Abstract
Introduction:
Mitochondrial encephalomyopathy with lactic acidosis and stroke-like episodes (MELAS) is a rare mitochondrial disorder primarily presenting with neurological manifestations, but it may also lead to gastrointestinal complications such as intestinal pseudo-obstruction, which can significantly complicate clinical management.
Case presentation:
We report a 24-year-old woman with genetically confirmed MELAS (mtDNA A3243G mutation and TRPM3 c.2878G > T heterozygous variant) who was admitted with acute confusion and generalized convulsive seizures. Neuroimaging revealed multiple low-density lesions on CT and abnormal signals in the bilateral occipital lobes and basal ganglia on MRI. Although her neurological symptoms stabilized after emergency treatment, she subsequently developed recurrent episodes of intestinal obstruction characterized by vomiting and decreased bowel sounds. Conservative measures were unsuccessful, and jejunal decompression was performed, resulting in significant improvement in bowel function and successful transition to normal oral intake.
Conclusion:
This case illustrates delayed acute intestinal pseudo-obstruction (AIPO) as an uncommon but clinically important complication of MELAS, and shows that timely jejunal decompression can be an effective therapeutic intervention in selected patients.
Introduction
Mitochondrial encephalomyopathy with lactic acidosis and stroke-like episodes (MELAS) is a rare genetic disorder caused by mutations in mitochondrial DNA, resulting in multisystemic dysfunction (1). It mainly presents with neurological symptoms like stroke-like episodes, seizures, and cognitive decline (2). Rarely, MELAS can also cause complications such as intestinal pseudo-obstruction, which can complicate treatment (3). We report a case of a critically ill 24-year-old woman with MELAS who experienced two episodes of intestinal obstruction during hospitalization. Initial conservative treatment was ineffective, but her condition improved after small bowel decompression.
Case presentation
On July 7, 2025, a 24-year-old Chinese woman was urgently admitted to the hospital due to acute confusion and generalized convulsive seizures. Three months prior to admission, she had been under significant mental stress due to a debt issue. Upon admission, the patient was unconscious, with eyes closed, mouth open, and exhibiting convulsions every 4–5 min, accompanied by urinary incontinence and vomiting. There was no fever or tongue biting. Her past medical history was unremarkable, with no similar episodes or history of systemic diseases, cerebrovascular diseases, or chronic conditions. She had no history of adverse drug use, toxins, smoking, or alcohol consumption, and no family history of similar symptoms. The patient appeared emaciated, weighing 35 kg (BMI 13.67 kg/m2), with marked generalized muscle wasting and reduced muscle bulk. Her heart rate was 130 bpm, and she was uncooperative with the examination. Her consciousness was at a shallow coma level. Cranial nerve examination could not be performed, and muscle tone was normal. The strength and coordination tests could not be completed due to non-cooperation. Abdominal reflexes and other superficial reflexes were normal. Deep reflexes, including biceps, triceps, brachioradialis, and Achilles tendon reflexes, were normal. All pathological reflexes, including Babinski, were negative. Meningeal irritation signs were absent.
