Abstract
Background:
Lung cancer is one of the leading malignant cancers in the world with high incidence and mortality and lung adenocarcinoma (LUAD) is its major histologic subtype. Molecular biomarkers that hold prognostic value and therapeutic implication are required to evaluate disease development and enhance the survival outcomes of cancer patients.
Materials and methods:
The current study performed bioinformatics analysis via various online datasets and immunohistochemistry to examine the expression status of the zinc-fingers and homeoboxes (ZHX) family members as well as their prognostic implications in lung cancer as well as in its subtypes.
Results:
We observed that high mRNA levels of ZHX factors indicated favorable overall survival in patients with lung cancer. Subgroup analysis demonstrated notable associations between the expression levels of ZHX family members and survival outcomes in select patient cohorts. Immunohistochemistry confirmed that low ZHX3 protein expression had stronger correlation with malignant properties and unfavorable OS in LUAD patients. Multivariate analysis revealed that ZHX3 expression was as an independent predictor for prognosis.
Conclusion:
Thus, we supposed that ZHX3 might be a potential survival biomarker in outcome prediction for LUAD.
Graphical Abstract

Web-based online bioinformatic analyses and immunohistochemical assessments were conducted to examine the association between transcriptional/protein expression levels of ZHX factors and the corresponding prognostic significance in lung cancer.
Introduction
Owing to a surprising increase as 15% of all new cancer diagnoses and more than 1.3 million cases diagnosed each year, lung cancer remains the second most frequent cancer worldwide both in incidence and in cancer-related death (1, 2). Despite constant advances in diagnosis and therapeutic technology in recent decades, the survival outcomesh of patients diagnosed with lung cancer remain unsatisfactory (2). Precise molecular mechanisms underlying the development of lung cancer are still elusive. Hence, it is important to develop robust novel biomarkers for patients with lung cancer, to improve survival outcomes.
Through our integrative efforts in discovering new biomarkers whose transcriptional expression significantly correlated with cancer patient survivals by in silico bioinformatics approaches, we observed that the zinc-fingers and homeoboxes (ZHX) family members, including ZHX1, ZHX2 and ZHX3, may be in the spotlight (3–5). ZHX family members have been identified as a set of transcription repressors which contain two amino-terminal C2-H2 zinc-finger motifs and four or five carboxy-terminal DNA-binding homeodomains and function through interacting with the A subunit of the nuclear factor Y (NF-YA) and forming homodimers and heterodimers reciprocally (6–11). Multiple studies have reported that ZHX factors are important transcriptional regulators in the events such as proliferation and differentiation of hematopoietic cells and mesenchymal stem cells, as well as maintenance of neural progenitors (6, 12, 13). Dysregulated expression of ZHX family members has also been found to be associated with development of various disorders, e.g., neurological, hematological and glomerular diseases (14–16). Results from the related studies also demonstrated that ZHX factors may associate with the cancer initiation and development (6). The essential functions of ZHX factors provide the possibility for the ZHX factors as potential biomarkers for screening, diagnosis, survival estimation and therapeutic effect assessment. As yet, nevertheless, the prognostic implications of ZHX factors in lung cancer have been poorly examined. In the current study, we utilized bioinformatic analyses to investigate the prognostic values of ZHX factors in lung cancer, through web-based expression and survival analyses. Further, we characterized ZHX3 protein expression profile to confirm its prognostic impacts using a cohort of 96 tumor samples by immunohistochemistry.
Materials and methods
Oncomine database analysis
The mRNA levels of ZHX factors in a set of diverse cancers were analyzed using the Oncomine online database,1 which provides 715 datasets and 86,733 clinical specimens to conduct relevant research according to genomic expression analyses. When mRNA expression levels of target genes in tumor samples were compared to those in normal tissues, a fold-change ≥ 2 along with P < 0.01 was considered as statistically significant (17).
Tumor IMmune Estimation Resource database analysis
The TIMER online database2 has been recognized as an advanced and comprehensive resource to systematically examine immune infiltrates in cancers (18). In the present study, the mRNA expression levels of ZHX factors in multiple cancer types were calculated through the TIMER database analysis.
Cancer Cell Line Encyclopedia database analysis
The mRNA expression levels of ZHX factors in different types of cancer cell lines were assessed using the CCLE online database,3 which is an online data collection of gene expression, copy numbers and large-scale genetic sequences from 1,457 human cancer cell lines (19).
Kaplan-Meier Plotter survival analysis
The impacts of ZHX mRNA expression levels on patient outcomes were examined using the Kaplan-Meier Plotter online database,4 which contained the gene expression information and survival data from 1927 patients with lung cancer (20, 21). To evaluate the overall survival (OS) and post-progression survival (PPS), clinical specimens were separated into high and low expression groups by auto-selected best cut-off for gene expression analysis. After the target gene probe was participated in the database, Kaplan-Meier plots were achieved by survival analyses. The hazard ratio (HR) with 95% confidence intervals (CI) and the log-rank P-values were analyzed and displayed on the webpage.
cBioPortal cancer genomics database analysis
The impacts of genomic alterations of ZHX factors including gene copy-number variance, deletion and mutations on OS and disease-free survival (DFS) of cancer patients were detected using the cBioPortal online database5 (22, 23).
