CASE REPORT article
Front. Med.
Sec. Precision Medicine
Photon-counting CT demonstration of acute labyrinthine ischemia in idiopathic sudden sensorineural hearing loss: A case report
Provisionally accepted- The Second Affiliated Hospital Zhejiang University School of Medicine, Hangzhou, China
 
Select one of your emails
You have multiple emails registered with Frontiers:
Notify me on publication
Please enter your email address:
If you already have an account, please login
You don't have a Frontiers account ? You can register here
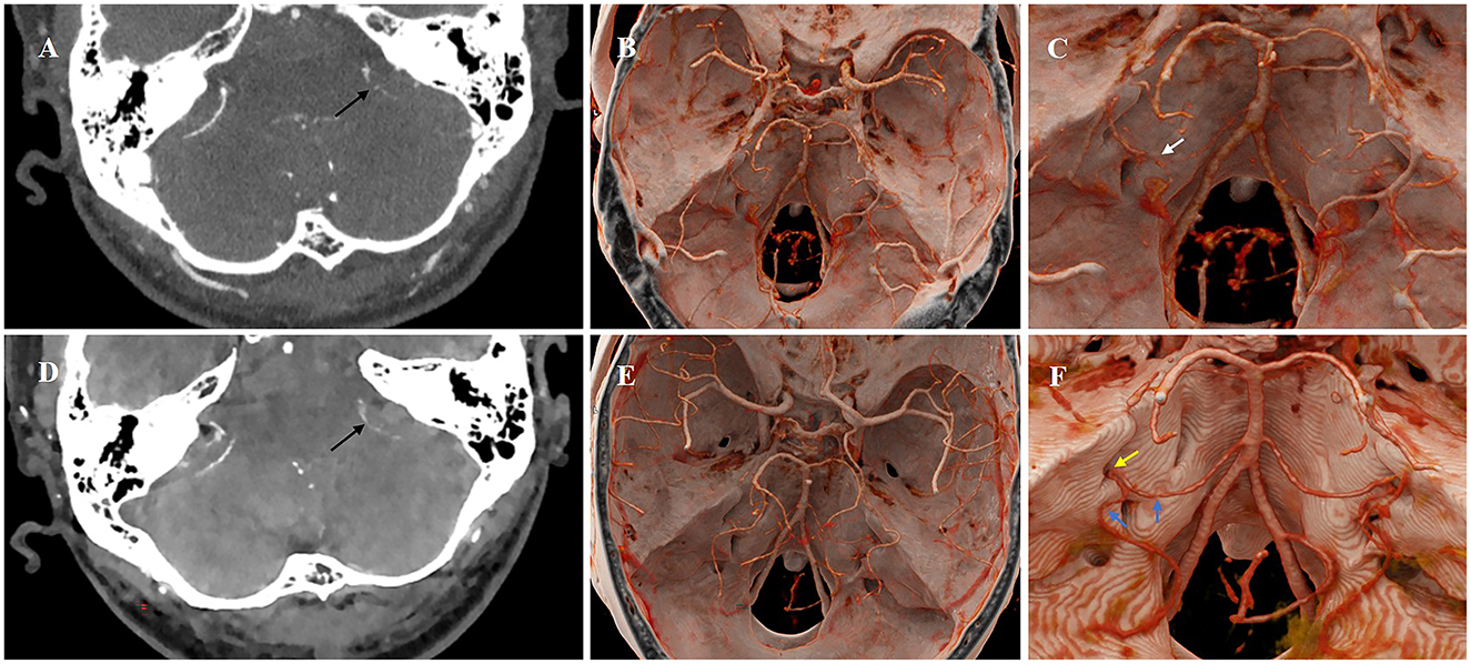
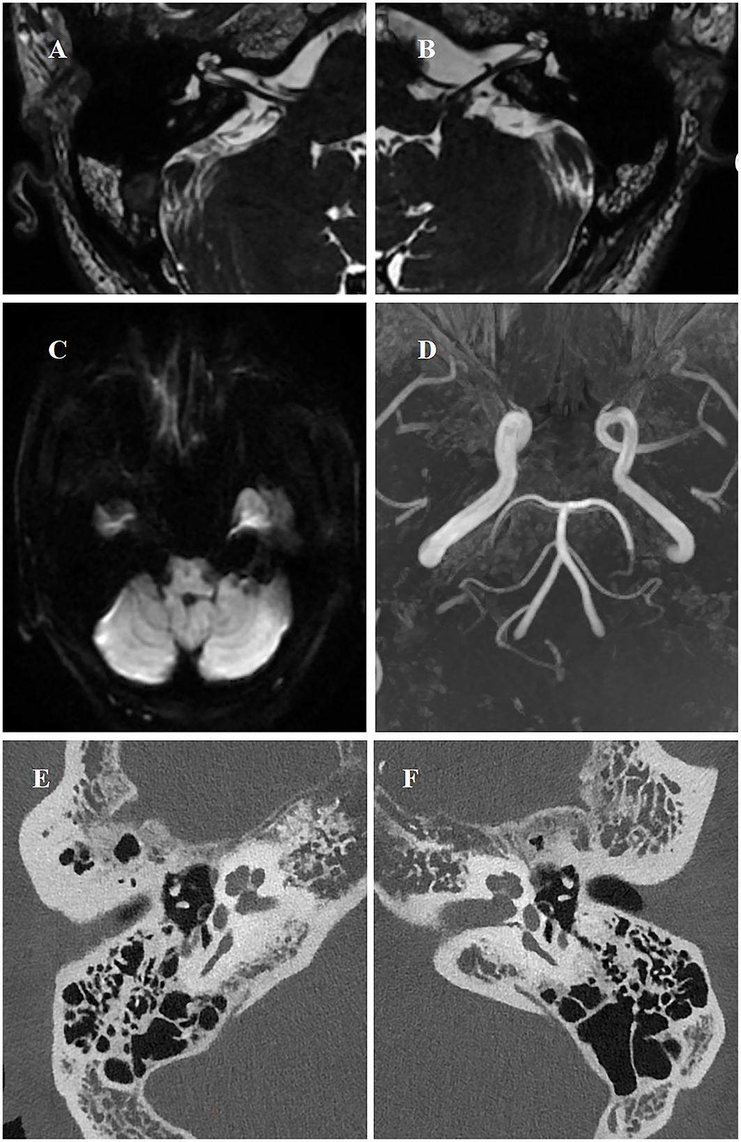
The pathophysiology of idiopathic sudden sensorineural hearing loss (ISSNHL) remains unclear. It is widely hypothesized that vascular ischemia, leading to acute labyrinthine ischemia, may represent the most probable underlying etiology. We describe a 51-year-old previously healthy man presenting with acute-onset left-sided hearing loss, tinnitus, and vertigo persisting for 24 hours. His clinical features were consistent with acute labyrinthine ischemia, suggesting this as the probable etiology of ISSNHL. Initial photon-counting CT (PCCT) of the inner ear suggested that the branches of the anterior inferior cerebellar artery (AICA) supplying the inner ear, including the labyrinthine artery, were slightly attenuated and exhibited a sparse branching pattern. Follow-up imaging after therapy within a week revealed significant improvement in both the vascular caliber and blood flow. To our knowledge, this case represents the first successful application of PCCT to directly suggest acute labyrinthine ischemia, providing the first reported radiological evidence for this mechanism.
Keywords: Photon-Counting CT, imaging, Idiopathic sudden sensorineural hearing loss, Ischemia, AICA = anterior inferior cerebellar artery
Received: 20 Sep 2025; Accepted: 03 Nov 2025.
Copyright: © 2025 Sun, Chen and Xu. This is an open-access article distributed under the terms of the Creative Commons Attribution License (CC BY). The use, distribution or reproduction in other forums is permitted, provided the original author(s) or licensor are credited and that the original publication in this journal is cited, in accordance with accepted academic practice. No use, distribution or reproduction is permitted which does not comply with these terms.
* Correspondence: Jingjing  Xu, jingjingxu@zju.edu.cn
Disclaimer: All claims expressed in this article are solely those of the authors and do not necessarily represent those of their affiliated organizations, or those of the publisher, the editors and the reviewers. Any product that may be evaluated in this article or claim that may be made by its manufacturer is not guaranteed or endorsed by the publisher.