Immediate fluid resuscitation and sedation were administered, with further diagnostic tests revealing the following: lactate 7.5 mmol/L (normal range 0.5–1.8 mmol/L), white blood cell count 16.46 × 109/L (elevated), neutrophil percentage 88.6%, β-hydroxybutyrate 0.338 mmol/L (0–0.3), HbA1c 15%, procalcitonin (PCT) 4.4 ng/mL (normal range 0–0.05 ng/mL), high-sensitivity troponin (HS-TnT) 9.46 pg./mL (normal range 0–14 pg./mL), CKMB-M 13.5 ng/mL (normal range 0.1–4.94 ng/mL), myoglobin 139 ng/mL (normal range 25–58 ng/mL), proBNP 377 pg./mL (normal range 0–125 pg./mL). Blood chemistry showed abnormal liver and heart function: AST 64 U/L (normal range 13–35 U/L), ALT 100 U/L (normal range 7–40 U/L). The patient had signs of abnormal cardiac and liver function. Head Computed Tomography (CT) revealed multiple slightly low-density lesions in the left temporal, parietal, and occipital lobes, as well as the right occipital lobe, with shallow local sulcal and fissural flattening and widening of the remaining sulci. Symmetrical, slightly high-density areas were observed in the bilateral basal ganglia, thalamus, and cerebellar dentate nuclei, with unclear borders and CT values ranging from 50 to 70 HU. No midline shift was detected. These findings were consistent with metabolic encephalopathy (Figure 1). Chest CT showed bronchial wall thickening, partial bronchial narrowing, and multiple patchy and nodular high-density areas around the bronchi, with indistinct borders, as well as partial lung consolidation. No significant lymph node enlargement was seen in the mediastinum, and no pleural effusion was present. These imaging features were suggestive of bronchopneumonia with partial lung consolidation. Head Magnetic Resonance Imaging (MRI) demonstrated more pronounced abnormal signals in the left temporal, parietal, and occipital lobes, with some areas showing unclear signals. Diffusion-weighted imaging (DWI) revealed restricted diffusion in both occipital lobes, along with small, patchy, slightly low T1 and slightly high T2 signals in the bilateral basal ganglia and thalamus. A small, dot-like abnormal signal was observed in the right putamen on both T1 and long T2 images. The ventricular system was mildly dilated, and the brain sulci and fissures were both widened and deepened. No significant midline shift was noted. These MRI findings considered the diagnosis of metabolic encephalopathy (Figure 2).
Figure 1

Head CT. (A) High-density lesions in the bilateral basal ganglia (red mark). (B) High-density lesions in the cerebellar dentate nuclei (red mark).
Figure 2

Head MRI. (A) T1-weighted image showing hyperintense lesions in the bilateral basal ganglia and thalamus (red mark). (B) T2-FLAIR image showing hyperintense lesions in the bilateral basal ganglia and thalamus (red mark). (C) Dot-like abnormal signal in the right putamen on T2-weighted images (red mark). (D) ADC map showing restricted diffusion in the right putamen (red mark). (E) Rounded hyperintense focus in the sphenoid sinus on T2-weighted images (red mark). (F) Hyperintense focus in the bilateral maxillary sinuses on T2-weighted images (red mark).
The patient was immediately transferred to the ICU, where she was intubated and placed on a ventilator. Sedation and analgesia with propofol, levorphanol, and remifentanil were administered. Respiratory parameters were closely monitored and adjusted. At night, her respiratory rate fluctuated between 10 and 20 breaths per minute, heart rate ranged from 110 to 125 bpm, and blood pressure was 94/55 mmHg. Her oxygen saturation ranged from 95 to 99%. Since she was unable to tolerate oral feeding, parenteral nutrition was started. The patient was diagnosed with status epilepticus, MELAS, pneumonia, and acute myocardial injury. She received appropriate treatment including levetiracetam 1,500 mg BID, lamotrigine 25 mg QD for epilepsy, dehydration therapy to reduce cerebral edema, and supplements like arginine, idebenone, coenzyme Q10, and L-carnitine to improve energy metabolism. Antibiotics, including moxifloxacin, were given for infection management, and phosphocreatine sodium was used to support myocardial function. After intensive organ support and therapy, her condition improved, and on July 14, 2025, her endotracheal tube was removed. Her lactate level decreased to 3.2 mmol/L.
On July 14, 2025, genetic testing confirmed the diagnosis of MELAS syndrome. Genomic DNA was extracted from EDTA-anticoagulated whole blood, and sequencing was performed using target region capture with high-throughput sequencing. The results showed: (1) a heterozygous variant in the TRPM3 gene, c.2878G > T (chr9:73213505), p.Ala960Ser (Figure 3A), with a sequencing depth of 100/92 and a variant allele fraction of 0.48; (2) a pathogenic mitochondrial variant in MT-TL1, m.3243A > G (NC_012920.1) (chrMT:3243, rs199474657) (Figure 3B), with a variant read depth/total depth of 4307/7023, corresponding to an estimated heteroplasmy level of 61.3% in whole blood. In addition, genetic testing in her sister also identified the MT-TL1 m.3243A > G variant (Figure 3C).