Immunohistochemistry and evaluation
One tissue microarray chip (HLugA180Su07) was purchased from Outdo Biotech Co., Ltd. (Shanghai, China), including 98 primary lung adenocarcinoma (LUAD) tissues along with 82 paired adjacent non-cancerous tissues from patients undergoing curative surgery between February 2008 and June 2010. All samples were surgical cases, and histopathologically and clinically confirmed. Tumor grade and stage were classified in accordance with the Union of International Cancer Control (UICC)/American Joint Committee on Cancer (AJCC) pathologic tumor-node-metastasis (TNM) classification, 7th edition (2010). No patients in the current study had experienced preoperative chemotherapy or radiotherapy. Immunohistochemical analysis was performed as previously described (3–5, 24–26). The specimen sections were fixed, deparaffinized, rehydrated, and incubated with a rabbit polyclonal anti-ZHX3 antibody (catalog no. ab84677; dilution, 1:500; Abcam, Cambridge, MA, United States) and an EnVision antibody complex (anti-mouse/rabbit) from an Envision™ Detection kit (OriGene Technologies, Inc., Wuxi, China). Final staining was conducted by incubation with 3,3’-diaminobenzidine (DAB) as the substrate. Nuclei were counterstained with hematoxylin. Ten random 400 × microscopic fields per slide of each specimen were examined by two independent pathologists who were blinded to the clinical information. Staining results were determined using a semi-quantitative method by integrating the percentage and the intensity of positively-stained cells. The mean percentage was classified as follows: 0–25% (0); 26–50% (1); 51–75% (2); and 76–100% (3). The staining intensity was scored as follows: Absent (0); weak (1); moderate (2); and strong (3). The multiplication of these above parameters was employed as the final staining score. The tumor specimens with a final score of < 2 were defined as low ZHX3 expression and those with a score ≥ 2 as high ZHX3 expression.
Statistical analysis
Statistical analyses were performed using the SPSS 17.0 statistical software package (SPSS Inc., Chicago, IL, United States). The differences in the expression levels of ZHXs were correlated with different clinical variables through Fisher’s exact test or Pearson χ2-test, whichever was appropriate. The Kaplan-Meier method with a log-rank test was utilized to examine clinical outcome after surgery. Univariate and multivariate analyses were determined using a Cox proportional hazards regression model to investigate the independent factors that affected patient survival. P < 0.05 was considered to indicate a statistically significant difference.
Results
Transcriptional levels of ZHX factors in cancers
We set out to identify the differences in mRNA expression levels of three ZHX factors between cancer tissues and normal tissues in diverse types of cancer by means of bioinformatics analysis. By using the Oncomine database, we found 308, 434 and 416 unique analyses for ZHX1, ZHX2 and ZHX3, separately (Figure 1A). Three analyses revealed attenuated ZHX1 mRNA expression in cancer tissues than in normal tissues, whereas two other analyses showed an opposite result. ZHX2 mRNA expression was observed to be decreased in 12 analyses but increased in 11 analyses. ZHX3 mRNA expression was found to be downregulated in seven analyses but upregulated in three analyses. Regarding lung cancer, however, only three analyses reported lower ZHX3 expression. We further investigated ZHX3 mRNA expression among various types of cancer using the TIMER online database. Except the comparison of ZHX1 on lung squamous cell carcinoma (LUSC), the mRNA levels of all three ZHX factors was significantly lower in both lung adenocarcinoma (LUAD) and LUSC tissues than in normal tissues (Figure 1B). Additionally, analysis from the CCLE database demonstrated that the mRNA levels of ZHX1, ZHX2 and ZHX3 in lung cancer cell listed in the 19th, 25th, and 10th highest positions across all types of cancer, respectively (Figure 2).
FIGURE 1

The mRNA expression levels of ZHX factors in diverse types of cancer. (A) A graphic produced by the Oncomine online database shows the numbers of datasets with significant overexpression (red) or downregulation (blue) of ZHX factors at the mRNA levels in tumor tissues compared with corresponding normal tissues. The cell color was defined by the best gene rank which was assessed by percentile of target genes in the top of all genes analyzed in each study. (B) Transcriptional expression levels of ZHX factors among various types of cancer via TIMER database analysis. *P < 0.05; **P < 0.01, ***P < 0.001. ZHX, zinc-fingers and homeoboxes; TIMER, Tumor IMmune Estimation Resource.
FIGURE 2

The mRNA expression levels of ZHX factors are distinctive in lung cancer cell lines according to the CCLE database analysis. The mRNA expression levels of (A) ZHX1, (B) ZHX2 and (C) ZHX3 in lung cancer cells ranked the 19th, 25th and 10th highest across diverse types of cancer (shown in red frame). ZHX, zinc-fingers and homeoboxes.
Association between mRNA expression levels of ZHX factors and prognosis
We next determined whether ZHX factors may of value in predicting survival outcomes in patients with lung cancer via Kaplan-Meier Plotter survival analysis. Increased ZHX1 mRNA expression was found to be associated with a better OS rate in patients with lung cancer (Figure 3A). Subgroup analyses revealed that high mRNA expression of ZHX1 predicted a longer OS in patients with LUAD (Figure 3B), but exhibited a shorter OS in patients with LUSC (Figure 3C). High ZHX1 mRNA level indicated a favorable OS in patients with Stage I tumors and Stage II tumors (Figures 3D, E), but not in those with Stage III tumors (Figure 3F). Increased ZHX1 was also associated with longer OS times in patients excluding those never smoked and in patients only those never smoked (Figures 3G, H). Of note, high ZHX1 levels displayed an improved PPS rate in patients with lung cancer (Figure 3I).
