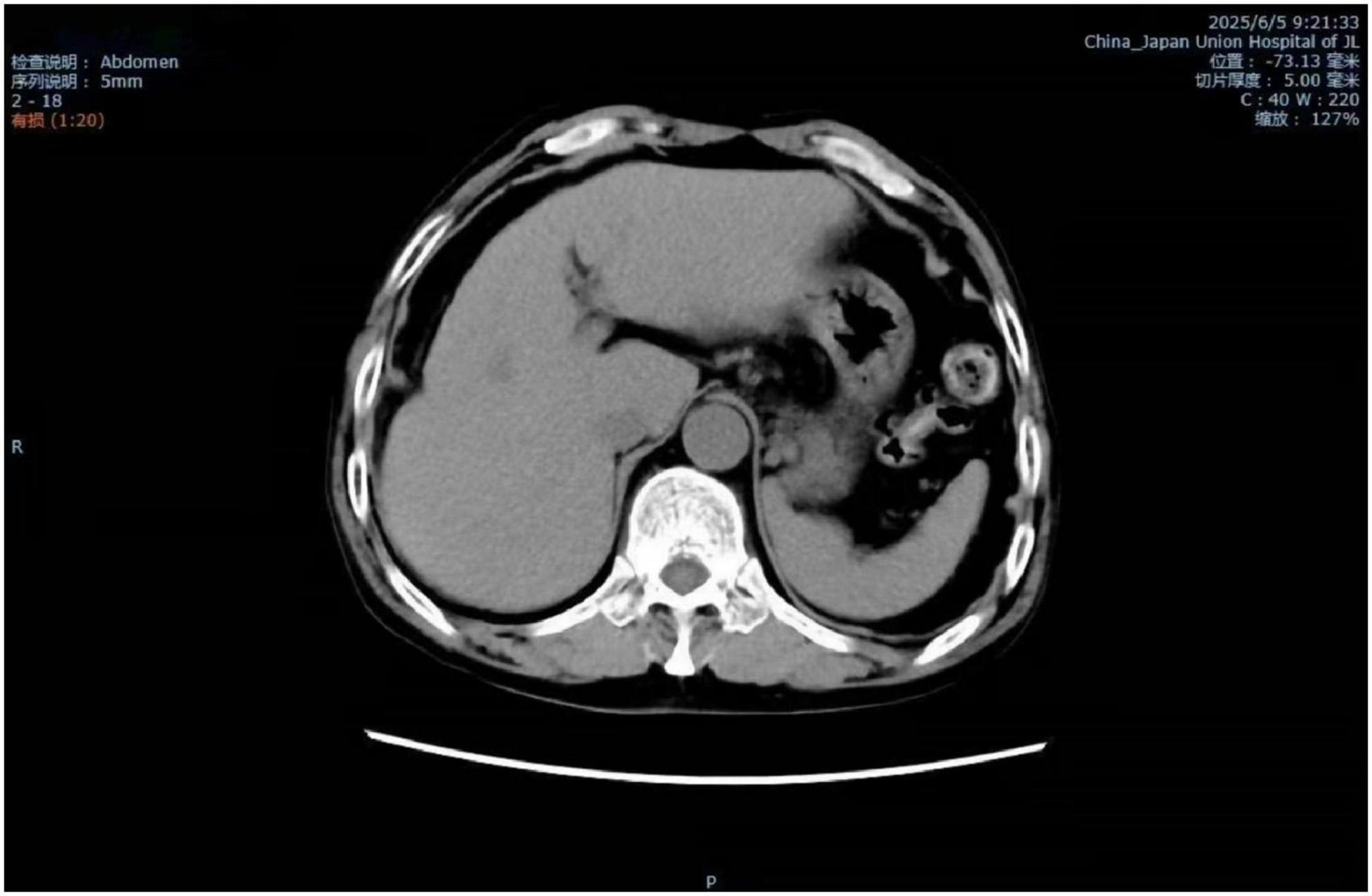
Background Madelung's disease (MD) is a rare disorder of fat metabolism, with symptoms often characterized by the appearance of chronic accumulations of abnormal adipose tissue in areas such as the neck and neckline, upper back and chest. Nowadays, its pathogenesis is still unknown, and some scholars have suggested that its etiology is closely related to alcohol consumption, and that it is associated with a variety of metabolic diseases such as liver disease, hypertension, diabetes mellitus, dyslipidemia, and peripheral neurological damage. Currently, there are very few reported cases of Madelung's disease complicated by alcoholic liver disease and liver cirrhosis (LC), making this case worthy of reporting. Case summaries This article reports on a 60-year-old man, the main point of view"The patient has experienced edema in both lower limbs for two weeks , accompanied by a long history of alcohol consumption".Clinical examination showed subcutaneous swelling of the neck, which has been clearly present for three years. The diagnosis of Madelung's disease combined with alcoholic liver disease and liver cirrhosis was made based on laboratory tests of liver function, ultrasound of the neck vessels, ultrasound of the superficial tissues of the neck, and CT of the abdomen. The patient has not exhibited restricted neck mobility or symptoms of tracheoesophageal fat syndrome, which affects swallowing and breathing, and refused neck surgery treatment and received hepatoprotective therapy and traditional agents. After 14 days and two cycles of Chinese medicine,edema subsided, and the size of the subcutaneous mass remained stable. Result Madelung's disease is often underdiagnosed and misdiagnosed because of its low prevalence. The purpose of this article is to illustrate the need to be vigilant in clinical encounters with patients with Madelung's disease combined with alcoholic liver disease and liver cirrhosis, to achieve early intervention and treatment, and to prevent complications. The etiology of this disease remains unclear. Further research into its pathophysiological mechanisms should be pursued, opening new avenues for therapeutic investigations.
Keywords: Madelung's disease, Liver Cirrhosis, Alcohol consumption, Metabolic disorder, case report
Received: 30 Aug 2025; Accepted: 03 Nov 2025.
Copyright: © 2025 Gu, hao, Duan and Zhao. This is an open-access article distributed under the terms of the Creative Commons Attribution License (CC BY). The use, distribution or reproduction in other forums is permitted, provided the original author(s) or licensor are credited and that the original publication in this journal is cited, in accordance with accepted academic practice. No use, distribution or reproduction is permitted which does not comply with these terms.
* Correspondence: yi hao, haoyi1013@126.com
Disclaimer: All claims expressed in this article are solely those of the authors and do not necessarily represent those of their affiliated organizations, or those of the publisher, the editors and the reviewers. Any product that may be evaluated in this article or claim that may be made by its manufacturer is not guaranteed or endorsed by the publisher.