Figure 3

Genetic testing. (A)TRPM3 gene mutation (red arrow). (B)MT-TL1 gene mutation (red arrow). (C) Sister’s genetic test showing MT-TL1 gene mutation (red arrow).
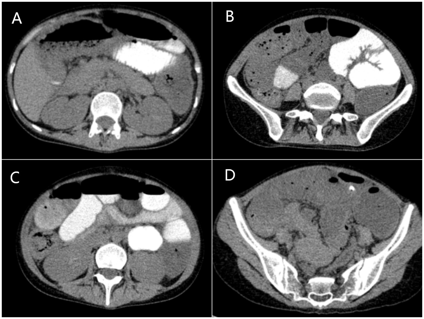
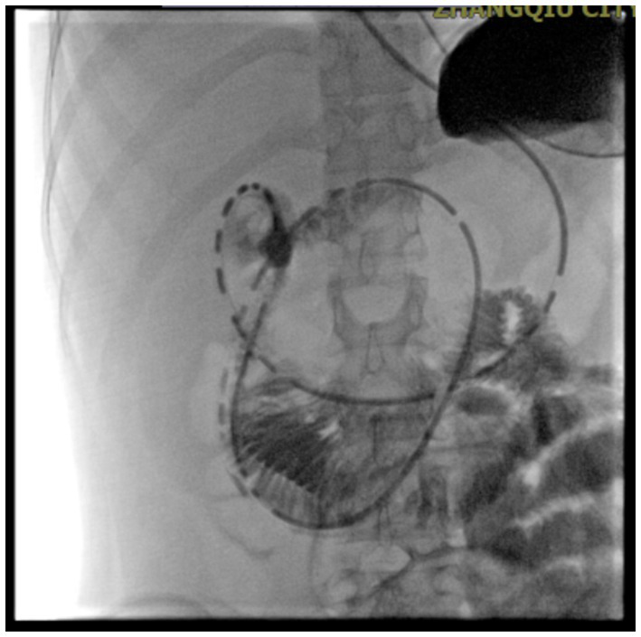
Gastrointestinal obstruction: On July 14, 2025, the patient developed the first episode of bowel obstruction, with severe abdominal distension and reduced bowel sounds at 1 per minute. An abdominal X-ray in the upright position showed gas accumulation and bowel dilation, observed during gastrointestinal tube placement (Figure 4). CT scan revealed air-fluid levels in part of the small bowel. Abdominopelvic CT showed diffuse small bowel dilatation with air–fluid levels without an identifiable transition point or mechanical obstructing lesion, and there was no imaging evidence of volvulus, hernia, or mass. After gastrointestinal decompression, enteral nutrition was administered, and the patient’s condition improved. She gradually resumed a liquid diet and then a normal diet, while continuing treatment for MELAS. Despite this, the patient experienced a second episode of bowel obstruction from August 20 to August 23, 2025, with progressive abdominal distension, absence of gas or stool passage, abdominal pain, nausea, and vomiting. Repeat CT again demonstrated marked bowel dilatation with air–fluid levels without a definite transition point or obstructing lesion, supporting the diagnosis of acute intestinal pseudo-obstruction rather than mechanical obstruction. (Figure 5). The patient was unable to take oral anticonvulsant medications, so diazepam was administered intravenously via a micro-pump. A nasogastric tube was inserted for decompression, and a small-bowel decompression tube was placed under interventional guidance (Figure 6). After 12 days of treatment with enema, enteral and parenteral nutrition, the patient’s bowel function gradually recovered. Bowel sounds returned to normal, and she was successfully discharged after transitioning to a normal diet. A follow-up phone call 16 days post-discharge revealed no adverse events.
Figure 4

Abdominal X-ray. The small bowel gas accumulation and bowel dilation during gastrointestinal tube placement.
Figure 5

The abdominal CT during the second episode of bowel obstruction. (A–D) Axial scans showing gas accumulation and bowel dilation in the small intestine.
Figure 6

Small bowel decompression. Small-bowel decompression tube inserted under interventional guidance.
