REVIEW article
Front. Ophthalmol.
Sec. Oculoplastics, Orbit and Trauma
Orbital Masses: A Review of CT Imaging Characteristics
Provisionally accepted- 1Orbital Ophthalmic Plastic & Lacrimal Surgery Institute, Sheba Medical Center, Ramat Gan, Israel
- 2Diagnostic Imaging Department, Neuroradiology Unity, Sheba Medical Center, Ramat Gan, Israel
- 3Sheba Medical Center, Ramat Gan, Israel
Select one of your emails
You have multiple emails registered with Frontiers:
Notify me on publication
Please enter your email address:
If you already have an account, please login
You don't have a Frontiers account ? You can register here
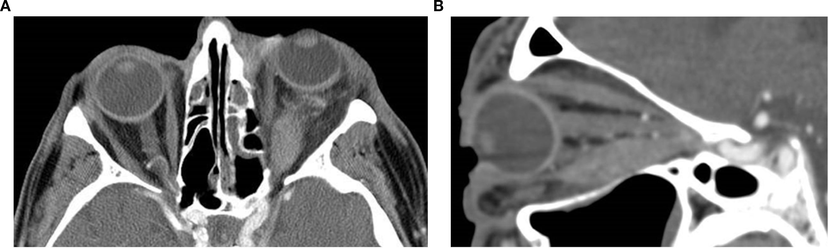
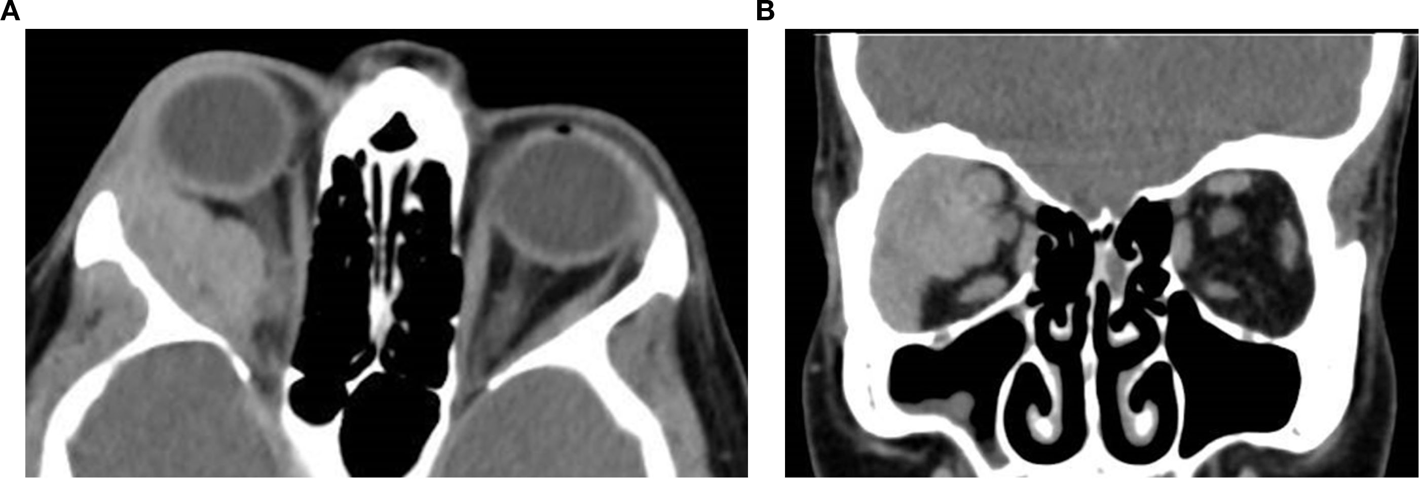
