CASE REPORT article
Front. Med.
Sec. Pulmonary Medicine
Successful Treatment of Pulmonary Lymphatic Perfusion Syndrome with Lymphatic Intervention Embolization: A Case Report
Provisionally accepted- Affiliated Hospital of Jianghan University, Wuhan, China
Select one of your emails
You have multiple emails registered with Frontiers:
Notify me on publication
Please enter your email address:
If you already have an account, please login
You don't have a Frontiers account ? You can register here
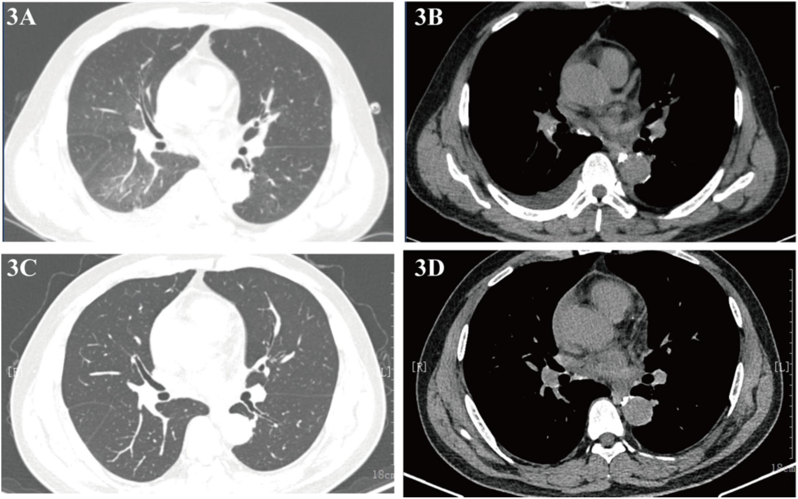
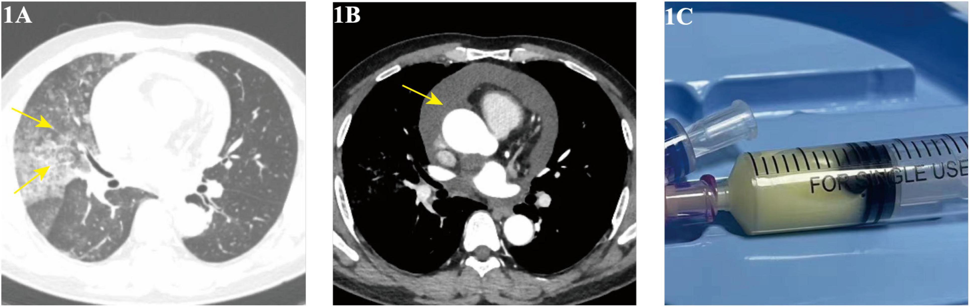
Pulmonary Lymphatic Perfusion Syndrome (PLPS) is a rare condition characterized by abnormal lymphatic drainage into the lungs, leading to symptoms such as chyloptysis and chylous effusions. We report a case of a 54-year-old male with PLPS who presented with persistent cough, milky sputum, and pericardial effusion. Following initial misdiagnosis and ineffective empirical treatment for a presumed pulmonary infection, a definitive diagnosis of PLPS was established.The patient underwent successful percutaneous thoracic duct embolization, resulting in complete resolution of symptoms and imaging findings at follow-up. This case highlights the importance of considering PLPS in patients with unexplained chylous effusions and the efficacy of lymphatic intervention as a treatment option.
Keywords: Pulmonary Lymphatic Perfusion Syndrome (PLPS), Chylous pericardial effusion, Chyloptysis / Milky Sputum, thoracic duct embolization, Lymphatic intervention
Received: 10 Oct 2025; Accepted: 12 Nov 2025.
Copyright: © 2025 Liu, Wang, Chen, Qin and Yu. This is an open-access article distributed under the terms of the Creative Commons Attribution License (CC BY). The use, distribution or reproduction in other forums is permitted, provided the original author(s) or licensor are credited and that the original publication in this journal is cited, in accordance with accepted academic practice. No use, distribution or reproduction is permitted which does not comply with these terms.
* Correspondence: Wei Yu, 6612549@163.com
Disclaimer: All claims expressed in this article are solely those of the authors and do not necessarily represent those of their affiliated organizations, or those of the publisher, the editors and the reviewers. Any product that may be evaluated in this article or claim that may be made by its manufacturer is not guaranteed or endorsed by the publisher.
