CASE REPORT article
Front. Allergy
Sec. Food Allergy
HEINER SYNDROME AND CORRELATION WITH FOOD ALLERGY - "case report"
Provisionally accepted- 1Department of Pediatrics, Universitatea de Medicina si Farmacie Grigore T Popa lasi, Iași, Romania
- 2Department of Obstetrics and Gynaecology, Universitatea de Medicina si Farmacie Grigore T Popa lasi, Iași, Romania
- 3Universitatea de Medicina si Farmacie Grigore T Popa Iasi, Departamentul de Chirurgie Pediatrica, IASI, Romania
- 4Department of Genetics, Universitatea de Medicina si Farmacie Grigore T Popa lasi, Iași, Romania
- 5Department of Pneumology, Universitatea de Medicina si Farmacie Grigore T Popa lasi, Iași, Romania
- 6Spitalul Clinic de Urgenta pentru Copii Sfanta Maria Iasi, Iași, Romania
Select one of your emails
You have multiple emails registered with Frontiers:
Notify me on publication
Please enter your email address:
If you already have an account, please login
You don't have a Frontiers account ? You can register here
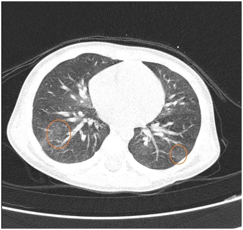
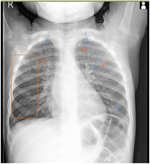
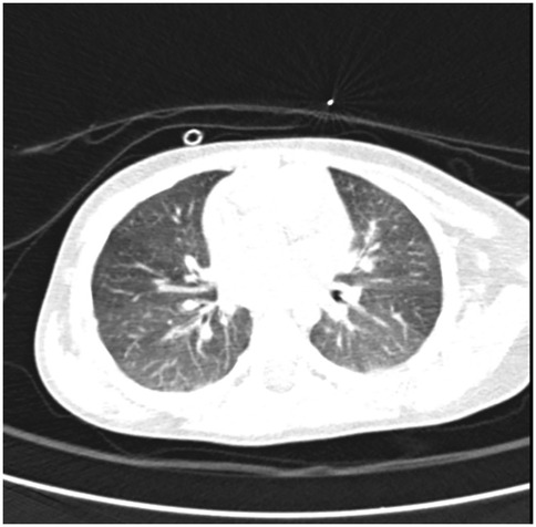
Heiner syndrome, although rare in pediatric practice, can cause cough, wheezing and only in rare cases hemoptysis. Heiner syndrome should be considered in any child presenting these respiratory symptoms and radiological evidence of alveolar infiltrates, especially when accompanied by signs of food allergy-most notably cow's milk protein allergy, although other foods seem to be involved. The use of probiotics should be evaluated with caution in these children. We report a case of a 1-year-and-6-month-old female patient who presented at the Pneumology Clinic with a one-day history of blood-tinged sputum. Although the patient had a known history of cow's milk protein allergy and well-controlled asthma, the occurrence of hemoptysis, even though in small quantities, raised concerns to the family. A second episode of hemoptysis appears when she received egg and probiotic. After correlating the patient's medical history with clinical, laboratory, and imaging findings, a diagnosis of Heiner syndrome was established. The patient received emergency treatment followed by bronchodilators, corticosteroid therapy, and restricted diet for cow's milk protein and egg. The patient's condition improved immediately after treatment and remained stable at the 5-month follow-up. The differential diagnosis with idiopathic pulmonary hemosiderosis must not be overlooked, due to its more severe clinical course and higher risk of complications.
Keywords: Heiner syndrome, Cow's milk protein allergy, Hemoptysis, food allergy, case report
Received: 07 Sep 2025; Accepted: 03 Nov 2025.
Copyright: © 2025 POPOVICI, Popovici, Iuga, Tarca, ANTON PADURARU, Stana, Butnariu, Crisan Dabija, Lunca and Murgu. This is an open-access article distributed under the terms of the Creative Commons Attribution License (CC BY). The use, distribution or reproduction in other forums is permitted, provided the original author(s) or licensor are credited and that the original publication in this journal is cited, in accordance with accepted academic practice. No use, distribution or reproduction is permitted which does not comply with these terms.
* Correspondence: Razvan Popovici, razvan.popovici@umfiasi.ro
Disclaimer: All claims expressed in this article are solely those of the authors and do not necessarily represent those of their affiliated organizations, or those of the publisher, the editors and the reviewers. Any product that may be evaluated in this article or claim that may be made by its manufacturer is not guaranteed or endorsed by the publisher.
