CASE REPORT article
Front. Med.
Sec. Pulmonary Medicine
This article is part of the Research TopicCase Reports in Pulmonary Medicine 2025View all 19 articles
A Cautious Approach for Detecting and Managing Intercostal Artery Injury During CT-Guided Lung Biopsy: A Case Report and Literature Review
Provisionally accepted- 1Department of Radiology, Dianjiang people’s hospital of Chongqing, Chongqing, China
- 2Department of Pharmacy, Dianjiang people’s hospital of Chongqing, Chongqing, China
- 3Department of Medical Imaging, School of Basic Medical Sciences, Xinjiang Medical University, Urumqi, China
Select one of your emails
You have multiple emails registered with Frontiers:
Notify me on publication
Please enter your email address:
If you already have an account, please login
You don't have a Frontiers account ? You can register here
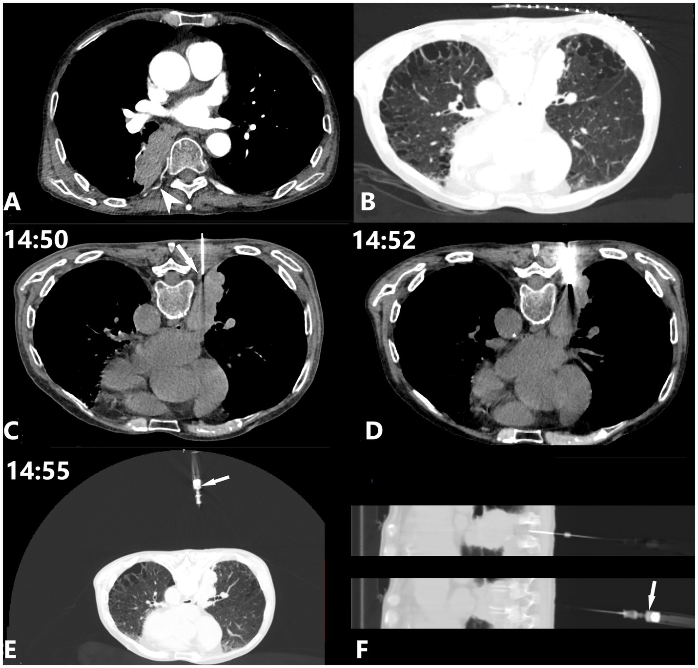
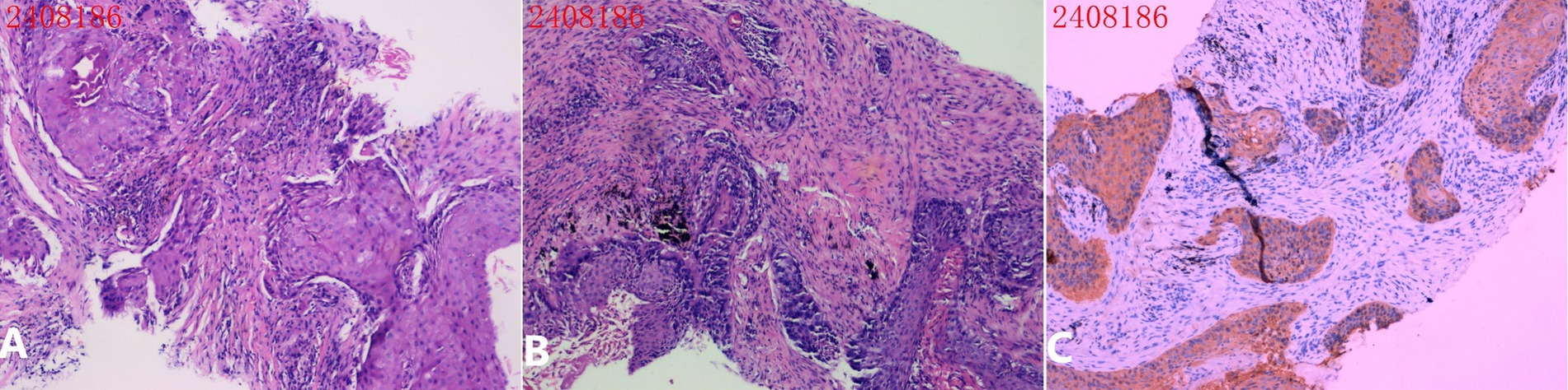
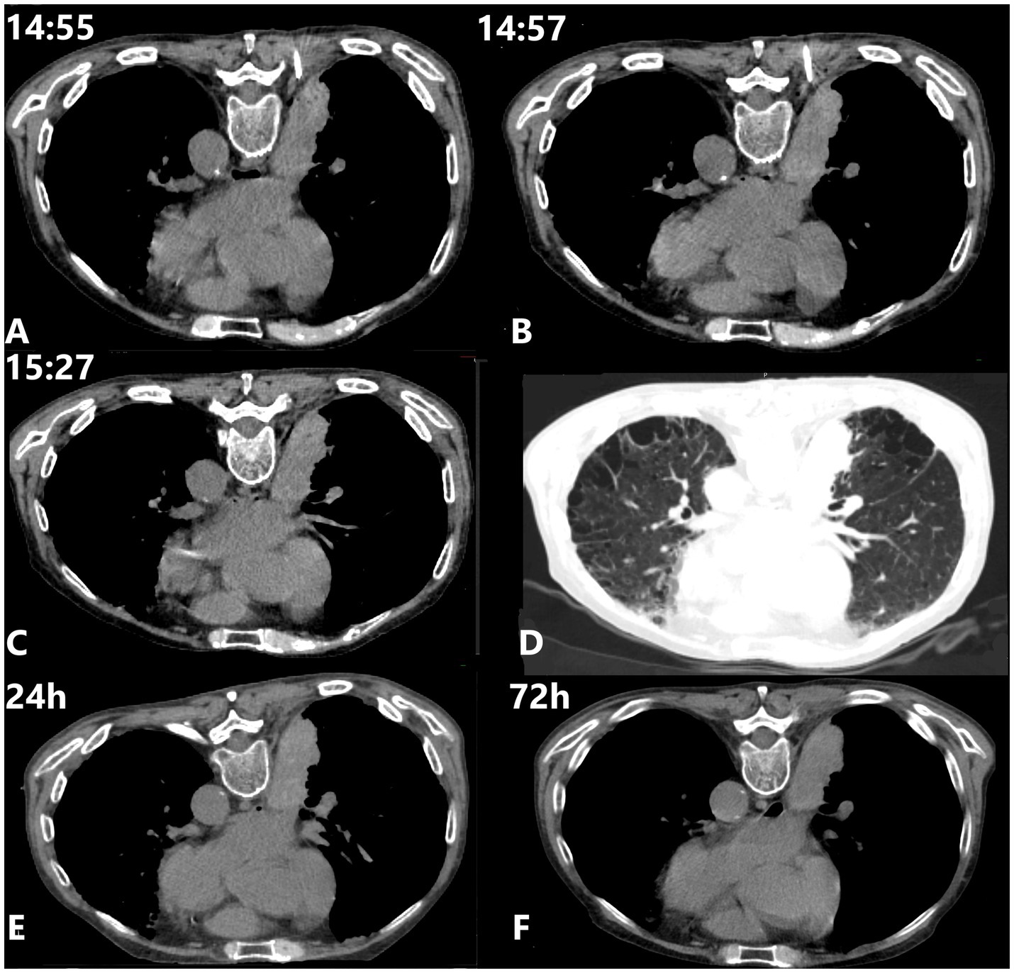
Intercostal artery (ICA) injury during CT-guided percutaneous transthoracic needle biopsy (PTNB) is a rare but potentially severe complication. This case report describes a cautious approach for detecting and managing suspected ICA injury using a coaxial needle system. During PTNB in a 71-year-old male with lung cancer, ICA injury was detected through blood aspiration during needle withdrawal. Management involved immediate cessation of withdrawal, slight needle advancement for mechanical hemostasis, and serial monitoring, achieving hemostasis without requiring additional invasive interventions. Literature review of cases from 2018 to 2024 revealed that current management approaches vary based on severity, with a 30% mortality rate among reported cases. Most ICA injuries are detected post-procedurally rather than