FIGURE 3

Association between ZHX1 mRNA levels and prognosis in lung cancer via Kaplan-Meier Plotter survival analysis. (A) OS analysis of ZHX1 in all patients. OS analysis of ZHX1 in patients with (B) adenocarcinoma and (C) squamous cell carcinoma. OS analysis of ZHX1 in patients with (D) Stage I, (E) Stage II and (F) Stage III tumors. OS analysis of ZHX1 in patients (G) excluding those never smoked and (H) only those never smoked. (I) PPS analysis of ZHX1 in all patients. ZHX, zinc-fingers and homeoboxes; OS, overall survival; PPS, post-progression survival.
High ZHX2 mRNA level was observed to be associated with a better OS rate in patients with lung cancer (Figure 4A). Subgroup analyses suggested that upregulated ZHX2 indicated a favorable OS in patients with LUAD and LUSC (Figures 4B,C). Elevated ZHX2 expression implied a favorable OS in patients with Stage I and Stage II tumors (Figures 4D,E). High ZHX2 expression implied an improved OS in patients with low frequency of lymph node metastases (N0 and N1) (Figures 4F,G). Increased ZHX2 levels also implied a longer OS in patients without distant metastasis (M0) (Figure 4H). Furthermore, elevated ZHX2 exhibited an improved PPS rate in patients with lung cancer (Figure 4I).
FIGURE 4

Association between ZHX2 mRNA levels and prognosis in lung cancer via Kaplan-Meier Plotter survival analysis. (A) OS analysis of ZHX2 in all patients. OS analysis of ZHX2 in patients with (B) adenocarcinoma and (C) squamous cell carcinoma. OS analysis of ZHX2 in patients with (D) Stage I and (E) Stage II tumors. OS analysis of ZHX2 in patients with (F) N0, (G) N1, and (H) M0 tumors. (I) PPS analysis of ZHX2 in all patients. ZHX, zinc-fingers and homeoboxes; OS, overall survival; PPS, post-progression survival.
Increased ZHX3 mRNA expression was shown to be associated with a prolonged OS rate in patients with lung cancer (Figure 5A). Subgroup analyses illustrated that increased ZHX3 level represented longer OS times in patients with LUAD (Figure 5B), but not in those with LUSC (Figure 5C). Increased ZHX3 expression indicated a better OS in patients with and without lymph node metastases (N0, N1, and N2) (Figures 5D–F). High ZHX3 expression also represented a favorable OS in patients without distant metastasis (M0) (Figure 5G). In addition, elevated ZHX3 was associated with a better OS rate in patients with T1 and T2 tumors (Figures 5H,I).
FIGURE 5

Association between ZHX3 mRNA levels and prognosis in lung cancer via Kaplan-Meier Plotter survival analysis. (A) OS analysis of ZHX3 in all patients. OS analysis of ZHX3 in patients with (B) adenocarcinoma and (C) squamous cell carcinoma. OS analysis of ZHX3 in patients with (D) N0, (E) N1, (F) N2 and (G) M0 tumors. OS analysis of ZHX3 in patients with (H) T1 and (I) T2 tumors. ZHX, zinc-fingers and homeoboxes; OS, overall survival; PPS, post-progression survival.
Association between genomic alterations of ZHX factors and patient survival
We then characterized the prognostic correlation between genetic alterations of ZHX factors and survival outcomes in patients with lung cancer using the cBioPortal database. The genomic alteration rates for ZHX1, ZHX2, and ZHX3 were 6, 6, and 1.5%, respectively (Figure 6A). Nevertheless, no significant association was found between genomic alterations of ZHX family members and patient survival, as regarding either OS or DFS rates (Figures 6B–G).
FIGURE 6

Genomic alterations of ZHX factors and their corresponding associations with patient survival in lung cancer via cBioPortal database analysis. (A) The proportion and distribution of samples with genomic alterations in ZHX factors by OncoPrint in cBioPortal. The impacts of genomic alterations of (B) ZHX1, (C) ZHX2 and (D) ZHX3 on OS in patients with lung cancer. The impacts of genomic alterations of (E) ZHX1, (F) ZHX2 and (G) ZHX3 on DFS in patients with lung cancer. ZHX, zinc-fingers and homeoboxes; OS, overall survival; DFS, disease-free survival.
ZHX3 expression is an independent prognostic indicator in LUAD
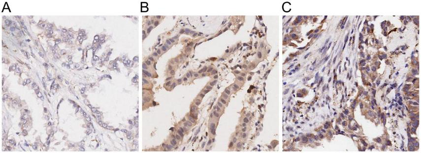
To support of the above observations, we further investigated the protein expression status of ZHX3 using immunohistochemistry and one tissue microarray chip including 98 LUAD tissues and 82 adjacent non-cancerous tissues, in which two cancer samples were detached in the process of IHC staining. A high level of ZHX3 protein expression was observed in the cytoplasm of tumor cells in 31.3% (30/96) of the LUAD samples tested (Figures 7A–C). Of note is that high ZHX3 protein expression was also found in 56.1% (46/82) of adjacent non-cancerous tissues, which was significantly higher than that in cancer tissues (Table 1). Low ZHX3 expression was observed to be associated with T stage, N stage and clinical stage (Table 2). Kaplan-Meier survival curves showed that patients with high ZHX3 expression exhibited a better OS than those with low ZHX3 expression (Figure 8A). Subgroup analyses demonstrated that high ZHX3 expression predicted an improved OS in patients with T1/T2 tumors (Figure 8B). High ZHX3 expression also represented longer OS times in patients without lymph node metastases (N0) (Figure 8C) and in patients without distant metastasis (M0) (Figure 8D). Moreover, elevated ZHX3 expression suggested a prolonged OS in patients with Stage I/II tumors (Figure 8E) and in patients with Histological grade I/II tumors (Figure 8F). On univariate analyses, patient age, T stage, clinical stage and ZHX3 expression were proven to be responsible for an unfavorable OS (Table 3). Following adjusting the prognostic variables established in univariate analyses, patient age, clinical stage and ZHX3 expression had the independent significance for OS in multivariate analyses (Table 3).