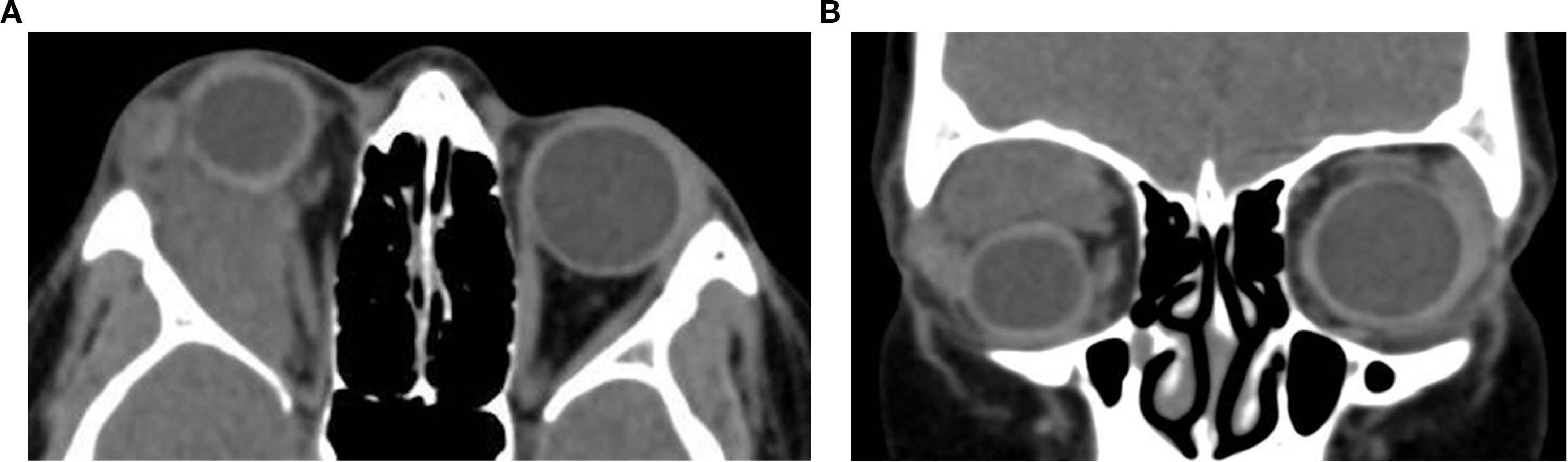
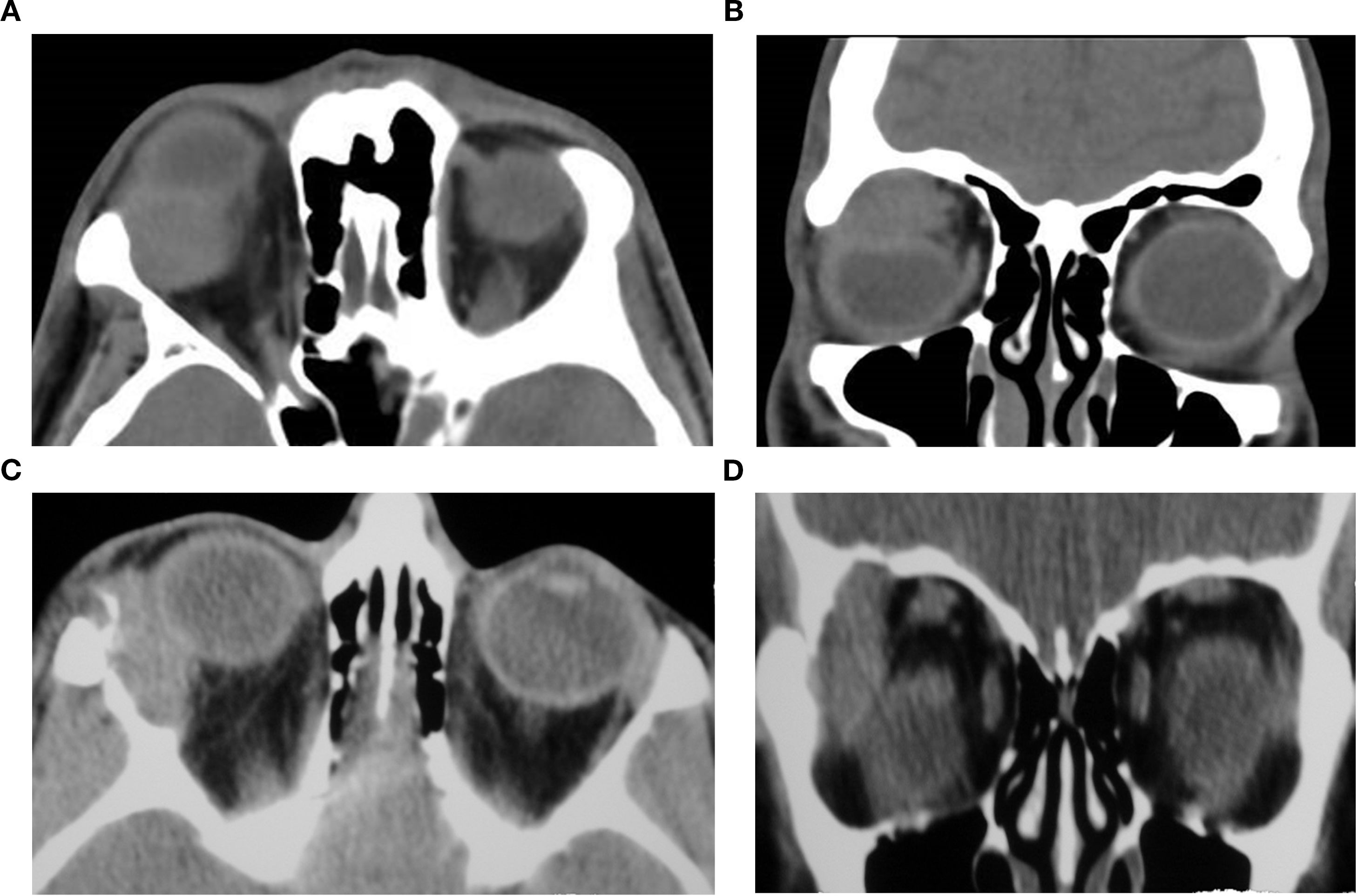
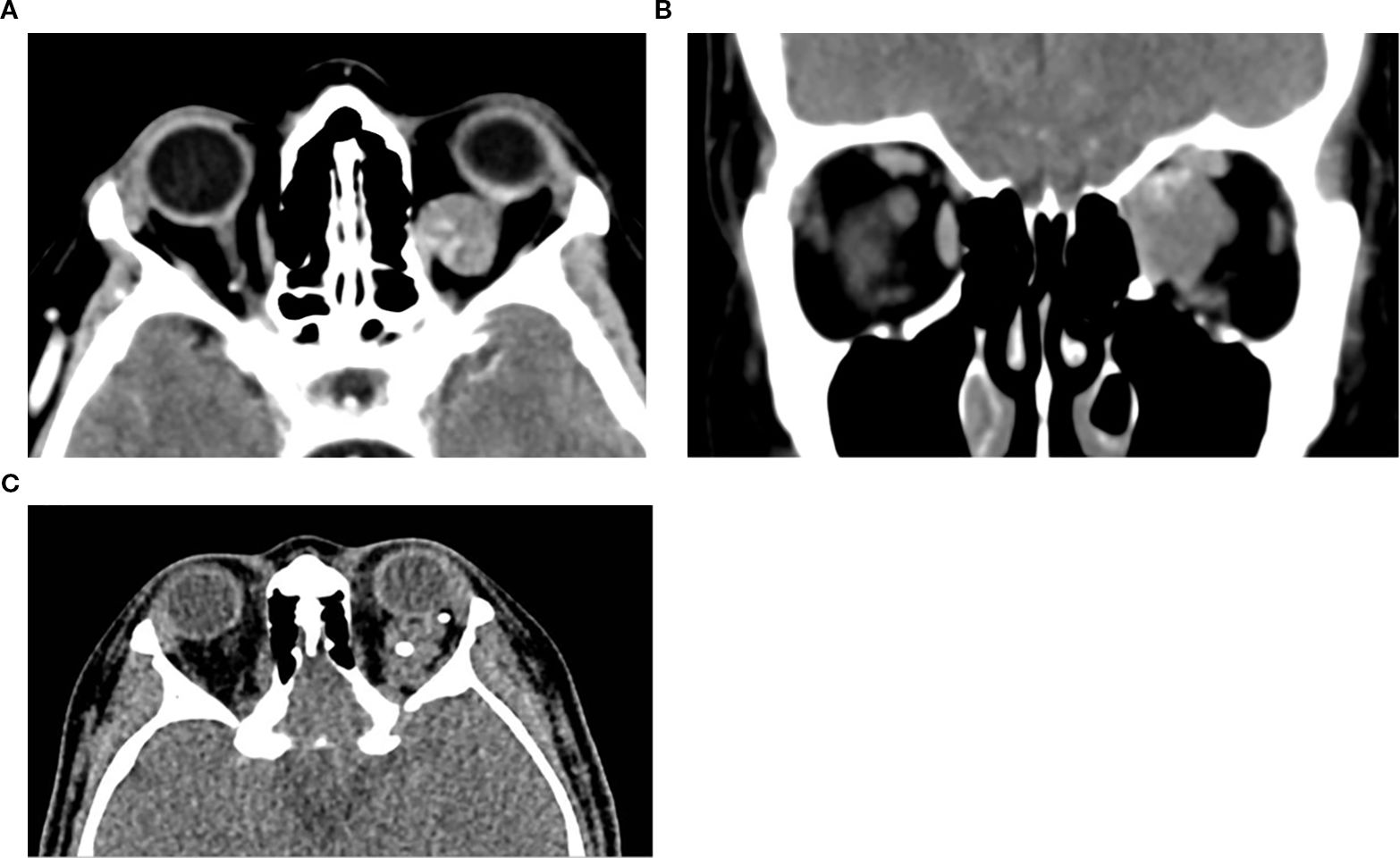
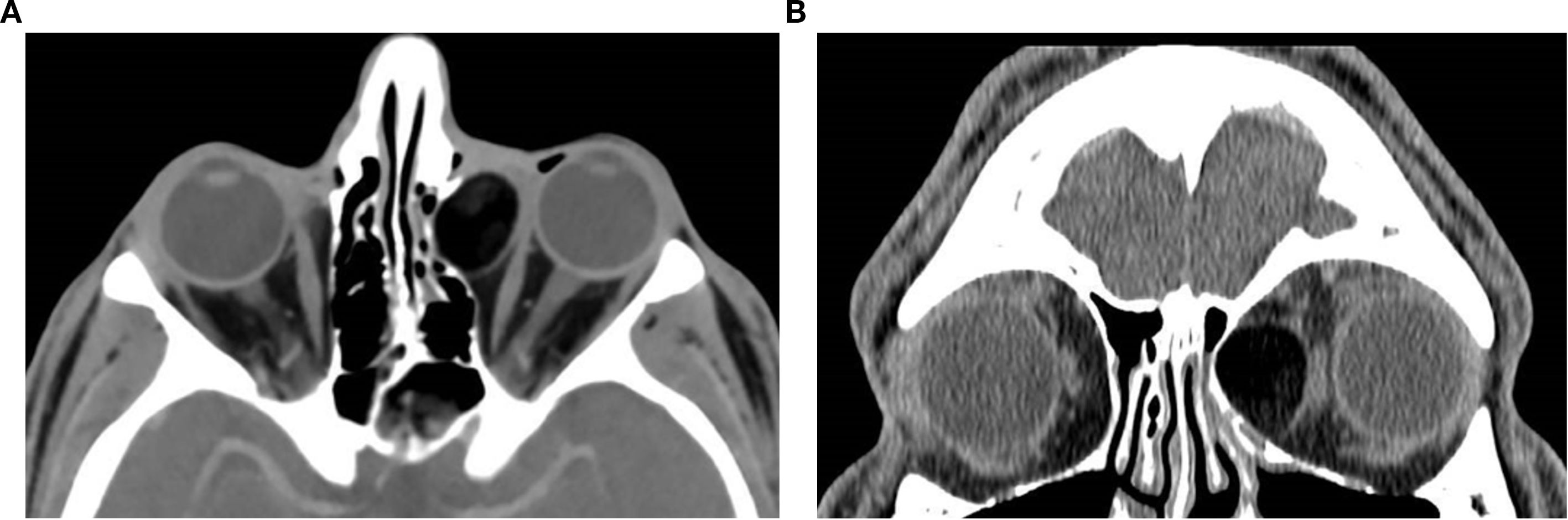
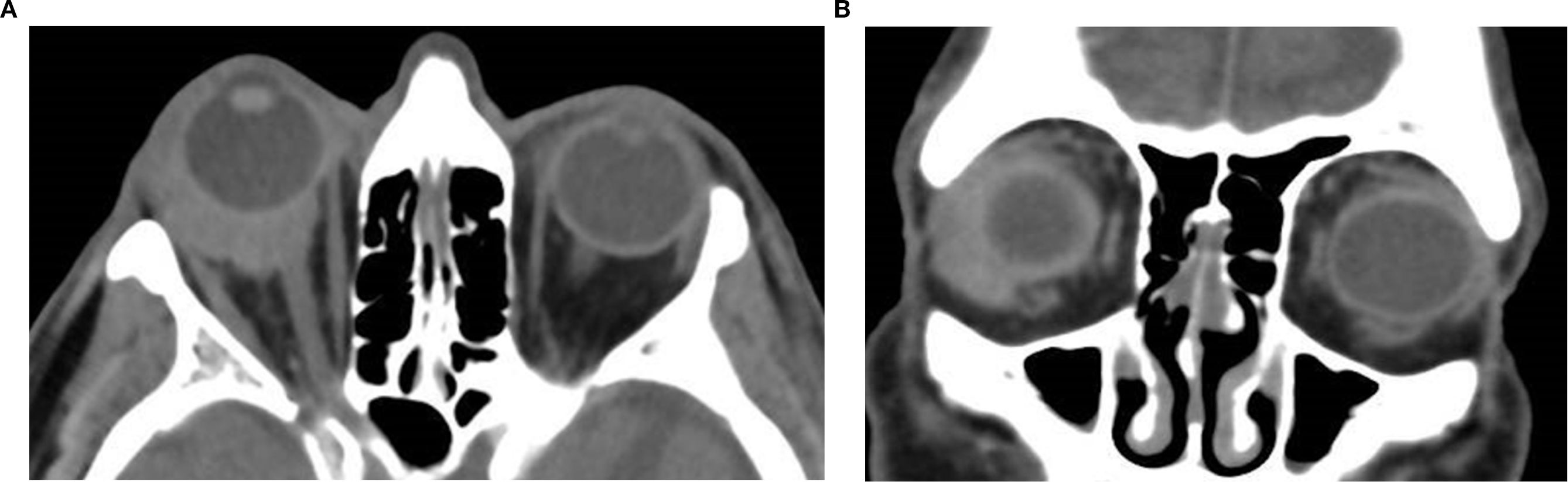
Orbital masses include a diverse spectrum of benign, malignant, inflammatory, and vascular lesions in pediatric and adult patients. Accurately diagnosing the type of lesion is critical, as management strategies differ significantly. Advanced imaging is therefore essential, and computed tomography (CT) is central to orbital evaluation. We reviewed the literature to synthesize evidence on CT features across common orbital pathologies and correlated imaging with clinical presentation