ORIGINAL RESEARCH article
Front. Bioeng. Biotechnol.
Sec. Nanobiotechnology
Volume 13 - 2025 | doi: 10.3389/fbioe.2025.1615863
Magnetic Drug-Loaded Microbubbles for Treating Lower Limb Venous Thrombosis under Controllable Rotating Magnetic Field
Provisionally accepted- 1Guangdong Provincial Key Laboratory of Structural Heart Disease, Guangzhou Institute of Cardiovascular Disease, Guangzhou, Guangdong, China
- 2School of Materials Science and Engineering, South China University of Technology, Guangzhou, Guangdong Province, China
- 3Department of Pediatrics, Nanfang Hospital, Southern Medical University, Guangzhou, Guangdong, China
- 4Department of Cardiac Surgery, Guangdong Cardiovascular Institute, Guangdong Provincial People’s Hospital, Guangdong Academy of Medical Sciences, Guangzhou, China
Select one of your emails
You have multiple emails registered with Frontiers:
Notify me on publication
Please enter your email address:
If you already have an account, please login
You don't have a Frontiers account ? You can register here
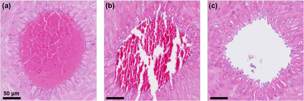
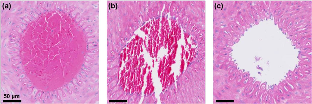
Objective: This study aimed to develop a poly(lactic-co-glycolic acid) (PLGA)-based magnetic loaded iron oxide (Fe3O4) and single-chain urokinase-type plasminogen activator (proUK) for enhancing thrombolysis under a controlled rotating magnetic field, specifically targeting acute lower limb venous thrombosis. Background: Acute thrombotic disorders are significant health threats, however, the exploration of magnetic actuation as a treatment for acute thrombosis has been limited. Methods: Magnetic microbubbles were prepared using a double emulsion method, loaded with Fe3O4 nanoparticles and proUK. The microbubble characteristics were analyzed through chemical, physical, and biological related technologies. Results: Fe3O4 nanoparticle loading was confirmed by X-ray diffraction, and the encapsulation efficiency of the magnetic microbubbles was determined using an ELISA kit and colorimetric assay, reaching a maximum of 56.65% at a proUK concentration of 7.5 mg/mL. Thrombolysis efficiency was significantly enhanced under a rotating magnetic field of 1.5 mT and 6 Hz frequency, achieving up to 25% lysis rate in vitro, markedly higher than control conditions. Furthermore, in vivo experiments using a rabbit model of hindlimb venous thrombosis validated the efficacy of this approach, with Color Doppler Flow Imaging showing restored blood flow and elevated D-dimer levels indicating effective thrombus dissolution. Conclusion: This novel magnetic drug delivery system, combined with a rotating magnetic field, demonstrates excellent thrombolysis efficiency and presents a promising and safe therapeutic strategy for acute venous thrombosis.
Keywords: poly(lactic-co-glycolic acid) microbubbles, Magnetic drug delivery, rotatingmagnetic field, thrombolysis, single-chain urokinase-type plasminogen activator (proUK), acute lower limb venous thrombosis
Received: 20 May 2025; Accepted: 20 Oct 2025.
Copyright: © 2025 Huang, Liu, Xu, Cao, Huang, Fei and Huang. This is an open-access article distributed under the terms of the Creative Commons Attribution License (CC BY). The use, distribution or reproduction in other forums is permitted, provided the original author(s) or licensor are credited and that the original publication in this journal is cited, in accordance with accepted academic practice. No use, distribution or reproduction is permitted which does not comply with these terms.
* Correspondence:
Yu-Ming Huang, xxhuangyuming@163.com
Hongwen Fei, feihongwen@gdph.org.cn
Yue-Shan Huang, bmbyshan@scut.edu.cn
Disclaimer: All claims expressed in this article are solely those of the authors and do not necessarily represent those of their affiliated organizations, or those of the publisher, the editors and the reviewers. Any product that may be evaluated in this article or claim that may be made by its manufacturer is not guaranteed or endorsed by the publisher.
