CASE REPORT article
Front. Cardiovasc. Med.
Sec. Structural Interventional Cardiology
This article is part of the Research TopicRedefining Cardiovascular Care: Innovations and Challenges in Minimally Invasive and Transcatheter InterventionsView all articles
Patent Foramen Ovale as a Rare Cause of Sudden Refractory Hypoxemia: a case report
Provisionally accepted- University of Maryland Medical Center, Baltimore, United States
Select one of your emails
You have multiple emails registered with Frontiers:
Notify me on publication
Please enter your email address:
If you already have an account, please login
You don't have a Frontiers account ? You can register here
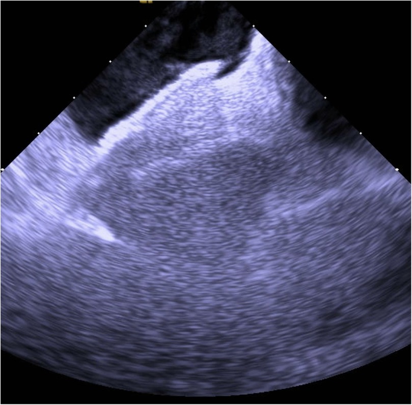
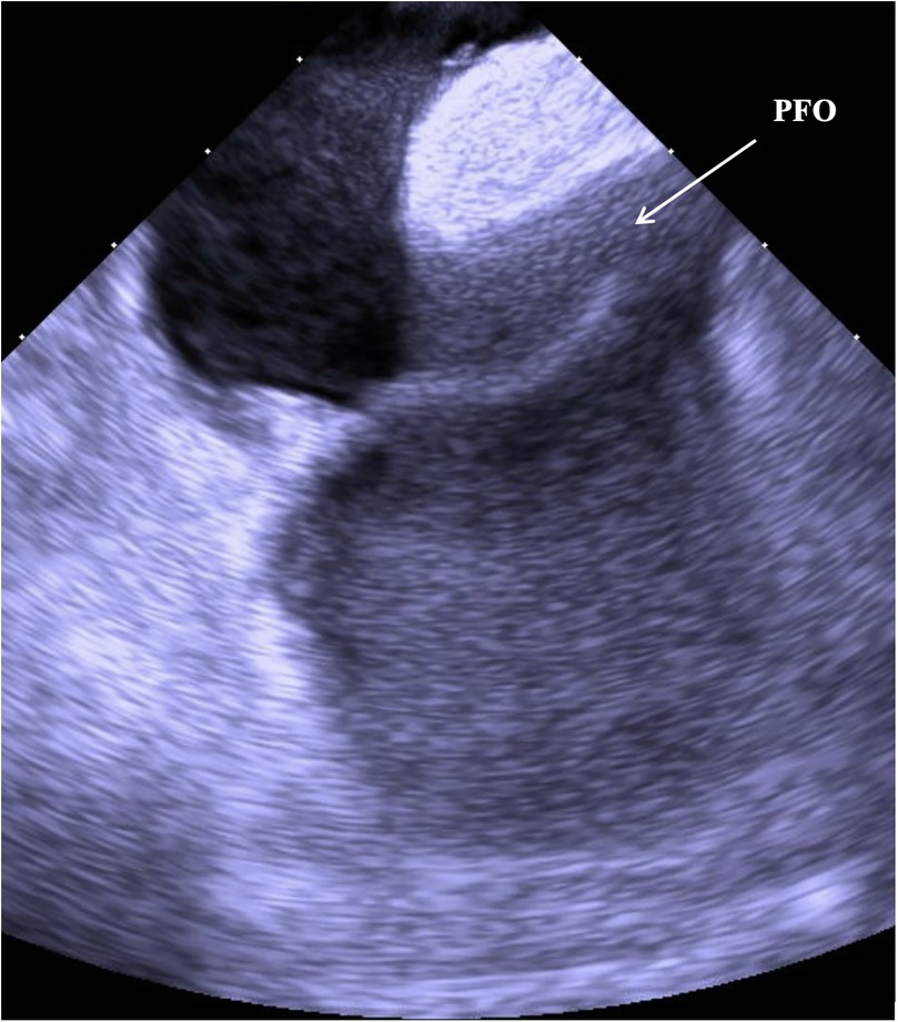
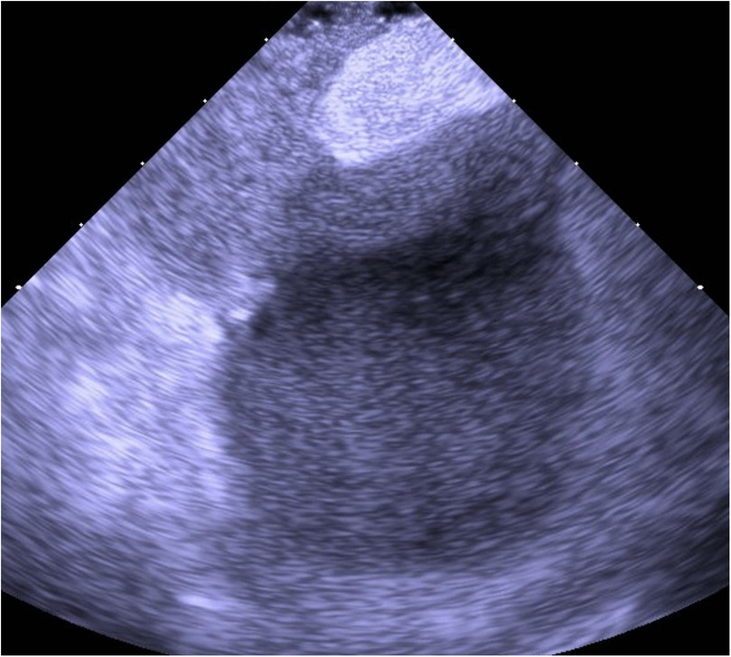
An 80-year-old man presented with progressive dyspnea and severe hypoxemia refractory to high-flow oxygen therapy, ultimately found to have a large persistent patent foramen ovale (PFO) mediated right-to-left-shunt (RTLS). The patient underwent successful percutaneous PFO closure via a 35 mm Amplatz septal occluder guided by intracardiac echocardiography (ICE), resulting in complete resolution of the patient's hypoxia within 24 hours. This case highlights the workup of systemic refractory hypoxemia, the importance of cardiac shunt physiology in considering a RTLS, and the utility of PFO closure under ICE-guidance. For patients with a PFO-mediated RTLS, percutaneous closure offers an effective therapeutic option.
Keywords: patent foramen ovale, Refractory hypoxemia, Intracardiac shunt, Intracardiac echocardiography, Orthodeoxia
Received: 29 Sep 2025; Accepted: 20 Nov 2025.
Copyright: © 2025 Allaham, Bennett, Sonbol, Annabathula and Barr. This is an open-access article distributed under the terms of the Creative Commons Attribution License (CC BY). The use, distribution or reproduction in other forums is permitted, provided the original author(s) or licensor are credited and that the original publication in this journal is cited, in accordance with accepted academic practice. No use, distribution or reproduction is permitted which does not comply with these terms.
* Correspondence:
Haytham Allaham, hallaham@som.umaryland.edu
Samuel Bennett, samuel.bennett@som.umaryland.edu
Mark Sonbol, mark.sonbol@som.umaryland.edu
Rahul Annabathula, rannabathula@som.umaryland.edu
Brian Barr, bbarr@som.umaryland.edu
Disclaimer: All claims expressed in this article are solely those of the authors and do not necessarily represent those of their affiliated organizations, or those of the publisher, the editors and the reviewers. Any product that may be evaluated in this article or claim that may be made by its manufacturer is not guaranteed or endorsed by the publisher.
