ORIGINAL RESEARCH article
Front. Bioeng. Biotechnol.
Sec. Tissue Engineering and Regenerative Medicine
Allogenic Achilles Tendon-Bone Grafts Enable More Complete Restoration of the Native Direct Enthesis Structure in the Repair of Chronic Massive Rotator Cuff Tears
Provisionally accepted- Peking University Third Hospital, Haidian, China
 
Select one of your emails
You have multiple emails registered with Frontiers:
Notify me on publication
Please enter your email address:
If you already have an account, please login
You don't have a Frontiers account ? You can register here
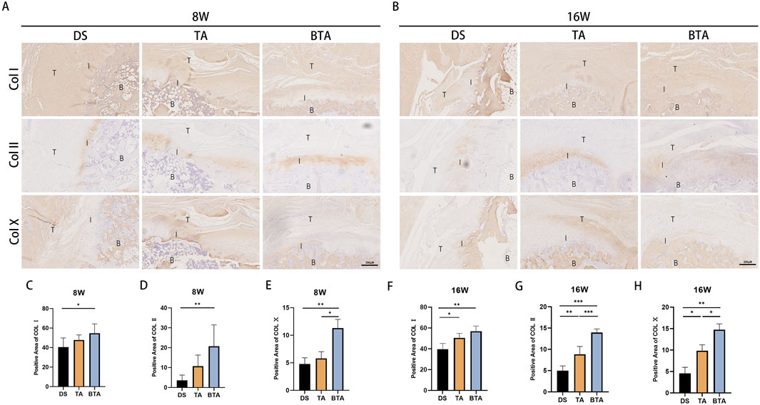
Massive irreparable rotator cuff tears are difficult to repair when tendon quality is poor, and retraction prevents complete repair. Tendon allograft bridging can restore continuity but cannot replicate the native tendon–bone interface. This study evaluated an Achilles tendon–bone block allograft (BTA) for anatomic tendon–bone interface reconstruction in a chronic massive rotator cuff tear rabbit model. Thirty-six rabbits underwent bilateral infraspinatus tendon detachment, followed by repair at three weeks using direct suture (DS), tendon allograft without bone block (TA), or BTA. At 8 and 16 weeks, MRI assessed tendon maturation (signal-to-noise quotient, SNQ), micro-CT measured bone volume fraction (BV/TV), and histology, immunohistochemistry (COL I, II, X), and biomechanical testing evaluated healing. BTA showed superior tendon continuity, significantly lower SNQ, and higher BV/TV than DS and TA (p<0.05) at both time points. Histology demonstrated denser collagen fibers, greater fibrocartilage formation, and complete bone–bone fusion in BTA. Immunohistochemistry revealed higher COL II and COL X expression, indicating advanced fibrocartilage maturation and mineralization. At 16 weeks, BTA achieved the highest ultimate load to failure (113.45±14.45 N) and stiffness (19.65±3.41 N/mm), exceeding TA and DS (p<0.05). These results indicate that Achilles tendon–bone block allograft bridging effectively reconstructs the layered tendon-bone interface, promotes osteointegration and fibrocartilage regeneration, and enhances biomechanical strength, supporting its potential as a translational option for functional enthesis reconstruction in massive rotator cuff tear repair.
Keywords: Massive rotator cuff tears, Rotator cuff repair, tendon-to-bone healing, allograft, Bridge repair
Received: 13 Aug 2025; Accepted: 03 Nov 2025.
Copyright: © 2025 Zhao, Fu, Zhang, Lin, Mei, Yin, Wang and Yan. This is an open-access article distributed under the terms of the Creative Commons Attribution License (CC BY). The use, distribution or reproduction in other forums is permitted, provided the original author(s) or licensor are credited and that the original publication in this journal is cited, in accordance with accepted academic practice. No use, distribution or reproduction is permitted which does not comply with these terms.
* Correspondence: 
Jian-quan  Wang, wjqsportsmed@163.com
Hui  Yan, yanhui@puh3.net.cn
Disclaimer: All claims expressed in this article are solely those of the authors and do not necessarily represent those of their affiliated organizations, or those of the publisher, the editors and the reviewers. Any product that may be evaluated in this article or claim that may be made by its manufacturer is not guaranteed or endorsed by the publisher.
