Your new experience awaits. Try the new design now and help us make it even better

CASE REPORT article

Front. Med., 16 December 2022

Sec. Pulmonary Medicine

Volume 9 - 2022 | https://doi.org/10.3389/fmed.2022.1075745

This article is part of the Research TopicCase Reports in Pulmonary MedicineView all 17 articles

Case report: Biliobronchial fistula after biliary tract stenosis


Luís Maurício Batalin Júnior,
Luís Maurício Batalin Júnior1,2*Mariana Conceio e Silva Seleme Zandon,Mariana Conceição e Silva Seleme Zandoná1,2Thomaz Almeida Vargas,Thomaz Almeida Vargas1,2Julio Cesar de Oliveira,Julio Cesar de Oliveira1,2Juliana Rocha Souza Chiappetto,Juliana Rocha Souza Chiappetto1,2Cassio Vieira Oliveira,Cassio Vieira Oliveira1,2Fernando Gomes Romeiro,Fernando Gomes Romeiro1,2Suzana Erico Tanni,
Suzana Erico Tanni1,2*
  • 1Pulmonary Division of Internal Medicine, Botucatu School of Medicine—UNESP, São Paulo, Brazil
  • 2Gastroenterology Division of Internal Medicine, Botucatu School of Medicine—UNESP, São Paulo, Brazil

Biliobronchial fistula (BBF) is a rare abnormality resulting from congenital or acquired communication between the bile ducts and the bronchial tree. Patients often suffer from chronic cough, dyspnea, and bilioptysis, a pathognomonic symptom of this condition. Conservative methods such as less-invasive procedures are gradually consolidating. Nonetheless, surgery remains the primary treatment, especially in more complex cases. We present the case of a 44-year-old woman with a chronic cough, no verified periods of fever, cyclic jaundice, and episodes of yellowish sputum. She had undergone cholecystectomy in 2018 and had been hospitalized several times since for pneumonia treatment. All consequent investigations for mycobacteriosis were negative. When referred to our hospital, she had cyclic jaundice and parenchymal consolidation in the right lower lobe. Suspected bilioptysis motivated the search for a biliobronchial fistula. Magnetic resonance cholangiography (MRC) confirmed stenosis of the biliary tract and fistulous path, and sputum analysis indicated high bilirubin levels. External biliary bypass was performed as an initial conservative and definitive therapy due to the presence of liver cirrhosis. Although BBF is a rare condition when bilioptysis is suspected, a diagnostic investigation should be initiated. Our case study proposes two criteria for diagnosis: an imaging exam demonstrating the fistulous path and confirmation of bilirubin in the sputum or bronchoalveolar lavage (BAL). When diagnosed, surgical correction should be performed.

Introduction

Peacock first described biliobronchial fistula (BBF) in 1850 as a rare abnormality resulting from the pathological communication between the bile ducts and the bronchial tree (1). Its underlying cause can be congenital or acquired, related to trauma, liver infection, neoplasia, or biliary obstruction (27).

Patients with BBF usually present bile expectoration as a cardinal symptom. Other clinical signs include cough, dyspnea, and abdominal or thoracic pain. The diagnosis is based on clinical symptoms and confirmation of bile in the sputum or bronchoalveolar lavage. Less-invasive procedures can be attempted, but conservative surgery is still the primary treatment, especially for more complex cases. However, there is no established guideline for the optimal management of this rare condition, and treatment must be individualized.

Case report

We report the clinical scenario of a 44-year-old woman who presented to our hospital with a 4-year history of cough, no verified periods of fever, cyclic jaundice, and expectoration of yellowish sputum. The patient had undergone cholecystectomy in 2018 and was hospitalized several times for the treatment of bacterial pneumonia as she started complaining of cyclic jaundice and frequent cough with dyspnea after surgery.

Her chronic cough during those hospitalizations led to several sputum culture analyses, including mycobacteriosis, which was negative. Concomitantly, cirrhosis diagnosis was performed due to bile duct stenosis using magnetic resonance cholangiography (MRC) and she was classified with a MELD (model for end-stage liver disease) score of 17 and a Child–Pugh score of 7.

