CASE REPORT article
Front. Med.
Sec. Pulmonary Medicine
High Altitude, Young Lives: Unmasking Pulmonary Hypertension in Two Unique Cases
Provisionally accepted- 1The 940th Hospital of Joint Logistics Support Force of Chinese People's Liberation Army, Lanzhou, China
- 2The 944th Hospital of the People's Liberation Army Joint Logistics Support Force, Jiuquan, China
Select one of your emails
You have multiple emails registered with Frontiers:
Notify me on publication
Please enter your email address:
If you already have an account, please login
You don't have a Frontiers account ? You can register here
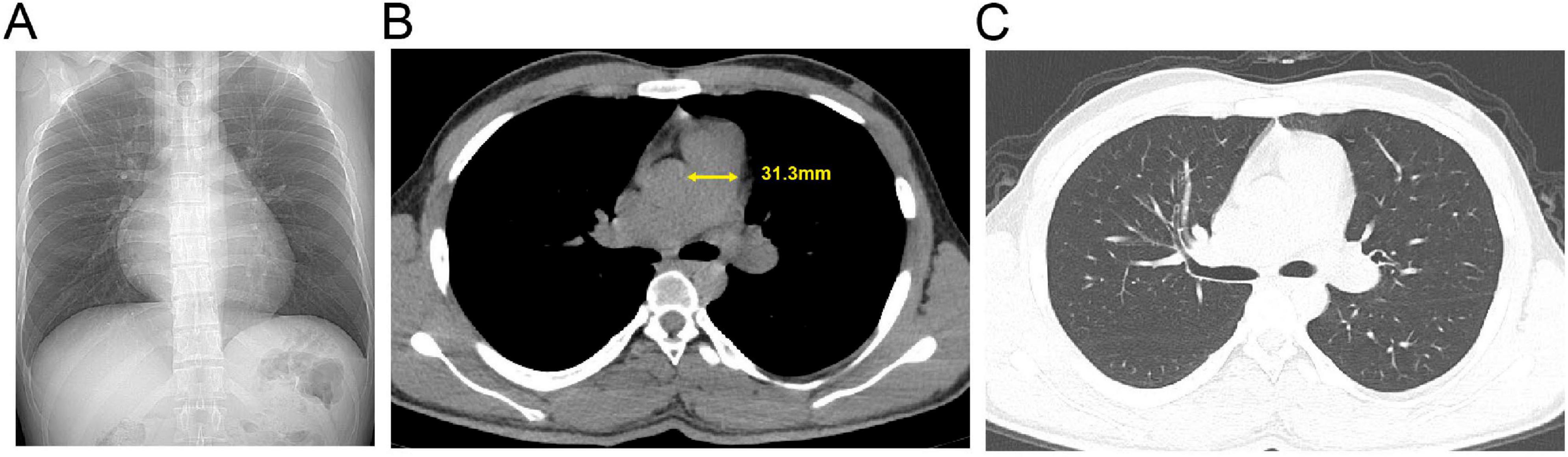
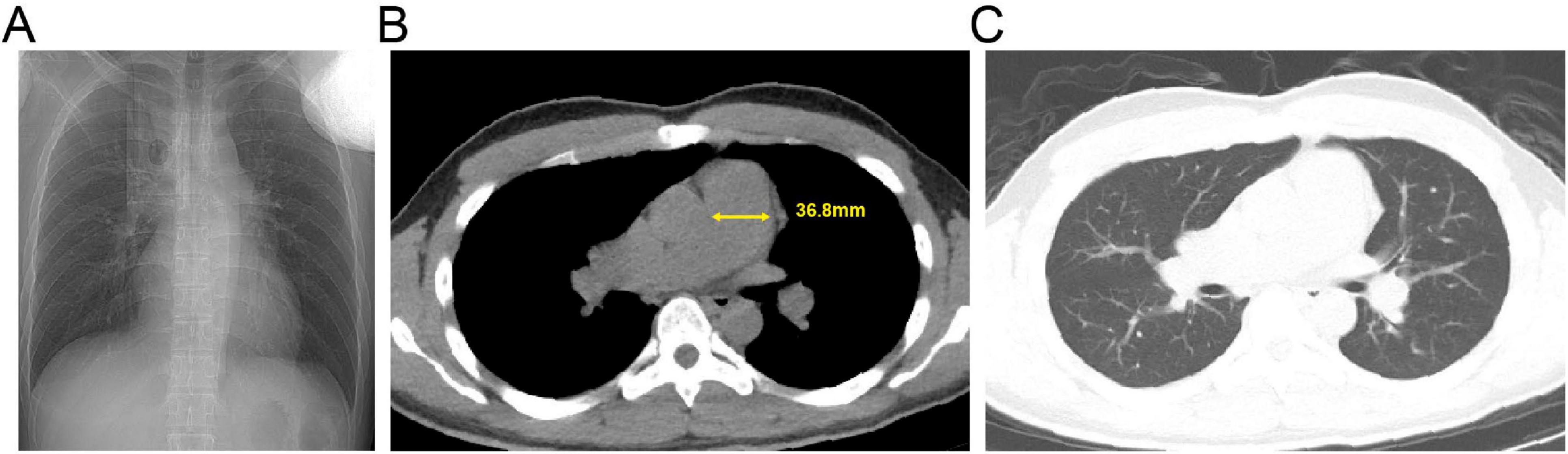
Background: The high-altitude environment characterized by hypobaric hypoxia can cause significant damage to the cardiovascular system, particularly vascular endothelial function, and is a significant trigger for acute and chronic mountain sickness. High-altitude pulmonary hypertension (HAPH) is a serious complication induced by prolonged exposure to high altitude, characterized by abnormally elevated pulmonary artery pressure and increased right heart load, which can progress to right heart failure and be life-threatening. This article aims to enhance clinicians' understanding of this disease through two cases of HAPH in young males. Case Description: Case 1 was a 21-year-old male who developed progressively worsening chest pain, shortness of breath, and amaurosis fugax after living at an altitude of 4800 meters for 4 months. Case 2 was a 20-year-old male who experienced exertional dyspnea accompanied by amaurosis fugax and a brief loss of consciousness after 18 months of residence at 4300 meters. Both patients were previously healthy with normal cardiopulmonary function before moving to high altitude. Physical examination upon presentation revealed significant hypoxemia (oxygen saturation 80% and 82% on room air, respectively). Echocardiography in both cases clearly demonstrated right atrial and right ventricular enlargement, moderate tricuspid regurgitation, with estimated systolic pulmonary artery pressures (sPAP) as high as 55 mmHg and 56 mmHg, respectively. Chest CT confirmed right