FIGURE 7

Representative staining of immunohistochemistry for ZHX3 in LUAD tissues. (A) Weak staining; (B) Moderate staining; and (C) Strong staining. Original magnification, 200×. ZHX, zinc-fingers and homeoboxes. LUAD, lung adenocarcinoma.
FIGURE 8

Kaplan-Meier curves comparing the survival outcomes in LUAD patients with high and low ZHX3 protein expression. (A) High ZHX3 expression was significantly correlated with a better OS in patients with lung cancer. (B) OS curves of ZHX3 expression in patients with T1/T2 tumors. (C) OS curves of ZHX3 expression in patients with N0 tumors. (D) OS curves of ZHX3 expression in patients with M0 tumors. (E) OS curves of ZHX3 expression in patients with Stage I/II tumors. (F) OS curves of ZHX3 expression in patients with Histological grade I/II tumors. ZHX, zinc-fingers and homeoboxes; LUAD, lung adenocarcinoma; OS, overall survival.
TABLE 1
| Variables | Total | ZHX3 protein expression | Chi-square value | P-value | |
|---|---|---|---|---|---|
| Low, n (%) | High, n (%) | ||||
| LUAD tissues | 96 | 66 (68.7) | 30 (31.3) | 11.160 | 0.001 |
| Non-cancerous tissues | 82 | 36 (43.9) | 46 (56.1) | ||
Differential expression of ZHX3 protein in LUAD tissues and adjacent non-cancerous tissues.
TABLE 2
| Parameters | No. of patients | ZHX3 protein expression | P-value | |
|---|---|---|---|---|
| Low, n (%) | High, n (%) | |||
| Age | ||||
| ≤60 years | 50 | 35 (70.0) | 15 (30.0) | 0.783 |
| >60 years | 46 | 31 (47.5) | 15 (52.5) | |
| Sex | ||||
| Male | 54 | 41 (75.9) | 13 (24.1) | 0.085 |
| Female | 42 | 25 (59.5) | 17 (40.5) | |
| Histological grade | ||||
| I/II | 61 | 38 (62.3) | 23 (37.7) | 0.072 |
| III | 35 | 28 (80.0) | 7 (20.0) | |
| Clinical stage (pTNM) | ||||
| I/II | 66 | 36 (54.5) | 30 (45.5) | < 0.001 |
| III/IV | 30 | 30 (100.0) | 0 (0.00) | |
| T stage | ||||
| T1/T2 | 70 | 44 (62.3) | 26 (37.1) | 0.024 |
| T3/T4 | 24 | 21 (87.5) | 3 (12.5) | |
| NA | 2 | |||
| N stage | ||||
| N0 | 43 | 24 (55.8) | 19 (44.2) | < 0.001 |
| N1-N3 | 37 | 35 (94.6) | 2 (5.4) | |
| NA | 16 | |||
| M stage | ||||
| M0 | 95 | 65 (68.4) | 30 (31.6) | 1.000 |
| M1 | 1 | 1 (100.0) | 0 (0.0) | |
| PD-L1 | ||||
| Negative | 70 | 50 (71.4) | 20 (28.6) | 0.518 |
| Positive | 13 | 8 (61.5) | 5 (38.5) | |
| NA | 13 | |||
| ALK | ||||
| Negative | 65 | 48 (73.8) | 17 (26.2) | 0.131 |
| Positive | 15 | 8 (53.3) | 7 (46.7) | |
| NA | 16 | |||
| EGFR | ||||
| Negative | 62 | 42 (67.7) | 20 (32.3) | 0.743 |
| Positive | 13 | 10 (76.9) | 3 (23.1) | |
| NA | 21 | |||
Relationship between ZHX3 expression and clinicopathological characteristics in lung cancer.
NA, not available; PD-L1, programmed death-ligand 1; ALK, anaplastic lymphoma kinase; EGFR, epidermic growth factor receptor.
TABLE 3
| Variables | Univariate analysis | Multivariate analysis | ||
|---|---|---|---|---|
| HR (95% CI) | P-value | HR (95% CI) | P-value | |
| Age | 0.578 (0.344–0.972) | 0.039 | 0.547 (0.325–0.923) | 0.024 |
| T stage | 2.141 (1.220–3.754) | 0.002 | 0.997 (0.479–2.076) | 0.994 |
| Clinical stage | 3.685 (2.145–6.331) | < 0.001 | 2.570 (1.218–5.422) | 0.013 |
| ZHX3 expression | 0.307 (0.159–0.593) | < 0.001 | 0.421 (0.203–0.872) | 0.020 |
Univariate and multivariate analyses of the factors correlated with overall survival in patients with lung cancer.
