ORIGINAL RESEARCH article
Front. Bioeng. Biotechnol.
Sec. Nanobiotechnology
This article is part of the Research TopicModels, methods, and tools for improved mechanistic understanding in nanotoxicologyView all 5 articles
Toxicity Evaluation of Laser-Synthesized Pro-Angiogenic Carbon Monoxide-Rich Gold Nanoparticles in vitro and in vivo
Provisionally accepted- 1Oswaldo Cruz Foundation (Fiocruz), Rio de Janeiro, Rio de Janeiro, Brazil
- 2Pontifical Catholic University of Rio de Janeiro, Rio de Janeiro, Brazil
- 3Inmetro, Rio de Janeiro, Rio de Janeiro, Brazil
- 4Rio de Janeiro State Federal University, Rio de Janeiro, Rio de Janeiro, Brazil
Select one of your emails
You have multiple emails registered with Frontiers:
Notify me on publication
Please enter your email address:
If you already have an account, please login
You don't have a Frontiers account ? You can register here
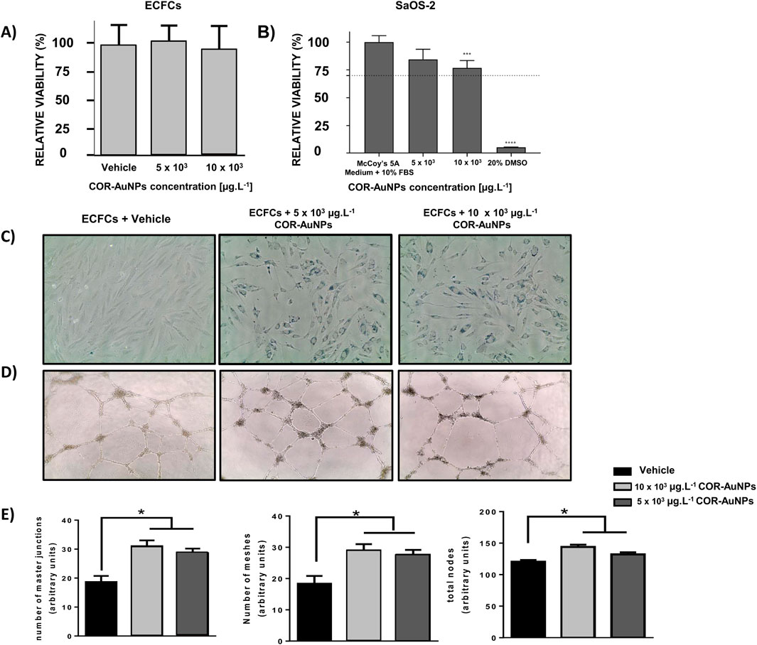
The safety profile of gold nanoparticles remains a concern and depends on on dose, size, surface chemistry and charge. This study evaluated through in vitro and in vivo methods the cytotoxicity, oxidative stress and genotoxicity of lasersynthesized carbon monoxide-Rich Gold Nanoparticles (COR-AuNPs), which can strongly promote angiogenesis in endothelial colonyforming cells (ECFC). Methods: COR-AuNPs were synthesized by pulsed laser driven CO2 reduction reaction, and stabilized for culturemedia with the addition of the copolymer Pluronic-F127 (PF127). The fresh synthetized nanoparticles where characterized for size and morphology. Their stability was investigated in both culture media and the water aquarium environment. In vitro Cytotoxicity was assessed using the MTS assay on SaOS-2 cells and trypan blue staining in ECFCs at concentrations of 5 and 10 x 10 3 μg.L -1 . Zebrafish were exposed to a maximum concentration of 75 μg.L⁻¹ of COR-AuNPs for 96 hours.Oxidative stress biomarkers were assessed in liver and brain tissues, while genotoxicity was evaluated using the comet assay. The analyzedbiomarkers included superoxide dismutase, catalase, reduced glutathione, total antioxidant capacity, carbonylated protein, andmalondialdehyde.The PF127 stabilized COR-AuNPs are stable in the zebrafish aquarium water for six weeks and don't presentprecipitation in the culture media. A strong pro-angiogenic activity is expressed by the ECFC cells enriched with the COR-AuNPs at a minimalconcentration of 5 x 10 3 μg/L -1 . The CO release is not immediate in the culture medium, suggesting that the COR-AuNPs are characterizedby an intracellular release. No significant cytotoxicity was observed in both ECFC or SaOS-2 cells, and most oxidative stress biomarkersshowed no significant effects in zebrafish. However, reduced glutathione levels decreased significantly in the brain at concentrations between10 and 35 μg.L⁻¹, probably due to the interaction with the metallic surface of the nanoparticles, while in the liver they increased significantly following exposure to COR-AuNPs at concentrations between 20 and 75 μg.L⁻¹. No genotoxic effects were detected in zebrafish. Conclusion:COR-AuNPs can trigger enhanced capillary morphogenesis in ECFCs, showing minimal cytotoxicity, oxidative stress, and genotoxicity at sublethal concentration, supporting their safety for potential applications in regenerative therapies.
Keywords: 10.820 nanotoxicology, Zebrafish, ECFC, Angiogenesis, Carbon monoxide-rich gold nanoparticles 1
Received: 16 Mar 2025; Accepted: 25 Sep 2025.
Copyright: © 2025 Gomes Araujo, Concas, Gisbert, Araujo, Boldrini Pereira, Corrêa Maduro, Soares, Sales Junior, Cunha, Correia, Del Rosso and Saggioro. This is an open-access article distributed under the terms of the Creative Commons Attribution License (CC BY). The use, distribution or reproduction in other forums is permitted, provided the original author(s) or licensor are credited and that the original publication in this journal is cited, in accordance with accepted academic practice. No use, distribution or reproduction is permitted which does not comply with these terms.
* Correspondence:
Tommaso Del Rosso, delrosso.frontiers@gmail.com
Enrico Saggioro, enrico.saggioro@fiocruz.br
Disclaimer: All claims expressed in this article are solely those of the authors and do not necessarily represent those of their affiliated organizations, or those of the publisher, the editors and the reviewers. Any product that may be evaluated in this article or claim that may be made by its manufacturer is not guaranteed or endorsed by the publisher.