Discussion
Mitochondrial encephalomyopathy (ME) is a genetic metabolic disorder caused by mutations in the mitochondrial and/or nuclear DNA, leading to structural and/or functional mitochondrial dysfunction, which results in impaired cellular energy supply in multiple organs. The disease commonly manifests with symptoms affecting the brain and muscles (1, 4). MELAS is the most common type of mitochondrial encephalomyopathy. It is predominantly inherited maternally, with the peak onset age between 10 and 30 years. Onset after the age of 40 is rare, and those presenting with stroke-like episodes after this age are generally referred to as late-onset MELAS (4, 5). The most common genetic mutation in MELAS patients is the mtDNA A3243G point mutation. Stroke-like episodes are the most common initial clinical manifestation, accounting for approximately 70.53% of cases (6). Due to mitochondrial dysfunction, ATP production is reduced, leading to increased oxidative stress, lactate accumulation, and subsequent clinical symptoms such as stroke-like episodes, epilepsy, cognitive and psychiatric disorders, exercise intolerance, sensorineural hearing loss, peripheral neuropathy, gastrointestinal dysfunction, cardiomyopathy, arrhythmia, endocrine abnormalities, hirsutism, and skin abnormalities (4). Gastrointestinal dysmotility is not uncommon in MELAS; in a recent retrospective cohort, gastric dysmotility was reported in 5 of 42 (11.9%) patients meeting MELAS criteria (7). In this case, the patient’s first symptoms were stroke-like episodes accompanied by hyperlactatemia. Brain MRI showed T2 FLAIR hyperintensities in the bilateral basal ganglia, thalamus, and right putamen. Genetic testing confirmed the mtDNA A3243G mutation and the c.2878G > T heterozygous variant, leading to a diagnosis of MELAS. The mtDNA A3243G mutation is widely recognized as a key pathogenic variant in MELAS. In addition, TRPM3 is a cation channel sensitive to temperature and neurosteroids, expressed in both neuronal and non-neuronal cells. Recent studies have identified rare gain-of-function mutations in TRPM3, which lead to a spectrum of neurodevelopmental disorders, including intellectual disability, epilepsy, and cerebellar ataxia (8). Although its direct role in MELAS is not yet fully understood, it may contribute to the clinical symptoms, particularly in relation to seizures, as observed in this case. This case suggests that TRPM3 could be a potential mechanism, offering new insights to further elucidate the underlying pathology.
Due to the incomplete understanding of the pathogenesis and causative genes of mitochondrial encephalomyopathy, there is currently no specific treatment for this condition. The main approach is symptomatic treatment and supportive care, as no drug with proven efficacy has been developed so far. The progression and treatment prognosis vary depending on the subtype of the disease. Coenzyme Q10, L-carnitine, and creatine may improve mitochondrial function and muscle strength, as well as reduce blood lactate, benefiting some patients (9, 10). Furthermore, comprehensive supportive therapy, including circulatory support, metabolic regulation, and organ function protection through multidisciplinary teamwork, is essential (11). Gene therapy remains the most fundamental and promising cure, with basic strategies including (12): reducing the ratio of mutated mtDNA to wild-type mtDNA, introducing homologous genes, using heterologous and misdirected expression, and employing restriction endonucleases to repair mutated mtDNA. Specific methods include: RNA gene insertion into mitochondria, nucleic acid product insertion, and peptide insertion into mitochondria. The five commonly used techniques include: constructing mtDNA plasmids, compensatory expression of exogenous genes in mitochondria, cell fusion and mitochondrial transfer technologies, compensatory expression of mitochondrial genes, and removal of defective mitochondrial genomes (13, 14). However, these techniques are still in the research stage and have not been widely used in clinical practice, as there is no large-scale clinical data to support their efficacy (12, 15).