HR, hazard ratio; CI, confidence interval.
Discussion
Despite new discoveries and treatment including targeted agents, e.g., epidermal growth factor receptor inhibitors, dedicated to precision medicine, the overall survival rates of lung cancer patients have not shown significant improvement (27). Patients with localized lung cancer are treated and managed with promise to cure. Nevertheless, the optimal surveillance of these patients for recurrence and metastasis after curative therapy is urgently needed. The utilization of early detection and treatment might result in improved clinical outcomes by image-based surveillance strategies as well as biomarker evaluation (28). The present study is part of our continuous effort to reveal molecular biomarkers with reliability for predicting outcomes for cancer patients. Confirmation of this issue might be critical to direct clinical management of cancers in the future. Thus, the present study using data from public resources as well as immunohistochemistry provide an in-depth insight into the prognostic implication of ZHX family members in patient with lung cancer. Our findings suggest that the expression of ZHX factors may serve as promising prognostic indicators in patients with lung cancer.
ZHX1 has been identified as the first member of the ZHX family, and has been reported as a tumor suppressor in several types of cancer (6–8, 29–33). Nevertheless, recent reports have implied that ZHX1 might serve as an oncogene and its overexpression was correlated with a worse prognosis in cancers (34–36). Thus, the prognostic impact of ZHX1 on various cancer types, even in their subtypes, appears to be contradictory. We recently showed that high ZHX1 expression predicts an unfavorable OS rate in breast cancer but presents favorable OS for gastric cancer, confirming its different roles in different cancer types (3, 4). In the present study, a significant association was observed between ZHX1 mRNA expression and survival outcomes in patients with lung cancer in this study. However, high ZHX1 expression predicted a better OS in patients with LUAD but presented a worse OS in patients with LUSC. We inferred that discrepant cancer specimen sources, histological phenotypes and intrinsic differences in different cancer subtypes may be reasonable to explain this contradictory finding (37). Moreover, a prognostic value of ZHX1 expression was identified in the subgroup analyses, i.e., significant associations between high ZHX1 mRNA levels and longer OS rates in patients with Stage I and II tumors, suggesting that ZHX1 may exert its function as a valuable prognostic predictor only for patients with early-stage disease. Of note is that, in order to provide the more important and significant observations, we preferred to exhibit the selected results with statistically significant difference in the present study.
Similarly, we found that high ZHX2 expression was not only correlated with a prolonged OS, but also indicated a better PPS rate in patient with lung cancer. This founding demonstrates a tumor-suppressor role of ZHX2, consistent with another report in lung cancer suggesting ZHX2 represses proliferation and increases apoptosis of tumor cells via inactivation of p38MAPK signaling (38). Of note, our current finding revealed that increased ZHX2 expression was related with a better OS in patients with Stage I/II, N0/N1, and M0 tumors, suggesting ZHX2 as a valuable prognostic indicator for patients with early-stage disease and low frequency of metastasis. More intensively, it has been reported that ZHX2 suppresses metastasis of thyroid cancer through transcriptional suppression of the S100 calcium binding protein A14 (39). Although these above observations suggest that ZHX2 might serve as a tumor suppressor in lung cancer, ZHX2 expression has been observed to be upregulated in clear cell renal cell carcinoma and facilitate tumorigenesis of in a hypoxia inducible factor-α -independent manner (40, 41). These observations seem consistent with the relevant findings of ZHX2 as an oncogene in gastric cancer, including our previous report (4, 42). In addition, it has been found that ZHX2 may promote HIF1α oncogenic signaling in triple-negative breast cancer (TNBC) and hypoxia-induced phase separation of ZHX2 may alter chromatin looping to promote metastasis (43, 44). ZHX2 has also been found to modulate E-cadherin expression and enrich MET cells to suppress lung metastasis of TNBC (45). All these above data suggest that ZHX2 may have different functions according the specific types of cancer.
Consistent with our recent reports in liver cancer and breast cancer (3, 5), increased ZHX3 expression has been found to be correlated with a favorable OS in patients with lung cancer and may be of value to predict the outcomes of patients with early-stage disease. This result is contrary to the oncogene role of ZHX3 in gastric cancer and bladder urothelial carcinoma (4, 46). To support the findings by bioinformatics analysis, we performed immunohistochemistry to examine ZHX3 protein expression level in LUAD samples and further investigate the corresponding prognostic implication. We observed that low ZHX3 expression were associated with malignant properties and may be an independent factor for prognostic prediction of LUAD. Thus, we conclude that ZHX3 may act as an important role in the progression of LUAD.
There are several limitations to be addressed as regarding the current study. Because the current study performed integrative bioinformatics analyses using a set of online databases, certain search parameters were not available. The limited sample size and restricted follow-up period in the immunohistochemical analysis demands enlarged sample cohort with integral information in our future work. The biological functions and underlying molecular mechanisms of ZHX factors in lung cancer require further validation under well-controlled conditions in cell and/or animal models. Moreover, considering there are some widely-used biomarkers for lung cancer such as EGFR, KRAS, and PD-L1, combination of these factors with ZHX factors may provide more accurate and precise methods for prediction of patient survival.
In the present study, we systematically investigated the expression profile and prognostic implication of ZHX family members in lung cancer. Our results suggest that dysregulation of ZHX factors is involved in disease progression of lung cancer and ZHX3 expression may serve as a novel and promising biomarker for survival prediction in LUAD patients.
