ORIGINAL RESEARCH article
Front. Cardiovasc. Med.
Sec. Atherosclerosis and Vascular Medicine
Prognostic Value of Diabetes Mellitus for Acute Type B Intramural Hematoma Patients Undergoing Endovascular Repair
Provisionally accepted- 1Guangdong Provincial People's Hospital, Guangzhou, China
- 2Harrison International Peace Hospital, Hengshui, China
Select one of your emails
You have multiple emails registered with Frontiers:
Notify me on publication
Please enter your email address:
If you already have an account, please login
You don't have a Frontiers account ? You can register here
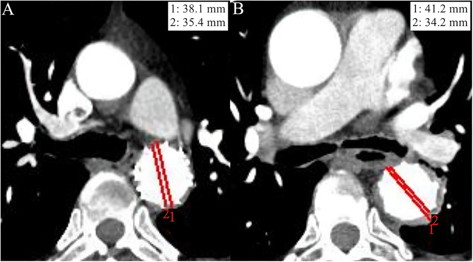
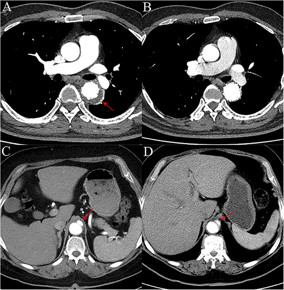
Objective: Thoracic endovascular aortic repair (TEVAR) is increasingly performed in patients with acute type B intramural hematoma (IMH). This study aimed to evaluate the effect of diabetes mellitus (DM) on postoperative clinical outcomes and aortic remodeling degree of acute type B IMH patients undergoing endovascular repair. Methods: We retrospectively identified patients diagnosed with acute type B IMH at two medical centers between January 2017 and January 2024. Study subjects were divided into DM and none DM (nDM) groups. Baseline characteristics, procedure details, and postoperative outcomes were extracted for further analysis. Results: Forty-four patients were included in the study and were divided into DM (n=12) and nDM groups (n=32). Preoperative demographic characteristics, laboratory biomarkers, and imaging data were similar between the two groups. Compared with nDM group, the DM group presented a slightly higher rate of patients without postoperative major adverse events (MAE) (75.0% vs 68.8%, p = 0.651). At the 1-year follow-up, the DM group exhibited a significantly higher degree of aortic remodeling, as assessed by the TAD/TLD ratio (total aortic diameter [TAD] divided by the true lumen diameter [TLD] at the maximal IMH thickness) (DM group: 1.09 ± 0.04; nDM group: 1.17 ± 0.10, p = 0.032). Cox multivariate regression revealed that a TAD/TLD ratio > 1.32 increased the incidence of postoperative MAE significantly. Conclusions: DM is positively associated with the prognosis of patients with acute type B IMH undergoing TEVAR and promotes postoperative aortic remodeling. Moreover, a TAD/TLD ratio > 1.32 independently predicts the incidence of
Keywords: Intramural hematoma, Stanford type B, Diabetes Mellitus, TEVAR, Aortic remodeling, Major adverse events
Received: 11 Aug 2025; Accepted: 14 Nov 2025.
Copyright: © 2025 YU, Miao, Wang and Xian. This is an open-access article distributed under the terms of the Creative Commons Attribution License (CC BY). The use, distribution or reproduction in other forums is permitted, provided the original author(s) or licensor are credited and that the original publication in this journal is cited, in accordance with accepted academic practice. No use, distribution or reproduction is permitted which does not comply with these terms.
* Correspondence: Bin Wang, hiphwb@163.com
Disclaimer: All claims expressed in this article are solely those of the authors and do not necessarily represent those of their affiliated organizations, or those of the publisher, the editors and the reviewers. Any product that may be evaluated in this article or claim that may be made by its manufacturer is not guaranteed or endorsed by the publisher.