In a previous hospital admission, the general examination identified a regular general condition with severe jaundice. Systemic examination showed thoracic auscultation with a decreased vesicular murmur, mainly at the lower right hemithorax, associated with crackling noises. The liver was palpable at 2 cm below the right costal margin with a blunt edge and a previous cholecystectomy scar.

During the current hospital admission, the patient presented with a cough with yellowish expectorant (Figure 1), dyspnea, and fever and was started on antibiotics for pneumonia. Initial laboratory tests showed compromised liver function (total bilirubin = 8.6 mg/dL, conjugate bilirubin = 7.2 mg/dL) with signs of acute liver injury (AST = 218 U/L, ALT = 131 U/L, GGT = 533 U/L, AP = 1,301 U/L). Blood count presented with hemoglobin = 14.2 g/dL, hematocrit = 42.8%, white blood cells = 10.9 × 103/mm3, and platelets 343 × 103/mm3, without abnormalities in the coagulogram.

FIGURE 1
www.frontiersin.org

Figure 1. Sample of yellowish expectoration.

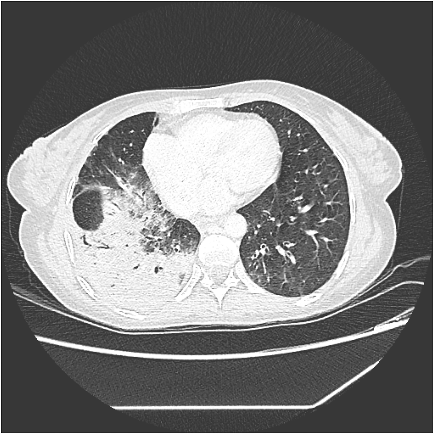
Chest and abdominal computed tomography (CT) showed a right lower lobe alveolar consolidation with air bronchograms, surrounded by opacities with ground-glass attenuation compatible with an inflammatory or infectious process (Figure 2). Moreover, the liver showed an enlarged right lobe, with chronic disease characteristics and marked dilation of the intrahepatic bile ducts, without an obstructive factor or dilatation of the hepatocholedochal duct. A biochemical analysis of the sputum showed increased conjugated bilirubin (14.4 mg/dL).

FIGURE 2
www.frontiersin.org

Figure 2. Slice of CT scan showing parenchymal consolidation of the right lower lobe.

Magnetic resonance cholangiography confirmed that bile duct stenosis and the interconnection of the bile duct between the posterior region of the liver and the right lower bronchi originated after the sequelae of cholecystectomy (Figure 3).

FIGURE 3
www.frontiersin.org

Figure 3. Cholangiography—MRI showing the fistulous path.

The surgical team performed an external biliary bypass, and the patient presented clinical improvement and was discharged 3 days after the procedure. At this time, laboratory tests showed decreased levels of total bilirubin = 3.1 mg/dL, conjugated bilirubin = 2.7 mg/dL, AST = 40 U/L, ALT = 46 U/L, GGT = 503 U/L and AP = 593 U/L.

