BRIEF RESEARCH REPORT article
Front. Med.
Sec. Infectious Diseases: Pathogenesis and Therapy
HIV-associated CD8+ encephalitis confirmed by cerebrospinal fluid flow cytometry: First case in Colombia
Provisionally accepted- 1Universidad del Rosario, Bogotá, Colombia
- 2Department of Basic Sciences, School of Medicine and Health Sciences, University of Rosario, Bogotá, Colombia
- 3Hospital Universitario Mayor, Bogotá, Colombia
Select one of your emails
You have multiple emails registered with Frontiers:
Notify me on publication
Please enter your email address:
If you already have an account, please login
You don't have a Frontiers account ? You can register here
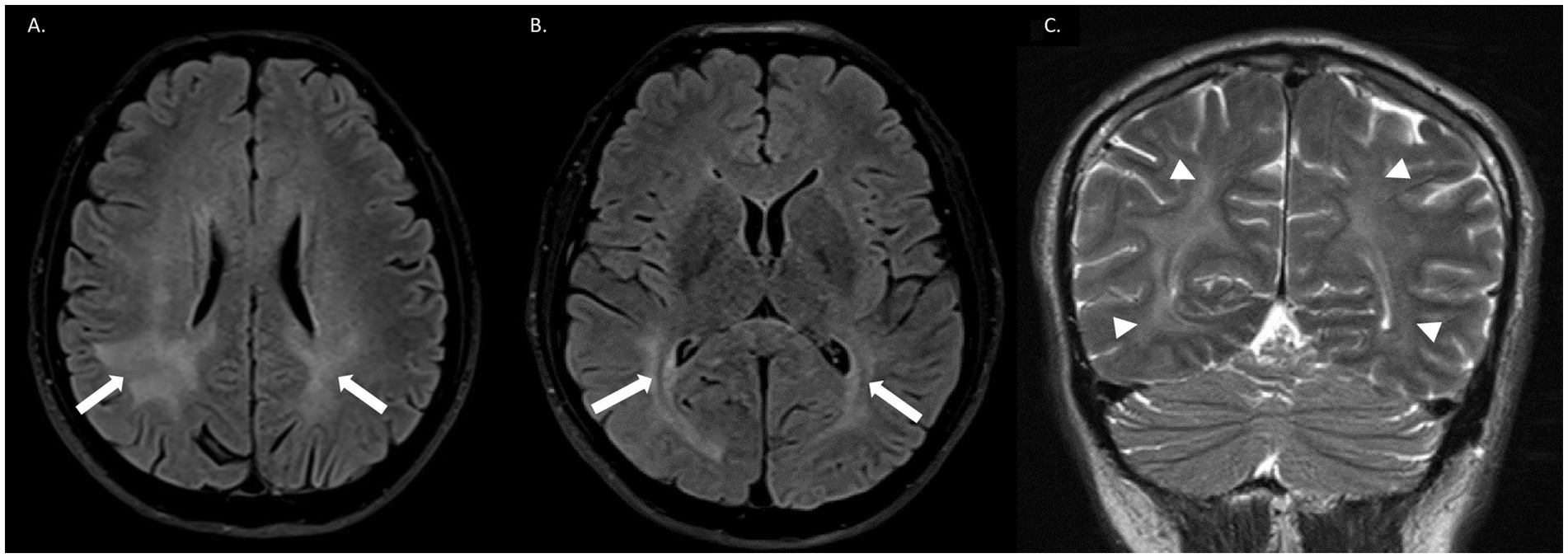
Introduction: Encephalitis in patients with human immunodeficiency virus (HIV) can be caused by opportunistic infections, immune-mediated processes, or direct viral damage. CD8+ encephalitis is a rare condition. We report the first confirmed case in Colombia, diagnosed by cerebrospinal fluid (CSF) flow cytometry. Clinical case: A 50-year-old man with a history of liver cirrhosis and HIV, who had suspended antiretroviral treatment 1 month prior to admission, presented to the emergency department with a 2-day history of disorientation, bradyphrenia, dysarthria, and headache. Neurological examination revealed agitation, disorientation, language, memory, and abstraction difficulties, as well as ataxia and generalized chorea. The patient's CD4 count was 838 cells. Brain magnetic resonance imaging (MRI) showed bilateral asymmetric leukoencephalopathy, and lumbar puncture revealed lymphocytic pleocytosis. After ruling out other differential diagnoses, flow cytometry confirmed the diagnosis of CD8+ encephalitis by identifying 42 cells (59.73% CD8+). The patient's condition improved following the steroid treatment initiation. Discussion: CD8+ T-cell encephalitis is an uncommon immune-mediated disorder in HIV patients, typically occurring when the virus is controlled by antiretroviral therapy. Clinically, it can manifest as global impairment of consciousness, headache and focal symptoms. Diagnosis is typically made via brain biopsy, but imaging and other methods, such as flow cytometry, can be useful. Corticosteroids are the first-line treatment, and prognosis is highly variable. Conclusions: CD8-mediated encephalitis is a rare condition that requires a complex diagnosis. We present a case of an HIV patient who responded well to corticosteroid therapy without the need for a brain biopsy, confirmed by flow cytometry.
Keywords: CD8 positive T lymphocytes, Encephalitis, human immunodeficiency virus, Flow Cytometry, Neurology
Received: 15 Sep 2025; Accepted: 06 Nov 2025.
Copyright: © 2025 Orlando Soto Moreno, Pinzon, Echandia, Rojas, Yanguma, Oviedo and Ariza-Varón. This is an open-access article distributed under the terms of the Creative Commons Attribution License (CC BY). The use, distribution or reproduction in other forums is permitted, provided the original author(s) or licensor are credited and that the original publication in this journal is cited, in accordance with accepted academic practice. No use, distribution or reproduction is permitted which does not comply with these terms.
* Correspondence:
Nicolás Orlando Soto Moreno, nicsotom704@gmail.com
Omar Hernando Rojas, omar.rojas@urosario.edu.co
Disclaimer: All claims expressed in this article are solely those of the authors and do not necessarily represent those of their affiliated organizations, or those of the publisher, the editors and the reviewers. Any product that may be evaluated in this article or claim that may be made by its manufacturer is not guaranteed or endorsed by the publisher.