In addition to stroke-like episodes, acute intestinal pseudo-obstruction (AIPO) is an uncommon manifestation of mitochondrial encephalomyopathy. Intestinal pseudo-obstruction, first described by Dudley et al. (16) in 1958, is a disabling motility disorder characterized by severe symptoms and signs of intestinal obstruction, such as abdominal pain, distention, nausea, and vomiting, along with radiographic evidence of bowel dilation in the absence of any mechanical obstruction. While typically regarded as a small-bowel motility disorder, pseudo-obstruction can occur anywhere in the gastrointestinal tract. It can present as either an acute condition, such as Ogilvie syndrome, or a chronic, remitting, or persistent disorder. In cases of small bowel obstruction, the inability to administer oral medications complicates treatment. Seessle et al. (17) reported a case of a 26-year-old MELAS patient who developed acute paralytic ileus. Conservative treatments proved ineffective, but high-caloric parenteral nutrition through a central venous catheter resulted in rapid clinical improvement. Similarly, Nakae et al. (18) described a MELAS patient with chronic intestinal pseudo-obstruction (CIPO) who showed improvement after receiving distigmine bromide, which may work by targeting acetylcholine receptors on the interstitial cells of Cajal to enhance bowel motility. Kawano et al. (19) also reported a 51-year-old MELAS patient with CIPO whose symptoms, including nausea, vomiting, and abdominal distension, gradually improved following treatment with acotiamide. The mechanisms of intestinal dysmotility in MELAS may be linked to mitochondrial dysfunction affecting smooth muscle cells and the enteric nervous system, leading to impaired motility. Reduced mitochondrial ATP production and lactate accumulation, common in MELAS, may weaken the contractility of intestinal smooth muscle, contributing to intestinal pseudo-obstruction. Mitochondrial dysfunction may also affect the enteric nervous system, disrupting the regulation of gut motility (14). Our patient experienced two episodes of intestinal obstruction. The first episode occurred during a period of critical illness, with the patient being exposed to sedatives and systemic stress, which may have contributed to the development of paralytic ileus. To exclude mechanical obstruction, an abdominopelvic CT scan was performed, with careful evaluation for a transition point. The results showed diffuse small bowel dilatation with air–fluid levels but no obstructing lesion, no definite transition point, and no imaging evidence of volvulus, hernia, or mass. A surgical consultation was obtained, and it was determined that mechanical obstruction was unlikely. The patient was therefore managed as having acute intestinal pseudo-obstruction (AIPO). Despite initial conservative treatments, including total parenteral nutrition and gastrointestinal decompression, the symptoms showed limited improvement. After the neurological condition stabilized, and with the discontinuation of sedatives and analgesics, the second episode of bowel obstruction occurred, reinforcing that the condition was unlikely to be related to ICU-associated ileus. This recurrence of non-mechanical intestinal dysmotility, in the absence of persistent electrolyte imbalances or other ICU-related factors, further supports the diagnosis of MELAS-related intestinal involvement rather than a transient ICU-associated ileus. After jejunal decompression tube insertion, the symptoms improved. Therefore, early insertion of a jejunal decompression tube can be an effective treatment option when a MELAS patient presents with acute intestinal obstruction.
In conclusion, intestinal obstruction is a rare complication of MELAS. Jejunal decompression helped resolve the patient’s symptoms, underscoring the need for prompt treatment in AIPO cases in MELAS patients.
Statements
Data availability statement
The original contributions presented in the study are included in the article/supplementary material, further inquiries can be directed to the corresponding author.
Ethics statement
The requirement of ethical approval was waived by the Ethics Committee of Central Hospital Affiliated to Shandong First Medical University for the studies on humans because this manuscript presents a case report involving a human participant. According to local regulations and institutional policy, ethical review/approval was not required for publication of a single anonymized case report. Written informed consent was obtained from the patient (and/or the legal guardian) for publication of this report and any accompanying images. Identifying information has been anonymized to protect confidentiality. The studies were conducted in accordance with the local legislation and institutional requirements. Written informed consent for participation was not required from the participants or the participants’ legal guardians/next of kin in accordance with the national legislation and institutional requirements. The human samples used in this study were acquired from The patient’s blood specimen has been obtained with the patient’s own consent. Written informed consent was obtained from the individual(s) for the publication of any potentially identifiable images or data included in this article.
Author contributions
QinL: Writing – original draft. LY: Funding acquisition, Resources, Software, Writing – review & editing. PL: Writing – review & editing. XW: Writing – review & editing. KP: Writing – review & editing. QiL: Writing – review & editing. KZ: Conceptualization, Data curation, Formal analysis, Project administration, Writing – review & editing.