to emphasize diagnostic relevance. CT characteristics are summarized for vascular lesions (cavernous venous malformation, lymphatic malformation), inflammatory conditions (orbital myositis, dacryoadenitis), benign lesions (dermoid cyst, pleomorphic adenoma), and malignant lesions (lacrimal gland lymphoma, adenoid cystic carcinoma, rhabdomyosarcoma). We present characteristic patterns of location, morphology, enhancement, and bone change, with practical discriminators and common pitfalls to aid differentiation. When used alongside clinical context, CT remains a preferred modality in many clinical settings due to its rapid acquisition, wide availability, and reliable depiction of bone and calcifications. It supports accurate diagnosis and informed management decisions in time-critical settings. This review provides a structured reference for interpreting CT findings across a wide range of orbital disease.
Keywords: Computed tomography, Orbital masses, vascular malformation, Lacrimal gland tumor, Dermoid Cyst, Pleomorfic adenoma, Myositis, Imaging feature
Received: 13 Aug 2025; Accepted: 24 Oct 2025.
Copyright: © 2025 Levanon, Greenberg, Lustig-Barzelay, Landau and Ben Simon. This is an open-access article distributed under the terms of the Creative Commons Attribution License (CC BY). The use, distribution or reproduction in other forums is permitted, provided the original author(s) or licensor are credited and that the original publication in this journal is cited, in accordance with accepted academic practice. No use, distribution or reproduction is permitted which does not comply with these terms.
* Correspondence:
Eran Levanon, eran.levanon@gmail.com
Guy Jonathan Ben Simon, guybensimon@gmail.com
Disclaimer: All claims expressed in this article are solely those of the authors and do not necessarily represent those of their affiliated organizations, or those of the publisher, the editors and the reviewers. Any product that may be evaluated in this article or claim that may be made by its manufacturer is not guaranteed or endorsed by the publisher.