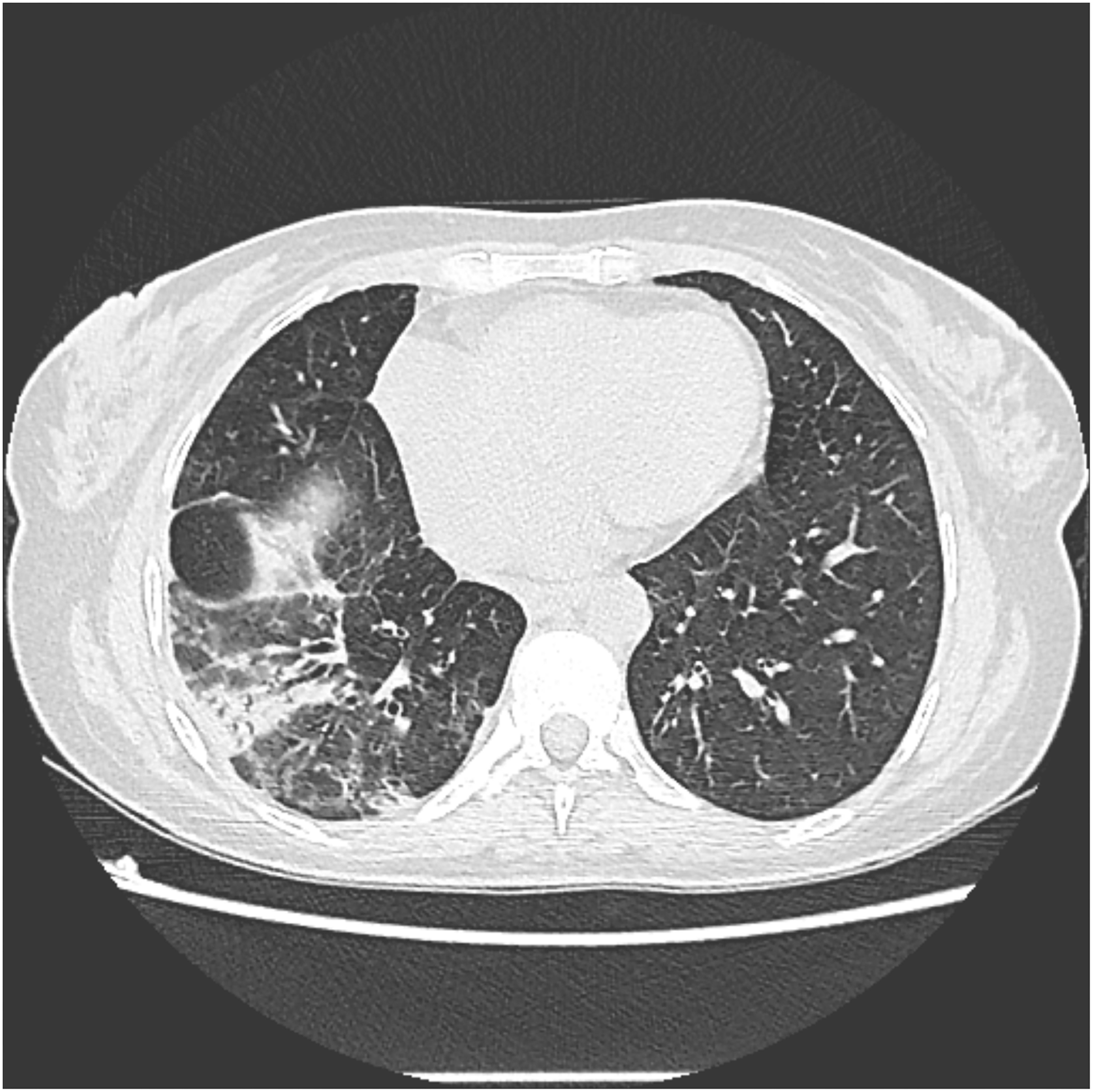
She was re-evaluated 1 month later by the surgical team who decided to continue with the external biliary bypass regarding the liver cirrhosis. We performed a new chest CT scan 4 months after surgery, which demonstrated partial resolution of the inflammatory process. However, it presented a sequelae bronchiectasis with parenchymal fibrosis (Figure 4). At this time, the patient did not present respiratory symptoms or expectoration.

FIGURE 4
www.frontiersin.org

Figure 4. Slice of CT scan showing parenchymal fibrosis and bronchiectasis in the right lower lobe.

Discussion

The physiopathology of BBF is related to injury of the adjacent lung or pleural space by erosion of the diaphragm. Consequently, the expansion of a subphrenic infected biloma with a concomitant liver and a direct diaphragmatic injury are described in cases of tumors, or in postoperative or post-ablation cases (biliary stenosis/lithiasis). In postoperative iatrogenic stenosis, such as reported in this case, the bile duct obstruction may lead to cholangitis, intrahepatic abscess, and rupture of abscess into the pleural space or bronchi when the complication is associated with adhesions. This fact explains the preferential location of bronchobiliary fistulas on the right side of the chest. However, some exceptional cases of bronchobiliary fistulas located on the left side have also been described in literature due to invasive liver disease, tumor metastases, or infectious diseases with direct involvement of the diaphragm and pleural space (810).

