ORIGINAL RESEARCH article
Front. Mar. Sci.
Sec. Aquatic Physiology
Potential symbiotic effects of date palm seed extract on growth, immunity, antioxidant activities, gut microbiota, expression levels, and Vibrio parahaemolyticus resistance in Shrimp
Provisionally accepted- 1King Faisal University, Al Ahsa, Saudi Arabia
- 2United Arab Emirates University College of Agriculture and Veterinary Medicine, Al Ain, United Arab Emirates
- 3Benha University, Banha, Egypt
- 4Princess Nourah bint Abdulrahman University, Riyadh, Saudi Arabia
- 5Universiti Malaysia Kelantan - Kampus Jeli, Jeli, Malaysia
- 6Suez Canal University, Ismailia, Egypt
- 7Arish University, Elarish, Egypt
Select one of your emails
You have multiple emails registered with Frontiers:
Notify me on publication
Please enter your email address:
If you already have an account, please login
You don't have a Frontiers account ? You can register here
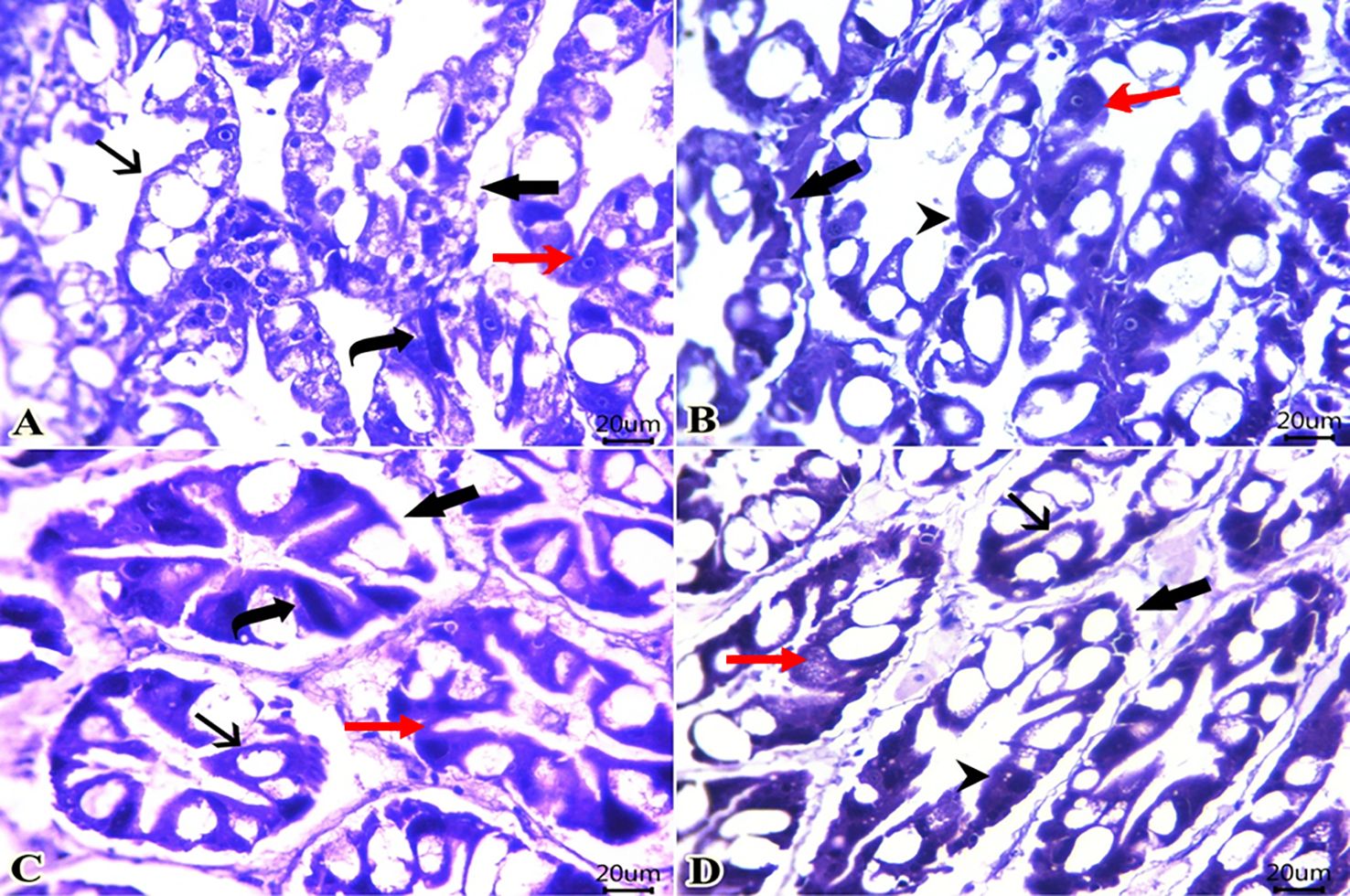
Date Palm Seed Extract (DPSE) is known to possess beneficial health-promoting and growth-boosting properties, but its specific influence on whiteleg shrimp (Litopenaeus vannamei) health and physiology has yet to be fully explored. Hence, this study examined how dietary DPSE inclusion impacted growth performance, antioxidant status, immune response, hepatic tissue health, inflammation-related gene expression, and resistance to Vibrio parahaemolyticus in shrimp. The study involved four experimental groups of shrimps that were fed diets with varying DPSE inclusions: 0 (DPSE0), 1 (DPSE1), 2 (DPSE2), and 4 (DPSE4) g/kg diet over a 70-day period. The results indicated that dietary DPSE supplementation led to significantly higher (P<0.05) concentrations of whole-body composition (crude protein, gross energy, and crude lipid) in the treated groups. Conversely, the ash content was significantly reduced (P<0.05) in all DPSE-treated shrimp groups compared to the shrimp fed the control diet. Shrimp-fed DPSE-supplemented diets showed a significantly higher total hemocyte count (THC) compared to the control group (P<0.05). The levels of immunological parameters (phagocytosis, phenoloxidase, and lysozyme) and antioxidant