Statements
Data availability statement
The data presented in the study are deposited in the repository of People’s Hospital of Ningxia Hui Autonomous Region, accession number (2023BEG02001).
Ethics statement
The studies involving humans were approved by the Ethics Committee of the People’s Hospital of Ningxia Hui Autonomous Region (2024-ZDYF-042). The studies were conducted in accordance with the local legislation and institutional requirements. The participants provided their written informed consent to participate in this study.
Author contributions
YY: Conceptualization, Data curation, Funding acquisition, Validation, Writing – original draft, Writing – review & editing. WL: Conceptualization, Investigation, Supervision, Validation, Writing – original draft, Writing – review & editing. LG: Data curation, Investigation, Visualization, Writing – original draft. TL: Formal analysis, Investigation, Writing – original draft, XZ: Data curation, Investigation, Software, Writing – original draft. XL: Investigation, Methodology, Writing – original draft.
Funding
The author(s) declare financial support was received for the research and/or publication of this article. This work was supported by the Central Guided Special Project for Local Science and Technology Development of Ningxia Hui Autonomous Region, China (grant no. 2024FRD05094), the Major Research and Development Program of Ningxia Hui Autonomous Region, China (grant no. 2023BEG02001), and in part by the Open Research Fund of Ningxia Clinical Research Institute, People’s Hospital of Ningxia Hui Autonomous Region (grant no. 2023KF02).
Conflict of interest
The authors declare that the research was conducted in the absence of any commercial or financial relationships that could be construed as a potential conflict of interest.
Generative AI statement
The authors declare that no Generative AI was used in the creation of this manuscript.
Any alternative text (alt text) provided alongside figures in this article has been generated by Frontiers with the support of artificial intelligence and reasonable efforts have been made to ensure accuracy, including review by the authors wherever possible. If you identify any issues, please contact us.
Publisher’s note
All claims expressed in this article are solely those of the authors and do not necessarily represent those of their affiliated organizations, or those of the publisher, the editors and the reviewers. Any product that may be evaluated in this article, or claim that may be made by its manufacturer, is not guaranteed or endorsed by the publisher.
Footnotes
2.^ https://cistrome.shinyapps.io/timer
3.^ http://portals.broadinstitute.org/ccle
References
1.
Siegel R Giaquinto A Jemal A . Cancer statistics, 2024.CA Cancer J Clin. (2024) 74:12–49. 10.3322/caac.21820
2.
Smolarz B Łukasiewicz H Samulak D Piekarska E Kołaciński R Romanowicz H . Lung cancer-epidemiology, pathogenesis, treatment and molecular aspect (review of literature).Int J Mol Sci. (2025) 26:2049. 10.3390/ijms26052049
3.
You Y Ma Y Wang Q Ye Z Deng Y Bai F . Attenuated ZHX3 expression serves as a potential biomarker that predicts poor clinical outcomes in breast cancer patients.Cancer Manag Res. (2019) 11:1199–210. 10.2147/CMAR.S184340
4.
You Y Bai F Li H Ma Y Yao L Hu J et al Prognostic value and therapeutic implications of ZHX family member expression in human gastric cancer. Am J Transl Res. (2020) 12:3376–88.
5.
You Y Hu F Hu S . Attenuated ZHX3 expression is predictive of poor outcome for liver cancer: indication for personalized therapy.Oncol Lett. (2022) 24:224. 10.3892/ol.2022.13345
6.
Liu Y Ma D Ji C . Zinc fingers and homeoboxes family in human diseases.Cancer Gene Ther. (2015) 22:223–6. 10.1038/cgt.2015.16
7.
Barthelemy I Carramolino L Gutiérrez J Barbero J Márquez G Zaballos A . zhx-1: a novel mouse homeodomain protein containing two zinc-fingers and five homeodomains.Biochem Biophys Res Commun. (1996) 224:870–6.
8.
Hirano S Yamada K Kawata H Shou Z Mizutani T Yazawa T et al Rat zinc-fingers and homeoboxes 1 (ZHX1), a nuclear factor-YA-interacting nuclear protein, forms a homodimer. Gene. (2002) 290:107–14. 10.1016/s0378-1119(02)00553-x
9.
Kawata H Yamada K Shou Z Mizutani T Yazawa T Yoshino M et al Zinc-fingers and homeoboxes (ZHX) 2, a novel member of the ZHX family, functions as a transcriptional repressor. Biochem J. (2003) 373:747–57. 10.1042/BJ20030171
10.
Yamada K Kawata H Shou Z Hirano S Mizutani T Yazawa T et al Analysis of zinc-fingers and homeoboxes (ZHX)-1-interacting proteins: molecular cloning and characterization of a member of the ZHX family. ZHX3. Biochem J. (2003) 373:167–78. 10.1042/BJ20021866
11.
Kawata H Yamada K Shou Z Mizutani T Miyamoto K . The mouse zinc-fingers and homeoboxes (ZHX) family; ZHX2 forms a heterodimer with ZHX3.Gene. (2003) 323:133–40. 10.1016/j.gene.2003.09.013
12.
Suehiro F Nishimura M Kawamoto T Kanawa M Yoshizawa Y Murata H et al Impact of zinc fingers and homeoboxes 3 on the regulation of mesenchymal stem cell osteogenic differentiation. Stem Cells Dev. (2011) 20:1539–47. 10.1089/scd.2010.0279
13.
