ORIGINAL RESEARCH article
Front. Bioeng. Biotechnol.
Sec. Biomaterials
Implants as anchorage for the correction of localized dental malocclusion: a retrospective clinical study
Provisionally accepted- 1Jinan University School of Stomatology, Guangzhou, China
- 2Jinan University, Guangzhou, China
- 3School of Stomatology, Jinan University, Guangzhou, China
Select one of your emails
You have multiple emails registered with Frontiers:
Notify me on publication
Please enter your email address:
If you already have an account, please login
You don't have a Frontiers account ? You can register here
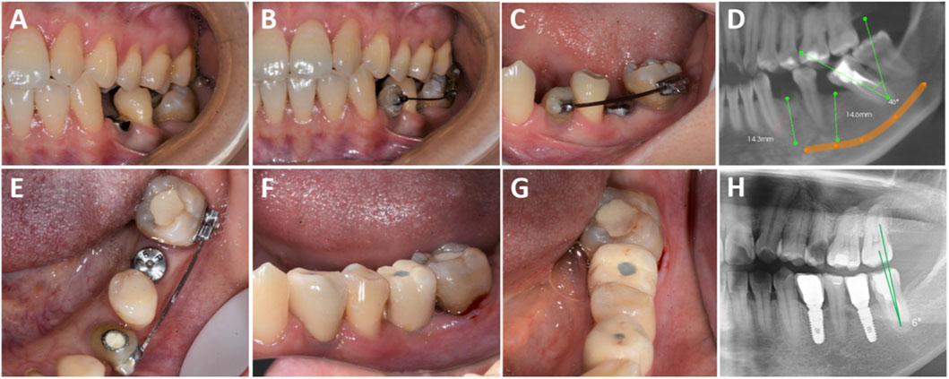
Abstract Background Tooth loss accompanied by adjacent tooth inclination or rotation presents a biomechanical challenge in combined orthodontic–implant rehabilitation. Whether "implant-first anchorage" provides superior clinical efficiency and biological benefits compared with the conventional "orthodontics-first then implant" pathway remains uncertain. Methods A retrospective cohort study was conducted based on cases treated between January 2019 and December 2024 by the Departments of Implantology and Orthodontics at the Affiliated Stomatological Hospital of Jinan University. Patients with partial edentulism and localized malalignment were allocated into two cohorts according to the actual treatment pathway received: implant-first (n=20) versus orthodontics-first (n=20). Clinical data were extracted from medical records and radiographs. Primary outcomes included treatment duration, cost, and patient-reported satisfaction (VAS). Secondary outcomes comprised periodontal parameters (mPLI, SBI, PD), adjacent tooth inclination, alveolar crest height, and number of visits. Results Compared with the orthodontics-first cohort, the implant-first cohort showed a markedly shorter time for local alignment (5.00±1.25 vs 11.78±2.35 months, P<0.001), lower overall cost (3000.00±0.00 vs 6100.00±680.56 RMB, P<0.001), fewer visits (8.20±1.32 vs 15.10±2.49, P<0.001), and higher satisfaction (8.05±1.32 vs 6.10±1.68, P<0.001). Periodontal metrics were consistently more favorable in the implant-first cohort (mPLI 1.20±0.36 vs 3.05±0.50; SBI 0.96±0.46 vs 1.89±0.39; PD 2.09±0.37 vs 2.67±0.33; all P<0.01). Changes in adjacent tooth inclination and space
Keywords: Dental Implants, Orthodontic Anchorage Procedures, Malocclusion, treatment outcome, Tooth movement techniques
Received: 11 Sep 2025; Accepted: 25 Nov 2025.
Copyright: © 2025 Hu, Zeng, Zhang, Lai, Liang, Chen, Huang and Guo. This is an open-access article distributed under the terms of the Creative Commons Attribution License (CC BY). The use, distribution or reproduction in other forums is permitted, provided the original author(s) or licensor are credited and that the original publication in this journal is cited, in accordance with accepted academic practice. No use, distribution or reproduction is permitted which does not comply with these terms.
* Correspondence: Guan-Sheng Guo
Disclaimer: All claims expressed in this article are solely those of the authors and do not necessarily represent those of their affiliated organizations, or those of the publisher, the editors and the reviewers. Any product that may be evaluated in this article or claim that may be made by its manufacturer is not guaranteed or endorsed by the publisher.
