CASE REPORT article
Front. Med.
Sec. Hepatobiliary Diseases
Whispers of the Serpent: Exploring Uncommon Imaging Features in Primary Hepatic Malignant Mesothelioma
Provisionally accepted- The Affiliated Huaian No.1 People's Hospital of Nanjing Medical University, Huai'an, China
Select one of your emails
You have multiple emails registered with Frontiers:
Notify me on publication
Please enter your email address:
If you already have an account, please login
You don't have a Frontiers account ? You can register here
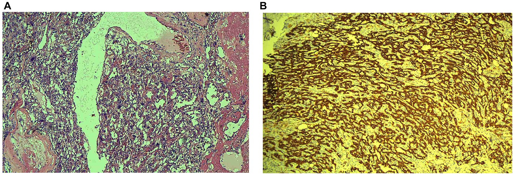
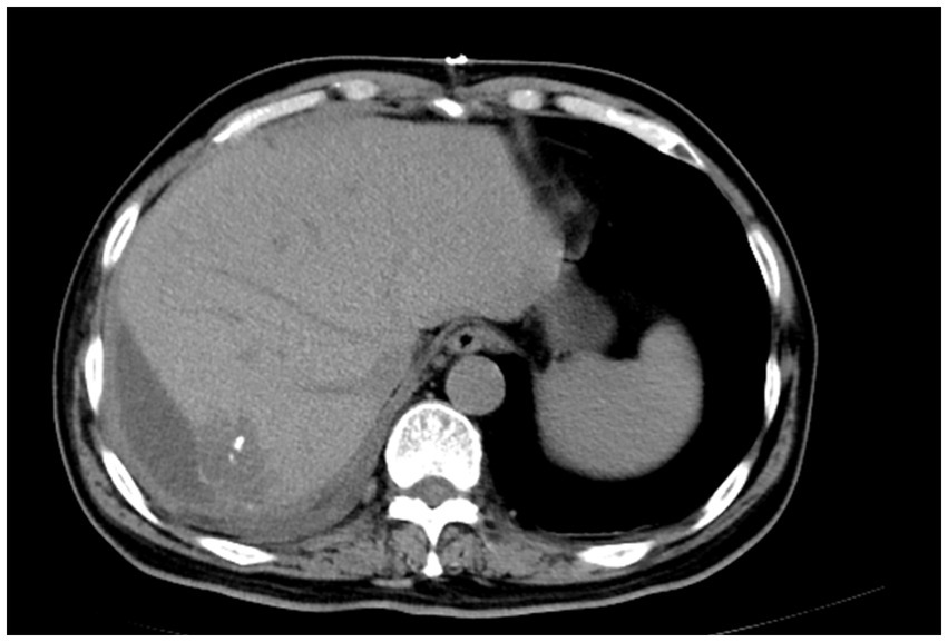
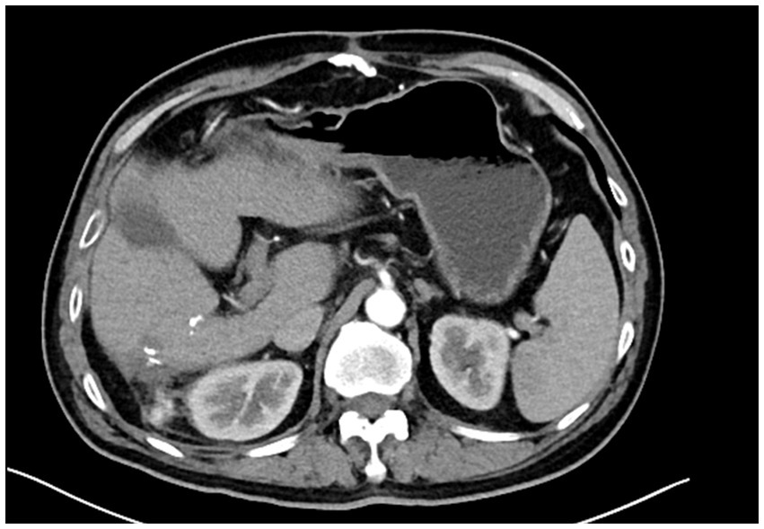
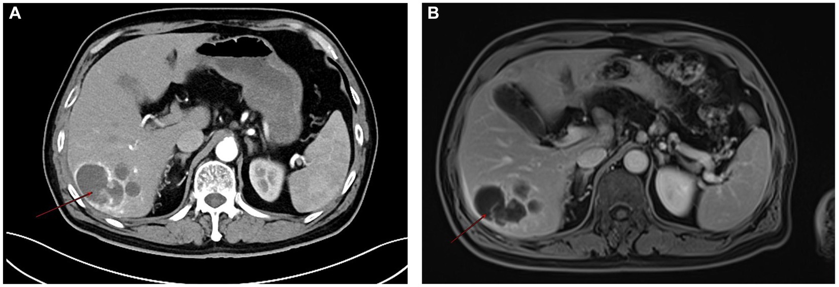
Primary hepatic malignant mesothelioma (PHMM) is an uncommon and aggressive neoplasm with vague clinical and radiological features, posing challenges for preoperative diagnosis. In our case, a lobulated hepatic mass demonstrated a serpiginous peripheral enhancement pattern on contrast-enhanced CT and MRI. This uncommon imaging manifestation has been sporadically documented in previous reports. By consolidating these findings, our report emphasizes serpiginous peripheral enhancement as a potential diagnostic clue for PHMM. Recognition of this pattern may aid earlier detection, improve differential diagnosis, and guide timely surgical decision-making in affected patients.
Keywords: primary hepatic malignant mesothelioma, serpiginous peripheral enhancement, contrast-enhanced ct/mri, Immunohistochemistry, Hepatic resection
Received: 26 Sep 2025; Accepted: 30 Oct 2025.
Copyright: © 2025 Li, Hong, He and Xu. This is an open-access article distributed under the terms of the Creative Commons Attribution License (CC BY). The use, distribution or reproduction in other forums is permitted, provided the original author(s) or licensor are credited and that the original publication in this journal is cited, in accordance with accepted academic practice. No use, distribution or reproduction is permitted which does not comply with these terms.
* Correspondence: Jianbo Xu, xu240189931@163.com
Disclaimer: All claims expressed in this article are solely those of the authors and do not necessarily represent those of their affiliated organizations, or those of the publisher, the editors and the reviewers. Any product that may be evaluated in this article or claim that may be made by its manufacturer is not guaranteed or endorsed by the publisher.