Liu G Clement L Kanwar Y Avila-Casado C Chugh SS . ZHX proteins regulate podocyte gene expression during the development of nephrotic syndrome.J Biol Chem. (2006) 281:39681–92. 10.1074/jbc.M606664200
14.
Clement L Liu G Perez-Torres I Kanwawar Y Avila-Casado C Chugh S . Early changes in gene expression that influence the course of primary glomerular disease.Kidney Int. (2007) 72:337–47. 10.1038/sj.ki.5002302
15.
Nagel S Ehrentraut S Meyer C Kaufmann M Drexler H MacLeod R . Aberrantly expressed OTX homeobox genes deregulate B-cell differentiation in hodgkin lymphoma.PLoS One. (2015) 10:e0138416. 10.1371/journal.pone.0138416
16.
Macé C Del Nogal Avila M Marshall CB Kharlyngdoh J Das R Molina-Jijon E et al The zinc fingers and homeoboxes 2 protein ZHX2 and its interacting proteins regulate upstream pathways in podocyte diseases. Kidney Int. (2020) 97:753–64. 10.1016/j.kint.2019.11.011
17.
Rhodes D Yu J Shanker K Deshpande N Varambally R Ghosh D et al ONCOMINE: a cancer microarray database and integrated data-mining platform. Neoplasia. (2004) 6:1–6. 10.1016/s1476-5586(04)80047-2
18.
Li T Fan J Wang B Traugh N Chen Q Liu J et al TIMER: a web server for comprehensive analysis of tumor-infiltrating immune cells. Cancer Res. (2017) 77:e108–10. 10.1158/0008-5472.CAN-17-0307
19.
Barretina J Caponigro G Stransky N Venkatesan K Margolin A Kim S et al The Cancer Cell Line Encyclopedia enables predictive modelling of anticancerdrug sensitivity. Nature. (2012) 483:603–7. 10.1038/nature11003
20.
Lánczky A Nagy Á Bottai G Munkácsy G Szabó A Santarpia L et al miRpower: a web-tool to validate survival-associated miRNAs utilizing expression data from 2178 breast cancer patients. Breast Cancer Res Treat. (2016) 160:439–46. 10.1007/s10549-016-4013-7
21.
Szász A Lánczky A Nagy Á Förster S Hark K Green JE et al Cross-validation of survival associated biomarkers in gastric cancer using transcriptomic data of 1,065 patients. Oncotarget. (2016) 7:49322–33. 10.18632/oncotarget.10337
22.
Gao J Aksoy B Dogrusoz U Dresdner G Gross B Sumer S et al Integrative analysis of complex cancer genomics and clinical profiles using the cBioPortal. Sci Signal. (2013) 6:l1. 10.1126/scisignal.2004088
23.
Cerami E Gao J Dogrusoz U Gross B Sumer S Aksoy B et al The cBio cancer genomics portal: an open platform for exploring multidimensional cancer genomics data. Cancer Discov. (2012) 2:401–4. 10.1158/2159-8290.CD-12-0095
24.
You Y Li H Qin X Zhang Y Song W Ran Y et al Decreased CDK10 expression correlates with lymph node metastasis and predicts poor outcome in breast cancer patients - a short report. Cell Oncol. (2015) 38:485–91. 10.1007/s13402-015-0246-4
25.
You Y Li H Qin X Ran Y Wang F . Down-regulated ECRG4 expression in breast cancer and its correlation with tumor progression and poor prognosis–A short Report.Cell Oncol. (2016) 39:89–95. 10.1007/s13402-015-0260-6
26.
You Y Hu S . Aberrant expression of the esophageal carcinoma related gene 4 as a prognostic signature for hepatocellular carcinoma.Clin Res Hepatol Gastroenterol. (2022) 46:101891. 10.1016/j.clinre.2022.101891
27.
La Salvia A Rossi A Galetta D Gobbini E De Luca E Novello S et al Intercalated chemotherapy and epidermal growth factor receptor inhibitors for patients with advanced non-small-cell lung cancer: a systematic review and meta-analysis. Clin Lung Cancer. (2017) 18:23–33.e1. 10.1016/j.cllc.2016.08.006
28.
Schneider B Ismaila N Aerts J Chiles C Daly M Detterbeck F et al Lung cancer surveillance after definitive curative-intent therapy: asco guideline. J Clin Oncol. (2020) 38:753–66. 10.1200/JCO.19.02748
29.
Maciel N Filiú-Braga L Neves F Rego E Lucena-Araujo A Saldanha-Araujo F . Low expression of ZHX1 and ZHX2 impacts on the prognosis of chronic lymphocytic leukemia.Biomark Res. (2021) 9:10. 10.1186/s40364-021-00263-2
30.
Wang J Liu D Liang X Gao L Yue X Yang Y et al Construction of a recombinant eukaryotic human ZHX1 gene expression plasmid and the role of ZHX1 in hepatocellular carcinoma. Mol Med Rep. (2013) 8:1531–6. 10.3892/mmr.2013.1700
31.
Wang Z Ma X Cai Q Wang X Yu B Cai Q et al MiR-199a-3p promotes gastric cancer progression by targeting ZHX1. FEBS Lett. (2014) 588:4504–12. 10.1016/j.febslet.2014.09.047
32.