Funding
The author(s) declared that financial support was not received for this work and/or its publication.
Conflict of interest
The author(s) declared that this work was conducted in the absence of any commercial or financial relationships that could be construed as a potential conflict of interest.
Generative AI statement
The author(s) declared that Generative AI was not used in the creation of this manuscript.
Any alternative text (alt text) provided alongside figures in this article has been generated by Frontiers with the support of artificial intelligence and reasonable efforts have been made to ensure accuracy, including review by the authors wherever possible. If you identify any issues, please contact us.
Publisher’s note
All claims expressed in this article are solely those of the authors and do not necessarily represent those of their affiliated organizations, or those of the publisher, the editors and the reviewers. Any product that may be evaluated in this article, or claim that may be made by its manufacturer, is not guaranteed or endorsed by the publisher.
Abbreviations
MELAS, Mitochondrial Encephalomyopathy with Lactic Acidosis and Stroke-like Episodes; CT, Computed Tomography; MRI, Magnetic Resonance Imaging; DWI, Diffusion Weighted Imaging; ME, Mitochondrial encephalomyopathy; AIPO, Acute Intestinal Pseudo Obstruction.
References
1.
Liu JY Koenig MK Riggs-Harpur K Numan MT . Mitochondrial encephalomyopathy, lactic acidosis, and stroke-like episodes (MELAS) patients with m.3243A > G have high prevalence of Wolff-Parkinson-white syndrome. Pediatr Cardiol. (2025). doi: 10.1007/s00246-025-03985-4
2.
Liao Y Xu D Li L . A case of mitochondrial encephalomyopathy remarkable presenting with refractory shock. Zhong Nan Da Xue Xue Bao Yi Xue Ban. (2025) 50:511–6. doi: 10.11817/j.issn.1672-7347.2025.240250,
3.
Miyanaga R Tanaka M Nonaka T Shizukawa H Shimohama S . A case of mitochondrial myopathy, encephalopathy, lactic acidosis, and stroke-like episodes (MELAS) complicated by chronic intestinal pseudo-obstruction. Rinsho Shinkeigaku. (2022) 62:464–8. doi: 10.5692/clinicalneurol.cn-001694,
4.
Xu S Qu LJ Chen X Zhu XL Niu FN . Clinical, imaging, and pathological characteristics of 35 cases of mitochondrial encephalomyopathy, lactic acidosis, and stroke-like episodes syndrome. Zhonghua Nei Ke Za Zhi. (2024) 63:674–9. doi: 10.3760/cma.j.cn112138-20231227-00411,
5.
Yang X Fu LJ . Familial mitochondrial encephalomyopathy, lactic acidosis, and stroke-like episode syndrome: three case reports. World J Clin Cases. (2022) 10:9945–53. doi: 10.12998/wjcc.v10.i27.9945,
6.
Wang JW Yuan XB Chen HF . Late-onset mitochondrial encephalomyopathy with lactic acidosis and stroke-like episodes syndrome with mitochondrial DNA 3243A>G mutation masquerading as autoimmune encephalitis: a case report. World J Clin Cases. (2023) 11:3275–81. doi: 10.12998/wjcc.v11.i14.3275,
7.
Cox BC Pearson JY Mandrekar J Gavrilova RH . The clinical spectrum of MELAS and associated disorders across ages: a retrospective cohort study. Front Neurol. (2023) 14:1298569. doi: 10.3389/fneur.2023.1298569,
8.
Burglen L Van Hoeymissen E Qebibo L Barth M Belnap N Boschann F et al . Gain-of-function variants in the ion channel gene TRPM3 underlie a spectrum of neurodevelopmental disorders. eLife. (2023) 12. doi: 10.7554/eLife.81032,
9.
Bai P Feng Y Chen J Chang H . Diffuse posterior leukoencephalopathy in MELAS without stroke-like episodes: a case report. Medicine. (2023) 102:e33725. doi: 10.1097/MD.0000000000033725,
10.
Tong HF Lee HH Tong TT Lam SF Sheng B Chan KW et al . Neurological manifestations in m.3243A>G-related disease triggered by metformin. J Diabetes Complicat. (2022) 36:108111. doi: 10.1016/j.jdiacomp.2021.108111,
11.