heart enlargement and main pulmonary artery dilation. After systematic evaluation excluded other etiologies, HAPH was diagnosed. Discussion: The core pathophysiology of HAPH is hypoxia-induced pulmonary vasoconstriction and remodeling. These cases demonstrate that even for young, healthy individuals, prolonged exposure to extremely high altitudes can lead to severe pulmonary hypertension and right ventricular dysfunction. Diagnosis requires a combination of high-altitude exposure history, clinical symptoms, evidence of hypoxemia, and echocardiographic findings. The most fundamental treatment for diagnosed HAPH patients is removal from the high-altitude hypoxic environment, making early recognition and intervention crucial. Conclusion: The high-altitude environment poses a serious threat to the cardiovascular systems of susceptible individuals. For patients with a history of high-altitude residence who present with relevant symptoms, clinicians should maintain a high index of suspicion for HAPH and conduct timely screening and diagnosis to prevent adverse outcomes.
Keywords: high altitude pulmonary hypertension, high altitude heart disease, hypoxia, Right heart dysfunction, Pulmonary Edema
Received: 06 Oct 2025; Accepted: 13 Nov 2025.
Copyright: © 2025 Xue, Gao, Liu, Sun, Huang, Zuo, yang, Ma, Li and Hou. This is an open-access article distributed under the terms of the Creative Commons Attribution License (CC BY). The use, distribution or reproduction in other forums is permitted, provided the original author(s) or licensor are credited and that the original publication in this journal is cited, in accordance with accepted academic practice. No use, distribution or reproduction is permitted which does not comply with these terms.
* Correspondence:
Qingliang Xue, light0061@126.com
Yan Hou, houyou0807@hotmail.com
Disclaimer: All claims expressed in this article are solely those of the authors and do not necessarily represent those of their affiliated organizations, or those of the publisher, the editors and the reviewers. Any product that may be evaluated in this article or claim that may be made by its manufacturer is not guaranteed or endorsed by the publisher.