intraoperatively. Traditional interventions range from conservative treatment to transcatheter arterial embolization (TAE) or thoracotomy. This approach suggests a potential stepwise method for managing suspected ICA injury that might reduce complications and minimize the need for invasive interventions. As a single case report representing hypothesis-generating evidence, this observation requires further validation through collaborative experience from other operators when similar circumstances arise. The case demonstrates an exploratory approach for managing ICA injury during PTNB, particularly relevant in resource-limited settings where interventional radiology services may not be immediately available.
Keywords: Intercostal artery injury, Percutaneous transthoracic needle biopsy, Coaxial needle, Hemostasis, case report
Received: 20 Sep 2025; Accepted: 04 Nov 2025.
Copyright: © 2025 Zhang, Li, Lan, Xu, Leng, Liao and Zhang. This is an open-access article distributed under the terms of the Creative Commons Attribution License (CC BY). The use, distribution or reproduction in other forums is permitted, provided the original author(s) or licensor are credited and that the original publication in this journal is cited, in accordance with accepted academic practice. No use, distribution or reproduction is permitted which does not comply with these terms.
* Correspondence:
Hao Zhang, plutoye_7@hotmail.com
Chi Zhang, chizhang2007@hotmail.com
Disclaimer: All claims expressed in this article are solely those of the authors and do not necessarily represent those of their affiliated organizations, or those of the publisher, the editors and the reviewers. Any product that may be evaluated in this article or claim that may be made by its manufacturer is not guaranteed or endorsed by the publisher.