Endres D Süß P Maier SJ Friedel E Nickel K Ziegler C et al . New variant of MELAS syndrome with executive dysfunction, Heteroplasmic point mutation in the MT-ND4 gene (m.12015T>C; p.Leu419Pro) and comorbid Polyglandular autoimmune syndrome type 2. Front Immunol. (2019) 10:412. doi: 10.3389/fimmu.2019.00412
12.
Tetsuka S Ogawa T Hashimoto R Kato H . Clinical features, pathogenesis, and management of stroke-like episodes due to MELAS. Metab Brain Dis. (2021) 36:2181–93. doi: 10.1007/s11011-021-00772-x,
13.
Kawano S Saegusa C Masano Y Becker F Nakamura M Shiozawa S et al . Modeling mitochondrial disease using brain organoids: a focus on mitochondrial encephalomyopathy, lactic acidosis, and stroke-like episodes. J Vis Exp. (2025) 224. doi: 10.3791/69303
14.
Radelfahr F Klopstock T . Diagnostic and therapeutic approaches for mitochondrial diseases. Fortschr Neurol Psychiatr. (2018) 86:584–91. doi: 10.1055/a-0621-9255,
15.
Kuno T Imaeda S Asakawa Y Nakamura H Takemura G Asahara D et al . Mitochondrial cardiomyopathy presenting as dilated phase of hypertrophic cardiomyopathy diagnosed with histological and genetic analyses. Case Rep Cardiol. (2017) 2017:9473917. doi: 10.1155/2017/9473917,
16.
Dudley HA Sinclair IS Mc LI Mc NT Newsam JE . Intestinal pseudo-obstruction. J R Coll Surg Edinb. (1958) 3:206–17.
17.
Seessle J Stremmel W Ebinger F Merle U . An unusual case of paralytic ileus. Z Gastroenterol. (2012) 50:1161–5. doi: 10.1055/s-0032-1313125,
18.
Nakae Y Kishida H Hakii Y Koyano S Suzuki Y Kuroiwa Y . Distigmine bromide improves chronic intestinal pseudo-obstruction in a case of MELAS. Rinsho Shinkeigaku. (2007) 47:177–9.
19.
Kawano Y Taniguchi A Narita Y Kagawa K Harada T Shindo A . Effective Management of Chronic Intestinal Pseudo-Obstruction in MELAS using Acotiamide: a case report. Case Rep Neurol. (2024) 16:288–93. doi: 10.1159/000541012,
Summary
Keywords
acute intestinal pseudo-obstruction, case report, jejunal decompression, MELAS, mitochondrial encephalomyopathy
Citation
Liu Q, Yang L, Liu P, Wang X, Peng K, Liu Q and Zhang K (2026) A case of delayed acute intestinal pseudo-obstruction after MELAS crisis in mitochondrial encephalomyopathy with lactic acidosis and stroke-like episodes. Front. Med. 13:1760790. doi: 10.3389/fmed.2026.1760790
Received
04 December 2025
Revised
31 December 2025
Accepted
02 January 2026
Published
15 January 2026
Volume
13 - 2026
Edited by
Celia Harumi Tengan, Federal University of São Paulo, Brazil
Reviewed by
Akihiko Mitsutake, National Human Genome Research Institute (NIH), United States
Benjamin Cox, University of Alabama at Birmingham, United States
Updates
Copyright
© 2026 Liu, Yang, Liu, Wang, Peng, Liu and Zhang.
This is an open-access article distributed under the terms of the Creative Commons Attribution License (CC BY). The use, distribution or reproduction in other forums is permitted, provided the original author(s) and the copyright owner(s) are credited and that the original publication in this journal is cited, in accordance with accepted academic practice. No use, distribution or reproduction is permitted which does not comply with these terms.
*Correspondence: Kun Zhang, zqzk1017@163.com
Disclaimer
All claims expressed in this article are solely those of the authors and do not necessarily represent those of their affiliated organizations, or those of the publisher, the editors and the reviewers. Any product that may be evaluated in this article or claim that may be made by its manufacturer is not guaranteed or endorsed by the publisher.