A systematic review of 68 cases published between January 1980 and August 2010 showed that the main clinical manifestation was bilioptysis, which was present in all 68 reports. The volume of biliary sputum ranged from 200 to 600 ml and reached a maximum of 1.2 L daily. More than half the patients presented with fever; other clinical features were jaundice and respiratory symptoms, such as irritating cough and dyspnea (2). Chest and right upper quadrant abdominal pain can occur (11). Some patients with a chronic course may develop potentially debilitating and life-threatening conditions such as bronchiectasis, hepatic lung disease, portal hypertension, and anemia (7, 11). Our patient developed a chronic cough, dyspnea, and bilioptysis, associated with unexpected cyclic jaundice.

One diagnostic criterion proposed is imaging methods proving BBF or bile accumulations in the pleura (3, 7, 12). The most sensitive diagnostic methods are endoscopic retrograde cholangiopancreatography, percutaneous transhepatic-cholangiography, and a fistulogram of the biliocutaneus fistula (13). Correspondingly, a CT scan can be helpful for detecting air in the biliary tree, underlying hepatic abscess or hepatic biloma, pleural effusion, or pulmonary consolidation, but it might fail to demonstrate a fistula tract (11, 13). Contrast-enhanced cholangiography-MRI can identify fistulous tracts.

The other criterion is the documentation of bilirubin in sputum or BAL. However, false biliary ptyalism has been described in patients with sickle cell disease and hemolytic crisis and should be considered a confounding factor. In patients without such conditions, the presence of bile in the sputum is defined as pathognomonic BBF (14). There is no standardized method of analyzing sputum for bilirubin since it is not a routine lab test. During a bronchoscopy exam, bile in the lavage fluid may not be located. Even so, biliary pneumonia and BBF diagnosis can be made when brown bilious crystals surrounded by neutrophils are found in the transbronchial biopsy (13, 15). Bilirubin crystallization in bronchoalveolar lavage fluid can also be proof of bilirubin in the airway (16, 17). Similarly, finding bilirubin in the pleural fluid can also be used to diagnose biliopleural fistula (3, 13).

Both criteria were fulfilled in our case: bilirubin was identified in the sputum by indirect methods, and a fistulous path between the biliary tract and the bronchial tree was detected in imaging.

The BBF treatment is controversial in the literature. The use of somatostatin and its analogs has been proposed to reduce gastrointestinal secretion, but this has not been effective as a monotherapy (13). Surgical intervention is the most common treatment.

Surgical treatment is a conservative method for chronic fistulas associated with respiratory failure or sepsis, or when BBF is secondary to tumors, biliary obstruction, and trauma. Literature shows that most patients (41.7%) are treated by surgical procedures, including pulmonary lobectomy, resection, and correction of the fistula tract in the diaphragm; hepatolobectomy; hepatic enterostomy; and abscess drainage alone or in combination (3, 13).

The first stage is to perform external biliary drainage by percutaneous or surgical drainage of subphrenic abscess and/or direct percutaneous drainage of the intrahepatic biliary tract. The second stage is to perform treatment of the underlying cause. In patients with biliary obstruction, the priority is to treat the biliary disease (8).

Less-invasive procedures tended to be employed in treating BBF, and these include endoscopic retrograde biliary drainage, endoscopic nasobiliary drainage, and endoscopic stone extraction. External biliary drainage by percutaneous ultrasound or CT scan can drain the subdiaphragmatic or intrahepatic abscess. Bronchoscopy can lead to fistula embolization. However, control of the inflammatory process can contribute to the success or failure of these methods (7, 13). External biliary drainage was performed in our case as a bridge for later definitive surgical intervention. After the procedure, cough and fever symptoms were immediately relieved, demonstrating satisfactory lung parenchyma recovery at that moment.

A transthoracic approach should be considered for rare situations in which patients maintain irreversible pulmonary and bronchial impairment or for those with traumatic bronchobiliary fistula without biliary obstruction. In this situation, pleural decortication and diaphragmatic disruption repair are recommended (8, 13).

In conclusion, although BBF is a rare condition when bilioptysis is suspected, a diagnostic investigation should be initiated. Our case study proposes two criteria for diagnosis: an imaging exam demonstrating the fistula path and a proof of bilirubin in sputum or BAL. Once diagnosed and the mechanism clarified, surgical correction is indicated. Less invasive methods are preferred over conservative methods, which are reserved for more complex cases or when treatment fails. However, individualized treatment should be emphasized for a successful outcome.