Ma X Huang M Wang Z Liu B Zhu Z Li C . ZHX1 inhibits gastric cancer cell growth through inducing cell-cycle arrest and apoptosis.J Cancer. (2016) 7:60–8. 10.7150/jca.12973
33.
Kwon R Kim Y Jeong D Han M Kim J Liu L et al Expression and prognostic significance of zinc fingers and homeoboxes family members in renal cell carcinoma. PLoS One. (2017) 12:e0171036. 10.1371/journal.pone.0171036
34.
Guan J Liu Z Xiao M Hao F Wang C Chen Y et al MicroRNA-199a-3p inhibits tumorigenesis of hepatocellular carcinoma cells by targeting ZHX1/PUMA signal. Am J Transl Res. (2017) 9:2457–65.
35.
Kwon R Han M Kim J Liu L Kim Y Jung J et al ZHX1 promotes the proliferation, migration and invasion of cholangiocarcinoma cells. PLoS One. (2016) 11:e0165516. 10.1371/journal.pone.0165516
36.
Kwon R Han M Kim Y Kim Y Kim J Liu L et al Roles of zinc-fingers and homeoboxes 1 during the proliferation, migration, and invasion of glioblastoma cells. Tumour Biol. (2017) 39:1010428317694575. 10.1177/1010428317694575
37.
Bao Y Zhang H Han Z Guo Y Yang W . Zinc fingers and homeobox family in cancer: a double-edged sword.Int J Mol Sci. (2022) 23:11167. 10.3390/ijms231911167
38.
Tian X Wang Y Li S Yue W Tian H . ZHX2 inhibits proliferation and promotes apoptosis of human lung cancer cells through targeting p38MAPK pathway.Cancer Biomark. (2020) 27:75–84. 10.3233/CBM-190514
39.
Zhang Y Sun M Gao L Liang X Ma C Lu J et al ZHX2 inhibits thyroid cancer metastasis through transcriptional inhibition of S100A14. Cancer Cell Int. (2022) 22:76. 10.1186/s12935-022-02499-w
40.
Chen Y Zhu L Xue S Shi J He C Zhang Q . Novel VHL substrate targets SFMBT1 and ZHX2 may be important prognostic predictors in patients with ccRCC.Oncol Lett. (2021) 21:379. 10.3892/ol.2021.12640
41.
Xie H Zhou J Liu X Xu Y Hepperla A Simon J et al USP13 promotes deubiquitination of ZHX2 and tumorigenesis in kidney cancer. Proc Natl Acad Sci U S A. (2022) 119:e2119854119. 10.1073/pnas.2119854119
42.
Cheng A Guo X Dai X Wang Z . Upregulation of ZHX2 predicts poor prognosis and is correlated with immune infiltration in gastric cancer.FEBS Open Bio. (2021) 11:1785–98. 10.1002/2211-5463.13160
43.
Fang W Liao C Shi R Simon J Ptacek T Zurlo G et al ZHX2 promotes HIF1α oncogenic signaling in triple-negative breast cancer. Elife. (2021) 10:e70412. 10.7554/eLife.70412
44.
Gao C Gao A Jiang Y Gao R Guo Y Peng Z et al Hypoxia-induced phase separation of ZHX2 alters chromatin looping to drive cancer metastasis. Mol Cell. (2025) 85:1525–42.e10. 10.1016/j.molcel.2025.03.009
45.
He Y Zhang Q Chen Y Wu Y Quan Y Chen W et al ZHX2 deficiency enriches hybrid MET cells through regulating E-cadherin expression. Cell Death Dis. (2023) 14:444. 10.1038/s41419-023-05974-y
46.
Deng M Wei W Duan J Chen R Wang N He L et al ZHX3 promotes the progression of urothelial carcinoma of the bladder via repressing of RGS2 and is a novel substrate of TRIM21. Cancer Sci. (2021) 2021:1758–71. 10.1111/cas.14810
Summary
Keywords
zinc-fingers and homeoboxes, lung adenocarcinoma, prognosis, data mining, immunohistochemistry
Citation
You Y, Li W, Gao L, Li T, Zhang X and Luo X (2025) Evaluation of the zinc-fingers and homeoboxes 3 as a potential biomarker for prognosis prediction in lung adenocarcinoma. Front. Med. 12:1728286. doi: 10.3389/fmed.2025.1728286
Received
19 October 2025
Revised
19 November 2025
Accepted
19 November 2025
Published
17 December 2025
Volume
12 - 2025
Edited by
Matteo Becatti, University of Firenze, Italy
Reviewed by
Anna La Salvia, National Institute of Health (ISS), Italy
Yankun Zhang, Shandong University, China
Updates
Copyright
© 2025 You, Li, Gao, Li, Zhang and Luo.
This is an open-access article distributed under the terms of the Creative Commons Attribution License (CC BY). The use, distribution or reproduction in other forums is permitted, provided the original author(s) and the copyright owner(s) are credited and that the original publication in this journal is cited, in accordance with accepted academic practice. No use, distribution or reproduction is permitted which does not comply with these terms.
*Correspondence: Wenmei Li, 19995350091@163.com
†These authors have contributed equally to this work
Disclaimer
All claims expressed in this article are solely those of the authors and do not necessarily represent those of their affiliated organizations, or those of the publisher, the editors and the reviewers. Any product that may be evaluated in this article or claim that may be made by its manufacturer is not guaranteed or endorsed by the publisher.