ORIGINAL RESEARCH article
Front. Mol. Biosci.
Sec. Molecular Diagnostics and Therapeutics
This article is part of the Research TopicDrug target discovery and exploitation in Intracellular ParasitesView all 3 articles
Advancing Trypanosoma cruzi N-Myristoyltransferase as a Drug Target for Chagas Disease through In Silico Discovery and Biochemical Evaluation
Provisionally accepted- 1The University of Texas at El Paso, El Paso, United States
- 2Universidad Nacional de la Plata Facultad de Ciencias Exactas, La Plata, Argentina
Select one of your emails
You have multiple emails registered with Frontiers:
Notify me on publication
Please enter your email address:
If you already have an account, please login
You don't have a Frontiers account ? You can register here
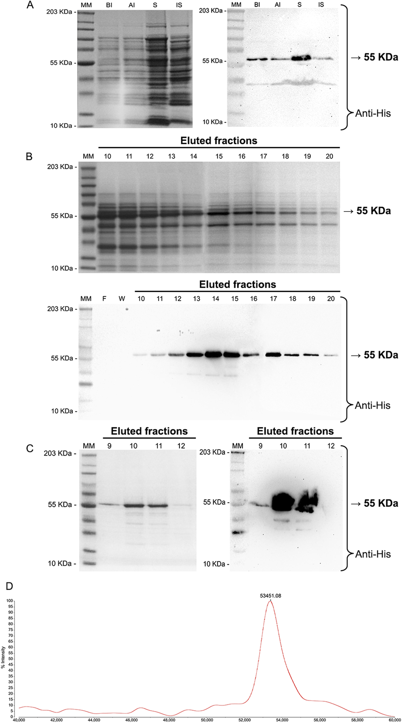
N-myristoylation is a crucial lipid modification that governs protein localization, intracellular trafficking, and function in eukaryotic cells. The enzyme N-myristoyltransferase (NMT), which catalyzes this modification, has emerged as an attractive drug target for parasitic diseases. In this study, we performed a comprehensive biochemical and antiparasitic evaluation of Trypanosoma cruzi NMT (TcNMT), utilizing novel "in silico–identified inhibitors" to assess its potential as a therapeutic agent for Chagas disease. Recombinant TcNMT was successfully cloned, expressed, and purified. Enzymatic activity was confirmed using a fluorescence-based assay, which demonstrated high affinity for peptide substrates. Four candidate inhibitors were assessed for their ability to inhibit TcNMT, their cytotoxicity in host cells, and their antiparasitic activity in T. cruzi–infected human cardiomyocytes. Among the candidates, QUINE emerged as the most favorable drug lead. Although it exhibited moderate antiproliferative activity against the parasite, it showed remarkably low toxicity in human cardiomyocytes, resulting in a high selectivity index (SI=28.11), indicative of a wide therapeutic window. In contrast, the reference inhibitor DDD85646 demonstrated higher antiparasitic potency but a substantially lower selectivity index (SI=4.67), reflecting greater host toxicity. Proteomic analysis of T. cruzi myristoylated proteins from amastigotes and trypomastigotes treated with DDD85646 revealed stage-specific downregulation, including ARF GTPases and enzymes involved in lipid metabolism. These findings suggest widespread disruption of vesicular trafficking, signal transduction, and membrane biosynthesis pathways. Notably, host cell proteomes remained largely unaffected, underscoring the selective mechanism of NMT inhibition in the parasite.
Keywords: Chagas Disease, Trypanosoma cruzi, inhibition, N-myristoyl-transferase, Drug Targets
Received: 15 Jul 2025; Accepted: 31 Oct 2025.
Copyright: © 2025 Gonzalez-Garcia, Torres, Talevi, Alberca, Beltran, Lara, da Silva Ferreira, Silva Grijó Farani, Almeida and Maldonado. This is an open-access article distributed under the terms of the Creative Commons Attribution License (CC BY). The use, distribution or reproduction in other forums is permitted, provided the original author(s) or licensor are credited and that the original publication in this journal is cited, in accordance with accepted academic practice. No use, distribution or reproduction is permitted which does not comply with these terms.
* Correspondence: Rosa Amelia Maldonado, ramaldonado@utep.edu
Disclaimer: All claims expressed in this article are solely those of the authors and do not necessarily represent those of their affiliated organizations, or those of the publisher, the editors and the reviewers. Any product that may be evaluated in this article or claim that may be made by its manufacturer is not guaranteed or endorsed by the publisher.