status (superoxide dismutase and catalase) were significantly improved with increasing dietary DPSE levels, indicating a dose-dependent effect (P<0.01). The supplementation of DPSE at 1, 2, and 4 g in shrimp diets significantly improved the mRNA expression of immune-related genes (LGBP, PX, PPA) and antioxidant genes (cytMnSOD, mtMnSOD) compared to the control group (P<0.001). Both total aerobic bacteria and total enteric bacteria were significantly reduced in all DPSE-supplemented groups (P<0.05) compared to the control diet. Dietary inclusion of DPSE improved hepatopancreas tissues and significantly increased resistance to Vibrio parahaemolyticus in shrimp. The results indicate that the dietary inclusion of DPSE can enhance the growth, disease resistance, and overall health of shrimp by regulating immune function, antioxidant status, and immune associated genes regulation. This highlights its potential for sustainable and environmentally beneficial applications in aquaculture.
Keywords: phytochemical, Growth, antioxidant, Date palm seed extract, shrimp
Received: 31 Aug 2025; Accepted: 27 Oct 2025.
Copyright: © 2025 Mathew, Alqahtani, Ghazzawy, El-Haroun, Alkhamis, Mansour, Nagarajan, El Asely, Almutairi, Abdul Kari, Eissa and Eissa. This is an open-access article distributed under the terms of the Creative Commons Attribution License (CC BY). The use, distribution or reproduction in other forums is permitted, provided the original author(s) or licensor are credited and that the original publication in this journal is cited, in accordance with accepted academic practice. No use, distribution or reproduction is permitted which does not comply with these terms.
* Correspondence:
Roshmon Thomas Mathew, rmathew@kfu.edu.sa
Ehab El-Haroun, ehab.reda@uaeu.ac.ae
El-Sayed Hemdan Eissa, sayedhemd@gmail.com
Disclaimer: All claims expressed in this article are solely those of the authors and do not necessarily represent those of their affiliated organizations, or those of the publisher, the editors and the reviewers. Any product that may be evaluated in this article or claim that may be made by its manufacturer is not guaranteed or endorsed by the publisher.