Data availability statement

The original contributions presented in the study are included in the article/supplementary material, further inquiries can be directed to the corresponding author/s.

Ethics statement

The studies involving human participants were reviewed and approved by Hospital das Clínicas of Botucatu Medical School. The patients/participants provided their written informed consent to participate in this study. Written informed consent was obtained from the individual(s) for the publication of any potentially identifiable images or data included in this article.

Author contributions

All authors listed have made a substantial, direct, and intellectual contribution to the work and approved it for publication.

Conflict of interest

The authors declare that the research was conducted in the absence of any commercial or financial relationships that could be construed as a potential conflict of interest.

Publisher's note

All claims expressed in this article are solely those of the authors and do not necessarily represent those of their affiliated organizations, or those of the publisher, the editors and the reviewers. Any product that may be evaluated in this article, or claim that may be made by its manufacturer, is not guaranteed or endorsed by the publisher.

Abbreviations

BBF, Bronchobiliary fistula; MRC, magnetic resonance cholangiography; CT, Computed tomography; BAL, bronchoalveolar lavage; GGT, Gamma-glutamyl Transferase; AP, alkaline phosphatase; AST, aspartate aminotransferase; ALT, alanine aminotransferase.

References

1. Peacock TB. Case in which hydatids were expectorated and one of suppuration of hydatid cyst of the liver communicating with the lungs. sl: Edinburgh Med J. (1850) 74:33–46.

PubMed Abstract | Google Scholar

2. Liao GQ, Wang H, Zhu GY, Zhu KB, Lv FX, Tai S. Management of acquired bronchobiliary fistula: A systematic literature review of 68 cases published in 30 years. World J Gastroenterol. (2011) 17:3842–9. doi: 10.3748/wjg.v17.i33.3842

PubMed Abstract | CrossRef Full Text | Google Scholar

3. Lee MT, His SC, Hu P, et al. Biliopleural fistula: a rare complication of percutaneous transhepatic gallbladder drainage. World J Gastroenterol. (2007) 13:3268–70. doi: 10.3748/wjg.v13.i23.3268

PubMed Abstract | CrossRef Full Text | Google Scholar

4. Ghritlaharey RK. Posttraumatic bilothorax in a child: a case report. J Clin Diagnost Res. (2008) 2:760–3.

5. Lewis JR, Te HS, Gehlbach B, et al. A case of biliopleural fistula in a patient with hepatocellular carcinoma. Nat Rev Gastroenterol Hepatol. (2009) 6:248–51. doi: 10.1038/nrgastro.2009.34

PubMed Abstract | CrossRef Full Text | Google Scholar

6. Shimizu A, Otani Y, Ishitate M, Shimotakahara A, Miyakawa T. Congenital bronchobiliary fistula with bright yellow serous sputum. J Pediatr. (2022) 243:235–6. doi: 10.1016/j.jpeds.2021.12.002

PubMed Abstract | CrossRef Full Text | Google Scholar

7. Huang ZM, Zuo MX, Gu YK, Lai CX, Pan QX Yi XC, Zhang TQ, et al. Bronchobiliary fistula after ablation of hepatocellular carcinoma adjacent to the diaphragm: case report and literature review. Thorac Cancer. (2020) 11:1233–8. doi: 10.1111/1759-7714.13380

PubMed Abstract | CrossRef Full Text | Google Scholar

8. Gugenheim J, Ciardullo M, Traynor O, Bismuth H. Bronchobiliary fistulas in adults. Ann Surg. (1988) 207:90–4. doi: 10.1097/00000658-198801000-00017

PubMed Abstract | CrossRef Full Text | Google Scholar

9. Vu LT et al. Congenital bronchobiliary fistula: a case report and literature review. Respirol Case Rep. (2021) 9:e00731. doi: 10.1002/rcr2.731

PubMed Abstract | CrossRef Full Text | Google Scholar

10. Banerjee N, Rattan A, Priyadarshini P, Kumar S. Post-traumatic bronchobiliary fistula. BMJ Case Rep. (2019) 12:e228294. doi: 10.1136/bcr-2018-228294

