ORIGINAL RESEARCH article
Front. Cardiovasc. Med.
Sec. Cardioneurology
Prospective Evaluation of Spinal Cord Stimulation in Refractory Angina: Insights from a Single-Center Cohort
Provisionally accepted- 1Almazov National Medical Research Centre, Saint Petersburg, Russia
- 2Nacional'nyj issledovatel'skij universitet ITMO, Saint Petersburg, Russia
Select one of your emails
You have multiple emails registered with Frontiers:
Notify me on publication
Please enter your email address:
If you already have an account, please login
You don't have a Frontiers account ? You can register here
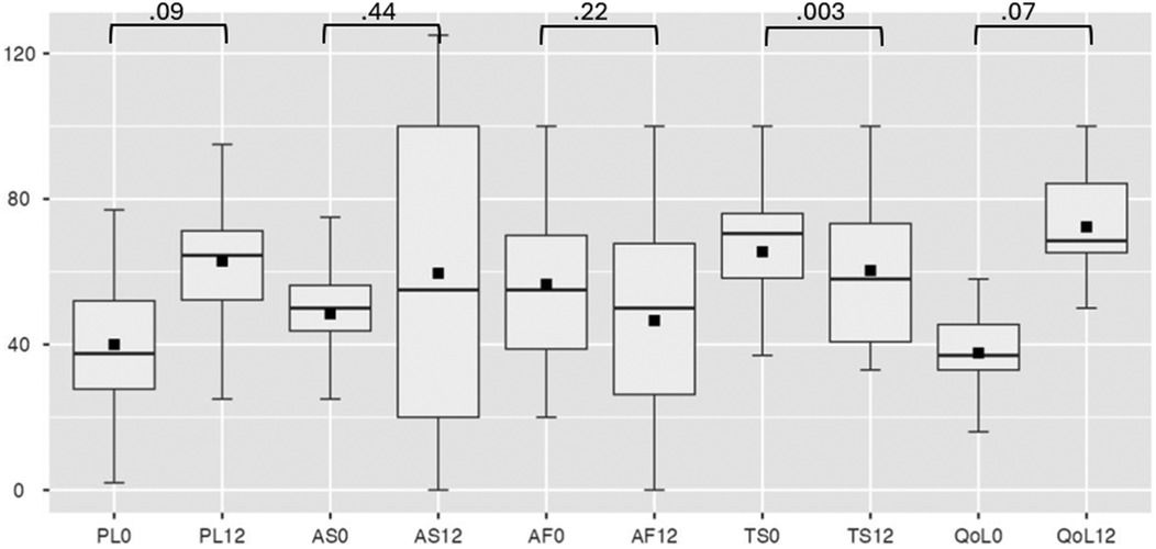
Background: Refractory angina pectoris represents a significant clinical challenge characterized by persistent chest pain despite maximally tolerated medical therapy and optimal revascularization attempts. This study evaluates the efficacy and safety of invasive spinal cord stimulation (SCS) in patients with refractory angina. Methods: Twenty-one patients underwent neurostimulation system implantation between 2022 and 2023 (mean age 62.8±7, 12 males) diagnosed with refractory angina. All patients received both chronic continuous stimulation and on-demand stimulation to alleviate anginal pain episodes. The primary endpoint was changes in the Seattle Angina Questionnaire (SAQ-19) scores. Secondary endpoints included changes in the Short Form Health Survey (SF-36), incidence of major adverse cardiovascular events, device-related complications, and nitrate use. Results: Eighteen patients completed the final follow-up. No statistically significant improvements were observed in any SAQ-19 domains. However, reductions in pain scores (41% vs. 53%, p=0.007) and improvements in mental health scores (61% vs 72%, p=0.021) and physical functionating (36 vs 52%, p = 0.017) were noted on the SF-36. Device extraction occurred in three cases (14%) - two due to pocket infection and one at the patient's request. Four lead repositioning procedures were performed (19%). Hospitalization rates significantly decreased over the one-year observation period, from 3.8 to 0.5 hospitalizations per patient (p=0.03). Recurrent acute coronary syndrome was noted in one patient, requiring additional coronary stentings. Notably, although no significant reduction in nitrate therapy was achieved, the treatment regimen prevented any new nitrate prescriptions during the study period. Conclusion: SCS did not significantly improve the primary endpoint of disease-specific quality of life (SAQ-19). However, treatment was associated with secondary benefits, including improvements in physical functionating, pain and mental health (SF-36) and a significant reduction in hospitalization rates. Complication rates were significant.
Keywords: Coronary Artery Disease, Refractory angina, Neuromodulation, Spinal Cord Stimulation, efficacy, Safety, nitrate use, decision tree
Received: 07 Aug 2025; Accepted: 14 Nov 2025.
Copyright: © 2025 Gasimova, Paltsev, Zayachkovskiy, Nezdorovina, Nezdorovin, Bortsova, Osipova, Remizov, Leandro, Vatian, Lebedev and Mikhaylov. This is an open-access article distributed under the terms of the Creative Commons Attribution License (CC BY). The use, distribution or reproduction in other forums is permitted, provided the original author(s) or licensor are credited and that the original publication in this journal is cited, in accordance with accepted academic practice. No use, distribution or reproduction is permitted which does not comply with these terms.
* Correspondence: Nigar Gasimova, nigarzakariyya@gmail.com
Disclaimer: All claims expressed in this article are solely those of the authors and do not necessarily represent those of their affiliated organizations, or those of the publisher, the editors and the reviewers. Any product that may be evaluated in this article or claim that may be made by its manufacturer is not guaranteed or endorsed by the publisher.