PubMed Abstract | CrossRef Full Text | Google Scholar

11. Mandal A, Sen S, Baig SJ. Bronchobiliary fistula. J Minim Access Surg. (2008) 4:111–3. doi: 10.4103/0972-9941.45208

PubMed Abstract | CrossRef Full Text | Google Scholar

12. Queirós T, Castro B, Ferreira A, Amado A, Louro H, Lucas MC, Santos J, Cardoso JM, Oliveira M. Bronchobiliary fistula after stenting of biliary duct as the management of iatrogenic bile duct injury during elective cholecystectomy. Acta Chir Belg. (2022) 11:1–6. doi: 10.1080/00015458.2022.2049071

PubMed Abstract | CrossRef Full Text | Google Scholar

13. Acquasanta M, Spadarella G, Civelli EM. Spontaneous bronchobiliary fistula: Case report. J Radiol Case Rep. (2020) 14:10–5. doi: 10.3941/jrcr.v14i10.3743

PubMed Abstract | CrossRef Full Text | Google Scholar

14. Sutherland RD, Reynolds J, Sugg WL. Bile ptyalism associated with chest trauma and sickle cell crisis simulating bronchobiliary fistula. Ann Thorac Surg. (1972) 13:537–42. doi: 10.1016/S0003-4975(10)65170-3

PubMed Abstract | CrossRef Full Text | Google Scholar

15. Matsumoto T, Otsuka K, Kaihara S, Tomii K. Biliary Pneumonia due to the Presence of a Bronchobiliary Fistula. Intern Med. (2017) 56:1451–2. doi: 10.2169/internalmedicine.56.8066

PubMed Abstract | CrossRef Full Text | Google Scholar

16. Zhang N, Chen Y, Tang L, Zhou D, Hou T. Diagnosis of bronchobiliary fistula by bilirubin crystallization in the alveolar lavage fluid: case reports and literature review. Ann Palliat Med. (2021) 10:7121–5. doi: 10.21037/apm-21-1040

PubMed Abstract | CrossRef Full Text | Google Scholar

17. Cheng AC, Chen HW, Chen PJ, Huang TY, Lin JC. Bronchobiliary Fistula. Intern Emerg Med. (2021) 16:1093–4. doi: 10.1007/s11739-020-02572-0

PubMed Abstract | CrossRef Full Text | Google Scholar

Keywords: biliobronchial fistula, biliary tract stenosis, bilioptysis, cyclic jaundice, pneumonia

Citation: Batalin Júnior LM, Zandoná MCeSS, Vargas TA, Oliveira JCd, Chiappetto JRS, Oliveira CV, Romeiro FG and Tanni SE (2022) Case report: Biliobronchial fistula after biliary tract stenosis. Front. Med. 9:1075745. doi: 10.3389/fmed.2022.1075745

Received: 20 October 2022; Accepted: 23 November 2022;
Published: 16 December 2022.

Edited by:

Yousef Shahin, The University of Sheffield, United Kingdom

Reviewed by:

Sanjay Chandnani, Topiwala National Medical College and BYL Nair Charitable Hospital, India
Patrick Zardo, Hannover Medical School, Germany

Copyright © 2022 Batalin Júnior, Zandoná, Vargas, Oliveira, Chiappetto, Oliveira, Romeiro and Tanni. This is an open-access article distributed under the terms of the Creative Commons Attribution License (CC BY). The use, distribution or reproduction in other forums is permitted, provided the original author(s) and the copyright owner(s) are credited and that the original publication in this journal is cited, in accordance with accepted academic practice. No use, distribution or reproduction is permitted which does not comply with these terms.

*Correspondence: Luís Maurício Batalin Júnior, bHVpc2JhdGFsaW5AZ21haWwuY29t; Suzana Erico Tanni, c3V6YW5hcG5ldW1vQGdtYWlsLmNvbQ==

Disclaimer: All claims expressed in this article are solely those of the authors and do not necessarily represent those of their affiliated organizations, or those of the publisher, the editors and the reviewers. Any product that may be evaluated in this article or claim that may be made by its manufacturer is not guaranteed or endorsed by the publisher.